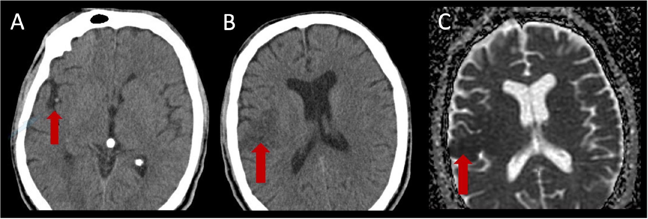
Figure 1.

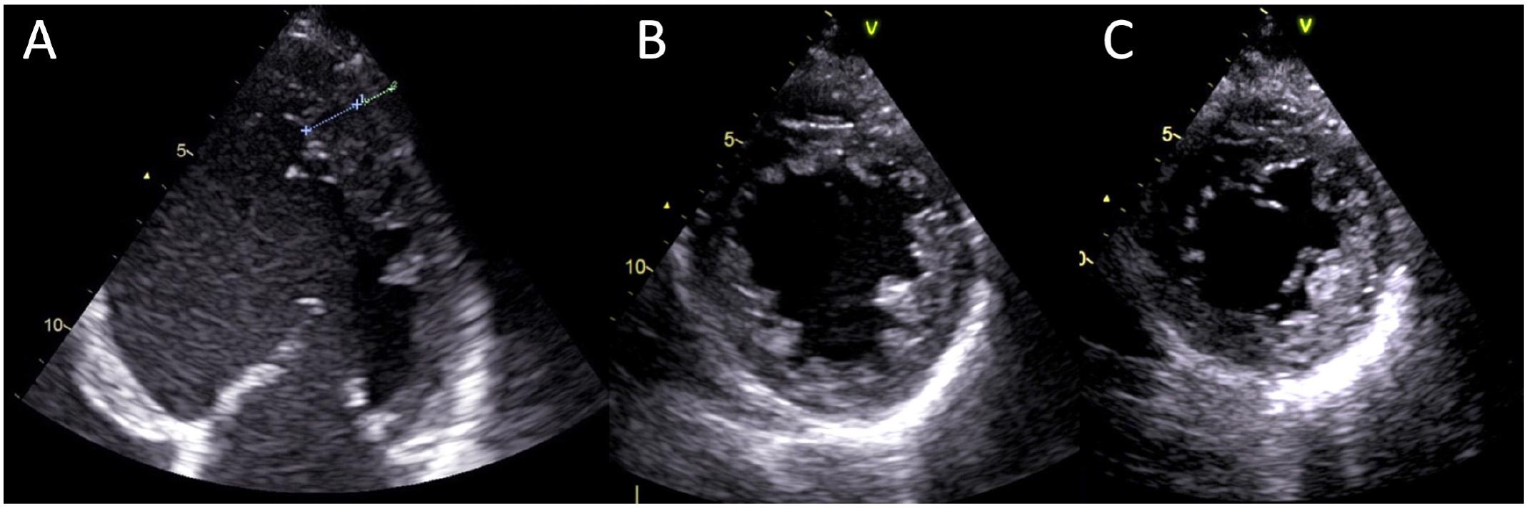
Figure 2

Figure 3

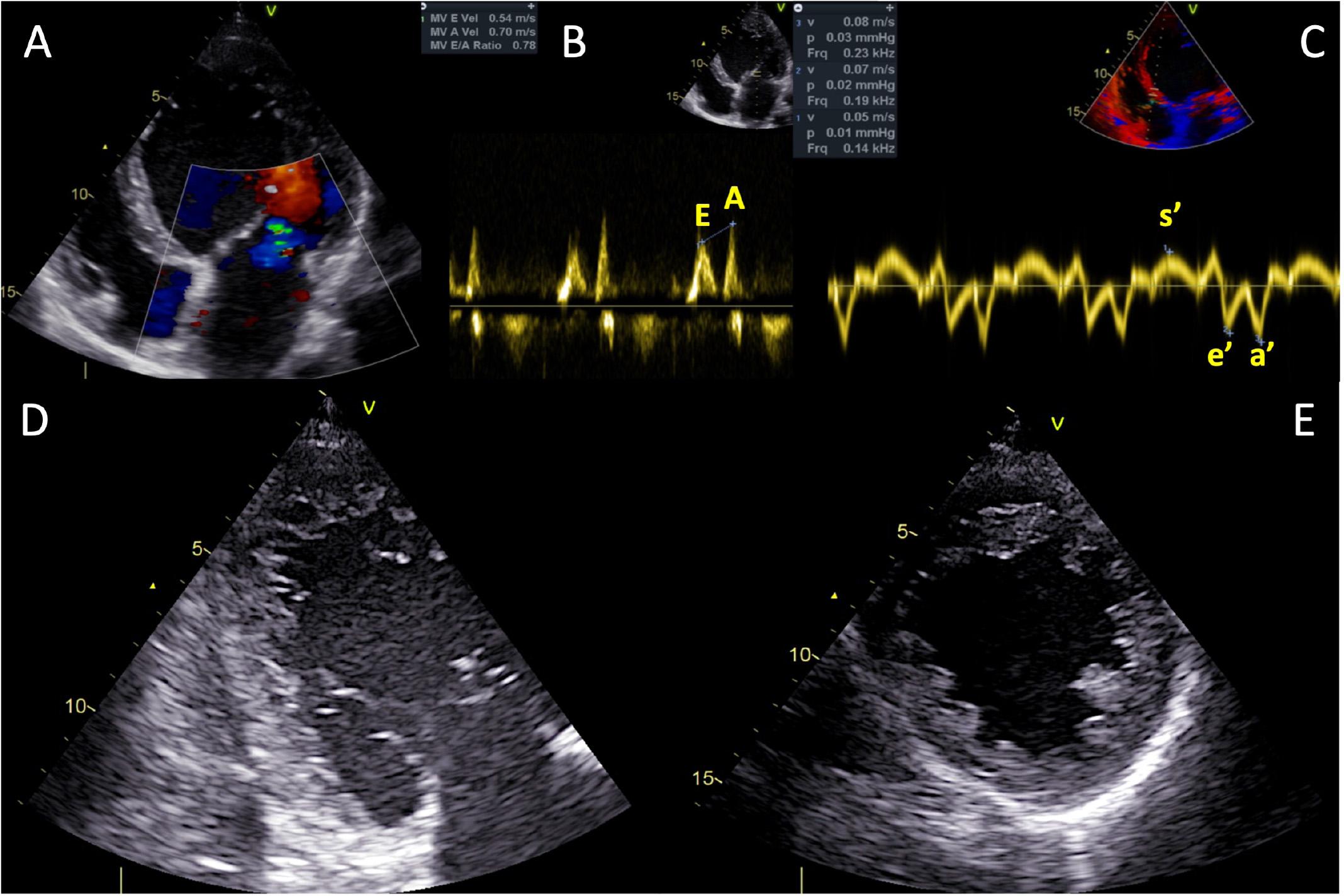
Figure 4

Figure 5

Figure 6

Figure 7

Figure 8









© 2023 Maria-Ruxandra Cepoi, Ioana Theodora Vrabie, Cosmina Ponor, Ana Nicolae, Marilena Renata Spiridon, Antoniu Octavian Petriș, Irina Iuliana Costache, published by Romanian Society of Cardiology
This work is licensed under the Creative Commons Attribution 4.0 License.