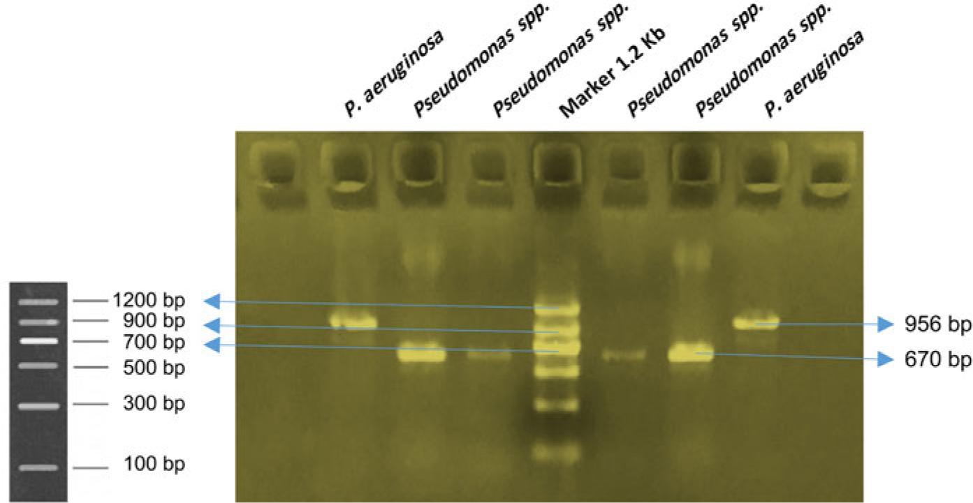
Fig. 1.

Fig. 2.

Fig. 3.

Distribution of resistance genes Pseudomonas aeruginosa_
| Gene | Target | Amplicon size | Primer Sequences (5’ to 3’) | Prevalence |
|---|---|---|---|---|
| blaCXT-M | Beta lactamase resistance gene (CTX-M) | 550 bp | F: CGCTTTGCGATGTGCAG | 10/26 (38.4%) |
| blaSHV | Beta lactamase resistance gene (SHV) | 800 bp | F: TTATCTCCCTGTTAGCCACC | 3/26 (11.5%) |
| blaACC-1 | Bet lactamase resistance gene (ACC-1) | 873 bp | F: CACCGAAGCCGTTAGTTGAT | 3/26 (11.5%) |
| qnrB | Quinolone resistance gene | 469 bp | F:GATCGTGAAAGCCAGAAAGG R: ACGATGCCTGGTAGTTGTCC | 3/26 (11.5%) |