Have a personal or library account? Click to login
The Current Role of Cardiovascular Magnetic Resonance Imaging According to European Society of Cardiology Guidelines and Statements (Second part) Cover

The Current Role of Cardiovascular Magnetic Resonance Imaging According to European Society of Cardiology Guidelines and Statements (Second part)

Open Access
|May 2022

Full Article

PART II. NON-ISCHEMIC CARDIOMYOPATHIES
HYPERTROPHIC CARDIOMYOPATHY
2014 ESC Guidelines on diagnosis and management of hypertrophic cardiomyopathy1

In adults, hypertrophic cardiomyopathy (HCM) is defined by a wall thickness ≥15 mm in one or more left ventricular (LV) myocardial segments — as measured by any imaging technique (echocardiography, CMR or CT) - that is not explained solely by loading conditions. This definition makes no a priori assumptions about aetiology or myocardial pathology. The clinical diagnosis of HCM in first-degree relatives of patients with unequivocal disease is based on the presence of otherwise unexplained increased LV wall thickness ≥13 mm, as measured using any of the above mentioned cardiac imaging technique.

According to these guidelines, CMR should be considered in patients with HCM at their baseline assessment if local resources and expertise permit. CMR is superior to transthoracic echocardiography in the measurement of LV wall thickness. Also, CMR is superior in the detection of LV apical and anterolateral hypertrophy, aneurysms and thrombi, being more sensitive in the detection of subtle markers of disease, such as myocardial crypts and papillary muscle abnormalities in patients with sarcomeric protein gene mutations. It is recommended that CMR studies be performed and interpreted by teams with experienced in cardiac imaging and in the evaluation of heart muscle disease (class I recommendation, level of evidence C).

In the absence of contraindications, CMR with late gadolinium enhancement (LGE) is recommended in patients with suspected HCM who have inadequate echocardiographic windows, in order to confirm the diagnosis (class I recommendation, level of evidence B). Moreover, CMR with LGE should be considered in patients fulfilling diagnostic criteria for HCM, to assess cardiac anatomy, ventricular function, and the presence and extent of myocardial fibrosis (class IIa recommendation, level of evidence B).

Some patients with apical or distal hypertrophy develop small apical aneurysms, sometimes associated with myocardial scarring. These may only be detectable on CMR, ventriculography or contrast echo, and are occasionally associated with ST-elevation in the lateral chest leads. CMR with LGE imaging should be considered in patients with suspected apical hypertrophy or aneurysm (class IIa recommendation, level of evidence C).

LGE-CMR has the ability to detect myocardial fibrosis in HCM. LGE is present in 65% of HCM patients, typically in a patchy mid-wall pattern in areas of hypertrophy and at the anterior and posterior right ventricular (RV) insertion points. LGE may be associated with increased myocardial stiffness and adverse LV remodeling and the extent of LGE is associated with a higher incidence of regional wall motion abnormalities. Unfortunately, LGE extent varies substantially with the quantification method.

The extent of LGE on CMR has some utility in predicting cardiovascular mortality, but current data do not support the use of LGE in predicting of sudden cardiac death (SCD) risk. Nevertheless, myocardial fibrosis (determined by LGE-CMR), together with LV apical aneurysms and the inheritance of multiple sarcomere protein gene mutations, have been suggested as arbiters that can be used to guide implantable cardioverter-defibrillator (ICD) therapy in individuals who are at an intermediate risk, but there are few data to support this approach.

In selected cases where echocardiographic images are suboptimal, CMR is helpful in pre-operative planning for surgical myectomy, particularly in patients with multilevel LV obstruction and in patients with right ventricle outflow tract abnormalities. CMR with LGE may be considered before septal alcohol ablation or myectomy, to assess the extent and distribution of hypertrophy and myocardial fibrosis (class IIb recommendation, level of evidence C). CMR can also quantify the amount of tissue necrosis induced by septal alcohol ablation, as well as the location of scarring and the regression of LV mass following the procedure.

The distribution and the severity of LGE can be useful in the differential diagnosis of different forms LV hypertrophy. For example, Anderson-Fabry disease is characterized by the presence of posterolateral LGE. In cardiac amyloidosis there is often global, subendocardial or segmental LGE. CMR with LGE imaging should be considered in patients with suspected cardiac amyloidosis (class IIa recommendation, level of evidence C) – see further cardiac amyloidosis. The absence of fibrosis may be helpful in differentiating HCM from physiological adaptation from athletes. LGE at the RV insertion points or localized to segments of maximum LV thickening on CMR are clinical features favoring HCM in the differential diagnosis with hypertensive heart disease. Nevertheless, LGE may be absent in people with HCM, particularly the young and those with mild disease.

Regarding routine follow-up, CMR may be considered every five years in clinically stable patients, or every 2–3 years in patients with progressive disease (class IIb recommendation, level of evidence C).

DILATED CARDIOMYOPATHY

2019 Multimodality imaging in the stratification, and management of dilated cardiomyopathies: an expert consensus document from the European Association of Cardiovascular Imaging2.

Dilated cardiomyopathy (DCM) is defined by the presence of LV of biventricular systolic dysfunction (LV ejection fraction - EF < 45%) with or without dilatation in the absence of abnormal loading conditions or CAD sufficient to cause global systolic impairment. LV dilatation is defined by LV end-diastolic volumes or diameters > 2 standard deviations from normal according to nomograms corrected for body surface area (BSA) and age or BSA and gender.

CMR is an important tool to consider (at least once) in every patient with DCM. It is the gold standard for measuring LV-, RV volumes, and EF. Its main clinical value is represented by tissue characterization (early gadolinium enhancement, T2- and T1-weighted sequences or mapping, and LGE), which may suggest the cause of ventricular dysfunction. Thus, CMR could be used for excluding the ischemic component of LV dysfunctions. Moreover, it detects the presence and extent of myocardial edema, scarring, fibrosis and infiltration (as well as an iron overload) in the dysfunctional myocardium. The additional unique non-invasive information can aid the identification of the final underlying diagnosis and provide prognostic value.

CMR should be considered in the case of suboptimal, borderline or doubtful echocardiographic data, and in high-risk families when the diagnosis of DCM is still in doubt and would have direct implications on management. CMR may impact preclinical diagnosis, as it is golden standard for ventricular quantification.

About one-third of DCM patients show mid-wall LGE reflecting replacement fibrosis and this has been shown to be a strong and independent predictor of all-cause mortality, cardiovascular death/transplatation and SCD. DCM patients with mid-wall LGE have been reported with a four-fold increased risk of SCD or aborted SCD after correction for other confounders. Mid-wall fibrosis has been shown to be an effective prognosticator amongst a wide range of disease severity, including in DCM patients without history of heart failure (HF) and in candidates for device treatment.

Parametric mapping sequences have been applied in DCM and the results of different studies show higher native T1 and extracellular volume fraction (ECV) values in DCM patients compared with controls. Myocardial ECV reflects histology-verified collagen content and may serve as a potential non-invasive marker of diffuse interstitial fibrosis. A higher native T1 value of the myocardium was demonstrated as an independent predictor of all-cause mortality and HF. Despite the adoption of parametric imaging as a promising diagnostic as well prognostic tool in DCM patients, in addition to LGE, multicentre, multivendor, multi-sequence studies in large cohorts of normal subjects, and DCM patients are still warranted.

LV EF below 35% is a prerequisite for cardiac resynchronization therapy (CRT) according to current guidelines. Scar burden reduces the effect of CRT and must be assessed before device implantation. This is much less important in DCM (and much more complicated to quantify) than in ischaemic heart disease. Regarding the evaluation of the response to CRT, although CMR might have higher accuracy, it is usually not a convenient approach to perform a routine CMR scan in a patient with an implanted electronic device (image quality could be impaired due to the metal artefact of the device). However, CMR in patients with pacemakers and ICD with MRI-conditional and more recently also in non-conditional devices can be performed safely in expert CMR centers. An LV end-systolic volume decrease of more than 15% within the first year is a commonly accepted cut-off for successful CRT.

Studies show that newly diagnosed DCM patients without mid-wall LGE are more likely to experience LV reverse remodelling than those with LGE, irrespective of the severity of clinical status and LV dilatation and dysfunction at initial evaluation. RV systolic dysfunction (EF<45%) as quantified by CMR is a powerful and independent adverse predictor of transplant-free survival and other HF outcomes.

To conclude, multimodality imaging combined with genetic studies could have a central role in the evaluation of DCM. There are a lot of difficult clinical scenarios, where the combination of two different imaging modalities is recommended, including preferable echocardiography and CMR. These techniques give additional information and could be frequently be used in combination in the same patient to maximize diagnostic performance.

2016 ESC guidelines for the diagnosis and treatment of acute and chronic heart failure guidelines3

According to heart failure guidelines, CMR with LGE should be considered in patients with DCM in order to distinguish between ischemic and non-ischemic myocardial damage in case of equivocal clinical and other imaging data (taking account of cautions/contra-indications to CMR) (class IIa recommendation, level of evidence C).

2016 Proposal for a revised definition of dilated cardiomyopathy, hypokinetic non-dilated cardiomyopathy, and its implications for clinical practice: a position statement of the ESC working group on myocardial and pericardial diseases4

The ESC working group on myocardial and pericardial diseases recently proposed diagnostic criteria for relatives of familial DCM patients. In this proposal, imaging criteria may be major (LV EF and LV dilatation) or minor (abnormal regional wall motion in the absence of conduction defects and non-ischemic LGE-CMR).

MYOCARDITIS
2016 ESC guidelines for the diagnosis and treatment of acute and chronic heart failure3

In patients with suspected or established HF, CMR is recommended for the characterization of myocardial tissue in case of suspected myocarditis, amyloidosis, sarcoidosis, Chagas disease, Fabry disease non-compaction cardiomyopathy, and haemochromatosis (taking account of cautions/contraindications to CMR) (class I recommendation, level of evidence C).

2013 Current state of knowledge on aetiology, diagnosis, management, and therapy of myocarditis: a position statement of the European Society of Cardiology Working Group on Myocardial and Pericardial Diseases5

Non-invasive imaging techniques such as CMR imaging can be useful in making the diagnosis of myocarditis and for monitoring disease progression.

CMR findings consistent with myocarditis should be based on Lake-Louise criteria (new criteria as 2018 available6). CMR may be considered in clinically stable patients prior to endomyocardial biopsy (EMB). CMR does not replace EMB in the diagnosis of myocarditis and should not delay EMB in life-threatening presentations.

Diagnostic criteria for clinically suspected myocarditis include functional and structural abnormalities on cardiac imaging (including CMR) and edema and/or LGE of classical myocarditic pattern on CMR tissue characterization. In this setting, CMR findings are consistent with myocardial inflammation, if at least two of the following criteria are present: (i) regional or global myocardial signal intensity increase in T2-weighted edema images; (ii) increased global myocardial early gadolinium enhancement ratio between myocardium and skeletal muscle in gadolinium-enhanced T1-weighted images; (iii) there is at least one focal lesion with non-ischemic regional distribution in the LGE-CMR images. A CMR study is consistent with myocyte injury and/or scar caused by myocardial inflammation if criterion 3 is present. A repeat CMR study between 1 and 2 weeks after the initial CMR study is recommended if none of the criteria are present, but the onset of symptoms has been very recent and there is strong clinical evidence for myocardial inflammation, or if one of the criteria is present. The presence of LV dysfunction or pericardial effusion provides additional, supportive evidence for myocarditis.

Medical centres that cannot safely perform EMB or do not have access to state-of-the-art CMR should refer patients with clinically suspected myocarditis to a tertiary referral unit experienced in EMB and CMR, particularly when patients present with haemodynamic instability or life-threatening arrhythmia.

ARRHYTHMOGENIC RIGHT VENTRICULAR CARDIOMYOPATHY
2017 Comprehensive multi-modality imaging approach in arrhythmogenic cardiomyopathy—an expert consensus document of the European Association of Cardiovascular Imaging7

Arrhythmogenic right ventricular cardiomyopathy (ARVC) is considered as an inherited cardiomyopathy predisposing to ventricular arrhythmias, SCD and more rarely ventricular dysfunction and HF. ARVC is a progressive disease; morphological changes start from the epi- or mid-myocardium and usually progress through all layers as a transmural myocardial disease. The LV is affected in > 50% of cases and the term ‘arrhythmogenic cardiomyopathy’ (AC) has been proposed to include biventricular disease.

The accuracy of CMR to detect subtle RV regional functional and structural wall abnormalities has been shown to be higher than conventional 2D echocardiography. CMR is erroneously considered the ‘gold standard’ test to diagnose AC. As the Task Force Criteria (TFC) 20108 emphasize, the diagnosis of this disease is a composite of familiar, ECG, arrhythmic, histological, functional, and structural features, in which CMR may play a role only to the latter two aspects. CMR alterations alone, without ECG and Holter abnormalities, are uncommon in AC disease except for the LV variant.

The CMR parameters from the TFC 2010 include RV regional dysfunction, reduced RV-EF and enlarged indexed RV end-diastole volume, as well as localized RV wall thinning and aneurysmal formations8. Despite the ability of CMR to detect myocardial fibro-fatty replacement in current routine clinical practice, this aspect is not included in the TFC 2010 as a diagnostic criterion, as it was not considered a robust parameter.

The TFC 2010 lacks diagnostic criteria for the non-classical variant of AC, which includes the dominant or isolated LV disease. LGE can be the only sign of LV involvement and is typically located in a subepicardial/mid-wall distribution confined to the LV. However, LV dominant disease can be under-diagnosed and the abnormalities can be attributed to other disorders, such as myocarditis, dilated or hypertrophic cardiomyopathy.

CARDIAC SARCOIDOSIS
2017 A joint procedural position statement on imaging in cardiac sarcoidosis: from the Cardiovascular and Inflammation and Infection Committees of the European Association of Nuclear Medicine, the European Association of Cardiovascular Imaging, and the American Society of Nuclear Cardiology9

Cardiac involvement may range from silent myocardial granulomas to symptomatic conduction disturbances, ventricular arrhythmias, progressive HF, and SCD, accounting for 13–25% of disease-related deaths.

As underlined in this EACVI document, CMR can provide a wide rage of potentially unique information in inflammatory and infiltrative disease. The recommended CMR protocol in sarcoidosis includes cine imaging for morphology and function, edema sensitive (T2-weighted) and LGE imaging as well as optional, T1- and T2-mapping. The most commonly found CMR abnormality in patients with sarcoidosis is focal hyperenhancement on LGE images, usually readily detectable by visual inspection. Mid-wall or sub-epicardial enhancement in the basal ventricular wall, the lateral wall and septum is considered the most common pattern in cardiac sarcoidosis, but subendocardial or transmural enhancement in other myocardial locations has also been described. Importantly, LGE findings are not specific to sarcoidosis and the differential diagnosis from myocarditis and other inflammatory conditions can be challenging. Edema sensitive images may show areas of high signal in patients with sarcoidosis, suggestive of inflammation and edema. However, reliable detection of edema can be difficult as T2-weighted images have a relatively low signal to noise ratio and can be prone to slow flow artifacts, at the endocardial boundary.

A CMR report in suspected sarcoidosis should include a description of extracardiac findings (including lung nodules, splenic or hepatic perfusion defects), measurements of RV and LV size, volumes, and function, comments on pericardial and valve pathology, presence of edema and a description of the location and size of lesions seen on LGE.

CMR could be used in predicting prognosis. The presence of LGE, including focal LGE and the extent of LGE (LGE mass ≥ 20% of LV mass) is associated with a higher risk of death or ventricular tachycardia (VT) and a lower likelihood of improvement in LV function. Patients who do not have any LGE had an extremely low event rate with very few cardiac events reported.

A multimodality imaging approach may be necessary for decision making about pacemaker or ICD. Per he Heart Rhythm Society guidelines10, ICD is indicated if LVEF remains under 35% after immunosuppressive therapy (Class I) or if LGE is present in patients with LF EF 35–49% after immunosuppression (Class IIb).

According to EACVI recommendations, CMR may be used not only to exclude the presence of cardiac sarcoidosis in the vast majority of patients with suspected disease, but also to identify patients who have an excellent prognosis, with a strong value of LGE.

The main indications of advanced imaging (CMR, FDG-PET) in cardiac sarcoidosis are: (i) suspected cardiac involvement in patients with biopsy-proven extracardiac sarcoidosis and symptoms (unexplained syncope/presyncope/significant palpitations), and/or abnormal ECG and/or inconclusive echocardiogram). CMR is preferred as a first test. FDG PET/CT may be preferred as first test in individuals with known systemic sarcoidosis where systemic sarcoidosis needs to reassessed; (ii) suspected relapse in patients diagnosed with cardiac sarcoidosis; (iii) treatment monitoring in patients diagnosed with cardiac sarcoidosis. The suggestion in this paper is to repeat FDG-PET approximately 4–6 months after initiation of therapy; (iv) prognostic assessment that may impact on therapeutic management and follow up.

In summary, multi-parametric CMR is a valuable tool for the diagnosis and risk assessment of cardiac sarcoidosis. Whether CMR can be used to assess response to therapy is unclear, as CMR findings are limited by a relatively low specificity to distinguish scar from active inflammation. However, the relatively high sensitivity of the technique contributes to the exclusion of cardiac sarcoidosis.

CANCER THERAPEUTICS – RELATED CARDIAC DYSFUNCTION
2017 Multimodality Imaging in Restrictive Cardiomyopathies: An EACVI expert consensus document In collaboration with the “Working Group onmyocardial and pericardial diseases” of the European Society of Cardiology Endorsed by The Indian Academy of Echocardiography Cancer toxicity of radiation therapy11

The typical structural manifestation of cancer drug induced cardiomyopathy corresponds to a LV eccentric remodelling with dilation of internal cavity and thinning of myocardial walls. Currently, the restrictive diastolic pattern is detectable in particular in patients undergoing anthracyclines (Cardiotoxicity type 1), it being possibly evident not only during treatment (acute cardiotoxicity) but also after the completion of the cancer therapies (even several years after). CMR can be useful for accurate volumetric assessment with cine imaging but also with the LGE technique for the detection of myocardial fibrosis.

In general, the development of radiotherapy-induced restrictive cardiomyopathy (RCM) suggests a prior high-dose chest radiation (> 60 Gy) or lower radiation exposure when antracycline is used. RCM occurs as a result of diffuse myocardial fibrosis. Although its value in radiation-related myocardial fibrosis is still unclear, ECV estimation using pre- and post-contrast T1-mapping by CMR is directly related to collagen content. The presence of decreased mean LV mass, end-diastolic dimension and wall thickness together with dilatation of both atria and self-reported dyspnoea, is suggestive of RCM in this population.

2016 ESC Position Paper on cancer treatments and cardiovascular toxicity developed under the auspices of the ESC Committee for Practice Guidelines12

CMR is typically used for detection of cardiotoxicity if other techniques are non-diagnostic or to confirm the presence of LV dysfunction if LV EF is borderline. CMR is useful to determine the cause of LV dysfunction and to clarify LV and RV function in challenging cases. It also serves to evaluate the pericardium, especially in patients with chest irradiation. LGE imaging may be useful to detect scarring or fibrosis, which may have prognostic implication in the context of impaired LV function. CMR is also an excellent test for the comprehensive evaluation of cardiac masses and infiltrative conditions. The advantages include detection of diffuse myocardial fibrosis using T1-/T2-mapping and ECV evaluation, as diffuse anthracycline fibrosis cannot be evaluated with conventional techniques of LGE.

2014 Expert consensus for multimodality imaging evaluation of adult patients during and after cancer therapy: a report from the American Society of Echocardiography and the European Association of Cardiovascular Imaging13

Highly effective chemotherapeutic agents may cause cancer therapeutics–related cardiac dysfunction (CTRCD). CTRCD has been classified as follows: (i) Type I CTRCD is characterized by anthracyclines. It is dose-dependent, leads to cell apoptosis, and is therefore irreversible at the cell level. Early detection and prompt treatment may prevent LV remodelling and the progression to the HF syndrome; (ii) Type II CTRCD is characterized by trastuzumab. It is not dose dependent, does not lead to apoptosis by itself, and is often reversible.

CMR is the reference standard in the evaluation of LV and RV volumes and LV EF. Its main limitation is its availability. The above consensus recommends to consider the use of CMR in situations in which discontinuation of chemotherapeutic regimens secondary to CTRCD is being entertained or when, because of technical limitations or the quality of echocardiographical images, the estimation of the LV EF is thought to be controversial or unreliable. It is important to realize that the different techniques (CMR, echocardiography, nuclear techniques) use different normal reference values. Thus, the same imaging technique should be performed for baseline assessment and follow-up studies during and after cancer treatment. LGE-CMR has been the most frequently used technique to exclude other causes of cardiomyopathy, such as MI, cardiac sarcoidosis, or amyloid heart disease. Although T1-mapping with ECV calculation for identification of subtle myocardial abnormalities such as diffuse fibrosis holds promise for future diagnosis and possibly prediction of risk for cardiomyopathies, its current use is limited to research studies.

CMR should be considered in evaluation of primary tumours of the heart with or without compromise of the pericardium, or when the diagnosis of constrictive pericarditis remains uncertain after a careful echocardiographical evaluation. CMR may also have added value in the evaluation of cardiac metastasis or invasion tumour to the heart.

Contraindications for CMR imaging that may be particularly relevant in some patients with cancer include the presence of ferromagnetic components within some breast tissue expanders.

2013 Expert consensus for multi-modality imaging evaluation of cardiovascular complications of radiotherapy in adults: a report from the European Association of Cardiovascular Imaging and the American Society of Echocardiography14

Acute and long-term radiation effects on the heart include pericarditis, cardiomyopathy, CAD, valve disease (long-term) and other vascular disease (long-term). To assess cardiac structural and functional changes after radiation exposure, clinicians will have to use available techniques such as echocardiography, CMR, CT, or SPECT meaningfully within the appropriate clinical indication.

For pericardial disease, CT and CMR have proven to be more efficient in the detection of specific anatomical abnormalities.

Myocardial damage is frequent in cancer survivors treated with radiation therapy. Echocardiography is a useful, non-invasive, and repeatable method to identify and monitor LV systolic and diastolic dysfunctions, while CMR is the method of choice in patients with poor acoustic windows.

Tests of inducible ischaemia, such as stress echocardiography, perfusion SPECT, and CMR, are recognized techniques to unmask the functional consequences of radiation-induced CAD. In high-risk asymptomatic patients (patients who underwent anterior or left-side chest irradiation with ≥1 risk factors for radiation-induced heart disease) the increased risk of coronary events 5–10 years after radiotherapy makes it reasonable to consider non-invasive stress imaging to screen for obstructive CAD. Repeated stress testing can be planned every 5 years if the first exam does not show inducible ischaemia. Because of its higher specificity compared with exercise ECG, stress echocardiography or stress CMR may be preferred.

OTHER RARE NON-ISCHEMIC CARDIOMYOPATHIES
CARDIAC AMYLOIDOSIS
2017 Multimodality Imaging in Restrictive Cardiomyopathies: An EACVI expert The Current Role of Cardiovascular Magnetic Resonance Imaging - Second part consensus document In collaboration with the “Working Group onmyocardial and pericardial diseases” of the European Society of Cardiology Endorsed by The Indian Academy of Echocardiography11

Cardiac amyloidosis is one of the most frequent causes of RCM and may be genetic/familial (ATTR) or non-genetic non-familial (AL/prealbumin, senile). CMR is often used after cardiac amyloidosis is suspected by echocardiography to confirm or refute the diagnosis, and in experienced hands represents a powerful tool with important diagnostic and prognostic implications. Cine images may demonstrate typical anatomical features like thickened LV wall, biatrial enlargement, reduced long-axis shortening, and pleural or pericardial effusion. LGE images typically show circumferential subendocardial contrast enhancement or bilateral septal subendocardial LGE with dark mid-wall (zebra pattern), but other patterns of enhancement have also been described. Cardiac involvement can extend to right ventricle and atrial walls, as potentially detected by LGE. With more advanced disease, amyloid infiltration may be transmural with corresponding global enhancement, which is an independent predictor of poorer outcomes. Myocardial non-contrast T1 values are longer in cardiac amyloidosis than in controls, a finding with higher sensitivity for detecting early subclinical cardiac involvement than LGE. The addition of parametric mapping to standard CMR images is promising to be a powerful and quantitative diagnostic tool that also allows differential diagnosis from other diseases with similar phenotypic expression.

HAEMOCHROMATOSIS
2017 Multimodality Imaging in Restrictive Cardiomyopathies: An EACVI expert consensus document In collaboration with the “Working Group onmyocardial and pericardial diseases” of the European Society of Cardiology Endorsed by The Indian Academy of Echocardiography11

Iron overload cardiomyopathy results from iron accumulation in the myocardium mainly because genetic disorders of iron metabolism (primary hemochromatosis) or multiple transfusions (such as in thalassemia or myelodysplastic syndromes).

CMR is the main imaging technique for diagnosis and follow-up of cardiac haemochromatosis, allowing both reliable measurement of LV and RV dimension and function and tissue characterization including quantification of myocardial iron overload. The best validated method for quantifying myocardial iron overload is T2*-mapping. A T2* value of <20 ms at 1.5 Tesla, typically measured in the interventricular septum is used as a conservative cut-off for segmental and global heart iron overload and patients with the lowest T2* values have the highest risk of developing arrhythmia and HF. The first cardiac T2* assessment should be performed as early as possible and the effectiveness of iron chelation and reversal of myocardial iron overload can be reliably guided by follow up scans.

FABRY CARDIOMYOPATHY
2017 Multimodality Imaging in Restrictive Cardiomyopathies: An EACVI expert consensus document In collaboration with the “Working Group onmyocardial and pericardial diseases” of the European Society of Cardiology Endorsed by The Indian Academy of Echocardiography11

Cardiac involvement is very common and is the most frequent cause of death not only in haemizygote males but also in female heterozygote carriers with a-Gal A deficiency. CMR with LGE may be useful in the non-invasive recognition of myocardial fibrosis, in the context of cardiac involvement of Fabry disease. The LGE pattern distribution on CMR helps in the differentiation between HCM and Fabry cardiomyopathy. Patients with Fabry cardiomyopathy typically present with a pattern characterized by the involvement of the inferolateral basal and mid-basal segments. The myocardial T2 relaxation time is prolonged in patients with Fabry disease compared with that in HCM patients. Recently, native T1 mapping was shown to be the most reliable technique to differentiate Fabry disease from all other LV hypertrophy (LVH) phenocopies, by demonstrating low native T1 value of the affected myocardium (whilst other LGE area of different disease would display high native T1 values). This important difference is due to the characteristic fatty nature of the infiltration of Fabry disease.

ENDOMYOCARDIAL RESTRICTIVE CARDIOMYOPATHIES
2017 Multimodality Imaging in Restrictive Cardiomyopathies: An EACVI expert consensus document In collaboration with the “Working Group onmyocardial and pericardial diseases” of the European Society of Cardiology Endorsed by The Indian Academy of Echocardiography11

Hypereosinophilic syndrome is a rare cause of RCM, resulting from toxicity of eosinophils towards cardiac tissues. On echocardiography, classical findings are progressive endomyocardial thickening, apical obliteration of one or both ventricles by material suggestive of fibrosis or thrombus formation, posterior mitral leaflet involvement and papillary dysfunction resulting in mitral regurgitation. CMR is very useful for the diagnosis of endocardial involvement and for detection of thrombus formation in both ventricules. The gold standard remains EMB, but the high resolution of CMR is frequently sufficient for diagnosis and follow-up.

Figure 1

Schematic exemplification of a rest CMR protocol used in the work-up of patients with non-ischemic and inflammatory cardiomyopathies, including functional (cine), rest contrast myocardial perfusion and tissue characterization: T2-STIR, T2-mapping, pre- and post-contrast T1-mapping, and late gadolinium enhancement (LGE) sequences. * - 0.15 mmol/kg.

Figure 2

Exemplary LGE images in three patients with different forms of hypertrophic cardiomyopathy (HCM) (A, B, C) and in one patient with inherited primary mitochondrial disease (D). In the first case, with non-obstructive HCM (A), a typical, non-ischemic, patchy LGE in the hypertrophied septum (white arrow) together with focal LGE in the RV insertion points (red arrows) is present. In the second case, with mid-ventricular obstructive HCM (B), transmural LGE with apical aneurysm formation and small apical thrombus can be noticed (white arrow). In the third case, with apical HCM (C), diffuse, non-ischemic LGE in the hypertrophied apical segments can be depicted (white arrow). Lastly, in the mitochondriopathy patient (D), extensive, circular, subepicardial/intramural (non-ischemic) LGE (white arrows) and concentric LV hypertrophy are seen.

Figure 3

Exemplary LGE images in three patients with dilated cardiomyopathy (DCM). In the first case, with idiopathic DCM (A), a characteristic, mid-wall (non-ischemic) LGE is seen in the basal and mid-ventricular septum (red arrows). In the second case, with post-inflammatory (myocarditis) DCM, a typical, almost “ring-like” subepicardial/intramural (non-ischemic) LGE in the basal and mid-ventricular segments can be depicted (white arrows). In the third case, with Becker muscular dystrophy and cardiac involvement, extensive LGE with a myocarditis-like pattern is present (arrow heads).

Figure 4

Exemplary LGE images and corresponding, color-coded native T1 maps (no contrast needed) in a normal control and in two patients with hypertrophic phenotypes. In the first case, with Anderson-Fabry cardiomyopathy, a reduced septal native T1 time (where fibrosis is absent) due to lipid accumulation together with characteristic intramural fibrosis (LGE) in the basal lateral wall (white arrow) can be seen. In the second case, with AL cardiac amyloidosis, an elevated native T1 myocardial time together with extensive, almost circular LGE, more pronounced in the subendocardium and involving also the RV (septum and inferior wall) can be depicted.

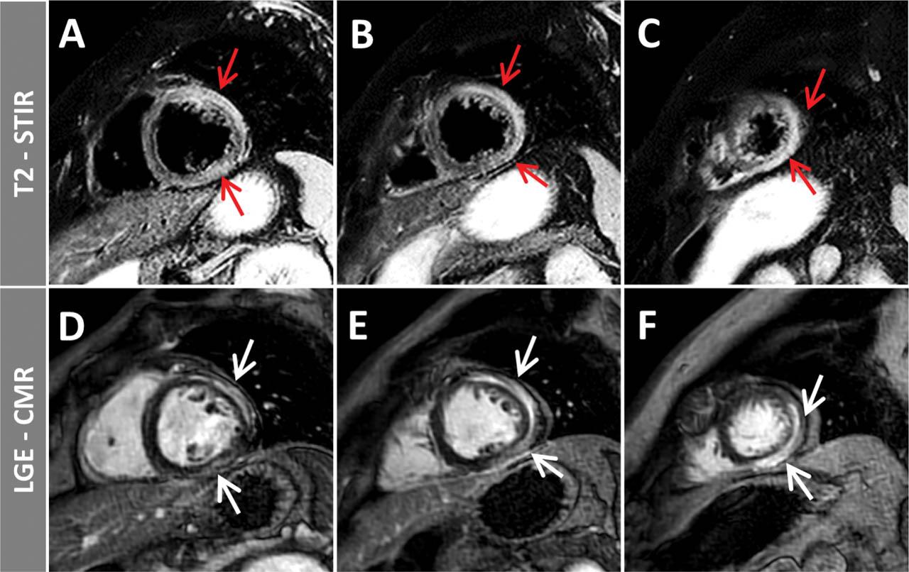
Figure 5

Edema sensitive T2-STIR (A, B, C) and LGE images (D, E, F) in a patient with acute viral myocarditis. Acute, non-ischemic, inflammatory changes with edema (T2-hyperintensity, red arrows) and LGE (white arrows) in the subepicardium of the inferior and lateral walls, extending towards the anterior wall, can be noticed.

Figure 6

Cine images at end-diastole (A) and end-systole (B) as well as LGE images in basal short-axis (C) and four-chamber view (D) in a patient with arrhythmogenic RV cardiomyopathy. A dilated RV with dys-kinetic basal and apical lateral wall (B, red arrows) and corresponding fibrotic changes (LGE) in the basal inferior/lateral and apical lateral RV walls (C, D, white arrows) can be seen.

DOI: https://doi.org/10.47803/rjc.2020.31.4.807 | Journal eISSN: 2734-6382 | Journal ISSN: 1220-658X
Language: English
Page range: 807 - 818
Published on: May 5, 2022
Published by: Romanian Society of Cardiology
In partnership with: Paradigm Publishing Services
Publication frequency: 4 issues per year

© 2022 Ramona Bica, Virgil Ionescu, Jan Bogaert, Anca Florian, published by Romanian Society of Cardiology
This work is licensed under the Creative Commons Attribution 4.0 License.