Have a personal or library account? Click to login
Evaluating the Sensitivity of Different Molecular Techniques for Detecting Mycobacterium tuberculosis Complex in Patients with Pulmonary Infection Cover

Evaluating the Sensitivity of Different Molecular Techniques for Detecting Mycobacterium tuberculosis Complex in Patients with Pulmonary Infection

Open Access
|Dec 2023

Full Article

Introduction

Tuberculosis is a disease caused by several pathogenic bacteria from the genus Mycobacterium. Mycobacterium tuberculosis complex (MTBC) is a term used to describe a composite that comprises 11 different Mycobacterium species, including the newly isolated and identified Mycobacterium mungi (Alexander et al. 2018). Infections with M. tuberculosis can occur as a primary disease and complicate into chronic pulmonary tuberculosis or as reactivation of latent infection that sometimes develops into widely disseminated tuberculosis (Hunter and Actor 2019).

Tuberculosis is a major global health problem, with almost 9 million new infections and more than 1 million fatalities reported globally yearly (WHO 2019). Despite implementing prevention and control measures, tuberculosis is still considered a primary concern for Saudi Arabia’s public health system, with over sixty thousand tuberculosis cases reported annually (Al Ammari et al. 2018).

Conventional microbiological methods, such as direct microscopic observation and culture characteristics, either suffer from reduced specificity or are time-consuming due to the slow growth rate of the Mycobacterium genus. Lately, nucleic acid amplification assays, which do not require the viability of the detected microbe, have assisted in rapidly identifying MTBC. The GeneXpert MTB/RIF has been used to detect MTBC DNA (Horne et al. 2019). However, such a detection method suffers from low sensitivity when applied directly to pulmonary and/or extra-pulmonary samples (Mechal et al. 2019; Rimal et al. 2022; Sinshaw et al. 2022). The molecular-based methods for genomic investigation of the MTBC members assisted in introducing other rapid identification methods for diagnosing MDR-TB isolates. One such method was conventional PCR for detecting the IS6110 and mtp40 MTBC-specific genomic fragments (Sinha et al. 2017).

Rifampicin (RIF) and isoniazid (INH) are the most appropriate first-line antibiotics to treat MTBC infections (Hakkimane et al. 2018). Isolates of the MTBC resistant to RIF and INH are considered multidrug-resistant tuberculosis (MDR-TB) (Pienaar et al. 2018). Resistance to RIF occurs because of mutations in the region between amino acid codons 507–533 within the rpoB gene (Jagielski et al. 2018). However, resistance to INH occurs because of more complicated genetic mutations involving two genes, codon 315 of the katG gene and the regulatory region within the inhA gene (Narmandakh et al. 2020).

The resistance to multiple drugs poses significant challenges for controlling the MTBC. Thus, it is crucial to identify MDR-MTBC strains to prevent their spread properly (Kibret et al. 2017).Methodology optimization, elevated cost, and time consumption are all considered to be major problems facing conventional antibiotic sensitivity testing for MDR-MTBC (Dusthackeer et al. 2020). Several nucleic acid amplification tests are available for laboratory diagnosis of bacterial resistance and have proven to be quick, highly sensitive, and specific in detecting drug-resistant tuberculosis isolates. One such is the GeneXpert MTB/RIF test for detecting RIF resistance (Cohen et al. 2019; Zong et al. 2019).Nevertheless, the GeneXpert MTB/RIF test cannot differentiate DR-TB from MDR-TB and is limited to detecting RIF-resistant TB alone. Another method is multiplex allele-specific PCR (MAS-PCR), which uses different sets of specific outer primers flanking the mutation regions that facilitate accurate and simultaneous recognition of the most common INH and RIF resistance-related gene mutations (Yang et al. 2005).

Molecular- and non-molecular-based techniques, including conventional PCR amplification of the IS6110 and mtp40 genomic fragments, the GeneXpert assay, multiplex PCR protocols screening for the presence of drug resistance-causing mutations, and phenotypic drug susceptibility testing, have all been applied in this study in order to compare and evaluate their accuracy in detecting drug-resistant MTBC in sputum specimens from patients with pulmonary infection.

Experimental Materials and Methods
Sample collection.

After ethical approval was obtained from the Ministry of Health, Kingdom of Saudi Arabia (Approval Number H-03-M-084), the investigators obtained 48 sputum samples from the Central Tuberculosis Laboratory in the Al-Madinah region. The Central Tuberculosis Laboratory is considered the health authority responsible for receiving samples from patients clinically diagnosed with tuberculosis in any health care unit of Al-Madinah region including its seven governorates. The 48 sputum samples were obtained over 13 months from June 2018 to June 2019.

Preliminary investigation of the presence of Mycobacterium.

Digestion and decontamination of sputum specimens were carried out using an equal volume of N-acetyl-L-cysteine-sodium hydroxide (NALC-NaOH) solution (4% sodium hydroxide, 1% N-acetyl-L-cysteine in 2.9% sodium citrate), followed by centrifugation and suspension of the resulting pellet in phosphate buffer (pH 6.8). The suspended pellet was split into five equal parts. The first part was cultured in a modified Middle-brook 7H9 broth medium of the BACTEC MGIT 960 system (Becton Dickinson, USA). Another part of the specimens was examined by performing an acid-fast Ziehl-Neelsen stain.

Cartridge-based nucleic acid test for the detection of MTBC DNA.

The GeneXpert MTB/RIF assay was applied to confirm the presence of MTBC DNA and RIF resistance in the specimens using the third part of the processed sputum samples according to the manufacturer’s protocol. The system automatically couples nucleic acid extraction and the real-time PCR amplification technique of DNA probes to detect the targeted MTBC sequences and part of the rpoB gene core region to confirm the presence of the mutation(s) associated with RIF resistance.

Conventional PCR amplification of MTBC DNA.

DNA extraction from the fourth part of the processed sputum specimens was performed by the CTAB-phenol-chloroform method (Mani et al. 2003). A final concentration of less than 40 μg/ml and a purity ratio of (1.8–2.1) of DNA were used for the PCR assay. Two explicit primer pairs for MTBC were used to amplify the 123 bp fragment of the insertion sequence IS6110 and the mtp40 fragment located within the plcA gene sequence that encoded the phospholipase C enzyme (Table I). The amplification cycle profile for the IS6110 fragment was conducted according to the following conditions: an initial denaturation cycle at 95°C for 5 min; 45 cycles of denaturation at 94°C for 1 min; annealing at 66°C for 1 min; extension at 72°C for 1 min; and a final extension step at 72°C for 8 min.

Table I

PCR primers for amplifying Mycobacterium tuberculosis complex DNA and MAS-PCR primers for the detection of INH, RIF, and EMB resistance mutations in M. tuberculosis.

GenePrimer sequence (5’-3’)PCR product sizePurpose
IS6110F: CCTGCGAGCGTAGGCGTCGG123 bpM. tuberculosis complex detection (Sinha et al. 2017)
R: CTCGTCCAGCGCCGCTTCGG
mtp40F: CTGGTCGAATTCGGTGGAGT152 bp
R: ATGGTCTCCGACACGTTCGAC
katG 315(OF) F: ATACGACCTCGATGCCGC335 bpIsoniazid resistance detection (Yang et al. 2005; Sinha et al. 2019)
(5R) R: GCAGATGGGGCTGATCTACG
inhA(P15) F: GCGCGGTCAGTTCCACA270 bp
(PF2) R: CACCCCGACAACCTATCG
rpoB(516) F: CAGCTGAGCCAATTCATGGA218 bp185 bp170 bpRifampin resistance detection (Yang et al. 2005; Sinha et al. 2019)
(526) F: CTGTCGGGGTTGACCCA
(531) F: CACAAGCGCCGACTG TC
RIRm (–) R: TTG ACCCGCGCGTACAC
embBembB306 F: GGCTACATCCTGGGCATG392 bpEthambutol resistance detection (Yang et al. 2005; Sinha et al. 2019)
embBR2 R: GAGCCGAGCGCGATGAT

The mtp40 fragment amplification cycles were as follows: a primary denaturation step at 95°C for 3 min, 45 cycles of denaturation at 94°C for 45 sec, annealing at 64°C for 30 sec, extension at 72°C for 1 min followed by an extension step at 72°C for 7 min. Each PCR reaction was conducted in a volume of 25 μl comprising template DNA, 10 μM primers, 200 μM dNTPs, 0.25 unit/μl GoTaq® DNA Polymerase (Promega, USA), and PCR buffer (10 mM Tris-HCl, 50 mM KCl, and 1.5 mM MgCl2). These include the optimum concentration of MgCl2 in the PCR buffer adjusted to 2 mM in the case of mtp40 fragment amplification. The PCR was performed with a Swift™ Maxi Thermal Cycler (Esco Technologies, USA).

Detection of resistance-conferring mutations by multiplex allele-specific PCR.

A single multiplex allele-specific PCR (MAS-PCR) assay was conducted with 10 primers targeting the six most common RIF, INH, and ethambutol (EMB) resistance-conferring mutated codons of the wild-type sequence (Yang et al. 2005; Sinha et al. 2019). Table I lists the 10 allele-specific primers and their targeted codons. First, the primer pairs in the assay were examined in separate PCR reactions to obtain maximum amplification. Then, the concentration of each primer pair in the multiplex reaction was balanced to achieve acceptable amplification of the target regions. Each MAS-PCR reaction mixture contained six forward primers: rpoB516 (20 pmol), rpoB526 (10 pmol), rpoB531 (30 pmol), embB306 (10 pmol), katG-OF (10 pmol in), inhAP-15 (10 pmol) and four reverse primers: RIRm (60 pmol), embBR (10 pmol), katG-5R (10 pmol), inhAPF2 (10 pmol), genomic DNA, 200 μM dNTPs, 1.25 unit/μl GoTaq® DNA Polymerase, PCR buffer (10 mM Tris-HCl, 50 mM KCl, 2 mM MgCl2). Amplification parameters were as follows: initial denaturing at 96°C for 3 min; 30 cycles of 95°C for 60 s; 68°C for 45 s; 72°C for 1 min; and final extension at 72°C for 7 min. The amplified products from the IS6110 and mtp40 PCRs were separated on 1.5% agarose. The resulting fragments of the MAS-PCR were separated on a 2.5% gel. The gels were stained with 0.5 μg/ml ethidium bromide, and the sizes of the resulting DNA fragments were determined using a 100 bp standard molecular weight marker (Invitrogen, USA).

Drug susceptibility tests.

Phenotypic drug susceptibility tests (DST) were performed with the final part of the processed sputum specimens to identify drug-resistant MTBC in MBT-sputum-positive samples using automated BACTEC MGIT 960 liquid cultures supplemented with the tested antibiotics according to the recommended protocol. The DST was performed with the standard inhibitory concentrations of INH (0.1 μg/ml), rifampin (1 μg/ml), and ethambutol (2 μg/ml) corresponding to the guidelines of the Clinical Laboratory Standards Institute (CLSI 2018). Culture tubes containing greater than 1% mycobacterial growth in the presence of the inhibitory concentrations of the tested antibiotics compared to growth without the drug were defined as drug-resistant.

Statistical analysis.

Resistance to at least two of the tested antibiotics was defined as MDR-TB. The DST results are expressed as means ± standard deviation from three parallel measurements. Venn-diagram was constructed using InteractiVenn, a web-based tool for the analysis of sets (Heberle et al. 2015).

Results
GeneXpert MTB/RIF system examination.

Of the 48 sputum samples, 25 (52.1%) were positive for BAC-TEC MGIT 960 culture media and MTBC DNA using the GeneXpert MTB/RIF automated system assay. However, only five sputum samples (10.4%) out of the 48 were revealed as smear-positive for acid-fast bacilli by Ziehl-Neelsen stain, whereas the remaining 43 samples (89.6%) were smear-negative. All five samples with smear-positive Ziehl-Neelsen staining were also positive in the BACTEC MGIT 960 and GeneXpert MTB/RIF assays. RIF resistance was detected in four (16%) of the 25 M. tuberculosis complex DNA-positive sputum samples.

Conventional PCR detection of M. tuberculosis complex DNA.

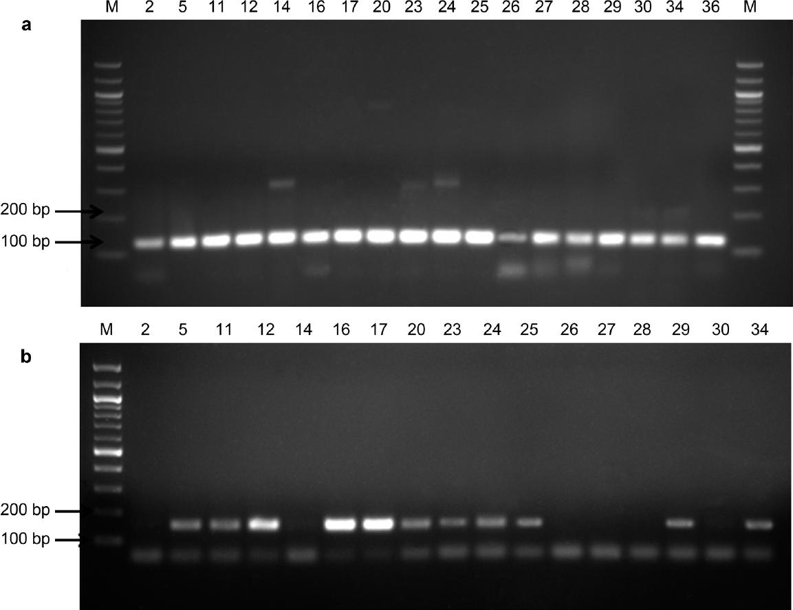
Of the 48 sputum samples, 27 (56.3%) showed a specific positive PCR amplification product (123 bp) using the IS6110 PCR primer pair. The 25 sputum samples with positive GeneXpert MTB/RIF results were positive for PCR amplification using the IS6110 primers. Still, PCR amplification of the IS6110 revealed two additional sputum specimens (samples 14 and 16), in which the GeneXpert MTB/RIF system did not confirm MTBC DNA (Fig. 1a). The extracted DNA from sputum specimens was also subjected to another PCR for detecting the MTBC mtp40 fragment. The expected 152 bp product was obtained from 17 (35.4%) of the 48 sputum samples (Fig. 1b). All 17 sputum specimens with positive mtp40 amplification also shared positive amplification of the insertion sequence IS6110. Nevertheless, no mtp40 amplification was obtained from the nine sputum samples that were previously confirmed by GeneXpert and IS6110 PCR amplification as MTBC DNA-positive samples. Furthermore, one (sample 16) of the two sputum samples that were not detected by the GeneXpert MTB/RIF method showed positive amplification with mtp40 PCR primers (Fig. 1b). The presence of MTBC isolates in the two GeneXpert MTB/RIF negative sputum specimens was confirmed using cultural characteristics after inoculation of the sputum sample on Lowenstein-Jensen medium and cell morphology prior to performing a Ziehl-Neelsen stain examination.

Fig. 1.

Polymerase chain reaction amplification of the specific 130 bp fragments with the IS6110 primer pair (panel a) and the specific 152 bp fragments with the mtp40 primer pair (panel b).

Lanes 2–36 of (panel a) are representative amplified PCR products with the IS6110 primers from selected sputum samples. Lanes 5, 11, 12, 16, 17, 20, 23, 24, 25, 29, and 34 of (panel b) are representative amplified PCR products with the mtp40 primers from selected sputum samples. Lanes 2, 14, 26, 27, 28, and 30 represent the samples not amplified by the mtp40 primer pair. Lanes M (panels a and b) represent the 100-bp DNA ladder.

Drug susceptibility testing.

When the 27 MTBC-confirmed sputum specimens were examined by BACTEC MGIT 960 for the phenotypic drug susceptibility testing, five sputum specimens (18.5%) were identified to be drug-resistant MTBC isolates. Two of the five specimens contained mono-drug-resistant MTBC species toward RIF and EMB, respectively. However, the MTBC species in the remaining three specimens were designated as multi-drug-resistant toward RIF and EMB. The remaining 22 specimens (81.5%) contained susceptible MTBC species toward the tested anti-mycobacterial drugs. All MTBC species in the 27 specimens (100%) were found to be susceptible to INH. Culture-based phenotypic drug susceptibility testing revealed 100% sensitivity agreement with the GeneXpert MTB/ RIF methods in detecting RIF resistance among MTBC species in the sputum specimens.

Multiplex allele-specific PCR results.

The multiplex allele-specific PCR assay showed the susceptible characteristic pattern (wild-type allele-specific pattern) with a specificity of 100%, in which drug resistance-conferring mutations were detected in 21 (77.8%) of the 27 MTBC DNA-confirmed samples. Of these 21, two contained resistance mutations towards RIF and 10 towards EMB (including samples 14 and 16 that were not detected by the GeneXpert MTB/RIF methods). The remaining nine showed drug-resistant mutations toward rifampin and ethambutol (Fig. 2a and 2b).

Fig. 2.

Multiplex-PCR results in 2% agarose gel: the 392 bp product corresponds to embB codon (306); the 335 bp to katG (315) codon, the 270 bp to (–15) promoter region of mab A -inh A; the 218 bp, 185 bp, and 170 bp products correspond to rpoB codons (516, 526 and 531), respectively.

Results show a nonspecific small-size product that links to the amplification of the 170 bp fragment. Lanes M (panels a and b) 100-bp DNA ladder. Lanes 2, 5, 11, 27, 28, and 29 represent sputum samples’ DNA with no mutation at the codons under study. Lanes 12-26 (panel a) and lane 48 (panel b) show embB codon 306 mutation (ethambutol). Lanes 30, 34, 36 (panel a) show rpoB codon 526 mutation (rifampin). Lanes 37, 41, 42, 44, 46 and 47 (panel b) show mutations with both the rpoB codon 531 (rifampin) and embB codon 306. Lanes 40 and 43 show mutation in rpoB codon 531 (rifampin) only.

A mutation at codon 306 of the ethambutol (embB) gene was the most frequently detected (70.4%). The mutation at codon 306 was unique in 10 samples (37%) and combined with mutations of rpoB (rifampin) in nine (33.3%) samples (Fig. 3).

Fig. 3.

Rifampin and ethambutol resistance correlated with mutations and their frequency.

Mutations at the rpoB gene codon 531 were revealed to be more frequent than in codon 526, and no mutation was detected in codon 516 in any isolate. Also, none of the 27 samples harbored INH-related resistance mutations (Table II).

Table II

The distribution of mutations associated with rifampin, ethambutol, and isoniazid resistance among MTBC DNA-positive sputum samples.

GenesrpoBembBkatGinhArpoB + embB
Mutation codons516526531306315(-15)526531
No. of isolates038190036
Frequency (%)011.129.670.40011.122.2
Drug resistance discrepancy comparison.

We assessed the sensitivity of the multiplex PCR in detecting RIF, INH, and EMB resistance compared to the GeneXpert MTB/RIF and phenotypic culture-based DST results. Of the 25 MTBC DNA-confirmed samples (excluding the two samples not detected by the GeneXpert MTB/RIF methods), 20 were proven to contain drug-sensitive MTBC isolates, and five contained drug-resistant isolates based on the outcome of the GeneXpert MTB/RIF and phenotypic culture-based DST. Three of the drug-resistant isolates were classified as multi-drug-resistant and two as mono-drug-resistant. Nonetheless, besides the five drug-resistant isolates, drug-resistance-conferring mutations were identified in 14 more samples (a total of 19 samples) using multiplex allele-specific PCR only. The remaining six sputum samples were found to contain non-drug-resistant MTBC when using all the testing methods (Table III). Of the 25 sputum samples with MTBC DNA, nine specimens (36%) showed agreement in results between the multiplex PCR assay, GeneXpert MTB/RIF, and culture-based DST methods. For RIF alone, there were seven discrepant results (28%), all of which contained RIF resistance-conferring mutations but showed sensitivity towards RIF with GeneXpert MTB/RIF and culture-based methods. Also, for EMB alone, there were 12 discrepant results (48%) among the 25 sputum samples that harbor an EMB-resistance conferring mutation using multiplex allele-specific PCR while showing sensitivity to EMB using the culture-based method. Furthermore, five samples out of eight showed discrepant results as they contained allele-specific resistance-conferring mutations for both RIF and EMB. At the same time, the remaining three shared an agreement between multiplex PCR assays and culture-based DST methods. Thus, there were 14 (56%) discrepant results for EMB and RIF among all resistance-detection assays (Fig. 4). All 25 samples showed the absence of discrepant results for INH.

Fig. 4.

Detailed Venn diagrams showing the number of shared and unique RIF-sensitive MTBC-positive samples (panel a) and RIF-resistant MTBC-positive samples (panel b) among the GeneXpert MTB/RIF, phenotypic culture-based DST, and multiplex PCR assays, and EMB-sensitive MTBC-positive samples (panel c) and EMB-resistant MTBC-positive samples (panel d) among phenotypic culture-based DST and multiplex PCR methods. The numbers under each method in brackets represent the totals detected using that method.

Table III

Comparisons between GeneXpert MTB/RIF and culture-based DST with MAS-PCR in detecting drug sensitivity and resistance among MTBC DNA-positive clinical samples.

Sample numberMAS-PCRGeneXpertCult-Bas-DST
RIFEMBINHRIFRIFEMBINH
  2SSSSSSS
  5SSSSSSS
11SSSSSSS
12SRSSSSS
17SRSSSSS
20SRSSSSS
23SRSSSSS
24SRSSSSS
25SRSSSSS
26SRSSSSS
27SSSSSSS
28SSSSSSS
29SSSSSSS
30RSSSSSS
34RSSRRSS
36RSSSSSS
37RRSSSSS
40RRSRRRS
41RRSSSSS
42RRSSSSS
43RRSSSSS
44RRSSSSS
46RRSRRRS
47RRSRRRS
48SRSSSRS

S – drug sensitive; R – drug resistant

Discussion

A quick and accurate diagnosis is critical for initiating antibiotic therapy and controlling the transmission of pulmonary TB infections. Although molecular line assays, including the GeneXpert, facilitate easy and early identification of TB infections (Opota et al. 2019; Diriba et al. 2021), conventional direct culturing of M. tuberculosis from clinical specimens on growth medium such as the BACTEC MGIT 960 also offers time-saving and reliable results and is more applicable in many resource-limited settings (Diriba et al. 2017). Moreover, despite calls for nucleic acid amplification tests to be used as the standard diagnosis routine for all presumptive TB cases, the WHO advises that they should not be used in place of conventional phenotypic DST. Other phenotypic-based tests should support positive nucleic acid amplification test results, and negative results should not be used to rule out TB definitively (Wu et al. 2019).

M. tuberculosis complex was detected in 56.3% of the total sputum samples. Taking into consideration that the sputum samples were collected over 13 months, such a frequency of MTB may not be deemed as high and is consistent with the findings of a previous report showing that the percentage of MTBC disease was higher among migrant workers and pilgrims who travel to visit sacred places located in the holy cities of Makkah and Al-Madinah, especially during the months of Ramadan and Zul-Hijah (Saati et al. 2021).

The molecular-based GeneXpert system and culture-based BACTEC MGIT 960 assays have proven to be reliable, efficient, safe, rapid, and highly sensitive for detecting mycobacteria (Singh et al. 2016). However, in this study, they detected MTBC in 52.1% (25/48) of the sputum samples with probable TB cases, while the specific PCR assay using the insertion sequence IS6110 primer set detected MTB DNA in another two sputum samples, reaching a total of 27 sputum specimens with MTBC.

This higher positivity rate of IS6110-specific PCR over that of GeneXpert might be associated with a low concentration of target DNA in some samples owing to the uneven distribution of the microorganisms in clinical specimens and the presence of a moderately high quantity of human DNA, which is considered a common problem with the GeneXpert detection system (Manke et al. 2017; Meriki et al. 2020). On the other hand, the IS6110, with a multiple-copy element within the tuberculosis genome, facilitates its detection by specific PCR in clinical samples even at a low concentration of target DNA (Gonzalo-Asensio et al. 2018). It has also been reported that the BACTEC MGIT 960 system may sometimes fail to detect mycobacterial growth. Such failure was related to several contributing factors, including the mycobacterial granular growth pattern, the small bacterial load, the slow metabolism, and biochemical characteristics, any of which can result in keeping oxygen consumption levels below the detection levels (Mahomed et al. 2017).

Similar to prior findings, the mtp40 fragment-PCR could not amplify MTBC DNA products from MTBC-positive confirmed sputum samples (10 samples) in this study. The explanation behind such failure to amplify the mtp40 fragment, as previously reported, was due to a lack of the mtp40 target sequence within the genome of some MTBC strains globally or a genetic polymorphism in the phospholipase C gene. It appears in the form of deletion of the plcA gene and the adjacent genes, leading to false-negative results and a consequent decrease in the specificity when compared to GeneXpert and culture-based BACTEC MGIT 960 system assays (Sharma et al. 2018; Bottai et al. 2020).

Even though the IS6110-specific PCR assay showed an advantage for its improved sensitivity, it could not differentiate between live and dead mycobacteria, and therefore, it could only be used for screening samples but not for the surveillance of patients in treatment (Kyaw et al. 2018; Ambreen et al. 2019). For this reason, it was imperative to evaluate the accuracy of results obtained by the specific PCR method in the current study using direct culturing on Lowenstein-Jensen media followed by Ziehl-Neelsen staining, which is considered the gold standard in cases of discordant results (Diriba et al. 2017).

In detecting RIF resistance, the sensitivity of GeneXpert and phenotypic DST was compared with the MAS-PCR assay. Interestingly, MAS-PCR detected resistance-conferring mutations in the rpoB gene in 11 of the 27 tested sputum samples. In comparison, GeneXpert MTB/RIF and phenotypic DST tests confirmed only four samples to be drug-resistant MTBC isolates. A hypothesis supported by several studies regarding the inability of GeneXpert MTB/RIF to detect RIF resistance-conferring mutations in sputum samples with heterologous DNA flora was due to the small number of mutant rpoB gene alleles, which should be present in at least 65% of the sample DNA to be detected by the GeneXpert assay (Miotto et al. 2018; S J, Kar et al. 2022).

The MAS-PCR assay revealed that resistance-conferring mutations occurring at codon 531 of the rpoB gene were the most prevalent (72.7%) among all tested samples, followed by codon 526 (27.3%). However, no mutations were detected at codon 516. Moreover, multiple mutations associated with codons 531 and 526 were not found. As previously reported, the mutation in a single codon of the rpoB gene of TB may or may not lead to drug resistance (Isakova et al. 2018; Karimi et al. 2020), which explains the negative results for RIF resistance using the culture-based DST test.

The embB (codon 306) gene mutation was identified in 19 of the 27 MTBC-positive sputum samples. At the same time, phenotypic DST testing showed only four isolates to be EMB-resistant. Thus, MAS-PCR provided a high discrepancy (only 48% agreement) with culture-based DST results in detecting EMB resistance among the tested samples. This result supports the previously reported assumption that codon 306 may not be the main feature responsible for resistance to EMB, indicating the participation of other mechanisms involving mutations outside the embB genes (Mohammadi et al. 2020). Such data affect the assessment of the embB 306 codon mutation to be used as a molecular marker for future characterization of EMB-resistant isolates.

Additionally, the MAS-PCR in this study revealed the absence of mutations related to INH resistance in the tested sputum samples. This was in total agreement with the susceptibility results of the culture-based DST, which also showed the absence of drug-resistant MTBC isolates towards INH. According to different studies, the frequency of INH resistance in MTBC shows high variations between different regions of the world (Siddiqui et al. 2019). Data from other studies also showed that the prevalence of INH-resistance varied within the same country, especially those with geographic variability between the central western, eastern southern, and northern regions (Salvato et al. 2019). Although the phenotypic DST assay confirmed the presence of drug-resistant MTBC isolates toward RIF and EMB only, it is still important to be aware of the possible future cross-resistance towards INH, especially among RIF-resistant isolates, as reported previously (Zhang et al. 2021).

Previous research found mutations implicated in RIF resistance inside the target area of the rpoB gene in codons other than the three most commonly observed in more than 5% of RIF-resistant isolates worldwide (Zaw et al. 2018; Dookie et al. 2018). Similarly, INH-resistance may involve mutations in several genes other than the usual 315 codon of the katG gene and the (-15) promoter regions of the inhA gene (Liu et al. 2018; Hsu et al. 2020). Therefore, many consider phenotypic DST to be the gold standard because INH- and RIF-resistant TB cases are sometimes missed when using genotypic DST, such as the ones used in the study because genotypic DST can only detect known drug resistance-conferring mutations and miss the detection of novel ones that phenotypic DST detects (Hu et al. 2019; Ardizzoni et al. 2021).

Future research should focus on integrating next-generation sequencing data, such as whole-genome sequencing data used to diagnose drug-resistant tuberculosis (McNerney et al. 2017; Papaventsis et al. 2017; Gygli et al. 2019), with phenotypic resistance in genome-wide association analyses. This type of integration has proven effective in identifying the heterogeneity among MTBC isolates and uncovering new genetic resistance mechanisms implicated in MTBC resistance to anti-TB medications (Farhat et al. 2019).

It is also imperative that future studies involve the development of novel, easily deployable mycobacterial diagnostic tests that include the detection of additional drug resistance-related targets. Few studies have used luciferase-based ATP bioluminescence assays to monitor extracellular ATP (eATP). Such a technique allows for assessing microbial cell physiological state and calculating viable cell quantity in real time by connecting luminescence onset time to initial cell concentration. Moreover, the same research demonstrated that measuring eATP during bacterial cell death and stress can provide a reliable, sensitive, selective, and quick indication of bacterial susceptibility to antimicrobials, implying that it could replace existing approaches (Khan et al. 2019; Ihssen et al. 2021). In the same context, MTB drug resistance and susceptibility are influenced by redox physiology systems, highlighting the complex connections between anti-TB medications and MTB redox machinery, as well as the possibility of these cellular components as targets for adjunct therapy to existing anti-TB drugs. Furthermore, their distinct expression within the pathogen may represent a novel technique for evaluating antibiotic susceptibility (Pacl et al. 2018).

One limitation of this study was the low number of sputum samples (only 48 samples) with suspected TB infection from the whole region of Al-Madinah city. This occurred because the Kingdom of Saudi Arabia is regarded as a region with very low TB infection incidence (original data) (Alexander et al. 2018). Moreover, most of the samples were collected prior to the annual Islamic pilgrimage (hajj), and in Kingdom of Saudi Arabia, the highest rate of TB-positive sputum samples is detected among none-Saudi patients attending the pilgrimage (hajj) (Alotaibi et al. 2019). Such a high proportion of sputum-positive samples among non-Saudi patients has reassured the authors that an accurate investigation of the carriage was properly undertaken.

Conclusions

The objective of this study was to evaluate the accuracy of results obtained by different methods used for detecting drug-resistant MTBC isolates in the tested sputum samples. In this context, the GeneXpert MTB/ RIF molecular assay considered the gold standard for detecting MTBC-DNA in samples, showed two discordant false-negative results compared with conventional PCR amplification of the insertion sequence IS6110. Moreover, among the different tested assays for detecting drug-resistant MTBC, only INH results were absent of discordancy. At the same time, there was 28% discordancy in the case of RIF, 44% with EMB, and 56% when both results were combined. Although ethambutol had higher discordance results than rifampin, there was no clear pattern for these discordant results, as both false resistant and false susceptible were observed with EMB and RIF. Finally, improving the efficiency of innovative, quick, on-site, real-time detection assays offers up several possibilities for their increased employment in mycobacterial infection and disease prevention.

DOI: https://doi.org/10.33073/pjm-2023-040 | Journal eISSN: 2544-4646 | Journal ISSN: 1733-1331
Language: English
Page range: 421 - 431
Submitted on: Jun 20, 2023
Accepted on: Oct 4, 2023
Published on: Dec 16, 2023
Published by: Polish Society of Microbiologists
In partnership with: Paradigm Publishing Services
Publication frequency: 4 issues per year

© 2023 Hassan A. Hemeg, Hamzah O. Albulushi, Hani A. Ozbak, Hamza M. Ali, Emad K. Alahmadi, Yahya A. Almutawif, Sari T. Alhuofie, Rana A. Alaeq, Areej A. Alhazmi, Mustafa A. Najim, Ahmed M. Hanafy, published by Polish Society of Microbiologists
This work is licensed under the Creative Commons Attribution-NonCommercial-NoDerivatives 4.0 License.