Have a personal or library account? Click to login
The Current Role of Cardiovascular Magnetic Resonance Imaging According to European Society of Cardiology Guidelines and Statements (First part) Cover

The Current Role of Cardiovascular Magnetic Resonance Imaging According to European Society of Cardiology Guidelines and Statements (First part)

Open Access
|May 2022

Full Article

PART I. CORONARY SYNDROMES
Brief introduction to CMR

Cardiovascular magnetic resonance imaging (CMR) has evolved as a valuable diagnostic tool by offering a comprehensive assessment of the cardiovascular system at a high resolution and in any imaging plane without the burden of ionizing radiation exposure. Over the last decade, the role of CMR among other non-invasive imaging techniques has been steadily increasing for the whole spectrum of cardiovascular diseases1,2,3.

By using a static magnetic field (1.5- or 3.0-T), dedicated cardiac coils, a wide range of CMR pulse sequences usually with ECG-gating and breath-holding, CMR is able to provide anatomical, functional and tissue characterization information in one examination with a duration of approximately 40 minutes4,5,6.

Functional - cine CMR imaging enables the acquisition of dynamic loops in standard imaging planes, completely covering the ventricles and thus, permits the assessment of global and regional myocardial contractility, the quantification of ventricular volumes, mass and ejection fraction (EF), and the visualization of valvular heart disease. CMR is currently considered the non-invasive gold standard for the measurement of left (LV) and right ventricular (RV) volumes and EF. In addition, valvular/vascular blood flow can be measured using velocity-encoded, also known as phase-contrast CMR sequences2,4,6.

Cardiac anatomy and structure, including the intrinsic characteristics of the myocardium, are well depicted by “black-blood” imaging, which owes its name to the nulling of the blood signal. T1-weighted “black blood” imaging provides an excellent morphologic view of the heart and adjacent structures. Native T2-weighted “black blood” imaging detects tissue edema associated with inflammation (acute myocarditis, myocardial infarction, and pericarditis) due to the long T2 relaxation time of increased free water content that appears bright2,7.

Administration of gadolinium contrast agents is a routine in clinical CMR exams due to their T1-shortening effects and exclusive extracellular distribution with rapid wash-out from healthy myocardium8. Following intravenous injection, the first pass of contrast can be used for myocardial perfusion imaging. Performing myocardial perfusion imaging under vasodilatory stress (e.g. adenosine, regadenoson or dipyridamole) enables the visualization of LV segmental perfusion abnormalities due to hemodynamically relevant coronary artery stenosis. Administration of intravenous gadolinium contrast can also be followed by the rapid aquisition of a three-dimensional angiogram, properly timed to selectively depict the contrast-enhanced vessels of interest (e.g. aorta and branches). In addition, non-contrast three-dimensional CMR angiography in free breathing is also possible, with longer aquisition times of 4–10 minutes.

The retention of gadolinium agents in myocardial regions with cardiomyocyte damage (inflammation, necrosis) and/or increase in extracellular space (scar, infiltration, inflammation) can be visualized as bright signal on T1-weighted inversion recovery images, or so-called late gadolinium enhancement (LGE), performed 10–20 min after contrast injection9. The pattern, location, and extent of myocardial LGE not only enable the differentiation of ischemic from non-ischemic etiologies, but can also discriminate between different types of non-ischemic cardiomyopathies10. Besides a qualitative assessment of myocardial LGE, a volumetric quantification is also available, providing a scar mass in gram or as percentage of total myocardial mass. In addition to depiction of focal myocardial damage by LGE imaging, pre- and post-contrast T1-mapping techniques with quantification of myocardial extracellular volume (ECV) have been developed and validated for evaluation of subtle myocardial processes such as diffuse interstitial fibrosis11.

CMR imaging is safe and has diagnostic image quality in the vast majority of patients. Similarly, the use of gadolinium contrast agents was proven safe in the absence of end-stage kidney failure or dialysis12,13. Today, not only patients with MR-conditional implantable cardiac pacemakers and defibrillators but also the majority of those with non-tested older devices can undergo successful and safe CMR studies14. Additionally, the large majority of metallic implants are either MRI safe or conditional and therefore allowed at 1.5 and 3-T. Nevertheless, the precautions and specifications of each particular device should be carefully considered (www.mrisafety.com).

METHODS

The European Society of Cardiology (ESC) guidelines (https://www.escardio.org/Guidelines/Clinical-Practice-Guidelines) as well as position statements / papers from ESC working groups / associations involving non-invasive cardiovascular imaging and CMR (https://www.escardio.org/Guidelines/Consensus-and-Position-Papers/Recommendations-and-position-papers), published later than 2010, were searched for the following terms: CMR, cardiac magnetic resonance imaging (MRI), non-invasive stress and functional imaging or testing. Clinically relevant information and, when available, corresponding recommendations (level of evidence and the class of recommendation) involving CMR for a given cardiovascular pathology were extracted. These data were firstly structured according to type of disease and then according to publication. Within one given section, the corresponding documents were ordered chronologically, starting with the most recent. Repetitive information on a topic was presented only under the most recent document. Clinical applications where the role of CMR remains unclear or is still a matter of research were not included. Non-cardiovascular MRI was not considered. Recommendations refering to non-invasive imaging in general, were cited if the context included CMR. The process was performed independently by two readers for each document. In addition, CMR images with corresponding pathology from our databases were used to illustrate each part.

CHRONIC CORONARY SYNDROMES
2019 ESC Guidelines for the diagnosis and management of chronic coronary syndromes15

Coronary artery disease (CAD) is a pathological process characterized by atherosclerotic plaque accumulation in the epicardial arteries, whether obstructive or non-obstructive. The disease is chronic, most often progressive, and hence serious, even in clinically apparently silent periods.

Basic (first-line) testing in patients with suspected CAD includes standard laboratory biochemical testing, a resting ECG, possible ambulatory ECG monitoring, resting echocardiography, and, in selected patients, a chest X-ray. In the initial diagnostic management of patients with suspected CAD, resting CMR may be considered in patients with an inconclusive echocardiographic test (class IIb recommendation, level of evidence C). CMR will provide useful information on cardiac anatomy and systolic cardiac function, similar to that from an echocardiogram, in patients with no contraindications for CMR. CMR can assess global and regional function, and the use of LGE-CMR can reveal a typical pattern of scarred myocardium in patients who have already experienced an myocardial infarction (MI).

Functional non-invasive tests for the diagnosis of obstructive CAD are designed to detect myocardial ischaemia through ECG changes, wall motion abnormalities by stress CMR or stress echocardiography, or perfusion changes by single-photon emission computed tomography (SPECT), positron emission tomography (PET), myocardial contrast echocardiography, or contrast CMR. Ischaemia can be provoked by exercise or pharmacological stressors, either by increased myocardial work and oxygen demand, or by heterogeneity in myocardial perfusion by vasodilatation. Non-invasive functional tests are associated with high accuracy for the detection of flow-limiting coronary stenosis compared with invasive functional testing. However, lower-grade coronary atherosclerosis not linked with ischaemia remains undetected by functional testing and, in the presence of a negative functional test, patients should receive risk-factor modification based on commonly applied risk charts and recommendations.

According the above guidelines, non-invasive functional imaging for myocardial ischaemia or coronary computed tomography angiography (CTA) is recommended as the initial test to diagnose CAD in symptomatic patients in whom obstructive CAD cannot be excluded by clinical assessment alone (class I recommendation, level of evidence B). It is recommended that selection of the initial non-invasive diagnostic test be based on the clinical likelihood of CAD and other patient characteristics that influence test performance, local expertise and the availability of tests (class I recommendation, level of evidence C). Functional imaging for myocardial ischaemia is recommended if coronary CTA has shown CAD of uncertain functional significance or is not diagnostic (class I recommendation, level of evidence B).

Assessment of event risk is recommended in every patient being evaluated for suspected CAD or with a newly diagnosed CAD, as it has major impacts on therapy decisions. The process of risk stratification serves to identify patients at high event risk who will benefit from revascularization beyond the amelioration of symptoms. Risk stratification is recommended based on clinical assessment and the result of the diagnostic test initially employed to diagnose CAD (class I recommendation, level of evidence B). Risk stratification, preferably using stress imaging or coronary CTA (if permitted by local expertise and availability), or alternatively exercise stress ECG (if significant exercise can be performed and the ECG is amenable to the identification of ischaemic changes), is recommended in patients with suspected or newly diagnosed CAD (class I recommendation, level of evidence B). Patients with established chronic coronary syndromes, in whom ≥ 2 of 16 segments with stress perfusion defects or ≥ 3 dobutamine-induced dysfunctional segments are depicted by CMR, are considered at high event risk. In comparison, for example, high event risk is defined by ≥ 3 of 16 segments with stress-induced hypokinesia or akinesia on stress echocardiography or an area of ischaemia ≥ 10% of the left ventricle myocardium on SPECT/PET perfusion imaging.

In patients with chronic coronary syndromes, optimal medical therapy is key for reducing symptoms, halting the progression of atherosclerosis, and preventing atherothrombotic events. Myocardial revascularization plays a central role in the management of these patients on top of medical treatment. The two objectives of revascularization are symptom relief in patients with angina and/or improvement of prognosis. For revascularization decisions, both anatomy and functional (ischemia) evaluation are to be considered. Either non-invasive or invasive functional evaluation is required for the assessment of myocardial ischaemia associated with angiographic stenosis, unless very high grade (>90% diameter stenosis). Functional non-invasive testing may be preferred in patients at the higher end of the range of clinical likelihood if revascularization is likely or the patient has previously diagnosed CAD.

The possibility of a microcirculatory origin of angina should be considered in patients with clear-cut angina, abnormal non-invasive functional tests, and coronary vessels that are either normal or have mild stenosis deemed functionally non-significant on invasive coronary angiography (ICA) or CTA. Impaired microvascular function can be diagnosed (amongst other) by measuring coronary flow reserve (CFR). CFR can be measured non-invasively with transthoracic Doppler echocardiography by imaging left anterior descending (LAD) flow, CMR (myocardial perfusion index) or PET, while using intravenous vasodilators, such as adenosine or regadenoson. In patients with suspected microvascular angina, transthoracic Doppler of the LAD, CMR, and PET may be considered for non-invasive assessment of CFR (class IIb recommendation, level of evidence B).

2018 ESC/EACTS Guidelines on myocardial revascularization16

The indications for revascularization in patients with stable CAD who receive guideline-recommended medical treatment are the persistence of symptoms despite medical treatment and/or the improvement of prognosis. Non-invasive diagnostic assessment of patients with CAD being considered for myocardial revascularization comprises the assessment of ischaemia and the evaluation of viability in patients with regional wall motion abnormalities or reduced EF.

Functional testing to assess ischaemia is critical for the assessment of stable patients with CAD. Documentation of ischaemia using functional testing before elective invasive procedures for CAD is the preferred approach. Thus, in patients with stable angina / silent ischemia, revascularization indications for prognosis include: left main disease with stenosis > 50%, proximal LAD stenosis > 50%, two- or three-vessel disease with stenosis > 50% with impaired LV-EF ≤ 35% and single remaining patent coronary artery with stenosis > 50%, all with documented ischemia (or a haemodynamically relevant lesion defined by FFR ≤ 0.80 or iwFR ≤ 0.89, or > 90% stenosis in a major coronary vessel) as well as large area of ischaemia detected by functional testing (>10% LV) or abnormal invasive FFR (< 0.75) (class I recommendation). Revascularization for symptoms includes haemodynamically significant coronary stenosis with documented ischemia (or a haemodynamically relevant lesion defined by FFR ≤ 0.80 or iwFR ≤ 0.89, or > 90% stenosis in a major coronary vessel) in the presence of limiting angina or angina equivalent, with insufficient response to optimized medical therapy (class I recommendation, level of evidence A). In the case of chronic total coronary occlusions (CTO), the treatment may be considered analogous to the treatment of non-CTO lesions. In cases of regional wall motion abnormalities in the territory of the CTO, objective evidence of viability should be sought.

Assessment of myocardial viability may be done in order to select patients that are more likely to benefit from myocardial revascularization and can be achieved with several imaging modalities: myocardial contrast echocardiography, SPECT, and LGE-CMR, all assess cellular integrity; PET assesses cellular metabolism; and dobutamine techniques assess contractile reserve. Assessment of ischaemia provides incremental benefit over viability in mild to moderate CAD, but with extensive CAD viability assessment may be sufficient.

Non-invasive stress imaging (CMR, stress echocardiography, SPECT, or PET) may be considered for the assessment of myocardial ischaemia and viability in patients with HF with reduced EF and CAD (considered suitable for coronary revascularization) before the decision on revascularization (class IIb recommendation, level of evidence B).

In symptomatic patients with prior myocardial revascularization, an imaging stress test should be considered over stress ECG (class IIa recommendation, level of evidence B). Coronary angiography is recommended in patients with intermediate- to high-risk findings at stress testing: ischaemia at low workload with exercise stress testing, early-onset ischaemia with pharmacological stress testing, an inducible wall motion abnormality, or a reversible perfusion defect in ≥ 10% of LV myocardium (class I recommendation, level of evidence C). In asymptomatic patients with prior myocardial revascularization, surveillance by non-invasive imaging-based stress testing may be considered in high-risk patient subsets 6 months after revascularization (class IIb recommendation, level of evidence C). Routine non-invasive imaging-based stress testing may be considered 1 year after PCI and > 5 years after CABG (class IIb recommendation, level of evidence C).

2014 ESC/ESA Guidelines on non-cardiac surgery: cardiovascular assessment and management17

Imaging stress testing is recommended before high-risk surgery in patients with more than two clinical risk factors and poor functional capacity (<4 METs) (class I recommendation, level of evidence C). Imaging stress testing may be considered before high- or intermediate-risk surgery in patients with one or two clinical risk factors and poor functional capacity (<4 METs) (class IIb recommendation, level of evidence C). Imaging stress testing is not recommended before low-risk surgery, regardless of the patient's clinical risk (class III recommendation, level of evidence C).

2019 ESC Guidelines on diabetes, pre-diabetes, and cardiovascular diseases developed in collaboration with the EASD18

CT coronary angiography or functional imaging (radionuclide myocardial perfusion imaging, stress CMR, or exercise or pharmacological stress echocardiography) may be considered in asymptomatic patients with diabetes mellitus for screening of CAD (class IIb recommendation, level of evidence B).

ACUTE CORONARY SYNDROMES
2020 ESC Guidelines for the management of acute coronary syndromes in patients presenting without persistent ST-segment elevation19

Non-invasive, functional imaging by CMR in non-ST-segment elevation acute coronary syndrome (NSTE-ACS) can assess both perfusion and wall motion abnormalities, and patients presenting with acute chest pain with a normal stress CMR have an excellent short- and mid-term prognosis. Additionally, CMR permits detection of scar tissue (using LGE) and can differentiate this from recent infarction (using T2-weighted imaging to delineate myocardial oedema). Moreover, CMR can facilitate the differential diagnosis between infarction, myocarditis, or Takotsubo syndrome, among others. In a recent randomized trial in patients with unclear NSTEMI diagnosis, upfront imaging with CMR reduced the need for ICA and provided an alternative diagnosis in a relevant proportion of patients.

NSTE-ACS patients with no recurrence of symptoms and none of the very high or high-risk criteria regarding timing of invasive strategy are to be considered at low risk of short-term acute ischaemic events. These patients should be managed according to the 2019 ESC Guidelines for the diagnosis and management of CCS15. In this setting, stress echocardiography or stress CMR may be preferred over non-invasive anatomical testing (i.e. coronary CTA). In patients with no recurrence of chest pain, normal ECG findings, and normal levels of cardiac troponin (preferably high sensitivity), but still with a suspected ACS, a non-invasive stress test (preferably with imaging) for inducible ischemia or CCTA is recommended before deciding on an invasive approach (class I recommendation, level of evidence B).

Although the occurrence of an acute MI without significant CAD was initially reported almost 80 years ago, the term MINOCA (myocardial infarction with non-obstructive coronary arteries) has only been used recently to describe these patients. Accordingly, MINOCA is initially considered at the time of angiography as a working diagnosis until further assessment excludes other possible causes for troponin elevation. The term MINOCA has been broadly used in the past and is often misclassified, limiting all aspects of disease description, management, and treatment. Despite having a contemporary position statement from the ESC and the AHA, great variability exists in the manner in which patients with suspected MINOCA are evaluated and treated20,21. The ESC position statement on MINOCA proposed the following MINOCA criteria: (1) AMI criteria as defined by the ‘Third universal definition of MI’; (2) Non-obstructive coronary arteries as per angiographic guidelines, with no lesions ≥ 50% in a major epicardial vessel; (3) No other clinically overt specific cause that can serve an alternative cause for the acute presentation. Based on this ESC definition, myocarditis and takotsubo syndrome patients, among other non-ischemic conditions, were labelled as MINOCA20. The most recent scientific statement from the AHA provides a formal and updated definition for the broadly labelled term MINOCA incorporating the Fourth Universal Definition of Myocardial Infarction22. Thus, the current criteria for the MINOCA definition, now exclude myocarditis and Takotsubo syndrome from the final diagnosis of MINOCA. CMR is one of the key diagnostic tools in this algorithm for the differential diagnosis of Takotsubo syndrome, myocarditis, or true MI21. CMR has the ability to identify the underlying cause in as many as 87% of patients with MINOCA. In the sub-endocardium, LGE may indicate an ischemic cause, while sub-epicardial localization may indicate cardiomyopathies or myocarditis, and the absence of relevant LGE with oedema and associated specific WMA is a hallmark of takotsubo syndrome. In a metaanalysis of five studies involving 556 patients with an initial diagnosis of MINOCA, CMR identified myocarditis as the primary cause in 33% of patients. It is recommended to perform CMR in all MINOCA patients without an obvious underlying cause (class I recommendation, level of evidence B).

2020 MULTIMODALITY IMAGING IN TAKOTSUBO SYNDROME: A JOINT CONSENSUS DOCUMENT OF THE EUROPEAN
Association of Cardiovascular Imaging (EACVI) and the Japanese Society of Echocardiography (JSE)23

CMR can visualize the entire spectrum of functional and structural changes that occur in patients with takotsubo syndrome. CMR diagnostic criteria for takotsubo syndrome include the combination of: typical regional WMA (apical, mid-ventricular, or basal ballooning); presence of reversible tissue injury (oedema); absence of irreversible tissue injury (LGE). CMR provides additional value to other imaging modalities for differential diagnosis (MI, myocarditis), pathophysiological insights, and detection of complications (e.g. LV thrombi) in takotsubo syndrome. In the acute phase, CMR is recommended in doubtful cases, especially if diagnosis of another type of MINOCA (e.g. myocarditis) requires a different therapeutic approach. In the post-acute phase, CMR is mandatory in all patients within 2 months, especially in case of persisting ECG abnormalities and/or regional WMA at echocardiography, in order to definitively confirm the diagnosis of takotsubo syndrome.

2018 Fourth universal definition of myocardial infarction22

The clinical definition of MI denotes the presence of acute myocardial injury detected by abnormal cardiac biomarkers in the setting of evidence of acute myocardial ischaemia. Criteria for acute MI include besides symptoms of myocardial ischemia, new ECG changes / development of pathological Q waves and identification of coronary thrombus by angiography/autopsy, also imaging evidence of new loss of viable myocardium or new regional wall motion abnormality in a pattern consistent with an ischaemic aetiology.

Commonly used imaging techniques in acute and prior MI are echocardiography, SPECT or PET, CMR, and possibly computed tomography (CT).

LGE-CMR techniques have been used in the setting of acute MI and localized delayed contrast enhancement is able to detect even small areas of subendocardial MI, thought to be as little as 1 g. CMR also has the ability to identify the presence and extent of myocardial edema/inflammation, allowing the distinction of acute vs. chronic myocardial injury. Typically, an ischaemic scar/fibrosis extends from the subendocardium to the epicardium.

In the setting of acute MI, CMR can also be used to assess the presence and extent of myocardium at risk (myocardial edema), myocardial salvage, microvascular obstruction (MVO), intramyocardial haemorrhage, and infarct size, all markers of myocardial injury that have prognostic value. In patients with possible acute MI but unobstructed coronary arteries, CMR can help to diagnose alternative conditions such as myocarditis, takotsubo syndrome, embolic infarction, or MI with spontaneous recanalization.

Takotsubo syndrome can mimic MI and is found in 1 – 2% of patients presenting with suspected ST-elevation MI (STEMI). Evidence of myocardial edema is often seen on CMR imaging during the acute phase but LGE is usually absent. The recovery time for LV function varies from hours to several weeks. In the absence of recovery of regional wall motion abnormalities, LGE-CMR is recommended to exclude MI with spontaneous recanalization.

In late presentation MI, in particular the ability to distinguish between subendocardial and other patterns of scars helps to differentiate between ischaemic heart disease and other myocardial pathologies.

LGE-CMR allows assessment of procedural myocardial injury. When quantifying procedural injury using LGE-CMR before and shortly after PCI or CABG, it was found that 32% of patients had evidence of procedural myocardial injury.

2017 ESC GUIDELINES FOR THE MANAGEMENT OF ACUTE MYOCARDIAL INFARCTION IN PATIENTS PRESENTING WITH ST-SEGME NT ELEVATION24

LV dysfunction is a key prognostic factor after STEMI. Routine echocardiography to assess resting LV and RV function, detect early post-MI mechanical complications, and exclude LV thrombus is recommended in all patients (before discharge) (class I recommendation, level of evidence B). When echocardiography is suboptimal/inconclusive, an alternative imaging method (CMR preferably) should be considered (class IIa recommendation, level of evidence C). Either stress echo, CMR, SPECT, or PET may be used to assess myocardial ischaemia and viability, including in multi-vessel CAD (before discharge) (class IIb recommendation, level of evidence C).

The timing of and best imaging technique (echocardiography, SPECT, CMR, or PET) to detect residual ischaemia and myocardial viability remains to be determined, but will also depend on local availability and expertise. The best validated and widely available tests are stress echocardiography and SPECT (both used in combination with exercise or pharmacological stress), but PET and CMR are equally indicated. LGECMR imaging has a high diagnostic accuracy for assessing the transmural extent of myocardial scar tissue. The presence of dysfunctional viable myocardium by LGE-CMR is an independent predictor of mortality in patients with ischemic LV dysfunction. Final infarct size and MVO are major independent predictors of long-term mortality and heart failure (HF) in survivors of STEMI. Noninvasive techniques to diagnose MVO are late gadolinium enhancement (LGE) CMR (the current state of the art for MVO identification and quantification), contrast echocardiography, SPECT, and PET.

In patients with pre-discharge LVEF ≤40%, repeat echocardiography 6–12 weeks after MI, and after complete revascularization and optimal medical therapy, is recommended to assess the potential need for primary prevention ICD implantation (class I recommendation, level of evidence C). When echo is suboptimal or inconclusive, alternative imaging methods (CMR preferably) should be considered to assess LV function (class IIa recommendation, level of evidence C).

Figure 1

Schematic exemplification of an adenosine stress-CMR protocol used in the work-up of patients with coronary syndromes, including edema (T2-STIR), stress/rest contrast myocardial perfusion, functional (cine) and tissue characterization (late gadolinium enhancement - LGE) sequences. * - 0.075 mmol/kg.

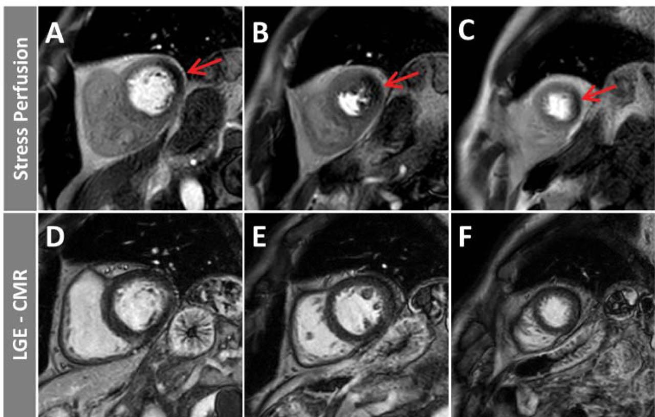
Figure 2

Stress perfusion during adenosine-hyperemia (A, B, C) and LGE images (D, E, F) in basal (A, D), mid-ventricular (B, E) and apical (C, F) short-axis. In the lateral wall segments, an inducible perfusion deficit can be visualized (red arrows) in the absence of scar (LGE), suggesting a hemodynamically relevant stenosis in the territory of the circumflex coronary artery.

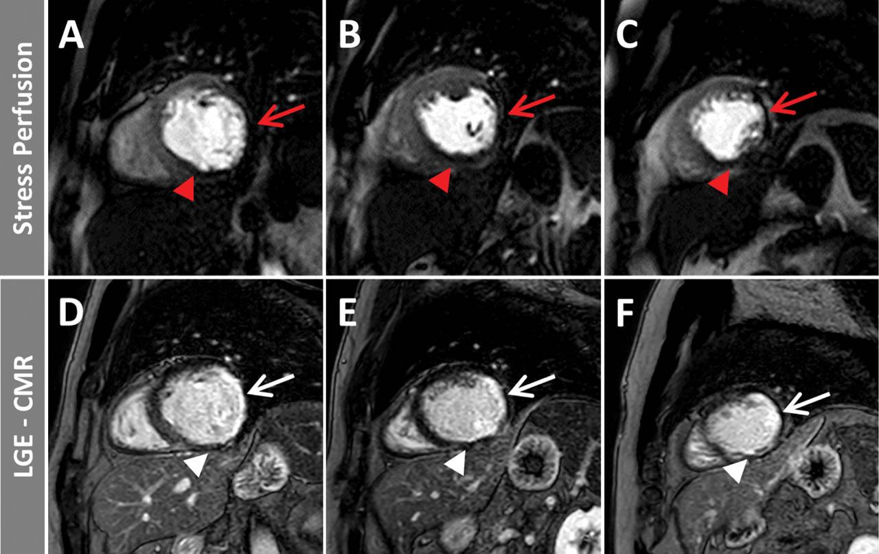
Figure 3

Stress perfusion during adenosine-hyperemia (A, B, C) and LGE images (D, E, F) in a chronic coronary syndrome patient with known two-vessel CAD: chronic total right coronary artery (RCA) occlusion and intermediate circumflex artery (LCX) stenosis as well as a history of lateral myocardial infarction. In the inferoseptal and inferior segments an ischemic scar (white arrow heads) with residual viability at basal, mid-ventricular level (subendocardial LGE with < 50% transmural extent) as well as a transmural inducible perfusion deficit (red arrow heads) exceeding the scar, can be seen, evidence of ischemic, viable myocardium in the RCA territory. On the other hand, the transmural scar (LGE, white arrows) in the lateral wall segments with corresponding perfusion deficit (red arrows) after lateral infarction demonstrates no relevant residual viability in the LCX territory.

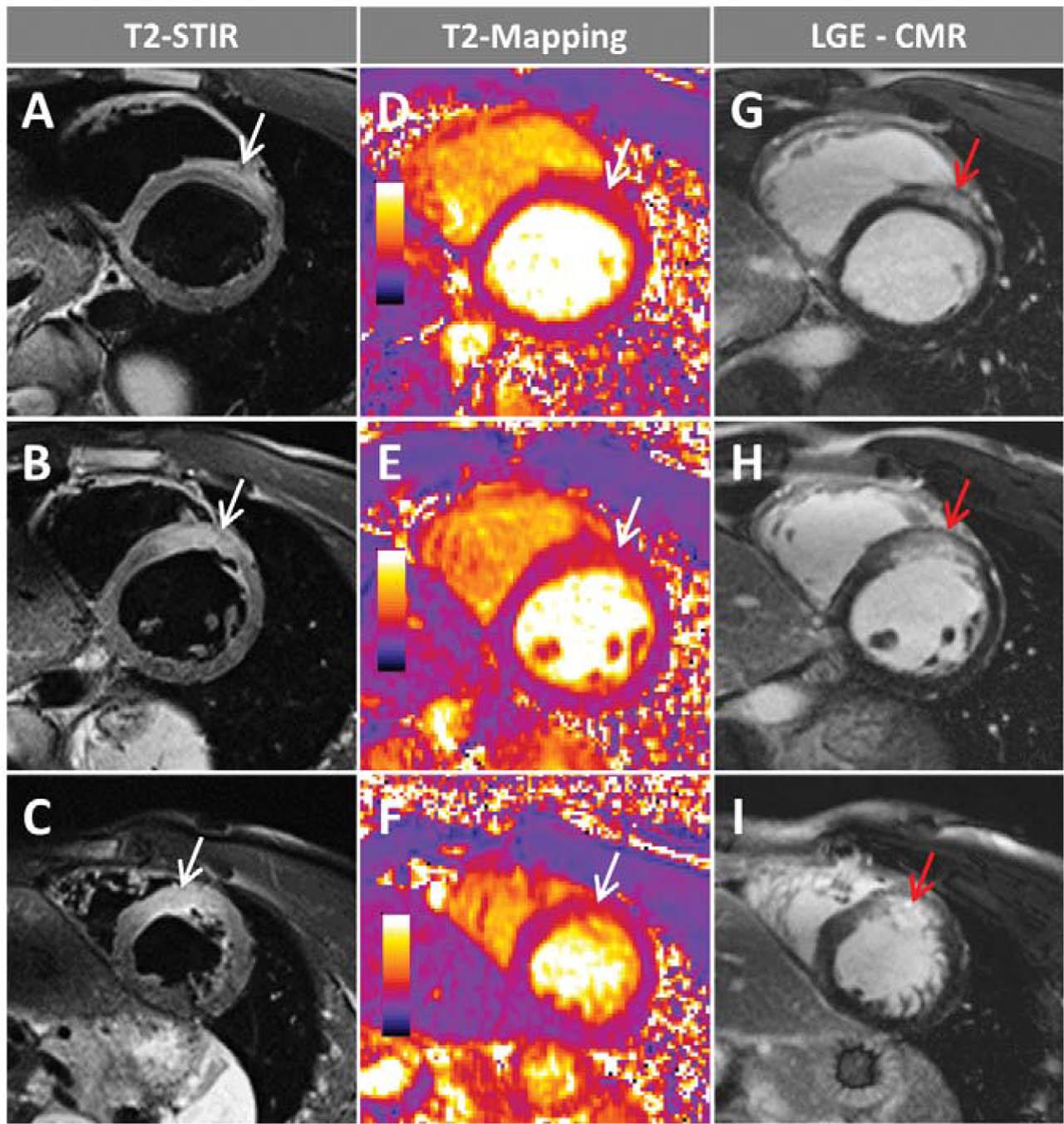
Figure 4

Edema sensitive T2-STIR (A, B, C) and T2-Mapping images (D, E, F) as well as LGE images (G, H, I) in a patient with acute anterior myocardial infarction. Acute ischemic myocardial damage in the anteroseptal and anterior myocardial segments can be seen with edema (white arrows): transmural T2-hyperintesity (A, B, C) and corresponding elevated T2 times (D, E, F), together with subendocardial to transmural LGE (G, H, I, red arrows).

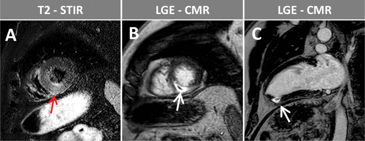
Figure 5

Edema sensitive T2-STIR in apical short-axis (A) and LGE images in apical short-axis (B) and two-chamber (C) view in a patient with myocardial infarction and no obstructive coronary arteries (MINOCA). A small, acute ischemic myocardial damage in the septal/inferior apical myocardial segments with edema (T2-hyperintesity, red arrow) and LGE (white arrows) can be seen. Within the LGE area, a small dark core of microvascular obstruction is also noticeable.

DOI: https://doi.org/10.47803/rjc.2020.31.4.795 | Journal eISSN: 2734-6382 | Journal ISSN: 1220-658X
Language: English
Page range: 795 - 805
Published on: May 5, 2022
Published by: Romanian Society of Cardiology
In partnership with: Paradigm Publishing Services
Publication frequency: 4 issues per year

© 2022 Ramona Bica, Virgil Ionescu, Jan Bogaert, Anca Florian, published by Romanian Society of Cardiology
This work is licensed under the Creative Commons Attribution 4.0 License.