Have a personal or library account? Click to login
Recurrent ACPA-positive pericarditis, would it be a pre-clinical manifestation of RA? Cover

Recurrent ACPA-positive pericarditis, would it be a pre-clinical manifestation of RA?

By: Hamri Laila and  Rabhi Samira  
Open Access
|Dec 2023

Figures & Tables

Figure 1

Transthoracic ultrasound: persistence of a small pericardial effusion measured at 11 mm posteriorly.
Transthoracic ultrasound: persistence of a small pericardial effusion measured at 11 mm posteriorly.

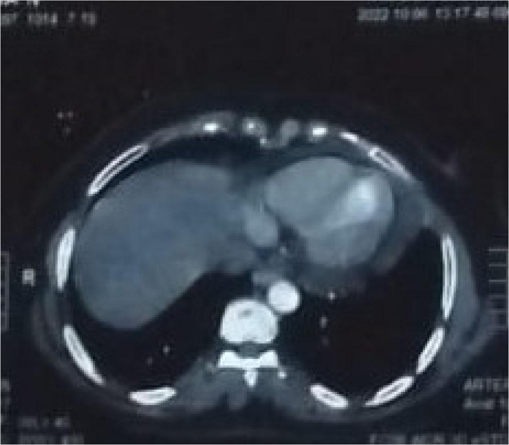
Figure 2

CT scan illustrating circumferential pericarditis.
CT scan illustrating circumferential pericarditis.

Figure 3

Standard X-ray of hands and wrists: absence of erosive lesions consistent with rheumatoid arthritis.
Standard X-ray of hands and wrists: absence of erosive lesions consistent with rheumatoid arthritis.

Figure 4

Joint ultrasound of both wrists, hands, and the right elbow with no notable abnormalities.
Joint ultrasound of both wrists, hands, and the right elbow with no notable abnormalities.
DOI: https://doi.org/10.2478/rjc-2023-0028 | Journal eISSN: 2734-6382 | Journal ISSN: 1220-658X
Language: English
Page range: 173 - 176
Published on: Dec 26, 2023
Published by: Romanian Society of Cardiology
In partnership with: Paradigm Publishing Services
Publication frequency: 4 issues per year

© 2023 Hamri Laila, Rabhi Samira, published by Romanian Society of Cardiology
This work is licensed under the Creative Commons Attribution 4.0 License.