Clostridium perfringens, a Gram-positive, anaerobic bacillus, is a bacterium commonly found in nature. Its presence can be confirmed in both the external environment (water, soil, and sewage) as well as in the digestive tract of humans and animals, where it is part of the microbiome. The important carriers of this microbe are the elderly and people engaged in the processing and distribution of food. Nonetheless, its ability to produce numerous toxins and enzymes as well as to form spores makes this bacterium a dangerous pathogen of humans and animals (Kędzielska et al. 2012).
The scientific literature indicates several toxins produced by C. perfringens that play a vital role in the pathogenicity of this bacterium, they are: alpha (α, C. perfringens alpha toxin – CPA) and a synergistic theta, i.e. perfringolysin (θ, perfingolysin O – PFO), as well as beta (β, C. perfringens beta toxin – CPB), epsilon (ε, epsilon toxin – ETX), iota (ι, iota toxin – ITX), enterotoxin (C. perfringens enterotoxin – CPE), necrotic enteritis B-like toxin (NetB), and β2 toxin, discovered in 1997, the role of which is not fully explained and still requires further research (van Asten et al. 2010; Brzychczy-Włoch and Bulanda 2014; Navarro et al. 2018). It is known that β2-toxin is produced by animal strains of C. perfringens, especially in the course of necrotic enteritis in pigs. Studies on human strains of this bacterial species, isolated from patients with food poisoning, an antibiotic-associated diarrhea and sporadic diarrhea, but also from healthy carriers, have shown that, in some cases, they can have cpb2 gene for β2-toxin (Johansson et al. 2006, van Asten et al. 2010; Allaart et al. 2014).
Owing to their ability to produce various toxins, strains belonging to the species C. perfringens were divided into 6 toxinotypes, A – G, which are responsible for gastrointestinal tract infections in humans (types A, C, F) and animals (types B, C, D, E, G) as well as severe soft tissue infections in humans and animals (type A) (Stevens et al. 2012; Navarro et al. 2018; Rood et al. 2018).
The term necrotizing soft tissue infections (NSTI) comprises a group of diseases (especially necrotizing fasciitis – NF) causing rapid and extensive soft tissue necrosis, which often leads to systemic infection, shock, and multiple organ failure, and ultimately, death (Stevens et al. 2017). These infections have different causes, risk factors, location, and pathomechanisms. NSTIs are often divided into two types. Type 1 is a multi-bacterial infection, the significant parts of which are anaerobic bacteria (among others, from the genus Bacteroides or Clostridium) and facultative anaerobes (among others of the family Enterobacteriaceae). It is often diagnosed in the elderly and the risk factors are diabetes, bedsores, hemorrhoids or anal surgery, and urological surgery or gynecological procedures. A peculiar infection of this type is a Fournier gangrene, which may develop as secondary to damaged mucous membranes of the gastro-intestinal tract or urinary tract (Żaba et al. 2009; Stevens et al. 2017; Kuzaka et al. 2018). C. perfringens is listed as one of the numerous bacteria identified in the course of this infection. Although in recent years, its share in the infection seems to be getting smaller (Kuzaka et al. 2018), the literature still describes cases of Fournier gangrene in which C. perfringens was cultured among the other infectious agents (Wróblewska et al. 2014; Stevens et al. 2017). Type 2 of NSTI is usually associated with infection with a single bacterial species (e.g. MRSA) and often affects limbs. Some people distinguish Type 3, i.e. infection caused by a particular bacterial species: Aeromonas hydrophila, Vibrio vulnificus or a species from the genus Clostridium, which is most often isolated from gas gangrene cases (Stevens et al. 2017).
From the point of view of epidemiology and future management in cases of recurring NSTI in the same hospital, it is important to identify the differences and similarities among bacterial strains from every patient. The use of molecular methods allows for fast and precise identification of the bacteria isolated. The objective of this study is a comparative phenotypic and genetic analysis of C. perfringens strains isolated from two patients hospitalized at the same time in 2017 in the Provincial Specialist Hospital in Włocławek (Kujawsko-Pomorskie Province) who developed soft tissue infections. Trying to explain recurring cases of this infection, we also carried out an additional comparative analysis of C. perfringens strains isolated in 2017 with the strains isolated in 2015 from three patients with gas gangrene in the same hospital that have been already described by our team (Brzychczy-Włoch et al. 2016).
The study involved the microbiological analysis of C. perfringens strains isolated from biological specimens originating from two patients with NSTI who were hospitalized between 17th May 2017 and 4th July 2017 in a particular Department of General Surgery in the hospital in Włocławek. The analysis of microbiological and epidemiological data concerning three patients hospitalized in the same hospital between 15th April 2015 and 20th April 2015 (Brzychczy-Włoch et al. 2016) was also performed.
Source of the isolates and epidemiological data from 2017. Patient 1. A man, aged 60, admitted on 17.05.2017 to the General Surgery Department due to critical vascular insufficiency of the lower limbs. Due to the ischemia of the lower skin flap covering the stump and inflammatory infiltration in the postoperative wound on 31.05.2017, the stump wound was swabbed. The growth of C. perfringens on microbiological media under anaerobic conditions and of coagulase-negative staphylococci (CNS) under aerobic conditions was demonstrated. Control swabs from the healing wound were microbiologically negative. The microbiological examination of the blood taken from the patient did not show bacterial growth.
Patient 2. A man, aged 60, admitted urgently on 31.05.2017 to the General Surgery Department due to anorectal abscess. In the course of the diagnostics undertaken, disseminated sigmoid colon cancer was eventually diagnosed. Past medical history revealed a stay in the same unit in May 2014, when the patient underwent surgery due to right-sided incarcerated inguinal hernia.
During the relevant hospitalization, on 31.05.2017, abscess contents were collected from the patient for microbiological diagnostics. Microbiological testing of the purulent content detected the growth of Bacteroides fragilis and C. perfringens on microbiological media under anaerobic conditions, and Escherichia coli and Pseudomonas aeruginosa under aerobic conditions. Microbiological testing of the patient’s blood did not show bacterial growth. During the microbiological examination of a rectal swab carried out on 6.06.2017, growth of C. perfringens was detected.
The prevention of epidemic outbreak and epidemiological investigations were initiated. Contact isolation was employed with both patients. Lavasepsis was used for wound dressing with 0.9% NaCl solution and super-oxidized solution in the form of Microdacyn (Oculus). A sporicidal agent, Incidin Active (Ecolab), was applied for surface disinfection in the ward. When microbiological results were obtained, the entire General Surgery Department and the Main Operating Block were covered by the control. Growth of C. perfringens was not demonstrated in cultures collected from the wounds of other patients, the skin of the staff’s hands, or on the surfaces in all rooms and on the tools.
Microbiological diagnostics of C. perfringens strains. Samples of two patients were collected during a routine check-up by medical staffs and were diagnosed in the Department of Microbiological Diagnostics of the Provincial Specialist Hospital in Włocławek. Specimens from the patients (wound swab containing activated carbon (COPAN) from patient No. 1 and abscess contents from patient No. 2) were put into sterile test tubes with a transport medium. The culture was carried out on Columbia Agar (BioMerieux) as well as in the fluid thioglycollate medium with resazurin (BioMaxima). Solid media with the inoculated materials were incubated under aerobic conditions at 37°C for 48 h and under anaerobic conditions at 37°C for 24 h, and the liquid medium under aerobic conditions (with a closed cap) at 37°C for 48 h. Identification of the cultured bacteria was carried out using the Vitek 2 compact system (BioMérieux). The biochemical patterns for two bacterial isolates were received with the use of the ANC ID card of the Vitek 2 compact system (BioMérieux).
In view of the fact that the same bacterial species, C. perfringens, was isolated from both patients and because of its pathogenic potential and epidemiological consequences, the following strains of C. perfringens: from patient No. 1 – isolate no. 8554/M/17; from patient No. 2 – isolate no. 8567/M/17, were preserved and transferred to the Chair of Microbiology, Jagiel-lonian University Medical College, Krakow, Poland for further studies. The C. perfringens strain cultured from the specimen obtained from a rectal swab from patient No. 2 was not preserved, which made it impossible to conduct further analyses for this strain.
The strains 8554/M/17 and 8567/M/17 were stored with the use of Cryobank (BioMaxima) at −70°C. C. perfringens 3624 ATCC (The American Type Culture Collection) standard was used as a reference strain.
Antibiotic susceptibility testing. To determine the drug-resistance profiles, the E-test method was used, enabling determination of MIC (Minimal Inhibitory Concentration) for: amoxicillin – AML, penicillin – P, piperacillin – PRL, amoxicillin/clavulanic acid – XL, ceftriaxone – CRO, cefotaxime – CTX, doripenem – DOR, ertapenem – ETP, imipenem – IMP, meropenem – MEM, moxifloxacin – MXF, erythromycin – E, clindamycin – DA, tetracycline – TE, chlor+ amphenicol – C, metronidazole – M, rifampicin – RD and with Glycopeptide Resistance Detection (GRD) for: teicoplanin – TEC and vancomycin – VA. The results were interpreted according to The European Committee on Antimicrobial Susceptibility Testing (EUCAST 2017) – Table I.
Antibiotic susceptibility for C. perfringens isolates (The E-test method, according to EUCAST 2017).
| Isolate no. | Penicillins | Cephalo sporins | Carbapenems | Fluoroquinolones | Glycopeptide and lipo-glycopeptides | Macrolides, incosamides | Tetracyclines | Miscellaneous agents | |||||||||||
|---|---|---|---|---|---|---|---|---|---|---|---|---|---|---|---|---|---|---|---|
| AML | P | PRL | XL | CRO | CTX | DOR | ETP | IMP | MEM | MXF | TEC | VA | E | DA | TE | C | M | RD | |
| 8554/M/17 (Patient 1) | MIC | 0.016 | 0.016 | 0.016 | 0.016 | 0.016 | 0.016 | 0.016 | 0.016 | 0.016 | 1.5 | 0.047 | 0.50 | 0.50 | 0.50 | 4 | 0.19 | 0.016 | 0.032 |
| S/R | S | S | S | S | S | S | S | S | S | R | S | S | R | S | R | S | S | S | |
| 8567/M/17 (Patient 2) | MIC | 0.016 | 0.016 | 0.016 | 0.016 | 0.016 | 0.016 | 0.016 | 0.016 | 0.016 | 2 | 0.047 | 0.50 | 0.50 | 0.50 | 4 | 0.125 | 0.016 | 0.032 |
| S/R | S | S | S | S | S | S | S | S | S | R | S | S | R | S | R | S | S | S | |
AML - amoxicillin, P - penicillin, PRL - piperacillin, XL - amoxicillin/clavulanic acid, CRO - ceftriaxone, CTX - cefotaxime, DOR - doripenem, ETP - ertapenem, IMP - imipenem, MEM - meropenem, MXF - moxifloxacin, TEC - teicoplanin, VA - vancomycin, E - erythromycin, DA - clindamycin, TE - tetracycline, C - chloramphenicol, M - metronidazole, RD - rifampicin, MIC - Minimal Inhibitory Concentration, S/R - susceptibility, R - resistant, S - susceptible
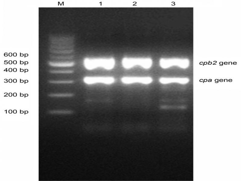
PCR multiplex. To isolate DNA, the Genomic Mini Set (A&A Biotechnology) was used according to the manufacturer’s protocol. The presence of the genes encoding toxins of C. perfringens was confirmed using multiplex PCR amplification according to van (Asten et al. 2009) with specific primers (Genomed). The following fragments of the genes were detected (the gene product, length of the fragment): cpa (α-toxin, 324 bp); cpb (β-toxin, 195 bp); cpb2 (β2-toxin, 548 bp); etx (ε-toxin, 376 bp); iap (ζ-toxin, 272 bp); cpe (enterotoxin, 485 bp). The final images from electrophoresis were processed using QuantityOne software, as well as GelDoc2000 device (Bio-Rad, USA).
Molecular typing with PFGE. The chosen C. perfringens isolates underwent molecular typing using the PFGE method according to the methodology described by (Maslanka et al. 1999). Chromosomal DNA of the bacterial strains was isolated in agarose blocks and then digested with the use of restriction enzyme SmaI (MBI Fermentas). Electrophoretic separation was performed with the CHEF-DR II (Bio-Rad) instrument and restriction analysis was carried out using the Gel-Compar II (Applied Maths) software with the application of UPGMA clustering method and Jaccard index. The obtained genetic profiles were interpreted according to the guidelines given by van (Belkum et al. 2007).
The profiles of the strains under investigation that were obtained using PCR multiplex and PFGE were compared with restriction patterns of the strains that came from the event in 2015, when in the Orthopedics and Traumatology Department of the same hospital, three cases of gas gangrene caused by C. perfringens were detected simultaneously (Brzychczy-Włoch et al. 2016).
The two C. perfringens isolates studied (8554/M/17 from patient No. 1 and 8567/M/17 from patient No. 2) had identical biochemical profiles. Based on the results obtained using E-test, the same pattern of antibiotic susceptibility of the strains from the two examined patients was demonstrated (Table I).
Multiplex PCR confirmed the presence of the cpa gene encoding α-toxin for both C. perfringens isolates studied. Moreover, both strains demonstrated the presence of the cpb2 gene encoding β2-toxin (Fig. 1). A comparison of the results from 2017 and the genetic analysis of the strains from the event in 2015 enabled us to demonstrate that the currently examined strains have the genes encoding the same toxins (α and β2) as the two strains analyzed in 2015: no. 7143 (patient No. 3) and no. 7149 (patient No. 2) (Brzychczy-Włoch et al. 2016).

Detection of genes encoding virulence factors of C. perfringens isolates in 2017 tested by multiplex PCR.
Legend: M – size marker,
1 – C. perfringens isolate no. 8567/M/17 from patient no. 2
2 – C. perfringens isolate no. 8554/M/17 from patient no. 1
3 – reference strain of C. perfringens ATCC 3624 cpb2 – gene of β2-toxin; cpa – gene of α-toxin
As a result of the molecular analysis conducted using PFGE, two genetically different, unique restriction profiles were found corresponding to two different clones of the C. perfringens isolates studied in 2017: isolate no. 8554/M/17 – clone A; isolate no. 8567/M/17 – clone B (Fig. 2A).

Genetic profiles of C. perfringens isolates, subjected to DNA digestion by restriction enzyme SmaI with the use of pulsed-field gel electrophoresis (PFGE) and GelCompar II software.
Legend: A – Comparison of two isolates from 2017; B – comparison of five isolates: three from 2015 and two from 2017
8554/M/17 – C. perfringens isolate isolated from patient no. 1 in 2017; ATCC 3624 – reference strain of C. perfringens
8567/M/17 – C. perfringens isolate isolated from patient no. 2 in 2017
7143 – C. perfringens isolate isolated from patient no. 3 in 2015; 7149 – C. perfringens isolate isolated from patient no. 2 in 2015
7013 – C. perfringens isolate isolated from patient no. 1 in 2015
Profiles of the strains under investigation that were obtained using PFGE were then compared with restriction patterns of the strains from the event in 2015 (Brzychczy-Włoch et al. 2016). A comparative analysis of PFGE profiles from 2017 and the results from the event from 2015 found one identical and genetically unique restriction profile, corresponding to one clone of C. perfringens for two strains: no. 8567/M/17 (patient No. 2 in 2017) and no. 7143 (patient No. 3 in 2015) (Fig. 2B).
Due to this fact, an attempt was undertaken to find a connection between patient No. 2 from 2017 and patient No. 3 from 2015. In the course of an epidemiological investigation, it was only found that both patients were hospitalized in the same hospital, but they were in different wards at different times. The patient from whom the strain no. 7143 was isolated (patient No. 3) was hospitalized in April 2015 at the Department of Orthopedics and Traumatology. The currently described patient No. 2 from whom strain no. 8567/M/17 was isolated in 2017 was in the General Surgery Department in May 2014. Both patients underwent surgery in the main operating block of the hospital. Kinship, close contact, possession of the same animals and residence in each other’s neighborhood were excluded.
The cases presented above illustrate the clinical picture of necrotizing soft tissue infection, caused by C. perfringens toxinotype A. The infection leading to amputation of the left lower limb in the patient No. 1 makes us to assume that he developed type 3 NSTI. Atherosclerosis of the lower extremities, alcoholism, and neuropathy with subsequent vascular insufficiency contributed to the rapid progression of the disease. The course of the infection in patient No. 2, which was classified as Fournier gangrene and isolation of the etiologic agent from the wound, i.e. C. perfringens, as well as medical history pointing to decreased immunity and advanced neoplastic disease of the large intestine, allowed to confirm this infection as type 1 NSTI.
The results of microbiological testing with phenotypic methods (biochemical patterns and antibiotic susceptibility testing) did not demonstrate differences between the strains isolated from biological specimens from the patients. On the other hand, the application of molecular methods allowed to characterize each of them accurately and compare them with strains isolated during the epidemiological investigation, which took place in the same hospital during the event in 2015 (Brzychczy-Włoch et al. 2016).
Determination of the toxinotype of C. perfringens isolates was possible owing to the use of multiplex PCR. The strains identified for both patients described in this study were type A and had the genes encoding α-toxin (cpa gene) and β2-toxin (cpb2 gene). The role of α-toxin, which is the main virulence factor in of C. perfringens in gas gangrene, seems to be well known and is chiefly associated with hemolysis and dermonecrosis. To the best of our knowledge, there is no evidence pointing to β2-toxin’s contribution to necrotizing soft tissue infections in humans. Despite this, in the work reporting three simultaneous cases of gas gangrene associated with C. perfringens type A strains in 2015, two patients carried the strains that had the cpb2 gene, indicated an extremely severe course of these infections (Brzychczy-Włoch et al. 2016). The presence of the gene for β2-toxin in C. perfringens strains causing soft tissue infections in humans requires further observation, which could be assisted by the application of genetic analysis of this pathogen in every clinical case involving C. perfringens.
Molecular diagnostics of the strains isolated also allowed their final differentiation and an attempt to determine their origin. Owing to macrorestriction analysis of chromosomal DNA combined with PFGE, it was possible to determine that the strain of the described patient No. 1 turned out to be different from the strains isolated from the patient No. 2. However, the identification of an identical restriction profile for the C. perfringens isolate from patient No. 2 and the profile of the strain isolated from one of the patients during the event in 2015 in the same hospital (isolate no. 7143 from patient No. 3) deserves more attention. According to the literature, the species C. perfringens is characterized by remarkable diversity and numerous mutations due to the presence of genes encoding toxins not only in the chromosome but also in plasmids (Myers et al. 2006; Park et al. 2016; Kiu et al. 2017). Hence, a random detection of the presence of an identical strain in two distant, independent events is unlikely. However, a high genetic similarity between C. perfringens strains can be demonstrated when they cause epidemiologically related infections (Johansson et al. 2006; Xiao et al. 2012). Our epidemiological analysis points to the fact that patient No. 2 (from the event in 2017) had already been subjected to a surgical procedure within the abdominal cavity in this hospital in 2014. There is a possibility that he had already been a carrier of C. perfringens in the gastrointestinal tract at that time and that he became the source of the infection and as result of the surgical procedure the bacterium appeared in the operating block of the hospital. It is known that C. perfringens may be present everywhere, even in dust, and is capable of producing spores, which can survive in unfavorable conditions for many months (van Asten et al. 2010; Kędzielska et al. 2012; Brzychczy-Włoch and Bulanda 2014). In 2014, there was no reason for routine use of sporicidal substances in the operating block (no symptomatic cases of infection with the bacillus C. perfringens at the hospital). One should, then, take into consideration the possibility of survival of C. perfringens spores in the hospital after the hospitalization of patient No. 2 in 2014 and the possible infection of one of the three patients undergoing surgery in the same operating block in 2015. Even more, other connections between both patients were excluded (kinship or being neighbors). During the event in 2015, the appropriate epidemiological and protective procedures against an outbreak were implemented (including the application of sporicidal agents). Therefore, it is unlikely that the C. perfringens strain survived two more years in the operating block (Brzychczy-Włoch et al. 2016). Additionally, the result of rectal swab testing in patient No. 2 in 2017 indicated that the isolate from that sample is an endogenous (own) strain of the patient. It was patient No. 2 who probably had been a carrier of the described C. perfringens strain in the gastrointestinal tract for years and his decreased immunity together with cancer created the favorable conditions for the growth of bacteria and development of infection in 2017 (Brzychczy-Włoch and Bulanda 2014; Kuzaka et al. 2018).
Our research has some limitation as there are no environmental or hospital staff studies that could have precisely demonstrated the source where C. perfringens clone that was able to survive. However, owing to the application of molecular methods, it was possible to determine that the patients simultaneously hospitalized in 2017, in a single Department of General Surgery developed two different types of NSTI caused by two different C. perfringens clones. Archival data from 2015 allowed the identification of an identical clone from the same hospital. The employment of genetic analyses also enabled us to document, in the strains studied in 2015 and in 2017, the presence of the cpb2 gene encoding β2-toxin. Moreover, the epidemiological data and detailed analysis of the course of both events in the hospital made it possible to attempt to understand the reasons of the survival of the C. perfringens clone in the operating block and suggest that this bacterium may have survived in adverse conditions of the external environment for many months, posing a potential threat to patients. Hence, compliance with the procedures concerning the operating block hygiene must always be strictly observed. Maybe it is also worthwhile to consider modifying them and to introduce periodic (e.g. every three months) mandatory application of sporicidal agents regardless of whether there were clinical cases of C. perfringens infection or not.