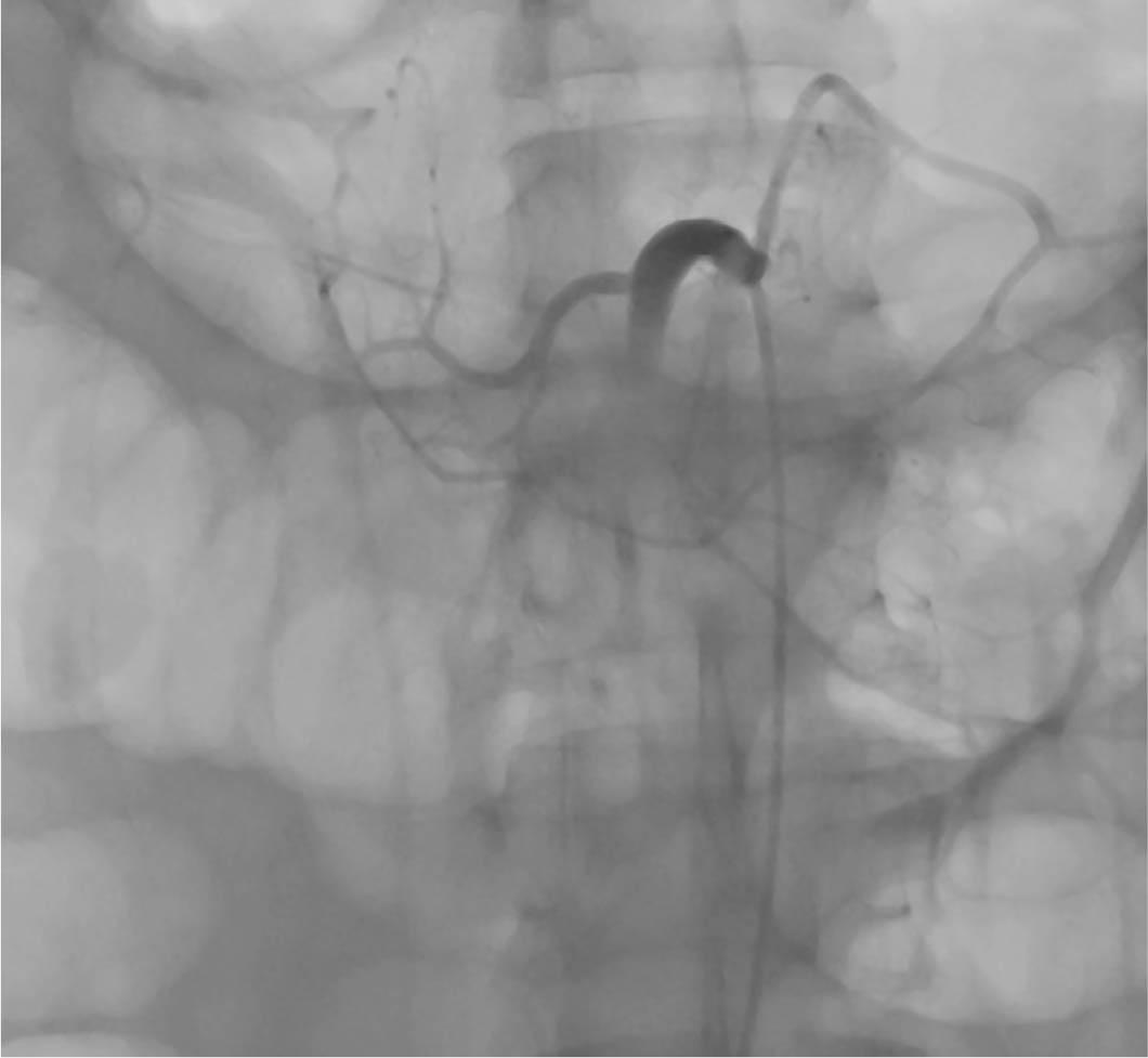
Figure 1

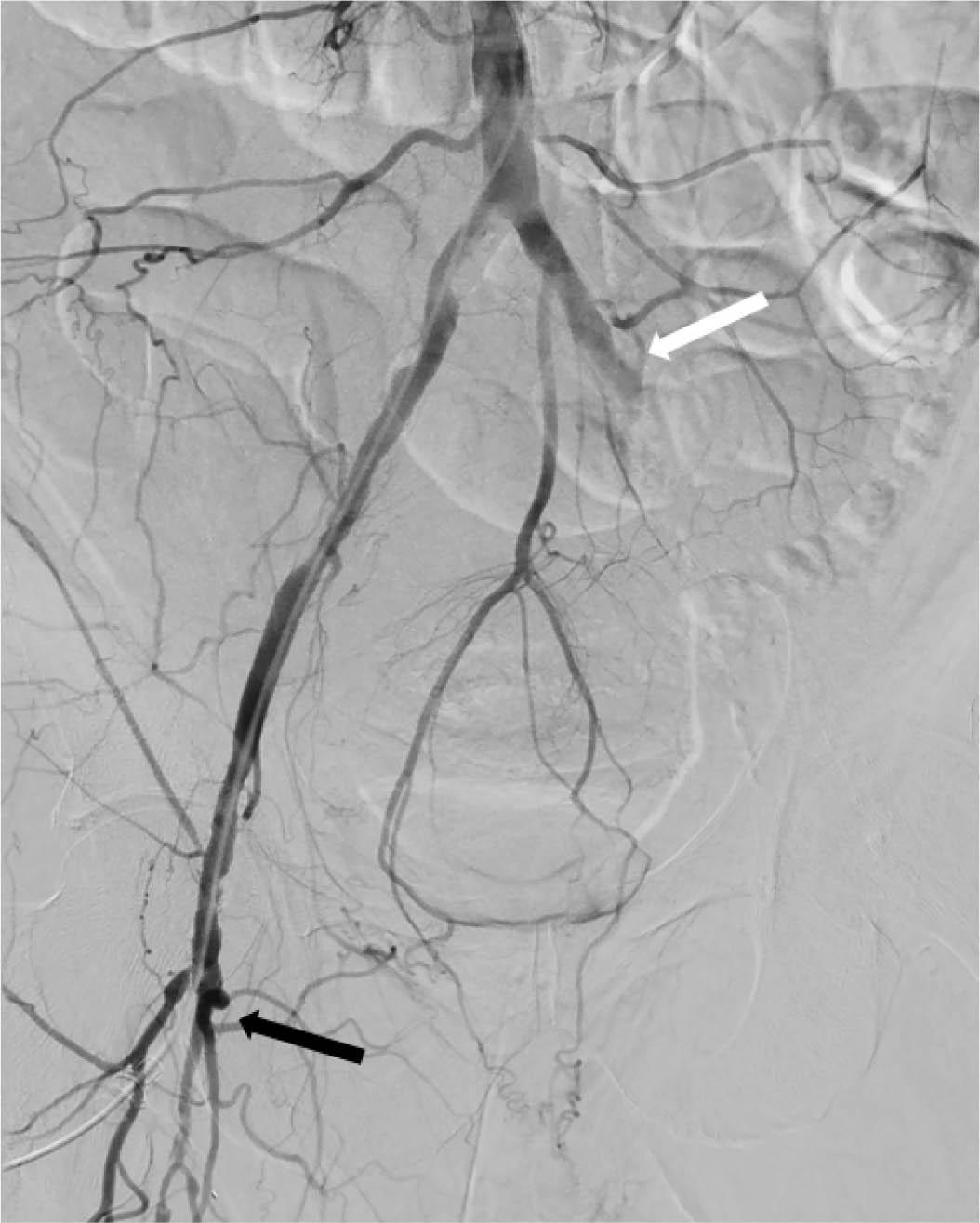
Figure 2

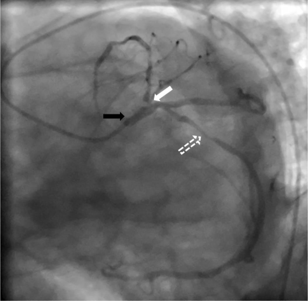
Figure 3

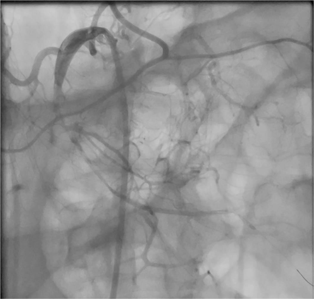
Figure 4

Figure 5

Figure 6







© 2022 Lucian M Predescu, Taisia Tiron, Bogdan Radulescu, Costin Scarlat, Carmen Ginghina, Lucian Zarma, published by Romanian Society of Cardiology
This work is licensed under the Creative Commons Attribution 4.0 License.