The human oral cavity sustains a sophisticated ecological network of microorganisms, collectively termed the oral microbiome, that serves as both guardian and gatekeeper of dental health (Baker et al. 2024; Pathak et al. 2021). A balanced oral microbiome acts as a protective barrier against pathogenic colonization, while dysbiosis—marked by shifts in microbial composition and function—is strongly implicated in the development of dental caries, one of the most prevalent chronic diseases worldwide. Cariogenic bacteria, such as Streptococcus mutans and lactobacilli, thrive in dysbiotic conditions, metabolizing dietary sugars to produce acid that demineralizes tooth enamel and initiates caries formation (Lin et al. 2021).
As one of the most popular orthodontic appliances (Rouzi et al. 2023), clear aligners fully encase the crowns of teeth, with their inner surfaces in direct contact with the tooth enamel. Consequently, the microbiome and pH on the inner surface of the aligners may have a direct impact on enamel health. Over time, a decline in pH and an increase in the relative abundance of acidogenic bacteria have been observed on the inner surface of clear aligners (Yan et al. 2021).
Coca-Cola is currently the most widely consumed soft drink worldwide. Consumption of carbonated soft drinks has been associated with a high incidence of dental caries (Çetinkaya and Romaniuk 2020; Chan et al. 2020; Inchingolo et al. 2023). Previous studies have primarily focused on the effects of soaking isolated tooth enamel in various carbonated beverages, such as Coca-Cola and Sprite, investigating their impact on fixed orthodontic appliances and ion precipitation (Struzycka 2014). However, research addressing the relationship between carbonated beverages and clear aligners has largely been limited to their effects on aligner color and material properties (Zimmer et al. 2015).
Traditional microbiological methods, including bacterial cultivation and polymerase chain reaction (PCR), are limited in their ability to comprehensively characterize the bacterial community (Williamson et al. 2021). In contrast, 16S rRNA gene sequencing, a high-throughput technique, offers an efficient and accurate approach to profiling microbial composition within complex microecosystems (Buetas et al. 2024).
In this study, participants were divided into three groups: a control group with no Coca-Cola consumption, a group consuming Coca-Cola with aligners removed, and a group consuming Coca-Cola while wearing aligners. By comparing the microbial profiles and pH values across these groups, we aim to elucidate the effects of aligner use combined with soft drink consumption on the inner microenvironment of clear aligners. The findings may provide valuable guidance for both clinicians and patients in managing aligner hygiene and reducing the risk of enamel demineralization during orthodontic treatment.
24 graduate students who participated in this study were carefully screened and provided informed consent. The inclusion criteria were as follows: female subjects aged 20–25 years; absent of mucosal disease, periodontitis or systemic conditions; no prostheses or untreated caries; non-smokers; not pregnant or lactating; no antibiotic use within one month prior to enrollment; mild dental crowding; good oral hygiene; and having undergone professional gingival cleaning 15 days before the study commenced. Exclusion criteria included poor oral habits and any other conditions deemed unsuitable for participation by the researchers. Each participant was provided with 5 passive clear aligners custom-made to fit their dentition. All subjects were instructed to brush their teeth twice daily but not to clean their aligners. Standardized oral hygiene guidance was given to ensure plaque indices remained below 20%. Uniform toothbrushes and toothpaste were supplied to all participants at the start of the study. As for the diet, since the participants were all students on campus, they ate at the same cafeteria, which has a relatively fixed menu.
The study consisted of three experimental conditions: Group A (no Coca-Cola), Group B (rinsed with Coca-Cola for 1 minute before putting on aligners), and Group C (rinsed with Coca-Cola for 1 minute while wearing aligners). Each experiment included five sampling time points: T0 (3 minutes after wearing aligners), T4 (4 hours), T8 (8 hours), T12 (12 hours), and T24 (24 hours), with a one-week washout period between each time point. After the aligners were removed, liquid contents from their surfaces were aspirated using a 10 μl pipette and transferred to fresh 1.5 ml Eppendorf tubes. The samples were incubated at 25°C and analyzed within 1 hour of collection. Plaque from the inner surfaces of the aligners was scraped using a sterile cotton swab, placed into 1.5 ml Eppendorf tubes, and stored at −80°C until further analysis. All procedures were performed by the same physician. Samples were centrifuged at 3,000 rpm for 5 minutes, and the pH of the supernatant was measured. Plaque from the inner surface was then collected by sterile cotton swabs for DNA extraction, amplification, library preparation, and data processing at the Beijing Genomics Institute. All procedures were performed by the same clinician to ensure consistency.
The raw sequencing data were in FASTQ format. Paired- end reads were preprocessed using Trimmomatic software (Bolger et al. 2014) to remove ambiguous bases (N) and trim low-quality sequences with an average quality score below 20, employing a sliding window trimming approach. After trimming, paired-end reads were assembled using FLASH software (Reyon et al. 2012). The assembly parameters were as follows: a minimum overlap of 10 bp, a maximum overlap of 200 bp, and a maximum mismatch rate of 20%. Further denoising was performed by removing reads with ambiguous bases, homologous sequences, or those shorter than 200 bp. Reads with ≥ 75% of bases having a quality score above Q20 were retained. Chimera detection and removal were also performed. These steps were carried out using QIIME software (version 1.8.0) (Caporaso et al. 2010). The clean reads underwent primer sequence removal and clustering to generate operational taxonomic units (OTUs) using Vsearch software (Rognes et al. 2016) with a 97% similarity cutoff. The representative read from each OTU was selected using QIIME. All representative reads were annotated and compared against the Silva database (version 138) using the RDP classifier (Wang et al. 2007), with a confidence threshold of 70%. QIIME software was used for both alpha and beta diversity analyses. Microbial diversity in the samples was assessed using alpha diversity indices, including the Chao1 and Shannon indices. For beta diversity analysis, unweighted UniFrac distance matrices were generated and subjected to Principal Coordinates Analysis (PCoA) using the R package. Significant differences between groups were determined using ANOVA, Kruskal–Wallis, T-test, or Wilcoxon statistical tests, as appropriate. The linear discriminant analysis effect size (LEfSe) method was employed to compare the taxonomy abundance spectrum across groups. Means, standard deviations, and medians were calculated for each study group. Beta diversity was assessed, and principal component analysis (PCA) was performed across different time points using weighted UniFrac distance matrices to generate dissimilarity matrices. Differences between groups were evaluated using analysis of variance (ANOVA). Statistical significance was determined at p < 0.05, p < 0.01, or p < 0.001. All statistical analyses were conducted using IBM SPSS Statistics version 25 (IBM Inc., USA).
The pH values of the fluid on the inner surface at 5 time points are presented in Table I and Fig. 1. The average age of the subjects was 23.1 ± 2.9 years. Compared to group A, the pH values in groups B and C decreased significantly immediately after rinsing with Coca-Cola (p < 0.05), then rose close to group A levels at 4 hours, followed by a notable decline after 12 hours (p < 0.05). The pH drop at 12 hours was significantly more pronounced in group B than in group C (p < 0.05).

The pH value of liquid on the inner surface of the aligners at each sampling time. * means there is a statistical difference, p < 0.05.
The pH value at each time point.
| Time points | Number | pH value of aligner (mean ±S.D.) |
|---|---|---|
| Initial | 8 | 7.72 ± 0.319 |
| Group A-T0 | 8 | 7.72 ± 0.319 |
| Group A-T4 | 8 | 7.62 ± 0.171 |
| Group A-T8 | 8 | 7.53 ± 0.193 |
| Group A-T12 | 8 | 7.43 ± 0.261 |
| Group A-T24 | 8 | 7.42 ± 0.241 |
| Group B-T0 | 8 | 6.93 ± 0.260A |
| Group B-T4 | 8 | 7.43 ± 0.301 |
| Group B-T8 | 8 | 7.45 ± 0.329 |
| Group B-T12 | 8 | 7.23 ± 0.325A |
| Group B-T24 | 8 | 7.38 ± 0.162 |
| Group C-T0 | 8 | 6.83 ± 0.227A |
| Group C-T4 | 8 | 7.46 ± 0.107 |
| Group C-T8 | 8 | 7.47 ± 0.105 |
| Group C-T12 | 8 | 7.37 ± 0.191AB |
| Group C-T24 | 8 | 7.38 ± 0.187 |
Initial refers to the state of the aligners at the beginning of the experiment
- p < 0.05 represents that there is a statistical difference compared with group A
- p < 0.05 represents that there is a statistical difference compared with group B
A total of 7,460,500 raw reads were generated from 120 plaque samples, averaging 74,605 ± 1,997 reads per sample. After processing, 7,438,524 clean reads were obtained, with an average of 74,385 ± 1,994 reads per sample. Following tag alignment, 5,279,487 tags remained, averaging 52,849 ± 1,536 per sample, with an average tag length of 291 bp. Clustering all tags at 97% similarity resulted in 610 OTUs, averaging 162 ± 30 OTUs per sample.
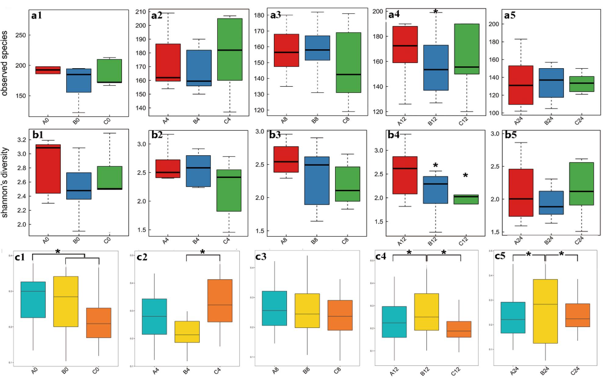
Alpha diversity reflects the micro-ecological diversity of each sample. Figure 2 compared the microbial diversity on the inner surfaces of aligners across the three groups at each wearing time point. Observed species counts (Fig. 2a1, 2a2, 2a3, and 2a5) indicate that the number of microbial OTUs on the aligners’ inner surfaces was similar among the three groups at 0 hour, 4 hours, 8 hours, and 24 hours. However, at 12 hours, group B exhibited a significantly lower number of microbial OTUs compared to the other two groups (Fig. 2a4, p < 0.05). Shannon diversity indices (Fig. 2b1 to 2b4) showed that microbial richness and evenness on the inner surfaces of groups B and C were lower than those of group A at 0 hour, 4 hours, 8 hours, and 12 hours, with the difference reaching statistical significance at 12 hours (p < 0.05). By 24 hours, the microbial community compositions of all three groups were similar (Fig. 2b5).

The alpha diversity and beta diversity of plaque microorganisms on the inner surface of aligners among groups. The order of the five lines in each set of data from the bottom to top indicates the minimum, first quartile, median, third quartile and maximum. * indicates a statistical difference, p < 0.05.
Beta diversity measures the differences in species composition between samples across groups. Figure 2c1–2c5 compare the microbial beta diversity of the three aligner groups at 0 hour, 4 hours, 8 hours, 12 hours, and 24 hours. At 0 hour (Fig. 2c1), beta diversity in groups B and C was significantly lower than in group A (p < 0.05), with group C showing the lowest diversity. At 4 hours (Fig. 2c2), group B exhibited significantly lower beta diversity compared to group C (p < 0.05). By 8 hours (Fig. 2c3), the beta diversity among all three groups was similar. However, at 12 hours and 24 hours (Fig. 2c4 and 2c5), group B displayed significantly higher beta diversity than the other groups (p < 0.05).
To assign species classification to each OTU, taxonomic analysis was performed using the RDP classifier Bayesian algorithm. This approach enabled characterization of the microbial community composition at the phylum, class, and species levels for each sample.
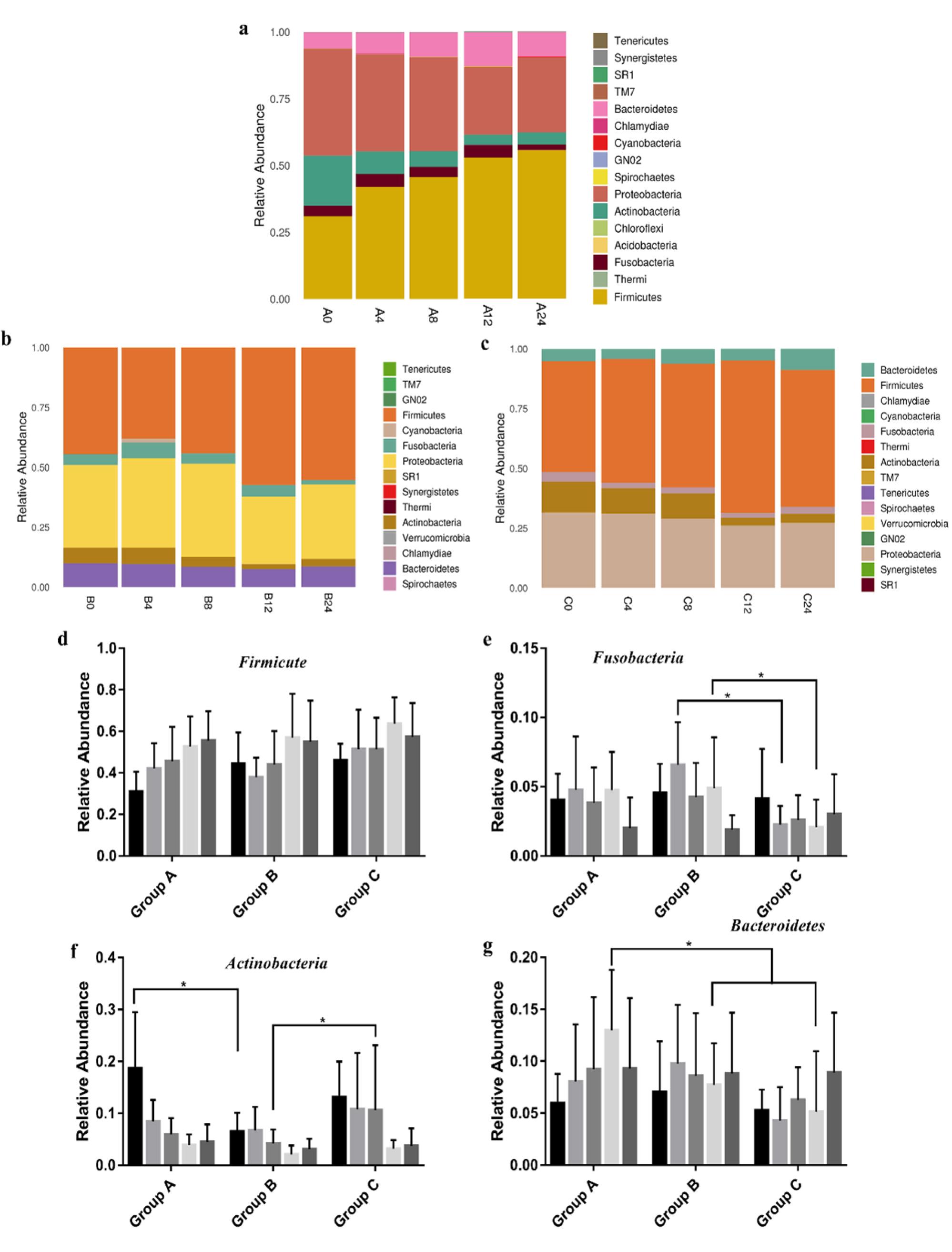
Figure 3 illustrated the composition of the 15 most abundant bacterial taxa on the inner surface of the aligners at the phylum level. The bacterial abundance at 0 hour, 4 hours, 8 hours, 12 hours, and 24 hours were shown in Figure 3a (group A), 3b (group B), and 3c (group C). Figure 3d–g compared the abundance of key phyla among the three groups across these time points. The abundance of Firmicutes gradually increased from 0 hour to 24 hours in all groups, with no significant differences observed between them. Fusobacteria levels in group B were significantly higher than in group C at 4 hours and 12 hours (p < 0.05). Actinobacteria abundance was higher in group A compared to groups B and C at 0 hour, and group B showed lower levels than group C at 8 hours, both with significant differences (p < 0.05). Additionally, Bacteroidetes abundance was significantly greater in group A than in groups B and C at 12 hours (p < 0.05).

Bacterial composition distribution on the inner surface of the three groups at phylum level. * indicates a statistical difference, p < 0.05.
The changes in microbial abundance under the class category among groups were statistically significant only at 24 hours. The eight most prevalent classes (relative abundance > 1.0%) were shown in Figure 4a–b. Among these core classes, the abundances of Bacilli, Bacteroidia, Actinobacteria, Fusobacterium and Gammaproteobacteria were higher in group A compared to groups B and C. Conversely, Betaproteobacteria, Clostridia and Flavobacteriia were less abundant in group A than in groups B and C. Notably, the relative abundance of Actinobacteria in group A was significantly higher than in group B and C (p < 0.01), and the relative abundance of Gammaproteobacteria was significantly higher in group A compared to group C (p < 0.05).

Comparison microbiome distribution on the inner surface of three groups at class and species level at 24h. * indicates a statistical difference, p < 0.05, ** indicates a statistical difference, p < 0.01.
Changes in microbial abundance at the species level among the groups were statistically significant only at 24 hours. The ten most prevalent species (relative abundance > 1.0%) were shown in Figure 4c–d. Among those core species, the abundances of Haemophilus_influenzae, Streptococcus_infantis, and Prevotella_melaninogenica were higher in group A compared to groups B and C. In contrast, Rothia_dentocariosa and Neisseria_subflava were less abundant in group A than in groups B and C. The abundance of Haemophilus_parainfluenzae was higher in group B than in groups A and C. Additionally, Veillonella_dispar, Rothia_mucilaginosa, Prevotella_nanceiensis, and Veillonella_parvula were less abundant in group B compared to groups A and C. The relative abundance of Haemophilus_influenzae in group A were significantly higher than groups B and C (p < 0.05), while the relative abundance of Neisseria_subflava in group A was significantly lower than in groups B and C (p < 0.05).
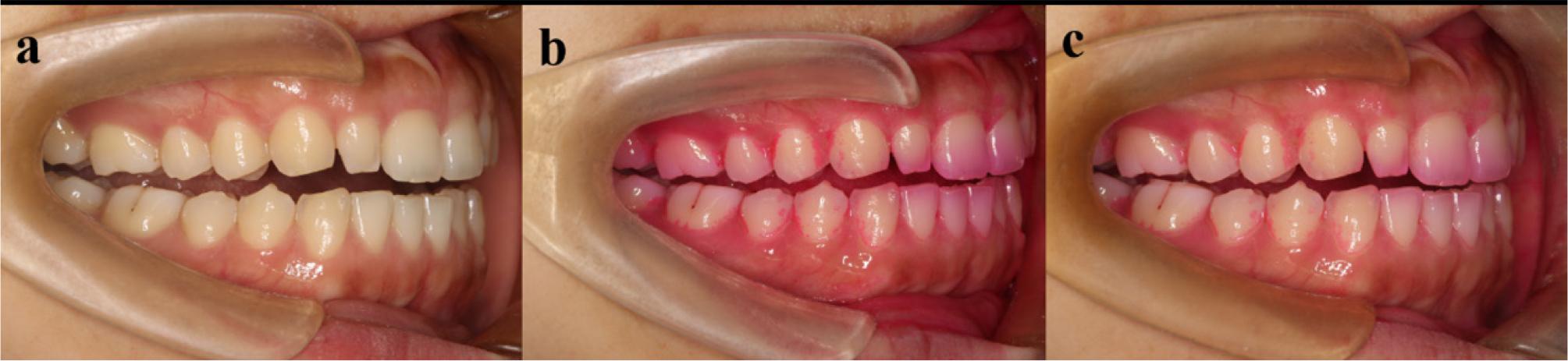
From the changes in pH values observed in this study, it was evident that regardless of Coca-Cola consumption, the pH on the inner surface of aligners gradually decreased over time. In the Coca-Cola groups, the immediate effect of Coca-Cola inside the aligners caused a temporary drop in the pH and altered the physical and chemical properties of the fluid on the inner surface. After 8 hours, the acidity of Coca-Cola was mostly neutralized, with pH values approaching those of the control group. Beyond 8 hours, the declining pH trend was primarily time-dependent. We did not find any literature reporting pH changes within orthodontic aligners after the consumption of cola. However, some studies have reported changes in salivary pH following cola consumption. Osman and Abdulkhalik (2025) recruited 1,471 participants from both urban and rural communities and measured salivary pH using a calibrated digital pH meter before soft drink consumption (baseline) and at multiple time points after consumption (0–60 minutes). The results showed that all tested soft drinks caused a significant decrease in salivary pH after consumption, with pH values returning to near baseline levels at 60 minutes. De Lima Almenara et al. (2016) evaluated the effect of drinking Coca-Cola on salivary pH in 12-year-old children. The results showed that salivary pH decreased significantly immediately after consuming the soft drink compared to baseline. Fifteen minutes after consumption, although the pH had partially recovered, it had not yet returned to baseline levels. These findings are similar to our study, showing a significant decrease in pH after drinking cola, followed by a subsequent recovery of pH. Notably, at 12 hours, group B showed a more significant pH decrease, possibly because more Coca-Cola residue remained on the tooth surface when aligners were removed during drinking, and the acidic substances produced by the microbial breakdown of these residues lowered the pH. In contrast, wearing aligners while drinking seemed to shield the tooth surface from impact of Coca-Cola. Clinical photographs from our clinic partially support this hypothesis: Figure 5a shows a normal tooth surface, Figure 5b shows the tooth surface after rinsing with a disclosing agent for 1 minute with aligners removed, and Figure 5c shows the same procedure with aligners on. The disclosing agent revealed a noticeably larger and darker stained area on the tooth surface without aligners. We plan to further investigate the underlying mechanisms behind these changes in future studies.

Comparison of tooth surface after different rinsing methods.
There are few studies on the changes in the oral microbiome caused by drinking Coca-Cola; most of the literature focuses on the effects of long-term consumption of certain beverages on the oral microbial community (Fan et al. 2018; Fan et al. 2024). Dassi et al analyzed the saliva microbiome of 21 volunteers and found that, in healthy individuals, consumption of commercial probiotics could increase the overall diversity of the oral microbiome (Dassi et al. 2018). Fan et al. (2018), based on a large population of 1,044 U.S. adults, indicated that heavy alcohol consumption may influence the composition of the oral microbiome. Additionally, certain genera were enriched in individuals with higher alcohol consumption, including Actinomyces, Leptotrichia, Cardiobacterium, and Neisseria. Peters et al. (2018) investigated the relationship between coffee and tea consumption and the oral microbiome. They found that tea intake was associated with changes in the abundance of several oral taxa, including increased abundance of Fusobacteriales, Clostridiales, and Shuttleworthia satelles, and decreased abundance of Bifidobacteriaceae, Bergeyella, Lactobacillales, and Kingella oralis. High coffee consumption was only associated with increased abundance of Granulicatella and Synergistetes. In our study, regarding microbial diversity, alpha diversity and OTU counts decreased over time, indicating that the microbial environment inside the aligners shifted toward a less balanced state with prolonged wear. Beta diversity analysis, which compares microbial composition between groups, showed that at 0 hour, groups B and C had similar microbiomes distinct from group A, which may be caused by an immediate decrease in oral pH. At 12 and 24 hours, group B showed marked differences from groups A and C, which may have been caused by acidic substances produced by the microbial metabolism of residues left on the teeth. We will validate these hypotheses in future experiments. Significant changes in microbial diversity and composition were observed across phylum, class, and species levels during aligner wear. We observed that caries-associated bacteria, such as Streptococcus mutans (Forssten et al. 2010) and Actinomyces (Tang et al. 2003), did not show an increase in quantity within the 24-hour period after consuming Coca-Cola, which was contrary to our expectations. We propose two possible reasons for this: first, the limited number of cola-drinking events may have resulted in insufficient cola residue on the teeth to stimulate the proliferation of caries-associated bacteria; second, the observation period may have been too short, and a longer duration—perhaps beyond 24 hours—might yield different findings. However, increasing the frequency of cola consumption or extending the experimental period would lead to greater damage to the teeth. To further verify our hypothesis, we plan to conduct experiments in mice in the future.
The damaging effects of carbonated acidic beverages on teeth have been widely studied (Damle et al. 2011; Ehlen et al. 2008; Inchingolo et al. 2023). Excessive consumption of these acidic substances increases the likelihood of dental erosion, leading to structural damage of the enamel and a reduction in its physical and mechanical properties. (Inchingolo et al. 2023). Clinically, we observe tooth surface demineralization after consuming carbonated drinks, caused both by their low pH and by shifts in bacterial populations. Wearing aligners during consumption appears to mitigate the impact of these beverages on the tooth surface. Therefore, drinking carbonated beverages with aligners on may have less harmful effects on enamel if proper oral hygiene is maintained. Our research group plans to conduct long-term studies to further dissect the effects of carbonated drinks on oral microecology.
To our knowledge, this is the first study to analyze the bacterial flora on the inner surface of clear aligners following Coca-Cola consumption. We examined how carbonated beverages affect the microecological environment of aligners and how wearing aligners during consumption influences this effect. In conclusion, this study highlights the importance of aligner-related behavioral guidelines in preventing dysbiosis of the oral microenvironment. Integrating microbial monitoring into orthodontic care may provide a promising avenue for personalized oral health management during aligner-based treatment.
In this study, we explored the pH value and bacterial composition on the inner surface of aligners under three conditions: normal diet, drinking Coca-Cola with aligners on, and drinking Coca-Cola with aligners removed. Our findings indicate that Coca-Cola consumption adversely affects the microenvironment inside the aligners. In particular, drank without aligners would cause more Coca-Cola to retain, that would cause lower pH value and imbalanced bacterial flora especially at 12 hours. This imbalance included an increase in certain cariogenic bacteria such as Fusobacterium and Actinomyces, alongside a decrease in Bacteroides. These results provide a foundation for further research into the underlying mechanisms and offer valuable guidance for the clinical use of clear aligners.