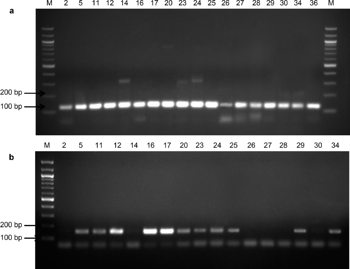
Fig. 1.

Fig. 2.

Fig. 3.

Fig. 4.

The distribution of mutations associated with rifampin, ethambutol, and isoniazid resistance among MTBC DNA-positive sputum samples_
| Genes | rpoB | embB | katG | inhA | rpoB + embB | |||
|---|---|---|---|---|---|---|---|---|
| Mutation codons | 516 | 526 | 531 | 306 | 315 | (-15) | 526 | 531 |
| No. of isolates | 0 | 3 | 8 | 19 | 0 | 0 | 3 | 6 |
| Frequency (%) | 0 | 11.1 | 29.6 | 70.4 | 0 | 0 | 11.1 | 22.2 |
Comparisons between GeneXpert MTB/RIF and culture-based DST with MAS-PCR in detecting drug sensitivity and resistance among MTBC DNA-positive clinical samples_
| Sample number | MAS-PCR | GeneXpert | Cult-Bas-DST | ||||
|---|---|---|---|---|---|---|---|
| RIF | EMB | INH | RIF | RIF | EMB | INH | |
| 2 | S | S | S | S | S | S | S |
| 5 | S | S | S | S | S | S | S |
| 11 | S | S | S | S | S | S | S |
| 12 | S | R | S | S | S | S | S |
| 17 | S | R | S | S | S | S | S |
| 20 | S | R | S | S | S | S | S |
| 23 | S | R | S | S | S | S | S |
| 24 | S | R | S | S | S | S | S |
| 25 | S | R | S | S | S | S | S |
| 26 | S | R | S | S | S | S | S |
| 27 | S | S | S | S | S | S | S |
| 28 | S | S | S | S | S | S | S |
| 29 | S | S | S | S | S | S | S |
| 30 | R | S | S | S | S | S | S |
| 34 | R | S | S | R | R | S | S |
| 36 | R | S | S | S | S | S | S |
| 37 | R | R | S | S | S | S | S |
| 40 | R | R | S | R | R | R | S |
| 41 | R | R | S | S | S | S | S |
| 42 | R | R | S | S | S | S | S |
| 43 | R | R | S | S | S | S | S |
| 44 | R | R | S | S | S | S | S |
| 46 | R | R | S | R | R | R | S |
| 47 | R | R | S | R | R | R | S |
| 48 | S | R | S | S | S | R | S |
PCR primers for amplifying Mycobacterium tuberculosis complex DNA and MAS-PCR primers for the detection of INH, RIF, and EMB resistance mutations in M_ tuberculosis_
| Gene | Primer sequence (5’-3’) | PCR product size | Purpose |
|---|---|---|---|
| IS6110 | F: CCTGCGAGCGTAGGCGTCGG | 123 bp | M. tuberculosis complex detection (Sinha et al. 2017) |
| R: CTCGTCCAGCGCCGCTTCGG | |||
| mtp40 | F: CTGGTCGAATTCGGTGGAGT | 152 bp | |
| R: ATGGTCTCCGACACGTTCGAC | |||
| katG 315 | (OF) F: ATACGACCTCGATGCCGC | 335 bp | Isoniazid resistance detection (Yang et al. 2005; Sinha et al. 2019) |
| (5R) R: GCAGATGGGGCTGATCTACG | |||
| inhA | (P15) F: GCGCGGTCAGTTCCACA | 270 bp | |
| (PF2) R: CACCCCGACAACCTATCG | |||
| rpoB | (516) F: CAGCTGAGCCAATTCATGGA | 218 bp | Rifampin resistance detection (Yang et al. 2005; Sinha et al. 2019) |
| (526) F: CTGTCGGGGTTGACCCA | |||
| (531) F: CACAAGCGCCGACTG TC | |||
| RIRm (–) R: TTG ACCCGCGCGTACAC | |||
| embB | embB306 F: GGCTACATCCTGGGCATG | 392 bp | Ethambutol resistance detection (Yang et al. 2005; Sinha et al. 2019) |
| embBR2 R: GAGCCGAGCGCGATGAT |