
Fig. 1

Distribution of MRSA isolates according to the sample source_
| Sample source | n (%) |
|---|---|
| Abscess-wound | 19 (25.0) |
| Blood | 17 (22.4) |
| Nasal swab | 13 (17.1) |
| Tracheal aspirate | 13 (17.1) |
| Sputum | 5 (6.6) |
| Urine | 4 (5.3) |
| Catheter tip | 3 (3.9) |
| Bronchioalveolar lavage | 1 (1.3) |
| Urethral swab | 1 (1.3) |
| Total | 76 (100) |
Distribution of MRSA isolates according to age, gender, and admission status_
| Demographic data | n (%) | p-value |
|---|---|---|
| Age groups | ||
| Under 15 | 2 (2.6) | < 0.005 |
| 15–44 | 16 (21.1) | |
| 45–64 | 22 (28.9) | |
| 65 and above | 36 (47.4) | |
| Gender | ||
| Male | 44 (57.9) | 0.107 |
| Female | 32 (42.1) | |
| Admissions | ||
| Inpatients | 57 (75) | < 0.001 |
| Outpatients | 19 (25) | |
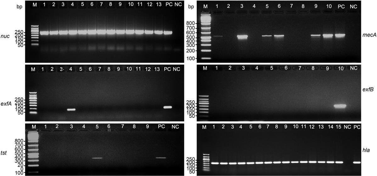
Oligonucleotides used in this study_
| Target | Sequence (from 5’ to 3’) | Product size (bp) | Annealing temp. (°C) | Reference |
|---|---|---|---|---|
| mecA | ||||
| Forward | AAAATCGATGGTAAAGGTTGGC | 533 | 55 | Kot et al. 2020 |
| Reverse | AGTTCTGCAGTACCGGATTTGC | |||
| nuc | ||||
| Forward | GCGATTGATGGTGATACGGTT | 279 | 55 | Amin et al. 2020 |
| Reverse | AGCCAAGCCTTGACGAACTAAAGC | |||
| hla | ||||
| Forward | CTGATTACTATCCAAGAAATTCGATTG | 209 | 57 | Rasheed and Hussein 2020 |
| Reverse | CTTTCCAGCCTACTTTTTTATCAGT | |||
| eta | ||||
| Forward | GCAGGTGTTGATTTAGCATT | 93 | 58 | Rasheed and Hussein 2020 |
| Reverse | AGATGTCCCTATTTTTGCTG | |||
| etb | ||||
| Forward | ACAAGCAAAAGAATACAGCG | |||
| Reverse | GTTTTTGGCTGCTTCTCTTG | 226 | 50 | Rasheed and Hussein 2020 |
| etd | ||||
| Forward | AACTATCATGTATCAAGG | 376 | 47 | Liu et al. 2018 |
| Reverse | CAGAATTTCCCGACTCAG | |||
| tst | ||||
| Forward | ACCCCTGTTCCCTTATCATC | |||
| Reverse | TTTTCAGTATTTGTAACGCC | 326 | 57 | Rasheed and Hussein 2020 |
Distribution of MRSA isolates according to the hospital department_
| Department | n (%) |
|---|---|
| Cardiology | 14 (18.4) |
| Pulmonary infections | 10 (13.2) |
| Infectious diseases | 10 (13.2) |
| Anesthesiology | 7 (9.2) |
| Orthopedics and traumatology | 6 (7.9) |
| Cardiovascular surgery | 5 (6.6) |
| General surgery | 5 (6.6) |
| Dermatology | 4 (5.3) |
| Neurosurgery | 4 (5.3) |
| Brain surgery | 2 (2.6) |
| Gastroenterology | 2 (2.6) |
| Intensive care unit | 2 (2.6) |
| Dialysis | 1 (1.3) |
| Neurology | 1 (1.3) |
| Pediatrics | 1 (1.3) |
| Plastic surgery | 1 (1.3) |
| Urology | 1 (1.3) |
| Total | 76 (100) |