Have a personal or library account? Click to login
Free-floating left atrial thrombi with acquired protein C deficiency in hepatitis Cover

Free-floating left atrial thrombi with acquired protein C deficiency in hepatitis

Open Access
|Dec 2023

Figures & Tables

Figure 1

Clot free in the left atrium.
Clot free in the left atrium.

Figure 2

Left atrial circumferential clot.
Left atrial circumferential clot.

Figure 3

Excision of a transseptal left atrial clot.
Excision of a transseptal left atrial clot.

Figure 4

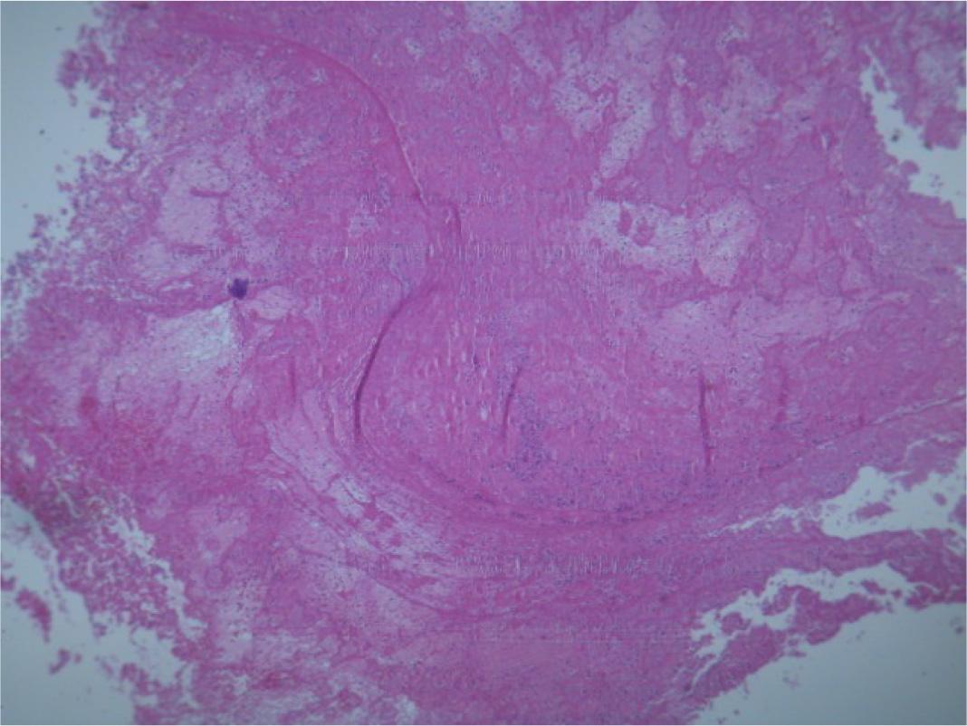
A microscopy image of the clot.
A microscopy image of the clot.
DOI: https://doi.org/10.2478/rjc-2023-0029 | Journal eISSN: 2734-6382 | Journal ISSN: 1220-658X
Language: English
Page range: 169 - 172
Published on: Dec 26, 2023
Published by: Romanian Society of Cardiology
In partnership with: Paradigm Publishing Services
Publication frequency: 4 issues per year

© 2023 Feridoun Sabzi, Reza Faraji, Hedayat Heydarizadeh, published by Romanian Society of Cardiology
This work is licensed under the Creative Commons Attribution 4.0 License.