Have a personal or library account? Click to login
A rare cause of mixed hypertrophic and dilated phenotype cardiomyopathy – the MELAS syndrome Cover

A rare cause of mixed hypertrophic and dilated phenotype cardiomyopathy – the MELAS syndrome

Open Access
|Sep 2023

Figures & Tables

Figure 1

ECG findings showing a short PR interval and the positive delta wave in the lateral leads.
ECG findings showing a short PR interval and the positive delta wave in the lateral leads.

Figure 2

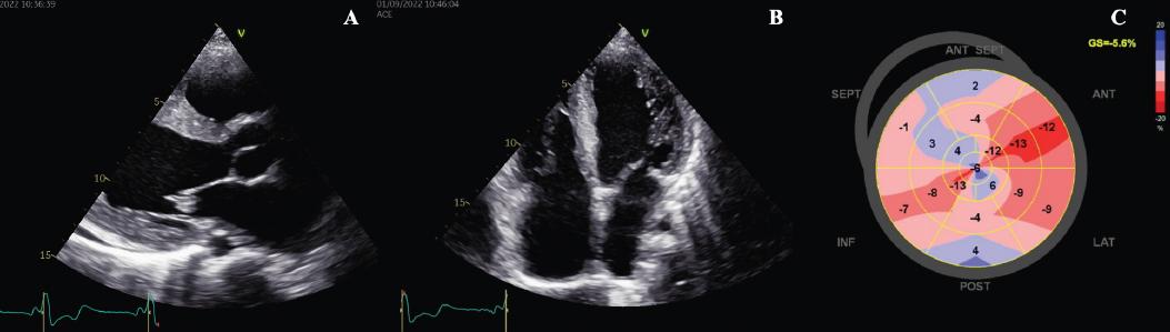
2D Echocardiography findings. A: Parasternal long axis with mild LVH (interventricular septum of 14 mm, posterior wall of 13mm). B: Apical 4 chamber view shows dilatation of all 4 chambers. C: Myocardial deformation bull’s eye showing severely reduced GLS of 05.6% with non-specific pattern.
2D Echocardiography findings. A: Parasternal long axis with mild LVH (interventricular septum of 14 mm, posterior wall of 13mm). B: Apical 4 chamber view shows dilatation of all 4 chambers. C: Myocardial deformation bull’s eye showing severely reduced GLS of 05.6% with non-specific pattern.

Figure 3

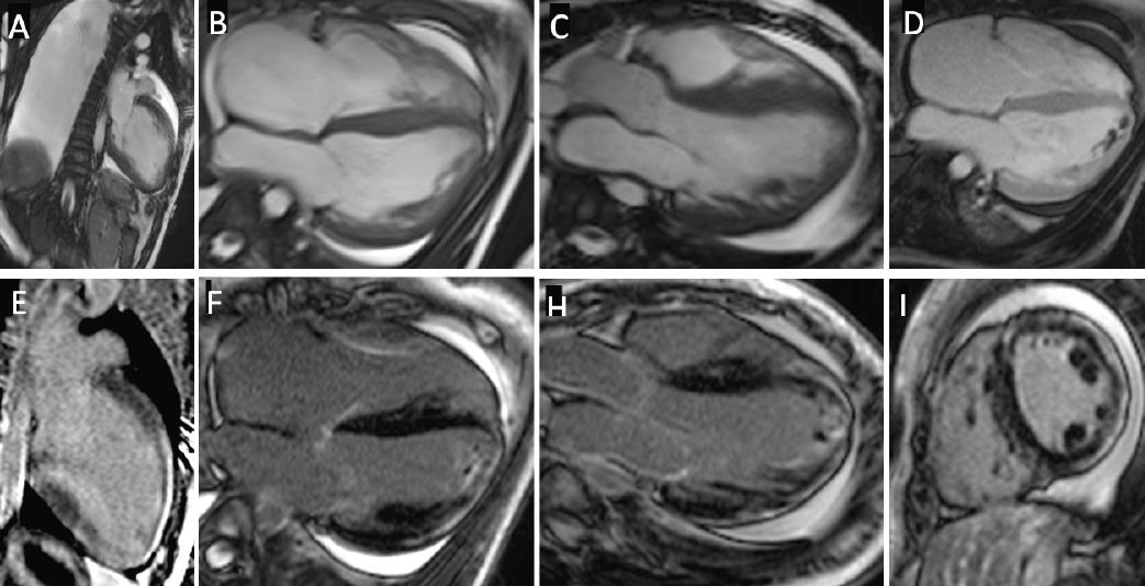
Contrast enhanced cardiovascular magnetic resonance findings. A, B, and C: Diastolic frames of cine images in 2, 4 and 3 chamber views showing a severely dilated left ventricle (LV) with interventricular septum hypertrophy. Large right pleural effusion and small circumferential pericardial effusion are also seen. D: Early Gadolinium enhancement showing multiple thrombi in the LV apex. E, F, G, and I: Late Gadolinium Enhancement (LGE) in 2, 4, 3 chambers and short axis views respectively showing extensive subepicardial LGE with a ring-like pattern.
Contrast enhanced cardiovascular magnetic resonance findings. A, B, and C: Diastolic frames of cine images in 2, 4 and 3 chamber views showing a severely dilated left ventricle (LV) with interventricular septum hypertrophy. Large right pleural effusion and small circumferential pericardial effusion are also seen. D: Early Gadolinium enhancement showing multiple thrombi in the LV apex. E, F, G, and I: Late Gadolinium Enhancement (LGE) in 2, 4, 3 chambers and short axis views respectively showing extensive subepicardial LGE with a ring-like pattern.
DOI: https://doi.org/10.2478/rjc-2023-0020 | Journal eISSN: 2734-6382 | Journal ISSN: 1220-658X
Language: English
Page range: 118 - 122
Published on: Sep 30, 2023
Published by: Romanian Society of Cardiology
In partnership with: Paradigm Publishing Services
Publication frequency: 4 issues per year

© 2023 Mihnea Casian, Nic Dragotoiu, Sebastian Onciul, Bogdan A. Popescu, Ruxandra Jurcuţ, published by Romanian Society of Cardiology
This work is licensed under the Creative Commons Attribution 4.0 License.