Have a personal or library account? Click to login
Acute right heart failure in Waldenström macroglobulinemia: A case report Cover

Acute right heart failure in Waldenström macroglobulinemia: A case report

Open Access
|Apr 2022

Figures & Tables

Figure 1

Baseline echocardiographic evaluation of left ventricular and right ventricular function. Panel A. Normal range left ventricular 2D global longitudinal strain value; Panel B. 3D echocardiographic quantification of left ventricular volumes and ejection fraction showed values within normal limits; Panel C. M-mode analysis with normal tricuspid annulus systolic excursion; Panel D. 3D echocardiographic assessment of the right ventricle revealed also normal volumes and function.
Baseline echocardiographic evaluation of left ventricular and right ventricular function. Panel A. Normal range left ventricular 2D global longitudinal strain value; Panel B. 3D echocardiographic quantification of left ventricular volumes and ejection fraction showed values within normal limits; Panel C. M-mode analysis with normal tricuspid annulus systolic excursion; Panel D. 3D echocardiographic assessment of the right ventricle revealed also normal volumes and function.

Figure 2

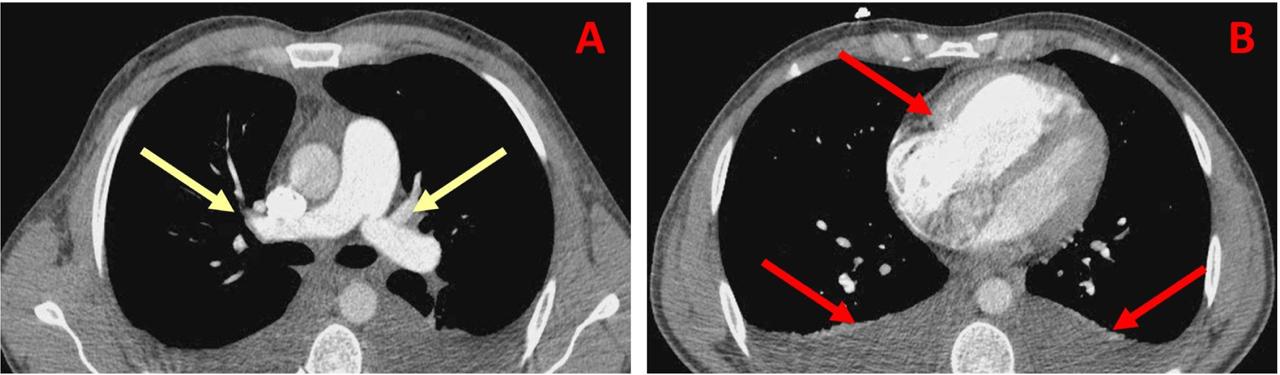
Thoracic computed tomography. Panel A. Thoracic CT scan with contrast revealed an optimal opacification of pulmonary arteries, without thrombi; Panel B. Dilated right heart chambers, mild pleural effusion and no pulmonary parenchymal pathology.
Thoracic computed tomography. Panel A. Thoracic CT scan with contrast revealed an optimal opacification of pulmonary arteries, without thrombi; Panel B. Dilated right heart chambers, mild pleural effusion and no pulmonary parenchymal pathology.

Figure 3

Echocardiographic assessment after five months when the patient presented relapse of the hematological disease with severe hyperviscosity syndrome revealed impaired right ventricular function. Panel A. Decreased fractional area change value; Panel B. CW interrogation of tricuspid regurgitant jet indicated maximum gradient of 63mmHg, with estimated systolic pulmonary artery pressure of 83mmHg suggesting severe pulmonary hypertension; Panel C. Reduced 2D right ventricular free wall longitudinal strain; Panel D: 3D echocardiographic quantification with reduced right ventricular ejection fraction.
Echocardiographic assessment after five months when the patient presented relapse of the hematological disease with severe hyperviscosity syndrome revealed impaired right ventricular function. Panel A. Decreased fractional area change value; Panel B. CW interrogation of tricuspid regurgitant jet indicated maximum gradient of 63mmHg, with estimated systolic pulmonary artery pressure of 83mmHg suggesting severe pulmonary hypertension; Panel C. Reduced 2D right ventricular free wall longitudinal strain; Panel D: 3D echocardiographic quantification with reduced right ventricular ejection fraction.

Figure 4

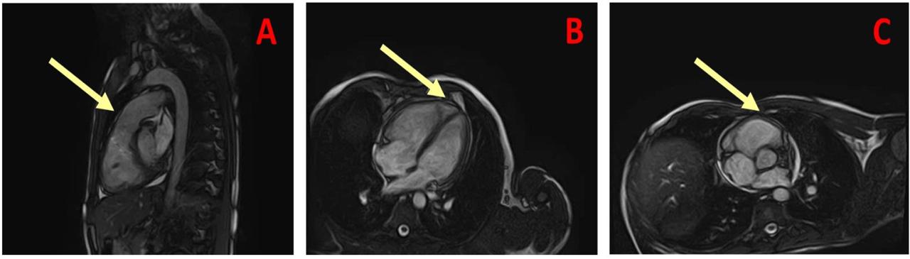
Cardiac magnetic resonance imaging was performed in order to provide additional information on the possible pathophysiological mechanism of cardiac injury. Panel A. MRI confirmed right heart dysfunction, with a RVEF of 31%; Panel B and C. There was no evidence of edema or lipomatous changes on T1 and T2 sequences. Late gadolinium enhancement was confined only to the septal insertion of right ventricular free wall.
Cardiac magnetic resonance imaging was performed in order to provide additional information on the possible pathophysiological mechanism of cardiac injury. Panel A. MRI confirmed right heart dysfunction, with a RVEF of 31%; Panel B and C. There was no evidence of edema or lipomatous changes on T1 and T2 sequences. Late gadolinium enhancement was confined only to the septal insertion of right ventricular free wall.
DOI: https://doi.org/10.2478/rjc-2022-0006 | Journal eISSN: 2734-6382 | Journal ISSN: 1220-658X
Language: English
Page range: 35 - 40
Published on: Apr 22, 2022
Published by: Romanian Society of Cardiology
In partnership with: Paradigm Publishing Services
Publication frequency: 4 issues per year

© 2022 Hayat Memis, Anca Elena Balinisteanu, Mihaela Gaman, Diana Mihalcea, Dragos Vinereanu, published by Romanian Society of Cardiology
This work is licensed under the Creative Commons Attribution 4.0 License.