Aortocoronary dissection is an uncommon (reported incidence of 0.02–0.07%[1,2,3,4,5]), potentially fatal complication of coronary intervention. It poses the risk of both abrupt closure of the coronary artery, as well as dissection extension to the ascending aorta and further. In the context of an increased number of coronary interventions being performed in centers without on-site surgical backup,[6,7,8,9] timely recognition and an appropriate treatment strategy for possible complications are paramount. We present a case of coronary artery dissection with retrograde extension into the aortic root and ascending aorta.
We report the case of a 55-year-old male patient who presented with sudden onset chest pain with cervical radiation that began five hours earlier. His prior medical history included hypertension, diabetes mellitus, and single-vessel coronary artery disease (affecting the left anterior descendant artery [LAD) and first diagonal branch). In 2013, he underwent coronary artery bypass grafting (CABG) via a bilateral internal thoracic artery (BITA) “Y” grafting configuration with a left internal thoracic artery grafted to the LAD and the internal thoracic artery grafted to the first diagonal artery. On admission, ECG and emergent laboratory tests revealed ST segment elevation in inferior leads with elevated high-sensitivity troponin I and CK-MB.
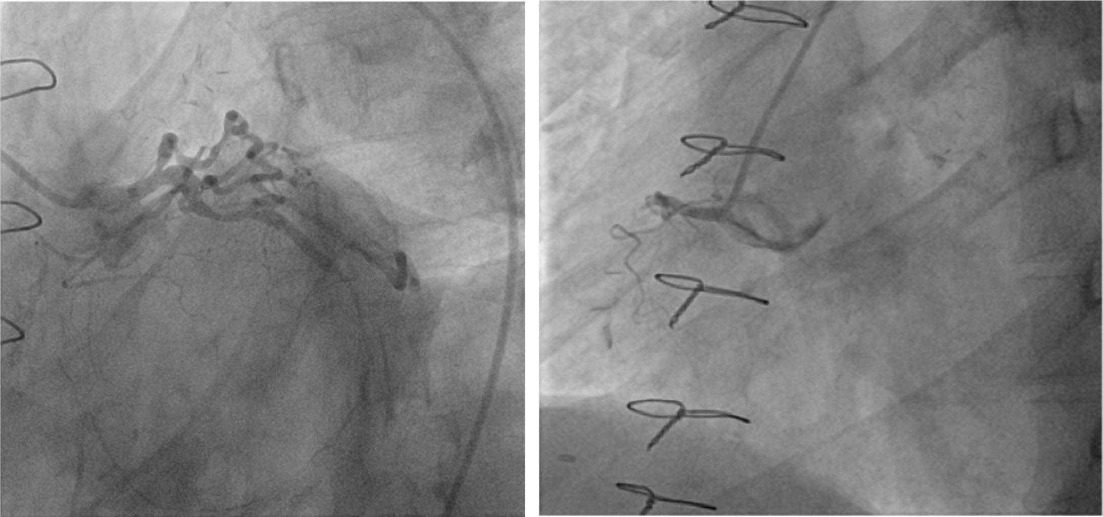
He was taken immediately to the catheterization laboratory. Transfemoral diagnostic coronary angiography using CORDIS DIAGNOSTIC 6F JL4 (IndiaMART) and JR4 (Oscor’s Angios) catheters revealed patency of LAD graft, significant stenosis of the proximal left circumflex coronary artery (LCX) followed by chronic total occlusion of the distal segment, and complete thrombotic occlusion of the proximal right coronary artery (RCA) with retrograde filling of distal RCA through collaterals from LAD (Figure 1). Consequently, we proceeded to PCI to the proximal RCA. We used a CORDIS DIAGNOSTIC 6F JL4 (IndiaMART) guide catheter to engage the RCA, and an attempt was made to cross the culprit lesion with a 0.014” PT2 moderate support guidewire (Boston Scientific). The control contrast injection revealed a long spiral dissection of RCA (Type D according to the NHLBI classification) starting fromthe tip of the guide catheter with antegrade extension to the distal segment and evidence of thrombus in the mid-portion and slow flow. Subsequent angiogram revealed retrograde extension into the right aortic sinus of Valsalva and ascending aorta and dye retention extending more than 50 mm in the aortic wall, consistent with class III Dunning aortocoronary dissection (Figure 2).

LAO caudal view of selective left coronary angiography. Critical stenosis of ostial and mid LAD, significant stenosis of proximal LCX, chronic total occlusion of distal LCX. Retrograde filling of distal RCA through collaterals from LAD (arrow). LAO view: complete thrombotic occlusion of proximal RCA.

Type D RCA dissection extending to ascending aorta, consistent with class III Dunning aorto-coronary dissection.
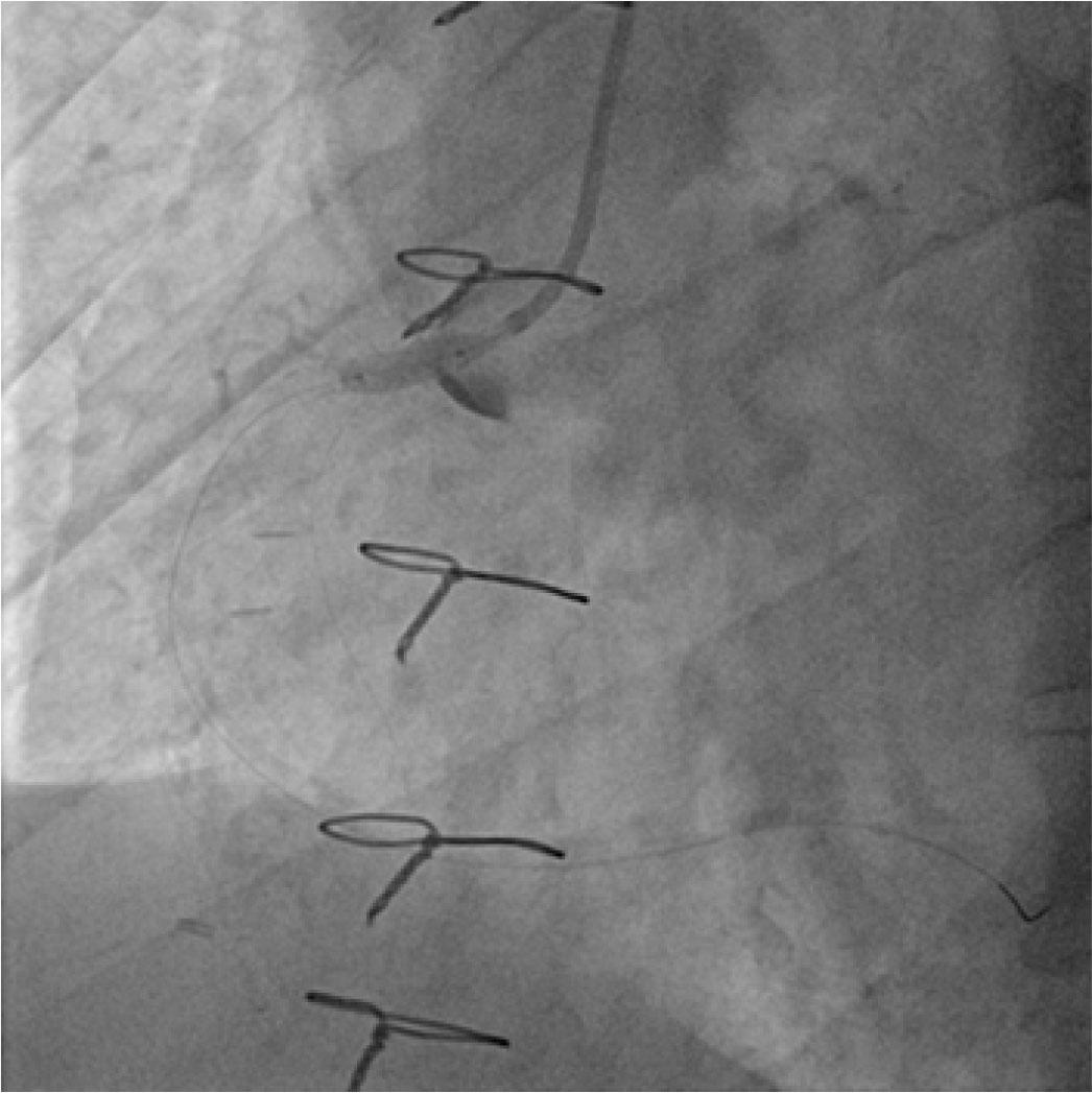
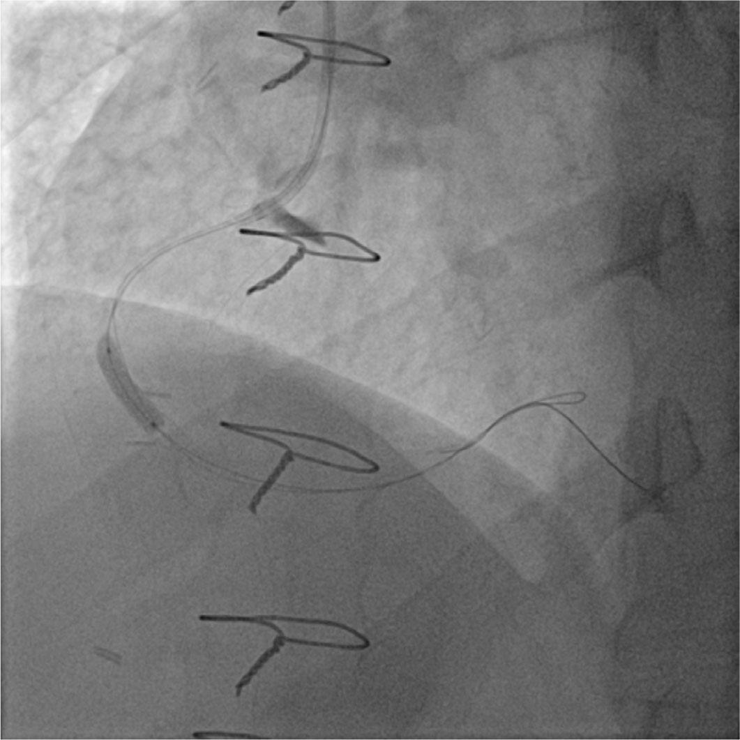
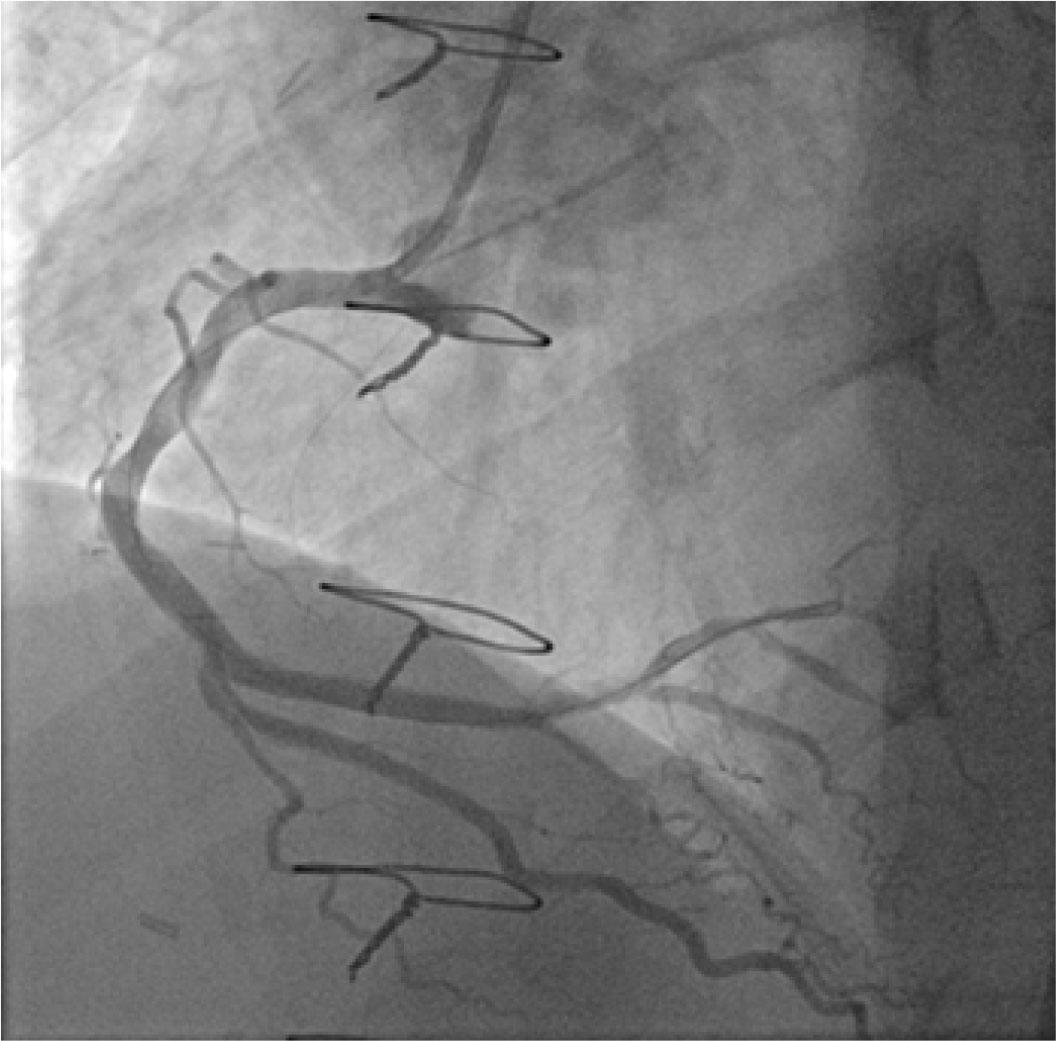
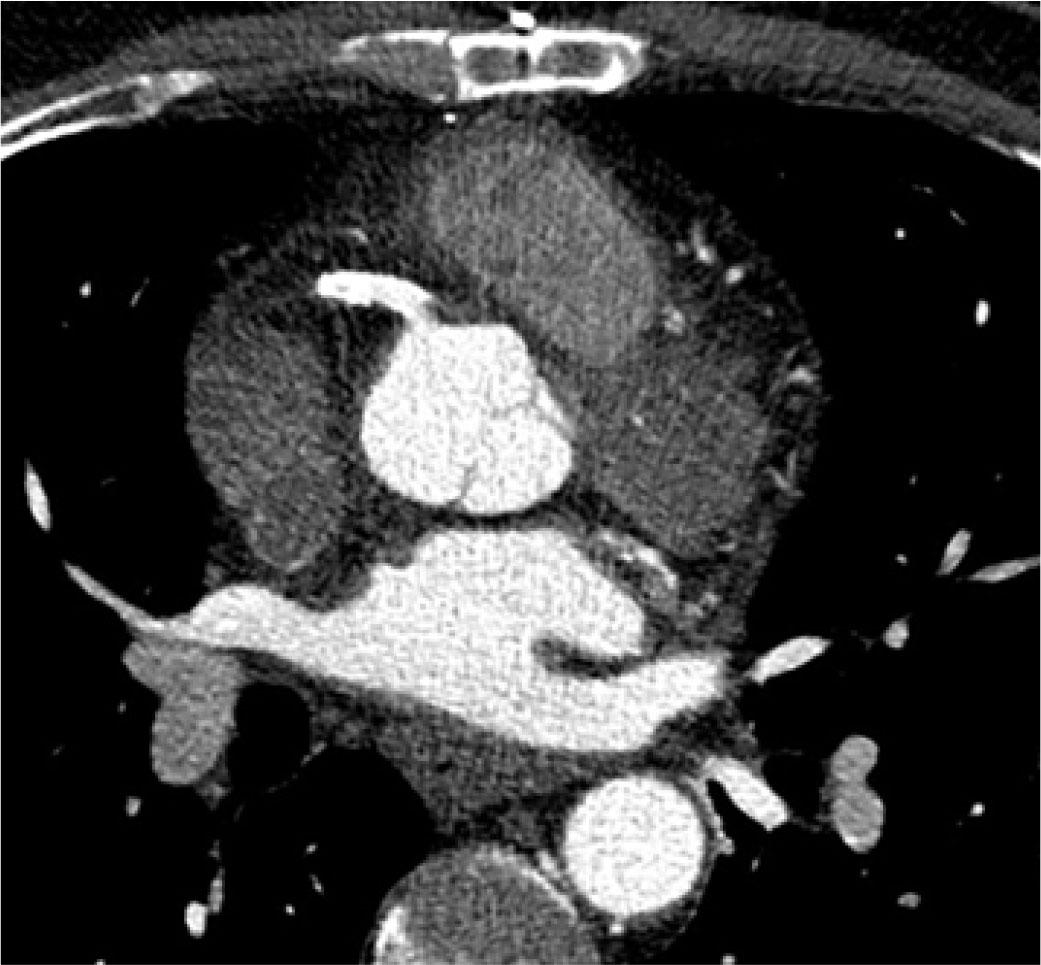
Because the guidewire appeared to be in the false lumen, it was withdrawn and replaced with a 0.014” CHOICE PT Floppy guidewire (Boston Scientific), which was successfully used to cross the lesion. The proximal dissection flap was sealed using a Resolute Integrity drug eluting stent (DES) deployed into the RCA ostium at 16 atm. Afterwards, a buddy wire was used to aid in the delivery of two short Prokinetic Energy 3.5/15 mm (BIOTRONIK) and 3.5/13 mm (BIOTRONIK) bare metal stents (BMS) placed in the distal segment at 14 and 16 atm, respectively. Lastly, a 4.0/38 mm Resolute Integrity stent (Medtronic) was used to cover the culprit lesion and seal off the dissection in the mid-proximal part of the RCA (Figure 3), with a good final angiographic result and restoration of Thrombolysis in Myocardial Infarction (TIMI) grade 3 flow (Figure 4). Final angiography and aortography with pigtail catheter showed complete sealing of the dissection flap. Also, a CT scan conducted two days later showed patent RCA stents with no evidence of dissection (Figure 5). The patient remained asymptomatic on guideline-recommended medication after myocardial infarction and was discharged from the hospital five days later.

Stenting the origin of the dissection.

Deployment of the third stent through “buddy wire” technique.

LAO cranial view of selective RCA angiography post-stenting.

Computed tomography with contrast in a transverse section at RCA ostium level shows closed intimal flap, without evidence of false lumen.
Coronary artery dissection is a well-known complication of coronary invasive procedures, either diagnostic angiography or PCI. Retrograde extension of the dissection to the aortic root and ascending aorta has a significant lower incidence, with only 88 cases reported in a literature review by Shah et al.[5] There are several factors that predispose certain cases to dissection, including age, diabetes mellitus, hypertension,[10] atherosclerotic burden with “complicated” lesions (ulcerated, thrombus-laden),[11] and also technical factors (large-bore catheters, Amplatz-shaped catheters, lack of coaxial alignment or deeply engaged catheters, stiff-tipped or hydrophilic-tipped guidewires, extensive catheter manipulations, vigorous contrast media injection).[11,12] Additionally, the setting of PCI is noteworthy, as AMI presentation is cited as one of the strongest risk factors.[2]
A classification of coronary artery dissections involving the aortic root proposed by Dunning et al.[2] has raised awareness of this complication and also provided a framework for treatment and prognosis, emphasizing that the magnitude of aortic involvement (>40 mm) is an important factor for considering surgical intervention. With the recent advances in coronary stent technology and development of low profile, thinner struts stents with improved crossability, increasingly more complex lesions can be approached percutaneously. Timely recognition and rapid closing of dissection by stenting the origin of the dissection are paramount to the prevention of dissection expansion. Deteriorating clinical status with hemodynamic instability, acute aortic dissection, hemopericardium, ischemia of any of the aortic branches, or inability to access the true lumen are indications for urgent surgical intervention.[10,12,13]
Minimizing the risk of coronary dissection by appropriate catheter selection and proper coaxial positioning as well as avoiding aggressive manipulation of catheters and guidewires is critical in both diagnostic and PCI procedures. Currently there are no guidelines for treating aortocoronary dissection. Prompt diagnosis is essential, as well as having prepared a treatment strategy. In hemodynamic stable patients, brisk sealing of the entry site of the dissection with a stent to prevent extension of the aortic dissection, as compared to stent coverage the rest of the coronary dissection, appears to be safe and feasible, with good short- and long-term outcomes.