Human noroviruses are a significant cause of acute gastroenteritis worldwide (Tarr et al. 2021), affecting individuals of all age groups, with young children and the elderly being particularly susceptible (Kapikian et al. 1972; Katayama et al. 2014; Bernstein et al. 2015). It is estimated that noroviruses are responsible for approximately 18 percent of all cases of acute gastroenteritis (Ahmed et al. 2014). Currently, norovirus-induced infectious gastroenteritis is recognized as a leading cause of escalating morbidity and mortality, especially among young children in developing nations (Bok and Green 2012; Lian et al. 2019; Liao et al. 2021). Noroviruses belong to the family Caliciviridae and are characterized as non-enveloped entities with a positive-sense RNA genome approximately 7,500 nucleotides in length, exhibiting variations among different isolates (Lambden et al. 1993; Zhou et al. 2021). The norovirus genome comprises three open reading frames (ORF): ORF1, ORF2, and ORF3, which may synthesize eight proteins (Kobayashi et al. 2016). ORF1 encodes a polyprotein precursor that is proteolytically processed to yield six nonstructural proteins, including RNA-dependent RNA polymerase (RdRp), while ORF2 and ORF3 encode the major and minor structural proteins, respectively (Jiang et al. 1993; Glass et al. 2000).
Phylogenetically, noroviruses are classified into 10 genogroups (GI~GX) with a total of 49 genotypes (9 GI, 27 GII, 3 GIII, 2 GIV, 2 GV, 2 GVI, and one genotype each for GVII, GVIII, GIX [formerly GII.15], and GX) (Chhabra et al. 2019). Moreover, the nucleotide diversity of the RdRp gene, noroviruses can be categorized into 60 P-types (14 GI, 37 GII, 2 GIII, 1 GIV, 2 GV, 2 GVI, 1 GVII, and 1 GX), 2 tentative P-groups and 14 tentative P-types (Chhabra et al. 2019). Five norovirus genogroups, including GI, GII, GIV, GVIII, and GIX, can infect humans (Winder et al. 2022). Among these, norovirus GII is the primary causative agent in gastroenteritis outbreaks, with a single genotype (GII.4) predominating globally (Winder et al. 2022). However, despite over two decades of GII.4 predominance, there has been a recent emergence and increase in the incidence of GII.2 norovirus outbreaks in various countries (Ao et al. 2017; Niendorf et al. 2017).
The primary clinical symptoms of norovirus-induced acute gastroenteritis closely resemble those caused by rotavirus, sapovirus, and astrovirus, primarily presenting as vomiting and diarrhea (Pang et al. 2000; Rockx et al. 2002; O’Ryan et al. 2010; Wikswo et al. 2013). Relying solely on clinical presentation to diagnose norovirus has proven challenging (Bányai et al. 2018; Luo et al. 2019). Additionally, distinguishing norovirus gastroenteritis from bacterial gastroenteritis based solely on clinical manifestations is often difficult (Lively et al. 2018). Therefore, prompt and accurate diagnosis of norovirus infection in food-contaminated samples is crucial for determining appropriate treatment, avoiding unnecessary antibiotic usage, and mitigating the transmission of norovirus gastroenteritis.
Various detection methods for norovirus have been utilized, encompassing both immunological and molecular biological techniques (Wang et al. 2021). While enzyme immunoassays serve as accessible tests, quantitative reverse transcription polymerase chain reaction (qRT-PCR) is considered the gold standard for norovirus detection. Both methods utilize stool or emesis samples to detect noroviruses. However, qRT-PCR for norovirus testing encounters certain limitations. For instance, qRT-PCR is time-consuming and complex, requiring specialized skills and equipment, which hampers rapid detection in resource-limited settings. Additionally, the current qRT-PCR cannot differentiate norovirus genotypes in infected samples, potentially overlooking newly emerging variants. Therefore, there is a critical need for methods that can quickly and simply identify norovirus GII.2 genotype strains. Such a method would aid in understanding diversification and gaining insights into the prevalence of norovirus genotype strains among norovirus outbreaks.
In the present study, we developed a rapid and sensitive detection method for the norovirus GII.2 genotype by combining reverse transcription recombinase polymerase isothermal amplification (RT-RPA) with CRISPR/Cas12a technology. This synergistic approach enabled the detection of target RNA at a concentration as low as 10 copies/μl within 35 minutes. The assay results were easily interpretable using lateral flow strips (LFS), enhancing its feasibility for point-of-care applications.
Materials. The primers for detecting GII.2 and the recombinant plasmid containing norovirus GII.2 target sequences were provided by Sangon Biotech Co., Ltd., based in Shanghai (China). The single-stranded DNA (ssDNA) reporter molecules were synthesized by GENWIZ Biotechnology Co., Ltd. (China). The RT-RPA isothermal amplification kit was purchased from LeShang Biotechnology Co., Ltd. (China). The One Step PrimeScript™RT-PCR Kit, MidiBEST Endo-free Plasmid Purification Kit, and IVTpro™mRNA Synthesis System were obtained from Takara Biomedical Technology (Beijing) Co., Ltd. (China). The CRISPR-Cas12a protein was sourced from New England Biolabs Co., Ltd. (China), while the nucleic acid detection test strips were acquired from Baoying Tonghui Biotechnology Co., Ltd. (China).
Identification of the target sequence and generation of standard RNA of norovirus GII.2. Approximately 17 complete genome sequences of the norovirus GII.2 subtype were retrieved from the NCBI website, utilizing the following accession numbers: NC039476.1, LC646332.1, LC646333.1, LC726079.1, LC726080.1, LC726081.1, LC726082.1, LC726083.1, LC726084.1, LC726085.1, LC726086.1, LC726087.1, LC726088.1, LC726089.1, LC726090.1, KY421121.1, and KY421122.1. Following a comparative analysis of these 17 genome sequences using SnapGene® software (Dotmatics, USA, snapgene.com), a conserved fragment of 221 bp within the VP2 gene of the norovirus GII.2 subtype was identified as the target sequence. Subsequently, this target sequence was synthesized and integrated into the plasmid pBluescript II SK+ to construct a recombinant plasmid named pBlu NoV-GII.2, facilitated by Sangon Biotech Co., Ltd. (China).
After linearizing the pBlu-NoV-GII.2 with the SacI enzyme, the resulting product was retrieved using a universal DNA purification kit. The purified DNA served as the transcription template for the in vitro preparation of standard RNA of the norovirus GII.2 subtype target sequence using the Takara IVTpro™synthesis system. The concentration of the standard RNA was determined using an ultramicro-volume spectrophotometer, and the copy number was subsequently calculated. Finally, the standard RNA was stored at -80°C for future use.
Design of primers, crRNA and report probe for RT-RPA-Cas12a-LFS and qRT-PCR of norovirus GII.2. The RT-RPA method, driven by the action of recombinase and single-stranded binding protein action, obviates the necessity for denaturation and annealing steps, setting it apart from traditional PCR reactions. RT-RPA primers typically range from 30 to 35 nucleotides in length, with GC content between 40 ~ 60%. In this study, four RT-RPA reaction primers were intricately designed, adhering to this fundamental principle, to target the norovirus GII.2 subtype specifically. The protospacer adjacent motif (PAM, TTTV) site was identified within the 221 bp sequence fragment targeting the norovirus GII.2 subtype, serving as the basis for crRNA design. Initially, the PAM site was located within the target sequence, followed by the determination of the 24-base sequence following the PAM site as the crRNA binding site in the 5’→3’ direction. A sequence rich in adenine and uracil was then appended to the 5’ end of the crRNA, forming a stem-loop structure essential for Cas12a functionality. The pre-crRNA was utilized for in vitro preparation of crRNA, with the oligonucleotide sequence comprising the following components: T7 promoter (TAATAC-GACTCACTATAGG), Cas12a scaffold sequence (AAT TTCTACTAAGTGTAGAT), and targeting sequence. The template dsDNA for crRNA was generated by annealing the pre-crRNA, followed by in vitro transcription using the Takara IVTpro™synthesis system to synthesize crRNA. The concentration and purity of crRNA were determined using an ultra-micro spectrophotometer, and the resulting products were stored at -80°C for subsequent use. The qRT-PCR primers and probe for detecting the same target sequence NoV GII.2 were designed by the software Beacon Designer 8.14. The corresponding oligonucleotide sequences of qRT-PCR primers and probe, RT-RPA primers, crRNA, and ssDNA reporter for detecting NoV GII.2 were detailed in Table I.
The oligonucleotide sequences for the primer, crRNA, and ssDNA reporter.
| Name Sequence (5’-3’) | NoV-GII.2-F1 AGGTGCYAATGCAATAAATCAGAGGGCAGA |
|---|---|
| NoV-GII.2-F2 | CAATGGGCTYAGTTCAYTRATYAATGCAGG |
| NoV-GII.2-R1 | CACCTCTGGCTGCATCAGCRGGGGAAAAGC |
| NoV-GII.2-R2 | TGTTTTATAGCCATCATRTCTGCCTGCAGC |
| Pre-NoV-GII.2-crRNA-F | GAAATTAATACGACTCACTATAGGGTAATTTCTACTAAGTGTAGATAATCATGATAAGGAGATGTT |
| Pre-NoV-GII.2-crRNA-R | AACATCTCCTTATCATGATTATCTACACTTAGTAGAAATTACCCTATAGTGAGTCGTATTAATTTC |
| ssDNA reporter | 6-FAM-TTATTATT-Biotin |
| NoV-GII.2-qPCR-F | GAGGGCAGAATTTGATTTTAATC |
| NoV-GII.2-qPCR-R | CCTTGTTTTATAGCCATCATG |
| NoV-GII.2-qPCR-P | FAM-TTGCCTGAATCTGAGCCTGC-BHQ1 |
Screening of the optimal RT-RPA primer and its concentration. Two pairs of primers were designed, and various combinations (NoV-GII.2-F1/NoV-GII.2-R1, NoV-GII.2-F1/NoV-GII.2-R2, NoV-GII.2-F2/NoV-GII.2-R1, NoV-GII.2-F2/NoV-GII.2-R2, NoV-GII.2-F1+NoV-GII.2-F2/NoV-GII.2-R1+NoV-GII.2-R2) were utilized to determine optimal RT-RPA amplification efficiency. Furthermore, the optimal primer concentrations were evaluated, specifically set at 0.1, 0.2, 0.3, 0.4, 0.5, 0.6, and 0.7 μM. The screening was performed using the RT-RPA reaction system formulated as follows: 25 μl of the reaction buffer, 2 μl of forward primer, 2 μl of reverse primer, 13 μl of RNase-free water, 5 μl of standard RNA, and 3 μl of Magnesium acetate, yielding a total volume of 50 μl. The reaction mixtures were incubated in a T8 isothermal amplification instrument at 37°C for 25 minutes. Subsequently, the resulting products were analyzed using 2% agarose gel electrophoresis and the Cas12a-LFS assay, respectively.
The Cas12a-mediated trans-cleavage reaction mixture consisted of 5 μl of 10 × NEB Buffer™ r2.1, 2 μl of ssDNA (1 μM), 1 μl of 2 μM Cas12a, 4 μl of 1 μM crRNA, 0.5 μl of RNase inhibitor (40 U), 27.5 μl of deionized water, and 10 μl of RT-RPA products. The reaction was carried out at 37°C for 10 minutes. Subsequently, the Cas12a test strips were introduced into the cleavage products. The results of the Cas12a-LFS assay were screened based on the intensity of the bands on the LFS.
Optimization of the reaction time of RT-RPA of norovirus GII.2. The RT-RPA reaction was conducted at various time points, specifically 20, 25, 30, 35, and 40 minutes, utilizing the optimal primer conditions determined above. Subsequently, the reaction mixtures were introduced into a T8 isothermal amplification instrument to ascertain the optimal reaction time for RT-RPA.
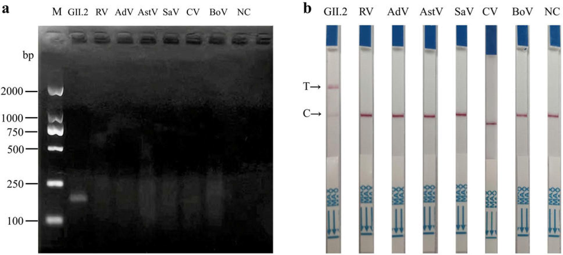
Specificity analysis of RT-RPA-Cas12a-LFS for norovirus GII.2. The genomes of human rotavirus (RV), adenovirus (AdV), astrovirus (AstV), sapovirus (SaV), coxsackievirus (CV), and bocavirus (BoV) were extracted following the guidelines provided by the nucleic acid extraction kit and used as templates for RT-RPA. In contrast, standard RNA of norovirus GII.2 subtype (NoV) and ddH2O (NC) were used as positive and negative control templates, respectively. The amplification products were detected via agarose gel electrophoresis and the Cas12a-LFS assay.
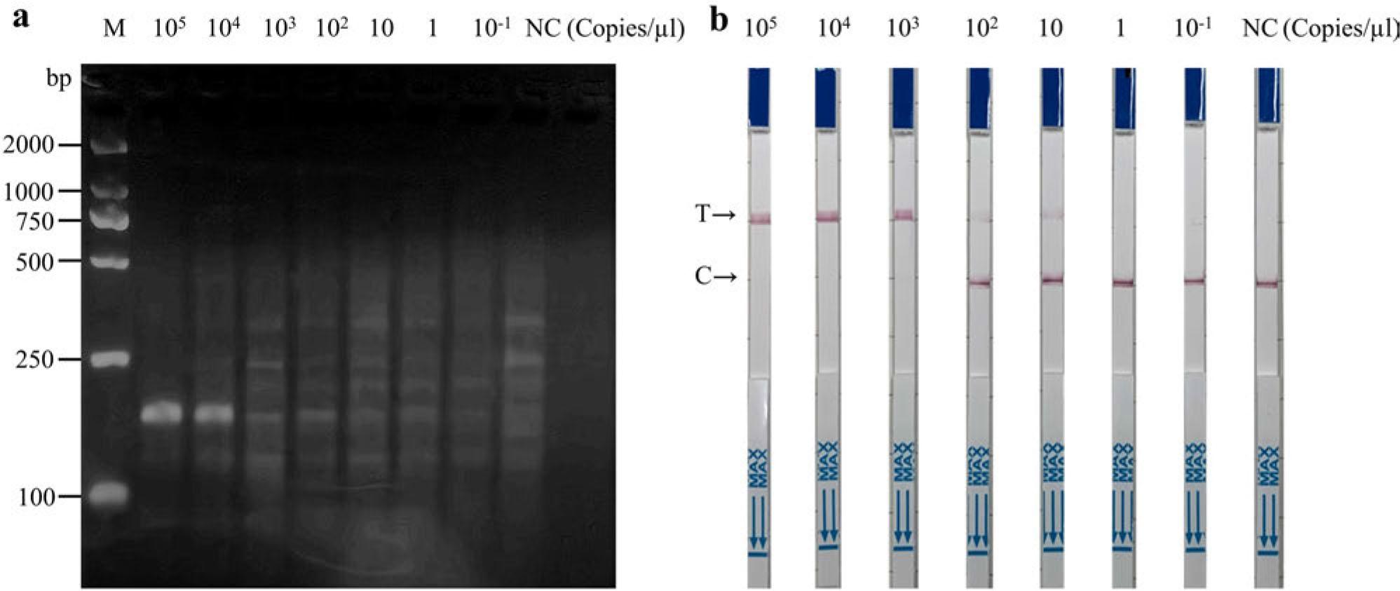
Sensitivity analysis of RT-RPA-Cas12a-LFS for norovirus GII.2. Various concentrations of the standard RNA of norovirus GII.2 subtype conserved fragment sequence (100,000, 10,000, 1,000, 100, 10, 1, 0.1, and 0 copies/μl) were utilized as templates for RT-RPA amplification, and the optimal reaction conditions obtained above for RT-RPA were employed. Subsequently, the amplification products underwent further processing in the Cas12a-LFS detection system, where they were subjected to a cleavage reaction mediated by Cas12a at 37°C for an additional 10 minutes.
qRT-PCR reaction and thermocycling conditions. The qRT-PCR test for norovirus GII.2 was conducted following the operational guidelines for the One Step PrimeScript™RT-qPCR Mix (TAKARA, RR600A). The qRT-PCR reaction mixture was prepared on ice, comprising One Step PrimeScript RT-qPCR Mix (2×) 12.5 μl, NoV-GII. 2-qPCR-F (10 μM) 0.5 μl, NoV-GII. 2-qPCR-R (10 μM) 0.5 μl, NoV-GII. 2-qPCR-P (10 μM) 0.5 μl, 2.5 μl of RNA sample, and RNase-free H2O added to a final volume of 25 μl. The thermal cycling protocol included reverse transcription for 5 minutes at 52°C and initial denaturation for 10 seconds at 95°C, followed by 40 cycles of denaturation for 5 seconds at 95°C and annealing/extension for 30 seconds at 60°C using the SLAN-96 instrument. The sensitivity and specificity analyses were performed in duplicate, which was consistent with the RT-RPA method.
Evaluation of RT-RPA-Cas12a-LFS performance using food-contaminated samples. A total of 60 g of oyster digestive gland tissue was weighed and homogenized to obtain a homogenate. Subsequently, 1 ml of this homogenate was added to 60 sterile RNase-free Eppendorf tubes. Among these, standard RNA of norovirus GII.2 was then introduced into 40 homogenate samples and thoroughly mixed to achieve various samples with standard RNA concentrations ranging from 100 to 1,000 copies/μl, while 20 homogenate samples without the addition of standard RNA were used as negative control samples. Then, standard RNA extraction from the simulated food-contaminated samples was conducted using an RNA extraction kit. The extracted RNA samples were then analyzed using the qRT-PCR method and the RT-RPA-Cas12a-LFS method in parallel.
Optimal reaction primers for RT-RPA. This study designed four amplification RT-RPA primers, and five primer combinations were used to determine the optimal RT-RPA primer pairs. All five pairs of primer combinations successfully amplified their corresponding fragments. The amplicon of NoV-GII.2-F1/NoV-GII.2-R2 exhibited specificity and the highest brightness (Fig. 1a). Upon further analysis of the Cas12a-LFS assay results, it was observed that the intensity of the T-line for the NoV-GII.2-F1/NoV-GII.2-R2 exceeded that of the other four (Fig. 1b). Consequently, the NoV-GII.2-F1/NoV-GII.2-R2 primer combination was selected as the optimal primer set for subsequent experiments.

Screening of the optimal primer pair for RT-RPA for detection of norovirus GII.2.
a) The amplification efficiency of RT-RPA with various primer combinations was assessed using gel electrophoresis; b) the amplification efficiency of RT-RPA with various primer combinations was evaluated using LFS, driven by the cleavage activity mediated by the complex of Cas12a and the target amplified product. M – DL2000 marker; F1R1 – primer pairs of NoV-GII.2-F1/NoV-GII.2-R1; F1R2 – primer pairs of NoV-GII.2-F1/NoV-GII.2-R2; F2R1 – Primer pairs of NoV-GII.2-F2/NoV-GII.2-R1; F2R2 – primer pairs of NoV-GII.2-F2/NoV-GII.2-R2;
F12R12 – primer pairs of NoV-GII.2-F1/NoV-GII.2-F2 and NoV-GII.2-R1/NoV-GII.2-R2; NC – negative control. In the context of LFS, T denotes the testing line, while C represents the quality control line.
Optimum reaction concentration of RT-RPA primer. The concentration of NoV-GII.2-F1/NoV-GII.2-R2 was varied from 0.1 μM to 0.7 μM, with an additional control of 0 μM. As depicted in Fig. 2a and Fig. 2b, a distinct agarose band became visible when the concentration of NoV-GII.2-F1/NoV-GII.2-R2 reached 0.2 μM. Similarly, a pronounced color development on the LFS was observed, indicating a successful reaction with favorable outcomes. Consequently, the optimal primer reaction concentration of NoV-GII.2-F1/NoV-GII.2-R2 was 0.2 μM.

Screening of the optimal concentration of the primer pair for RT-RPA-Cas12a-LFS to detect norovirus GII.2.
a) The amplification efficiency of RT-RPA with different primer concentrations was examined using gel electrophoresis;
b) the amplification efficiency of RT-RPA with various primer concentrations was assessed using LFS, facilitated by the cleavage activity mediated by the complex of Cas12a and the target amplified product. In the context of LFS, T denotes the testing line, while C represents the quality control line.
Optimal reaction time of RT-RPA for norovirus GII.2. As depicted in Fig. 3, the reaction temperature was varied over 20, 25, 30, 35, and 40-minute intervals. Notably, the reaction achieved excellence when the duration reached 25 minutes. Consequently, the optimal reaction duration was determined to be 25 minutes.

Screening of the optimal reaction time of RT-RPA for RT-RPA-Cas12a-LFS to detect norovirus GII.2.
a) The amplification efficiency of RT-RPA with different reaction times was determined using gel electrophoresis;
b) The amplification efficiency of RT-RPA with different reaction times was analyzed using LFS, facilitated by the cleavage activity mediated by the complex of Cas12a and the target amplified product. In the context of LFS, T denotes the testing line, while C represents the quality control line.
Specificity of RT-RPA-Cas12a-LFS for norovirus GII.2. The RT-RPA reaction was performed using nucleic acids from various pathogens as templates. As shown in Fig. 4, the amplification product based on the standard RNA targeting norovirus GII.2 subtype displayed distinct bands on the agarose gel and the LFS. In contrast, the agarose electrophoresis of other viral nucleic acid samples, including RV, AdV, AstV, CV, SaV, BoV, and ddH2O, did not produce the expected bands, nor did they show the color development on the LFS. These observations suggest that the established RT-RPA-Cas12a-LFS method demonstrates high specificity.

The specificity analysis of RT-RPA-Cas12a-LFS with various viral genome samples was assessed using gel electrophoresis (a) and LFS (b). In the context of LFS, T denotes the testing line, while C represents the quality control line.
Sensitivity of RT-RPA-Cas12a-LFS method for norovirus GII.2. The standard RNA of norovirus GII.2 subtype conserved sequence with different copy numbers was used as a template. As shown in Fig. 5, the clarity of the agarose electrophoresis bands sequentially decreased, reflecting the trend observed in the color development on the LFS. The determined detection limit was as low as 10 copies/μl, indicating a high detection sensitivity level for the RT-RPA-Cas12a-LFS method.

The sensitivity analysis of RT-RPA-Cas12a-LFS for detection of norovirus GII.2.
The sensitivity analysis of RT-RPA-Cas12a-LFS with various concentrations of standard RNA was assessed using gel electrophoresis (a) and LFS (b). In the context of LFS, T denotes the testing line, while C represents the quality control line.
Specificity and sensitivity of qRT-PCR detection method for norovirus GII.2. The qRT-PCR reaction utilized nucleic acids from RV, AdV, AstV, CV, SaV, BoV, and NC as templates. As depicted in Fig. 6a, the qRT-PCR amplification fluorescence curve derived from the standard RNA of norovirus GII.2 uniquely crossed the threshold. These results indicate that the developed qRT-PCR method exhibits high specificity, with no cross-reactivity with other viruses. Probit regression analysis established the limit of detection of qRT-PCR for norovirus GII.2 at 10 copies/reaction (95% CI 16.5–31.1), showcasing a high level of detection sensitivity for the qRT-PCR method (Fig. 6b).

The specificity and sensitivity analysis of qRT-PCR for detection of norovirus GII.2.
The specificity analysis of qRT-PCR was conducted with various viral genome samples (a), while the sensitivity analysis of qRT-PCR was performed with different concentrations of standard RNA (b), and the results were evaluated based on the fluorescence curve. NoV – norovirus GII.2 subtype, RV – human rotavirus, AdV – adenovirus, AstV – astrovirus, CV – coxsackievirus, SaV – sapovirus, BoV – bocavirus, NC – ddH2O.
Analysis of food-contaminated samples. The RT-RPA-Cas12a-LFS method and qRT-PCR method were utilized to detect 60 simulated samples, and representative results are presented in Fig. 7. The RT-RPA-Cas12a-LFS method identified 38 positive samples of norovirus GII.2 and 22 negative samples, whereas the qRT-PCR method detected 39 positive samples of norovirus GII.2 and 21 negatives. Table II shows that the positive consistency rate between the RT-RPA-Cas12a-LFS method and the qRT-PCR method was 100%, the negative consistency rate was 95.45%, and the total coincidence rate was 98.33%. Cohen’s kappa ( κ ) analysis indicated excellent agreement between the two methods, with a κ-value of 0.9638 and a p-value of 0.017 using the Diagnostic Test in the OpenEpi software (www.openepi. com). These findings suggest that the RT-RPA-Cas12a-LFS assay investigated in this study is a valuable tool for the rapid, convenient, and reliable detection of norovirus GII.2 during field inspections.

The performance analysis of RT-RPA-Cas12a-LFS for detecting norovirus GII.2, compared with qRT-PCR, was evaluated using simulated clinical samples. 30 representative results out of 60 samples are displayed.
Statistical analysis of simulated samples using both the RT-RPA-Cas12a-LFS and qRT-PCR methods.
| qRT-PCR | CR | ||||
|---|---|---|---|---|---|
| Positive | Negative | Total | |||
| RT-RPA-Cas12a-LFS | Positive | 38 | 0 | 38 | 98.33% |
| Negative | 1 | 21 | 22 | ||
| Total | 39 | 21 | 60 | ||
Globally, noroviruses are a leading cause of sporadic cases and acute gastroenteritis (AGE) outbreaks across diverse settings and age demographics (Hassan and Baldridge 2019). Noroviruses GII.4 have maintained their status as the predominant cause of norovirus-associated AGE for nearly three decades. However, an increase in the number of norovirus outbreaks, particularly involving the GII.2 genotype, was reported in various cities in Guangdong during November and December 2016 (Lu et al. 2017), as documented by the provincial surveillance network. Additionally, out of the 21 outbreaks recorded across 10 cities, seventeen (81%) were identified as GII.2, contributing to 760 clinical cases (Lu et al. 2017). In this context, there remains a pressing need for a fast and straightforward norovirus GII.2 detection method. Therefore, the aim of this study is to establish a rapid and simple detection method for norovirus GII.2, particularly in resource-limited areas.
In this study, the development of the RT-RPA--Cas12a-LFS assay for detecting norovirus GII.2 began with the identification of the target sequence within the VP2 region of the norovirus GII.2 genotype. Subse-quently, an optimized protocol was established, starting with the design of RT-RPA primers and crRNA. Various factors affecting RT-RPA amplification efficiency, such as primer sequence, concentration, and reaction time, were evaluated. To enhance sensitivity and specificity while minimizing off-target background noise, we optimized these RT-RPA parameters to obtain optimal reaction efficiency.
Furthermore, the detection of the norovirus GII.2 genotype can be achieved within 25–35 minutes, comprising 20–25 minutes for RT-RPA amplification of the target sequence and an additional 5–10 minutes for the trans-cleavage reaction. This represents a faster process compared to the RT-PCR method. Our RT-RPA-Cas12a-LFS assay achieved a lower detection threshold, detecting as few as 10 copies of target RNA per reaction. Previous studies have indicated that the detection limit of RPA-Cas12a-mediated assays for various pathogens typically ranges from 0.1 to 10 copies/ μl (Nguyen et al. 2022; Qian et al. 2022; Li et al. 2023; Liu et al. 2024). The detection limit is dependent on the optimization of reaction conditions and influenced by the result-readout methods (Qian et al. 2021; Qian et al. 2022; Li et al. 2023). Furthermore, to evaluate the efficacy of our RT-RPA-Cas12a-LFS assay on food-contaminated samples, we tested 60 oyster digestive gland tissues that were contaminated and used for validation. The developed RT-RPA-Cas12a-LFS assay demonstrated remarkable consistency with the qRT-PCR method, boasting a positive predictive agreement of 100%, a negative predictive agreement of 95.45%, and a total coincidence rate of 98.33% specifically for the norovirus GII.2 genotype.
In summary, we have successfully developed an RT-RPA amplification coupled with a CRISPR/Cas12a-LFS detection system for the simple and rapid identification of the norovirus GII.2 genotype, achieving a detection threshold as low as 10 -copies/μl. This assay can be completed within 35 minutes and demonstrates high specificity to the norovirus GII.2 genotype. Importantly, this highlights the potential application of the RT-RPA-Cas12a-LFS technique for norovirus GII.2 detection, offering a highly promising tool for on-site detection, particularly in resource-limited or constrained settings.