
Fig. 1

Fig. 2

Fig. 3

Fig. 4

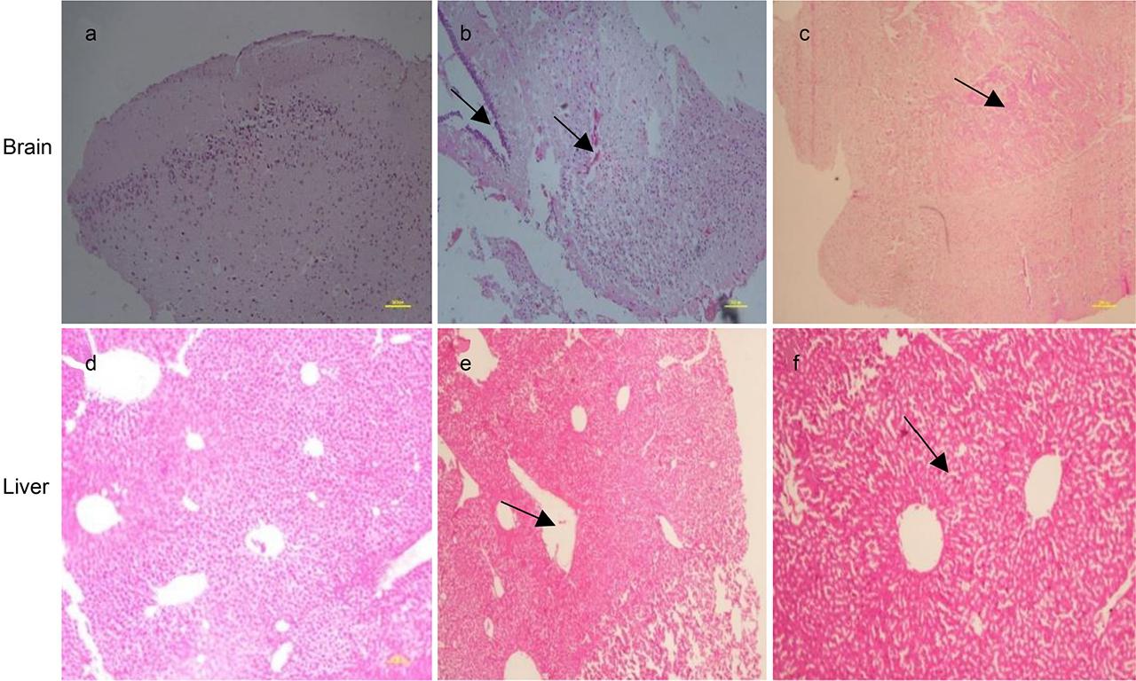
Fig. 5

Differentially expressed genes in related KEGG pathways in LM-ΔInlG compared to LM_
| Term | Gene ID | Name | Log2FC | Type | Description |
|---|---|---|---|---|---|
| Quorum sensing | lmo0205 | plcB | 1.89 | up | phospholipase C |
| lmo0202 | hly | 1.77 | up | listeriolysin O precursor | |
| Novel00001 | no | 1.76 | up | thiol-activated cytolysin | |
| Novel00002 | no | 1.64 | up | thiol-activated cytolysin beta sandwich domain | |
| lmo2363 | no | –1.35 | down | glutamate decarboxylase | |
| lmo0447 | no | 1.66 | up | pyridoxal-dependent decarboxylase conserved domain | |
| Propanoate metabolism | lmo1373 | no | –1.86 | down | transketolase, pyrimidine binding domain |
| lmo1153 | no | 1.88 | up | propanediol dehydratase subunit alpha | |
| lmo2720 | no | –2.02 | down | AMP-binding enzyme C-terminal domain | |
| lmo1374 | no | –1.52 | down | biotin-requiring enzyme | |
| lmo1371 | no | –1.28 | down | pyridine nucleotide-disulphide oxidoreductase | |
| Valine, leucine, nd isoleucine degradation | lmo1373 | no | –1.86 | down | transketolase, pyrimidine binding domain |
| lmo1374 | no | –1.52 | down | biotin-requiring enzyme | |
| lmo1371 | no | –1.28 | down | pyridine nucleotide-disulphide oxidoreductase | |
| Glycerophospholipid metabolism | lmo0205 | plcB | 1.89 | up | phospholipase C |
| lmo1176 | eutC | 3.18 | up | ethanolamine ammonia-lyase small subunit | |
| lmo1175 | eutB | 1.87 | up | ethanolamine ammonia-lyase large subunit | |
| Butanoate metabolism | lmo1369 | no | –2.94 | down | phosphate acetyl/butaryl transferase |
| lmo2363 | no | –1.35 | down | glutamate decarboxylase | |
| lmo0447 | no | 1.66 | up | pyridoxal-dependent decarboxylase conserved domain |
PCR primers used in the experiments_
| Primer | Sequence | Product (bp) |
|---|---|---|
| ΔInlG-F1 | CG | 633 |
| ΔInlG-R1 | CCTCCGATGAAAAGCGTTCCTAAAATAGTAGGAATAATTCCCAAGATAGCTGTCACT | |
| ΔInlG-F2 | ATGTTTTACTTGTAGTGACAGCTATCTTGGGAATTATTCCTACTATTTTAGGAACGC | 596 |
| ΔInlG-R2 | GC | |
| D-F | TGTCCGCAACAGCTAGCCCAG | 1,644/3,100 |
| D-R | GCAAGTGGGGTTAAATCACTT | |
| Hly-F | GATGCATCTGCATTCAATAA | 1,510 |
| Hly-R | TTATTCGATTGGATTATCTAC |
Determination of the median lethal dose of the bacteria (BACT) in mice_
| BACT (CFU) | Death/Total | Mortality (%) |
|---|---|---|
| 109 | 9/10 | 90 |
| 108 | 8/10 | 80 |
| 107 | 6/10 | 60 |
| 106 | 4/10 | 40 |
| 105 | 2/10 | 20 |
| 0 | 0/10 | 0 |