Methicillin-resistant Staphylococcus aureus (MRSA) represents one of the most concerning pathogens worldwide, responsible for community-acquired and hospital-acquired infections (Kourtis et al. 2019; Turner et al. 2019). According to the Centers for Disease Prevention and Control (CDC), antibiotic-resistant S. aureus causes over 2 million cases of disease and 23,000 deaths each year in the United States alone (Okwu et al. 2019). In addition to their intrinsic resistance to β-lactam antibiotics, hospital-associated MRSA strains often exhibit a variable yet alarming level of multi-drug resistance which narrows treatment alternatives to the limited remaining efficient drugs (Bispo et al. 2020; Jernigan et al. 2020).
The molecular characteristics of S. aureus can change over time, and the population structure varies regionally, according to epidemiological studies of S. aureus (Barcudi et al. 2020; Junnila et al. 2020; Lu et al. 2021). Over 94% of S. aureus strains are reported to be resistant to penicillin and its derivatives due to the release of the penicillinase enzyme, beta-lactamase, which inhibits penicillin by hydrolyzing the beta-lactam ring (Algammal et al. 2020). MRSA is characterized predominantly by the presence of either the mecA gene or its homologs mecB, mecC and mecD, that are located on the staphylococcal chromosomal cassette mec (SCCmec type I–XIV) and code for the penicillin-binding protein 2a (PBP2-a) that has a reduced affinity for beta-lactam antibiotics (Urushibara et al. 2020; Uehara 2022).
From a clinical perspective, the increasing use of molecular and other bioinformatics tools has facilitated the mapping of the S. aureus virulome and clarified its epidemiological and clinical significance. S. aureus generates an array of virulence factors that allow the bacteria to survive extreme conditions within the human host and damages biological membranes, resulting in cell death (Shettigar and Murali 2020; Nisar et al. 2021). S. aureus maintains fine control of the expression of virulence factors which include hemolysins, leukocidins, proteases, exfoliative toxins, enterotoxins, and immunemodulatory factors.
The development of clinical management and infection control policies presents a significant challenge as there is still insufficient data on the infection transmission rate and clone characteristics. It is, therefore, of paramount importance to investigate the epidemiology and the molecular profile of S. aureus. The current study aims to characterize toxin-associated virulence determinants in a wide range of clinical isolates in a previously understudied region of Northern Cyprus.
Clinical isolates. In total, 91 clinical non-repetitive S. aureus strains isolated between January 2012 and November 2020, identified initially to be MRSA by BD Phoenix™ 100 automated identification and antibiotic susceptibility system, were collected and investigated in this study. Isolates were cultured from wound/ abscess, blood, bronchoalveolar lavage, nasal swab, tracheal aspiration, and sputum samples from different departments at the Near East University Hospital in Northern Cyprus.
Identification and phenotypic detection of methicillin resistance. All isolates were cultured on sheep blood agar. Agar plates were incubated at 35°C for 24–48 h in 5% CO2. The isolates were subsequently confirmed as S. aureus based on colony morphology and ability to coagulate human plasma. Methicillin resistance was assessed using the disc diffusion method with cefoxitin (30 μg) (Bioanalyse, Turkey) on Mueller-Hinton agar (Difco, Becton Dickinson, USA) plates. Antibiotic susceptibility was assessed with the European Committee on Antimicrobial Susceptibility Testing guidelines (EUCAST 2020).
DNA extraction. Rapid extraction of genomic DNA was performed with the boiling method described by Barbosa et al. (2016). Briefly, a few colonies cultured on blood agar were suspended in nuclease-free water in a microcentrifuge tube. The cell suspension was then incubated at 100°C for 15 min and centrifuged at 13,000 rpm for 5 min to sediment the debris. After centrifugation, the supernatant was collected and utilized as a DNA template in polymerase chain reaction (PCR) reactions.
Molecular identification of the isolates. The preliminary identification procedures were followed by the PCR analysis using S. aureus species-specific thermonuclease (nuc) primers, as previously shown (Amin et al. 2020). The nuc gene was amplified in a 25-μl reaction which contained: PCR Master Mix 2× (Thermo Fisher Scientific, USA), Taq DNA polymerase (0.05 U/μl), 0.4 mM of each dNTP, 4 mM MgCl2, 4 μl of template DNA, and 10 pmol of forward and reverse primer nuc-F 5’-GCGATTGATGGTGATACGGTT-3’, nuc-R 5’-AGCCAAGCCTTGACGAACTAAAGC-3’. DNA amplification was performed involving denaturation at 94°C for 10 min, 30 cycles at 94°C for 30 s, 55°C for 30 s, and 72°C for 1 min, and a final elongation step at 72°C for 5 min. The PCR detection of mecA confirmed the methicillin resistance. Amplification was achieved as described before (Rahman et al. 2018) except for a denaturation step at 94°C for 10 min. The strain of S. aureus SCCmec type IV (mecA+, pvl–, nuc+) was used as a positive control. Distilled water was used as a negative control. Verification of PCR products was obtained using 1.5% agarose gel. Ethidium bromide was used for staining the gels, and amplicons were observed with MiniBIS Pro Gel Documentation Platform (DNR, Israel).
Screening for virulence genes in MRSA. The occurrence of virulence-associated genes was investigated by PCR detection of hla, eta, etb, etd and tst in all confirmed MRSA isolates. Single PCR reactions were performed as described above. PCR amplification for each primer set was performed using Bio-Rad MyCycler™ Thermal Cycler (Bio-Rad Laboratories, Israel) according to the cycling parameters summarized in Table I. PCR products were analyzed with gel electrophoresis through 2% agarose gel and visualized using a transilluminator. The positive controls included the genomic DNA from isolates in which the presence of the genes mentioned above was formerly found in the genome.
Oligonucleotides used in this study.
| Target | Sequence (from 5’ to 3’) | Product size (bp) | Annealing temp. (°C) | Reference |
|---|---|---|---|---|
| mecA | ||||
| Forward | AAAATCGATGGTAAAGGTTGGC | 533 | 55 | Kot et al. 2020 |
| Reverse | AGTTCTGCAGTACCGGATTTGC | |||
| nuc | ||||
| Forward | GCGATTGATGGTGATACGGTT | 279 | 55 | Amin et al. 2020 |
| Reverse | AGCCAAGCCTTGACGAACTAAAGC | |||
| hla | ||||
| Forward | CTGATTACTATCCAAGAAATTCGATTG | 209 | 57 | Rasheed and Hussein 2020 |
| Reverse | CTTTCCAGCCTACTTTTTTATCAGT | |||
| eta | ||||
| Forward | GCAGGTGTTGATTTAGCATT | 93 | 58 | Rasheed and Hussein 2020 |
| Reverse | AGATGTCCCTATTTTTGCTG | |||
| etb | ||||
| Forward | ACAAGCAAAAGAATACAGCG | |||
| Reverse | GTTTTTGGCTGCTTCTCTTG | 226 | 50 | Rasheed and Hussein 2020 |
| etd | ||||
| Forward | AACTATCATGTATCAAGG | 376 | 47 | Liu et al. 2018 |
| Reverse | CAGAATTTCCCGACTCAG | |||
| tst | ||||
| Forward | ACCCCTGTTCCCTTATCATC | |||
| Reverse | TTTTCAGTATTTGTAACGCC | 326 | 57 | Rasheed and Hussein 2020 |
Statistical analysis. Statistical data analysis was performed using SPSS Version 25.0 (SPSS, Inc., USA). Comparison of variables was achieved using independent t-tests and Chi-square test of association. A p-Value of ≤ 0.05 was considered statistically significant.
Ethics approval. The Institutional Review Board approved this study at Near East University with a waiver of patient consent (YDU/2020/80-1115, YDU/ 2021/90-1331).
Patients features. A total of 91 non-duplicate samples were initially screened. Of these, 80.85% (76/91) strains were identified as MRSA using phenotypic and genotypic methods, among which 57.9% (44/76) were recovered from male patients. The distribution of isolates according to patient admission status indicated that 75% (57/76) of the isolates were obtained from inpatients. Despite the predominance of the male gender, no statistically significant difference was observed in gender distribution across inpatient and outpatient groups (p = 0.107) (Table II). Patient age at admission ranged from 1 to 99 years (mean: 60.16, median: 63.00, standard deviation: 22.21), and the majority of patients with MRSA infection were over the age of 45 (p < 0.005) (Table II) with the inpatients group being significantly older (p < 0.001). No significant association was observed between patient age and gender (p = 0.901).
Distribution of MRSA isolates according to age, gender, and admission status.
| Demographic data | n (%) | p-value |
|---|---|---|
| Age groups | ||
| Under 15 | 2 (2.6) | < 0.005 |
| 15–44 | 16 (21.1) | |
| 45–64 | 22 (28.9) | |
| 65 and above | 36 (47.4) | |
| Gender | ||
| Male | 44 (57.9) | 0.107 |
| Female | 32 (42.1) | |
| Admissions | ||
| Inpatients | 57 (75) | < 0.001 |
| Outpatients | 19 (25) | |
Majority of the isolates obtained in this study originated from patients admitted to cardiology (n = 14; 18.4%), pulmonary infections (n = 10; 13.2%), infectious diseases (n = 10; 13.2%), anesthesiology (n = 7; 9.2%), orthopedics and traumatology (n = 6; 7.9%), cardiovascular surgery (n = 5; 6.6%), general surgery (n = 5; 6.6%), neurosurgery (n = 4; 5.3%), dermatology (n = 4; 5.3%), brain surgery (n = 2; 2.6%), gastroenterology (n = 2; 2.6%), intensive care unit (n = 2; 2.6%), and the remaining departments; dialysis, neurology, plastic surgery, urology, and pediatrics (n = 5; 6.6%). The distribution of isolates by the hospital department is shown in Table III.
Distribution of MRSA isolates according to the hospital department.
| Department | n (%) |
|---|---|
| Cardiology | 14 (18.4) |
| Pulmonary infections | 10 (13.2) |
| Infectious diseases | 10 (13.2) |
| Anesthesiology | 7 (9.2) |
| Orthopedics and traumatology | 6 (7.9) |
| Cardiovascular surgery | 5 (6.6) |
| General surgery | 5 (6.6) |
| Dermatology | 4 (5.3) |
| Neurosurgery | 4 (5.3) |
| Brain surgery | 2 (2.6) |
| Gastroenterology | 2 (2.6) |
| Intensive care unit | 2 (2.6) |
| Dialysis | 1 (1.3) |
| Neurology | 1 (1.3) |
| Pediatrics | 1 (1.3) |
| Plastic surgery | 1 (1.3) |
| Urology | 1 (1.3) |
| Total | 76 (100) |
Majority of the samples from which MRSA were cultured were isolated from abscess-wound (n = 19; 25.0%), blood (n = 17; 22.4%), nasal swabs (n = 13; 17.1%), and tracheal aspirates (n = 13; 17.1%). The distribution of the isolates according to the sample type is given in Table IV.
Distribution of MRSA isolates according to the sample source.
| Sample source | n (%) |
|---|---|
| Abscess-wound | 19 (25.0) |
| Blood | 17 (22.4) |
| Nasal swab | 13 (17.1) |
| Tracheal aspirate | 13 (17.1) |
| Sputum | 5 (6.6) |
| Urine | 4 (5.3) |
| Catheter tip | 3 (3.9) |
| Bronchioalveolar lavage | 1 (1.3) |
| Urethral swab | 1 (1.3) |
| Total | 76 (100) |
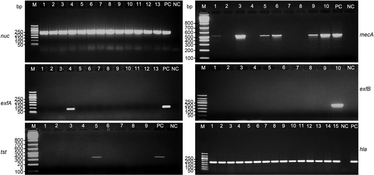
Confirmation of MRSA isolates. Seventy-six isolates that were found to be non-susceptible to cefoxitin in the disc diffusion assay were verified to be MRSA with the amplification of the mecA gene via single-target PCR. The presence of the mecA gene is demonstrated in Fig. 1.

Molecular detection of the nuc, mecA, exfA, exfB, tst and hla genes by single target PCR. PC – positive control, NC – negative control, M – 100 bp DNA ladder (Hibrigen) for mecA (533 bp) and tst (326 bp), 50 bp DNA ladder (Hibrigen) for nuc (270 bp), exfA (93 bp), exfB 226 bp) and hla (209 bp), bp – base pairs
Detection of virulence determinants. Among the investigated virulence genes, the α-toxin encoding gene (hla) was found in 97.3% (n = 74/76) of the isolates and it was the most frequently virulence gene detected. Among the MRSA isolates, the frequencies of exfoliative toxin A, B, D and TSST-1 encoding genes (eta, etb, etd, tst) were 2.63% (n = 2/76), 1.3%, (n = 1/76), 0%, and 2.63% (n = 2/76), respectively.
MRSA represents a significant public health threat, particularly in developing countries owing to its ability to lead to life-threatening infections (Li et al. 2021; Pannewick et al. 2021). Regarding MRSA-induced infections and their burden in healthcare, studies focusing on regional epidemiology have demonstrated significant differences among regions (Gagliotti et al. 2021; Tsuzuki et al. 2021). For the first time, our present study provides insights into multiple virulence characteristics of S. aureus from clinical specimens in Northern Cyprus.
In the current study, at a trend analysis level, although the gender of the patients had no statistical association with the detection of MRSA, the isolation rate was markedly higher in males. MRSA infections occur less frequently in patients below 45 years of age. Both age and gender-related trends observed in this study were similar to those previously investigated by others (Pomorska-Wesołowska et al. 2017; Thorlacius-Ussing et al. 2019). The isolation frequency of MRSA was highest in wounds and abscesses (25%; n = 19/76) and blood samples (22%; n = 17/76). These findings reinforce the association of skin and soft tissue infections (SSTIs) as a predisposing factor to S. aureus bacteremia (Jorgensen et al. 2019; Horino and Hori 2020).
The effects of S. aureus virulome on the progression of infections have been broadly investigated (Lebughe et al. 2017; Park et al. 2019). While virulence genes can play an important role in the pathogenicity of S. aureus, the circulation of these genes may vary among strains. Therefore, defining the distribution of virulence-associated genes is invaluable for the epidemiological control of S. aureus. The hla gene was detected in 97% of MRSA strains and had the highest frequency of all genes among the virulence factors investigated. This finding is comparable to another study in China in which authors reported that 98.7% (n = 224/227) of the S. aureus isolates were hla-positive (Li et al. 2019). In a separate investigation conducted in Iraq in 2020, S. aureus strains isolated from Syrian and Iraqi refugees were screened, and the hla gene was found in 93.4% (n = 117/125) of the Iraqi community. In contrast, the frequency of hla positivity was 71.4% (n = 89/125) in the Syrian refugee group (Rasheed and Hussein 2020). Alpha-hemolysin is by far the most well studied among the S. aureus cytotoxins, as it is produced by many strains and is toxic to a broad spectrum of mammalian cells.
Exfoliative toxins secreted by S. aureus are essential virulence factors of the bacterium. In our study eta was detected in 3% (n = 2) and etb in 1.5% (n = 1) of the isolates, whereas etd was not detected among the isolates tested. Our study results differed from those obtained by Mohseni et al. in 2018, in which a high frequency of eta (76.7%), etb (16.7%), and etd (54%) in S. aureus clinical isolates was observed. These findings contrast with a previous study in Korea on staphylococcal scalded skin syndrome patient-derived strains, which reported 53.8% of MRSA isolates to be etb-positive (Choi et al. 2021). According to the literature, eta is more common in Europe, Africa, and North America, contributing to over 80% of exfoliative toxin-producing strains, whereas etb is more common in Japan (Mariutti et al. 2017).
Toxic shock syndrome (TSS) manifests as either non-menstrual or menstrual-associated infection. However, cases of menstrual TSS are rarely seen (0.03–0.5/ 100.000), although the strains producing the toxin are often reported (Tong et al. 2015; Berger et al. 2019). It is suggests that the production of the toxin is under tight control (Tuffs et al. 2019). Only 3% (n = 2) of the isolates investigated in this study harbored the tst gene. In other studies, the prevalence of the toxin among the strains was found to be between 14% and 36.8% (Papadimitriou-Olivgeris et al. 2017; Shahini Shams-Abadi et al. 2018; Zhao et al. 2019; Abbasi Montazeri et al. 2021).
In this study, we gained insights into the prevalence of toxin genes among S. aureus clinical isolates. We also identified that the elderly and inpatient population were at high risk of developing an MRSA infection. These findings are invaluable for the genetic characterization of bacterial isolates circulating in Northern Cyprus and call our attention to the need for regular surveillance of MRSA epidemiology. In-depth studies covering the clonal diversity of MRSA strains and the correlation of antimicrobial resistance and toxin gene profiles with specific clones have highlighted these features as variables driving the complex epidemiology of this pathogen (Peterson et al. 2019; Maalej et al. 2019). The recent development of rapid diagnostic technologies contributes to the fast and reliable identification of infectious pathogens. For example, integrated sensing platforms using microfluidics technology and mass spectrometry techniques such as MALDI-TOF have significantly increased the rate of detection of MRSA in clinical samples (Schulz et al. 2020; Zhou et al. 2021). Concurrently, novel therapeutic approaches such as antivirulence drugs and phage therapy are being developed and hold promise for tackling antimicrobial resistance (He et al. 2021; Chang et al. 2022; Naorem et al. 2022).
The data presented indicate that while most strains carry the alpha-toxin gene, the frequency of tst, eta, etb, and etd genes were considerably low in the strains circulating at the main hospital in this region. Our results provide new epidemiological data of S. aureus strains in this region.
This work represents a preliminary study with a limited sample size from a single center; therefore the data is not representative of isolates in all hospitals across Cyprus. Additional analyses with a higher number of isolates are required to identify the overall frequency of virulence determinants. Another limitation of the study was the absence of measurements of expression levels of the virulence factors at gene and protein levels.