Have a personal or library account? Click to login
Follow the heart: A tale of possible infective endocarditis in a patient co-infected with Methicillin-resistant Staphylococcus aureus and Severe Acute Respiratory Syndrome Coronavirus 2 Cover

Follow the heart: A tale of possible infective endocarditis in a patient co-infected with Methicillin-resistant Staphylococcus aureus and Severe Acute Respiratory Syndrome Coronavirus 2

Open Access
|Jun 2023

Figures & Tables

Figure 1

Electrocardiogram showing sinus rhythm, ventricular rate of 55/minute, and signs of left ventricular hypertrophy.
Electrocardiogram showing sinus rhythm, ventricular rate of 55/minute, and signs of left ventricular hypertrophy.

Figure 2

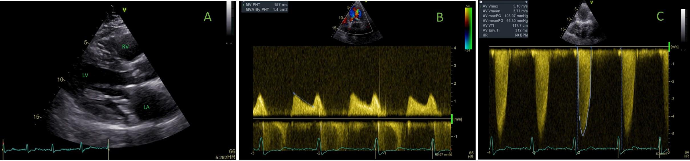
Transthoracic echocardiography in (A) parasternal long axis view showing severe mitral annular calcification and thickened mitral leaflet; (B) four-chamber view demonstrating moderate mitral valve stenosis by the pressure half-time method; and (C) five-chamber view showing severe aortic stenosis by continuous wave Doppler interrogation.
LA - left atrium; LV - left ventricle; RV - right ventricle
Transthoracic echocardiography in (A) parasternal long axis view showing severe mitral annular calcification and thickened mitral leaflet; (B) four-chamber view demonstrating moderate mitral valve stenosis by the pressure half-time method; and (C) five-chamber view showing severe aortic stenosis by continuous wave Doppler interrogation. LA - left atrium; LV - left ventricle; RV - right ventricle

Figure 3

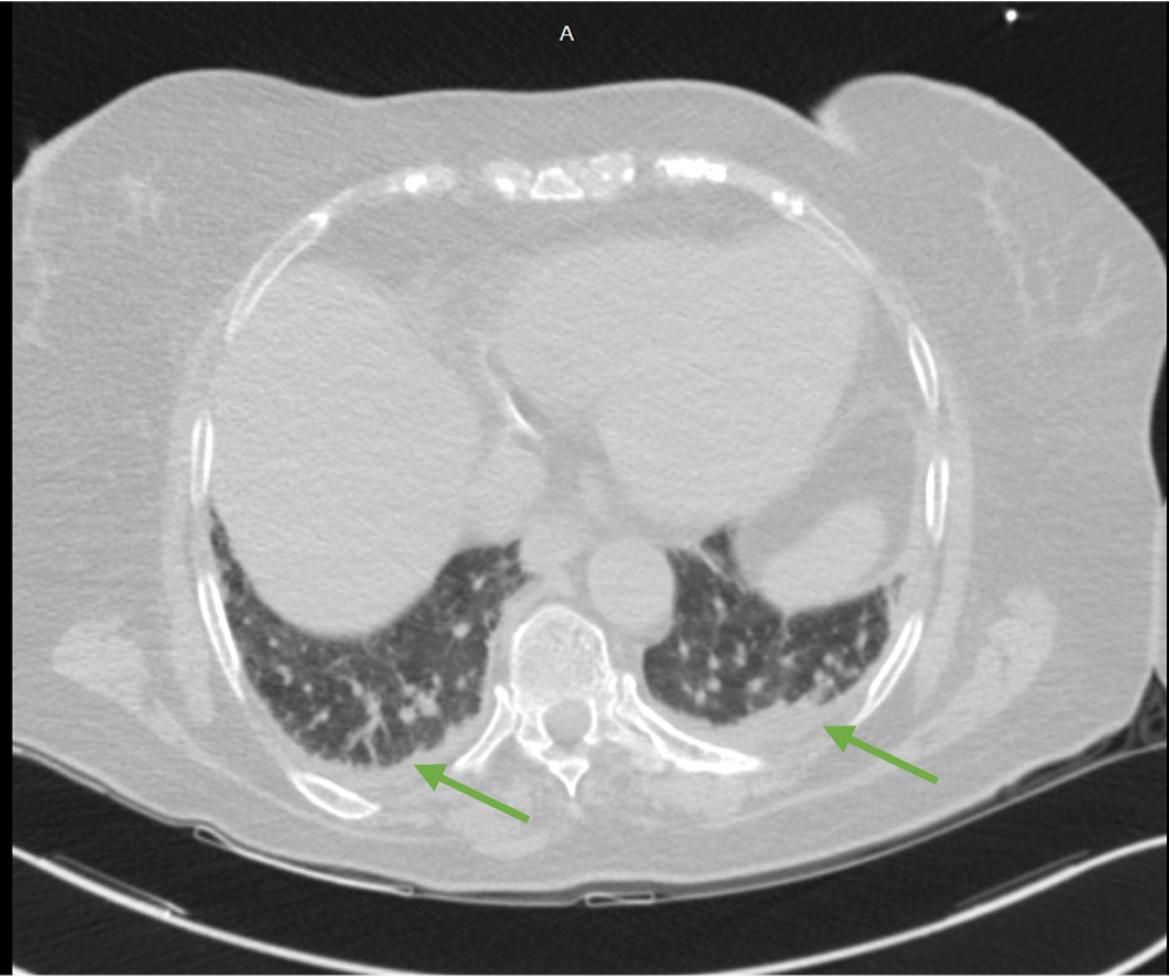
Computed tomography of the lung showing bilateral lower lobes consolidations. The arrows indicate subsegmental lower lobes consolidation with minimal pleural effusion.
Computed tomography of the lung showing bilateral lower lobes consolidations. The arrows indicate subsegmental lower lobes consolidation with minimal pleural effusion.

Figure 4

Computed tomography of the brain showing (A) frontal intraparenchymal cerebral hemorrhage and perilesional edema in transversal view; (B) subarachnoid hemorrhage in sagittal view; and (C) frontal intraparenchymal hemorrhage in frontal view.
The arrows indicate (A) a 17 mm frontal hematoma with peri-hemorrhagic edema; (B) left parietal subarachnoid hemorrhage; and (C) frontal hematoma.
Computed tomography of the brain showing (A) frontal intraparenchymal cerebral hemorrhage and perilesional edema in transversal view; (B) subarachnoid hemorrhage in sagittal view; and (C) frontal intraparenchymal hemorrhage in frontal view. The arrows indicate (A) a 17 mm frontal hematoma with peri-hemorrhagic edema; (B) left parietal subarachnoid hemorrhage; and (C) frontal hematoma.

Figure 5

Repeated computed tomography of the brain showing new occipitotemporal cortical hypodensity and parenchymal swelling.
The arrows indicate a subacute ischemic lesion in the occipitotemporal cortex together with perilesional swelling.
Repeated computed tomography of the brain showing new occipitotemporal cortical hypodensity and parenchymal swelling. The arrows indicate a subacute ischemic lesion in the occipitotemporal cortex together with perilesional swelling.

Figure 6

Initial (A) transthoracic echocardiography in short axis view showing calcified aortic valves and repeated (B) echocardiography with suspicion of a small mass attached to the aortic cusp.The arrows indicate (A) a degenerative tricuspid aortic valve and (B) a small mass attached to the aortic valve.
Initial (A) transthoracic echocardiography in short axis view showing calcified aortic valves and repeated (B) echocardiography with suspicion of a small mass attached to the aortic cusp.The arrows indicate (A) a degenerative tricuspid aortic valve and (B) a small mass attached to the aortic valve.
DOI: https://doi.org/10.2478/rjc-2023-0006 | Journal eISSN: 2734-6382 | Journal ISSN: 1220-658X
Language: English
Page range: 67 - 71
Published on: Jun 30, 2023
In partnership with: Paradigm Publishing Services
Publication frequency: 4 issues per year

© 2023 Dan-Alexandru Cozac, Ileana Voichiţa Sîrbu, Alina Scridon, published by Romanian Society of Cardiology
This work is licensed under the Creative Commons Attribution 4.0 License.