Head and neck cancer is the world’s seventh most common cancer with over 870,000 new cases in 2020. Lip and oral cavity malignancies accounted for almost half of them.1 More than 90% of oral cavity cancers arises from squamous epithelium.2 Verrucous carcinoma is a low-grade variant of squamous cell carcinoma (SCC) with specific morphologic, cytokinetic and clinical features.3 It is a locally aggressive tumour and does not metastasize to regional lymph nodes or to distant sites.4 In 1941, Friedell and Rosenthal first reported verrucous papillary lesions on the buccal mucosa in eight tobacco chewers.5 Seven years later, Ackerman described histopathologic and clinical features of this neoplasm. He defined it as a distinct clinicopathologic entity and introduced a term »verrucous carcinoma«.6
Verrucous carcinoma most often arises on mucous membranes of the head and neck region with the oral cavity most commonly involved, particularly buccal mucosa, gum and tongue.3 Oral verrucous carcinoma accounts for 0.57-16.08% of oral squamous cell carcinoma (SCC)7, 8, 9 and is predominantly seen in males with the reported mean age at diagnosis between 49 and 69.5 years.9, 10, 11 In a study by Koch et al., glottic larynx was the most frequently affected nonoral site.3 Other reported locations in the head and neck region affected by verrucous carcinoma are nasal cavity, paranasal sinuses, nasopharynx, oesophagus and temporal bone.12, 13, 14 Verrucous carcinoma on the skin and mucosa of the anogenital region and extremities are described in the literature as well.15,16
The etiopathogenesis of oral verrucous carcinoma is not completely understood. As in conventional oral SCC, there is a strong association with alcohol consumption and inhaled as well as chewing tobacco use. Other irritants to the oral mucosa such as betel nut chewing, poor oral hygiene, a poorly fitting dental prosthesis and earlier mucosal injuries or scars have also been described as risk factors in the development of oral verrucous carcinoma.9,17, 18, 19 There is growing evidence that oral microbiota and its imbalances may play a role in the etiology of oral cancers through activation of smoking and alcohol related carcinogens locally and chronic inflammation systemically.20 Human papillomaviruses (HPVs) have been considered as a possible etiologic factor in verrucous carcinoma, with the reported prevalence of HPV in verrucous carcinoma ranging from 0% to 100%.21, 22, 23 However, using highly sensitive and specific molecular methods, it has been shown that HPVs are not associated with the etiopathogenesis of verrucous carcinoma of the head and neck. Furthermore, no evidence of transcriptionally active high-risk α-HPV was found in verrucous carcinoma by real-time polymerase chain reaction (RT-PCR) for HPV E6/E7 messenger ribonucleic acid (mRNA). It appears that verrucous carcinoma of the head and neck is not associated with infection with HPV.4,24, 25
Verrucous carcinoma is characterized by low mitotic activity reflecting in slow growth7; hence it can take several years to reach the size that causes symptoms. Patients may report oral discomfort, difficulty chewing or swallowing, and bad breath. Pain usually indicates tumour invasion into the surrounding structures.26,27
Oral verrucous carcinoma typically appears as an exophytic broad-based lesion with a cauliflower-like warty surface28 as presented in Figure 1. Despite its slow growth, it can reach a significant size and infiltrate adjacent tissues such as muscles and bone.3 However, even when locally advanced, oral verrucous carcinoma has no tendency to metastasize to regional lymph nodes and distant sites.4 Cervical lymphadenopathy is commonly seen at initial clinical or radiological examination and is mostly considered reactive secondary to inflammation at the tumour-stromal interface.3

Verrucous carcinoma of the right buccal mucosa (clinical stage T2N0M0) in an 81-year-old male patient. He presented with a whitish exophytic tumour mass of the inner side of the right cheek and without suspicious lymph nodes on the neck. The lesion was noticed by the patient a month before initial examination, and it occasionally hurt, but he had no problems feeding. Due to associated diseases, he was treated with radiotherapy (55 Gy, 2.2 Gy/fraction) and concurrent intravenous chemotherapy (vinblastine 2 mg, day 1; methotrexate 50 mg, day 2; bleomycin 15 mg, days 2 and 3). The patient died of injury 5.5 years after completion of treatment for verrucous carcinoma with no evidence of malignant disease in oral cavity.
Initial reports of neck metastasis in verrucous carcinoma were later attributed to incorrect pathologic diagnosis or to a presence of foci of conventional SCC of varying degree of differentiation within a verrucous carcinoma. The so-called hybrid verrucous carcinoma was first described by Batsakis et al. in 1982 in three verrucous lesions of the larynx.29 Medina et al. later reported coexistence of verrucous carcinoma and conventional SCC in 20% of 104 patients with oral verrucous carcinoma.30 In contrast to the classic, histologically uniform verrucous carcinoma, a hybrid verrucous carcinoma is capable of metastasizing and must therefore be managed as a more common and aggressive conventional SCC.31 However, it is not possible to differentiate these lesions at clinical examination due to similar appearance. Moreover, examination of small tumour samples obtained with biopsy could be misleading as an invasive component is often missed at sampling.32 Gokavarapu et al. reported that 51% of cases preoperatively diagnosed as oral verrucous carcinoma or its benign precursors were actually hybrid lesions.33 Although multiple biopsies from different areas of the tumour might be helpful to identify invasive component, surgical excision and histopathological examination of whole resection specimen is needed for definitive diagnosis.32 If hybrid verrucous carcinoma is recognized, the pathologist should quantitate each component of the tumour, define the degree of differentiation of the conventional SCC component and comment on depth of the tumour invasion, potential presence of lymphatic or perineural invasion and the adequacy of the resection margins. These features help the clinicians to decide about adjuvant treatment options.31
Various mucosal abnormalities including verrucous hyperplasia and dysplasia are frequently found adjacent to the oral verrucous carcinoma supporting the view that verrucous carcinoma develops from precursor lesions.28 Patients with oral verrucous carcinoma are also at high risk of developing metachronous second primary tumours. This can be explained with the concept of »field cancerization« proposed by Slaughter et al. who postulated that prolonged exposure of the upper aerodigestive tract to carcinogens leads to genomic instability even beyond the area of clinically and histopathologically evident mucosal changes.34
Diagnosis of oral verrucous carcinoma is based on a patient’s history, clinical manifestation and histopathologic features of the lesion. However, establishing the correct diagnosis is often difficult due to other oral lesions with often similar verrucous presentation and/or insufficient biopsy specimen as well.9 Medical history should include information on the duration of the growth of the lesion and potential etiologic factors (smoking, alcohol abuse). Computed tomography (CT) and/or magnetic resonance imaging (MRI) is helpful to determine local extent of the lesion with potential invasion to surrounding structures and to exclude tumour spread to regional lymph nodes.35
The clinician’s impression of a malignant lesion frequently does not match its benign nature described in the histopathology report. Therefore, biopsies are often repeated, which can significantly delay the start of a treatment.10,36 Close communication between the clinician and the pathologist is therefore of the utmost importance.33
Microscopically, verrucous carcinoma consists of filiform projections lined by thick, well-differentiated keratinized squamous epithelium, composed of one to a few layers of basal cells, and multiplied, voluminous spinous cells lacking cytological atypia. It invades the underlying stroma with a well-defined, pushing margin.37 When oral verrucous carcinoma is highly suspicious by clinical appearance, it is recommended that the lesion is surgically excised if not too extensive.38
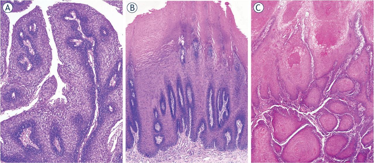
Lesions in oral cavity with a verrucous appearance may belong to a broad spectrum, extending from verrucous hyperplasia, proliferative verrucous leukoplakia, oral squamous papilloma, oral verrucous carcinoma, hybrid oral verrucous carcinoma to conventional oral SCC with an exophytic growth pattern (Figure 2). It is difficult to distinguish them clinically from each other; they may also coexist.39

Histopathology images of oral verrucous lesions. Squamous cell papilloma (A) exophytic lesion, composed of finger-like projections, lined by non-keratinizing stratified squamous epithelium and a central connective tissue core. Verrucous hyperplasia (B) exophytic lesion, composed of hyperplastic keratinizing squamous epithelium with no invasion into the underlying stroma. Verrucous carcinoma (C) exophytic tumour, resembling verrucous hyperplasia, but with invasive growth, consisting of broad epithelial islands and processes, with no atypia, exhibiting a pushing-border into the underlying stroma.
Oral verrucous hyperplasia resembles oral verrucous carcinoma both clinically and histopathologically. It presents as a white elevated mucosal plaque or mass with exophytic verrucous surface. In oral verrucous hyperplasia and oral verrucous carcinoma, hyperplastic epithelium is superficial to adjacent normal mucosa, but in oral verrucous carcinoma, broad epithelial processes also extend deeper, exhibiting a pushing-border invasion into the underlying connective tissue but the basement membrane remains intact.40 Therefore, it was suggested that oral verrucous carcinoma can be best differentiated from oral verrucous hyperplasia with biopsies taken from the deep portion and the margin of the tumour where adjacent normal mucosa is evident to compare.33 Oral verrucous hyperplasia is an irreversible precancerous lesion that may transform into oral verrucous carcinoma. Wang et al. reported a 10% of malignant transformation rate in their series of 60 oral verrucous hyperplasia cases. Thus, once diagnosed, oral verrucous hyperplasia should be treated as oral verrucous carcinoma.41
Proliferative verrucous leukoplakia is an aggressive form of nonhomogeneous multifocal oral leukoplakia characterized by a progressive clinical course with changing clinical and histopathologic features. It is more commonly seen among elderly women. Although etiology of proliferative verrucous leukoplakia remains unclear, it seems that consumption of tobacco and alcohol does not play a role.42 Proliferative verrucous leukoplakia usually begins as a single white mucosal plaque that eventually becomes multifocal with exophytic, verrucous or erythematous appearance. Its description includes a histopathological continuum ranging from benign hyperkeratosis to lesions with increasing degree of dysplasia. Therefore, proliferative verrucous leukoplakia has no specific histological features and microscopic findings depend on the histopathologic stage of proliferative verrucous leukoplakia.43 According to the World Health Organization, proliferative verrucous leukoplakia is a potentially malignant disorder with the highest rate of malignant transformation either to oral verrucous carcinoma or conventional oral SCC.42 In addition, several authors proposed different clinical and histopathological criteria for diagnosing proliferative verrucous leukoplakia.44,45 In the meta-analysis by Palaia et al. which included 22 studies with a total of 699 proliferative verrucous leukoplakia patients, a malignant transformation rate of proliferative verrucous leukoplakia was 45.8%.46 Thus, once proliferative verrucous leukoplakia is confirmed, active therapy should be undertaken, such as surgery, laser ablation, photodynamic therapy or radiotherapy.47 However, proliferative verrucous leukoplakia responds poorly to various treatment modalities and its recurrence rate is high, even after surgical removal.48
Squamous cell papilloma (SCP) in the oral cavity appears as a pink to white mucosal exophytic lesion with a warty or granular surface. It is most commonly caused by HPV type 6 and type 11, tends to progress slowly and has a very low risk of becoming malignant. SCP is possible to differentiate from oral verrucous carcinoma microscopically. In contrast to oral verrucous carcinoma which shows epithelial processes with downgrowth into the underlying connective tissue, SCP presents with long, thin and finger-like projections, extending above the mucosal surface. Each of these projections is lined by stratified squamous epithelium and contains a central connective tissue core.49
Conventional oral SCC most commonly presents as an ulcerated mucosal lesion with necrotic central area, surrounded by irregular raised and indurated borders. However, an exophytic growth with a smooth, ulcerated or verrucous surface may also be seen.50,51 In comparison to oral verrucous carcinoma, conventional oral SCC is histopathologically marked by a greater degree of atypia and mitotic activity of the tumour cells and invasion beyond the basement membrane.31 It grows more rapidly, frequently metastasizes to the regional and distant sites and has a worse prognosis.8 Oral verrucous carcinoma with foci of conventional SCC can be found at histopathological examination, which dictates treatment choices and prognosis.31
The development of oral verrucous carcinoma is modulated by genetic predisposition and environmental influences resulting in a wide range of genetic and epigenetic alterations that can be detected by various tumour markers. Molecular mechanisms of oral verrucous carcinoma are therefore increasingly being investigated. Although many different molecules associated with diagnosis, tumour progression and prognosis of oral verrucous carcinoma have been proposed, a reliable and effective biomarker has still not been identified.35
Genetic studies have shown that several genes are differently expressed between oral verrucous carcinoma and oral SCC.52 Most investigated markers in carcinogenesis of oral verrucous carcinoma are p5353,54, Ki-6753,55,56, cyclin-B156,57 and cyclin-D1.58 Except for Ki-67, their expression levels were significantly higher in conventional oral SCC than in oral verrucous carcinoma. Tumour suppression markers p21 and p27 may not be of much diagnostic use in distinguishing oral verrucous carcinoma from oral verrucous hyperplasia 59 and oral SCC.54,60 Components of extracellular matrix and basement membrane play an important role in tumour invasion and metastasis. Oral verrucous carcinoma is associated with lower expression of matrix metal-loproteinase 9 (MMP-9)53 and higher expression of laminin61 in comparison to oral SCC. Laminin and type IV collagen are good markers for basement membrane integrity and their discontinuity is more evident in severe oral epithelial dysplasia than in verrucous carcinoma.61 Among cell surface proteins, high level of expression of glucose transporter 1 (GLUT-1) in both oral SCC and oral verrucous carcinoma could differentiate them from oral epithelial dysplasia.62 Oral SCC could be distinguished from oral verrucous carcinoma based on a higher density of CD68 (marking tumour associated macrophages) and CD31 (marking microvessel density) found in immunohistochemical studies.63 Regarding cytoskeletal proteins, CK20 is highly expressed in oral verrucous carcinoma and oral SCC but not in benign squamous lesions64, and CD34 along with α-smooth muscle actin (α-SMA) seem to be helpful in the diagnosis of oral verrucous hyperplasia.65 Different expression of desmosomal proteins (up-regulation of plakophilin 1, desmoglein 2, desmoglein 3, desmoplakin), microRNA (miRNA) molecules (up-regulation of miRNA-203, down-regulation of miRNA-125a-5p, miRNA-125b) and proteins (down-regulation of p63) in verrucous carcinoma is useful in differentiation from conventional SCC and detecting foci of SCC in hybrid verrucous carcinoma as well.37,66
Due to the rarity of oral verrucous carcinoma, treatment recommendations found in the literature is mostly based on case reports and small retrospective case series, and are consequently not uniform. The treatment modalities available include surgery, radiotherapy, chemotherapy, or combinations thereof.
Wide surgical excision is usually considered the treatment of choice because of the wide spectrum of reconstruction possibilities of the resulting tissue defect in the oral cavity with good functional results, and encouraging locoregional control and survival rates.17,38,67 However, there is ongoing debate about the optimal width of surgical margins and the need for elective neck dissection (END). Similar to conventional oral SCC, clinical surgical margin of 10–15 mm and histological margin of at least 5 mm are still generally considered sufficient to not increase the risk of local recurrence of oral verrucous carcinoma68, 69, 70, although no worse outcomes were reported in patients with close histological margins (i.e. less than 5 mm) who did not receive adjuvant radiotherapy.10 Since histologically pure oral verrucous carcinoma does not metastasize, END is usually not performed during primary surgery but is indicated in hybrid oral verrucous carcinoma and when microvascular flap is used for reconstruction of tumour defect.10,67,68 Some authors advocate a selective supraomohyoid neck dissection (neck levels I–III) also in patients with advanced primary tumour stages (cT3–4) and/or clinically overt lymphadenopathy. However, in several studies, no patient with END had histologically proven nodal metastasis.10,17,38,71
Oral verrucous carcinoma is thought to be less sensitive to radiotherapy than conventional oral SCC.72,73 Radiotherapy targets DNA in rapidly dividing cells, whereas studies on cytokinetic characteristics of verrucous carcinoma have shown that only low proportion of tumour cells are in S-phase compartment of the cell cycle during which DNA is synthesized, corresponding to a low mitotic activity of this tumour and reduced susceptibility to irradiation.29 Mohan et al. demonstrated that patients with oral verrucous carcinoma who received postoperative radiotherapy trended toward worse disease-specific survival (DSS) than those with oral SCC, suggesting relative radioresistance of oral verrucous carcinoma.7
Studies reporting local control rate and survival rate for upfront surgery and primary radiotherapy are summarized in Table 1 and Table 2.
Primary surgery in the treatment of oral verrucous carcinoma - review of the literature series
| Authors and study year | Number patients of | Local control (%) | Survival | Follow-up time |
|---|---|---|---|---|
| Kraus 196674 and Perezmesa, | 64 | 55 (85.9) | N.S. | N.S. |
| Medina 198430 et al, | 90 | 74 (82.2) | N.S. | At least 2 years |
| Jyothirmayi 19978 et al, | 11 | N.S. | 5-year DFS 68% | Median (range 56 7months –110) |
| Koch 20013 et al, | 484 | N.S. | 5-year RSR 85.7% | N.S. |
| Kang 200338 et al, | 38 | 38 (100) at 3 years | 3-year OSR 94.7% | Median 37.5 13months –76) (range |
| Walvekar 200917 et al, | 101 | 80 (79.2) | 5-year DFS 77.6% | Median (range 4.61 0.5–years 14.3) |
| Huang et al, 200967 | 39 | 38 (97.4) | 5-year CSS 89.1% | Median 90 months (range, 13–171) |
| Candau-Alvarez et al, 201468 | 13 | 12 (92.3) | OSR 92.9% for a mean follow-up of 2 years | Mean 24.8 months (range 6–53) |
| Franklyn et al, 201710 | 22 | 21 (95.5) (recurrence in a patient with hybrid OVC) | N.S. | Median 24 months |
CSS = cancer specific survival; DFS = disease free survival; N.S. = not specified; OSR = overall survival rate; OVC = oral verrucous carcinoma; RSR = relative survival rate
Primary radiotherapy in the treatment of oral verrucous carcinoma - review of the literature series
| Authors and study year | Number of patients | Local control rate with primary radiotherapy (%) | Surgical salvage | Local control rate with primary radiotherapy and salvage surgery (%) | Survival | Follow-up time |
|---|---|---|---|---|---|---|
| Kraus 196674 and Perezmesa, | 13 | 0 (0) | 8/13 | 7 (53.8) | N.S. | N.S. |
| Memula 198075 et al, | 32 | 19 (59.4) | 6/13 | 25 (78.1) | 5-year 31% DFS | N.S. |
| Medina 198430 et al, | 12 | 7 (58.3) | 3/5 | 10 (83.3) | N.S. | At least 2 years |
| Nair 1988et 76 al, | 50 | 22 (44) at 3 years | 4/28 | N.S. | 3-year 44% DFS | At least 3 years |
| Vidysagar et al, 199236 | 107 | 55 (51.4) (residual disease in 19 patients, recurrence in 33 patients) | 20/52 | N.S. | 5-year DFS 49% | Range 6–60 months |
| Jyothirmayi et al, 19978 | 42 | 16 (38.1) (residual disease in 10 patients, recurrence in 16 patients) | 9/26 | N.S. | 5-year DFS 66% | Median 56 months (range 7–110) |
| Koch 20013 et al, | 33 | N.S. | N.S. | N.S. | 5-year 41.8% RSR | N.S. |
DFS = disease free survival; N.S. = not specified; OVC = oral verrucous carcinoma; RSR = relative survival rate
However, a fair comparison between oncological results of surgery and radiotherapy is difficult to make due to obvious lack of well-designed prospective studies or even comparisons. In most series, patients were recruited over a longer time period which resulted in suboptimal treatments in at least part of these patients. Thus, local control and survival rates of irradiated patients must be interpreted with caution and understanding that irradiation techniques and fractionation schemes used in the past changed significantly over time. Nevertheless, radiotherapy is an acceptable alternative to surgery for patients who refuse proposed operation or are medically unfit for major surgery as well as in whom surgery would cause an important functional and/or cosmetic impairment.77 In cases of radiotherapy failure, surgical salvage remains an option.78
In the past, radiotherapy was burdened with the phenomenon of anaplastic transformation which assumed the possibility of conversion of verrucous carcinoma to a less-differentiated SCC after irradiation.79 In older literature, its incidence has been reported to be as high as 30%.80 Recently, different authors questioned the concept of this phenomenon and raised the possibility of hybrid lesions containing foci of conventional SCC that had been missed at the initial biopsy and not controlled by irradiation, resulting in tumour recurrence.3,79,81 This hypothesis is further justified by the reports of anaplastic transformation following primary surgery as well, probably due to the same reason as in the case of radiotherapy, i.e. an incorrect histopathologic diagnosis.73
The benefit of postoperative radiotherapy (PORT) in oral verrucous carcinoma is controversial. The decision about PORT usually follows recommendations for patients with conventional oral SCC (i.e. positive or close surgical margins, pT3–T4 primary tumour, perineural and lymphovascular invasion).67,82 Analysing the SEER database, however, Mohan et al. demonstrated a statistically significant improvement in DSS in patients solely operated compared to those receiving surgery and PORT.7 In a recent retrospective cohort study of the National Cancer Database (NCDB), Naik et al. showed that positive surgical margins were associated with significantly worse overall survival (OS) (hazard ratio [HR] 2.85, P = 0.006).82 However, in those patients the use of PORT showed no OS benefit (HR 3.12, P = 0.072). These findings suggest that the role of PORT is limited in oral verrucous carcinoma, favouring surgical re-resection, when feasible, over adjuvant radiotherapy in patients with adverse pathologic features or clinically overt residual tumour after surgery.82
Experiences with chemotherapy, alone or in combination with other modalities, in oral verrucous carcinoma are scarce.83 Chemotherapy can be implemented in a neo-adjuvant setting to reduce tumour size before subsequent surgery, which is expected to be less extensive and mutilating, resulting in better functional and cosmetic outcome.84 It can also be used as a salvage treatment for patients with recurrent disease and to palliate symptoms in advanced tumours not suitable for aggressive radical treatment.85,86 Although the data on the use of older chemotherapy drugs are available in the literature, there is no information on the use of modern drugs (targeted agents, check-point inhibitors) in oral verrucous carcinoma.
Encouraging results were reported by Wu et al. using intra-arterial methotrexate infusion as a primary therapy in 15 patients with oral verrucous carcinoma. Despite locally advanced T3–4 tumours in eight of these patients, a complete tumour remission was observed in all patients who were without disease recurrence at a mean follow-up of 42 months.83 Karkazoglou et al. reported on 12 oral verrucous carcinoma patients who had also been treated with methotrexate, given by various routes and in different doses, because of either the extent of the tumour or poor general condition of the patient. Only one patient failed to respond. Authors concluded that methotrexate reduced morbidity and improved quality of life with minimal and reversible toxicity.87 Preliminary observations in two elderly patients with locally advanced oral verrucous carcinoma showed that single cycle of oral fluoropyrimidine capecitabine induced rapid and clinically significant response with near complete resolution of oral lesions within 3 weeks of initiating therapy. A durable partial response was seen at 6 months and 1 year and was associated with significant improvement in life quality with acceptable toxicity profile.88
In addition, chemotherapy can be given simultaneously with radiotherapy. In a group of 12 patients with previously untreated verrucous carcinoma of different head and neck mucosal sites, concurrent chemoradiotherapy with at least two cycles of intravenous vinblastine, methotrexate and bleomycin and radiotherapy dose of 44–70 Gy (median 65.2 Gy) resulted in local control (median follow-up of 3.4 years) in 11 patients, nine of whom had advanced T3–4 tumours.85 Authors concluded that concomitant chemotherapy seems to successfully compensate lower effectiveness of radiotherapy in verrucous carcinoma and even allows reduction of radiation dose bellow the standard 66–70 Gy, and, therefore, alleviates its toxicity and contributes to organ sparing.84 Promising results of chemoradiotherapy were also reported by Yoshimura et al. using 5-fluorouracil and its analogues.89
Non-surgical methods are well established treatment modalities in low risk nonmelanoma skin cancers and to some extent in oral benign and precancerous lesions but there are only a few case reports regarding their use in oral verrucous carcinoma.
Cryotherapy acts by freezing a lesion in situ which leads to disruption of cell membranes, damage of tumour vasculature, activation of cytotoxic immune mechanisms and finally cell necrosis.90 Yeh et al. reported clinically complete response to shave excision and subsequent cryotherapy with liquid nitrogen in 11 of 18 patients with oral verrucous hyperplasia and oral verrucous carcinoma. After a mean follow-up of 23 months, recurrence was found in three cases and all were successfully treated by the same technique.91
Photodynamic therapy (PDT) is based on topical or systemic administration of an exogenous photosensitiser which increases tumour tissue sensitiveness to light of a specific wavelength.92 It mediates tumour destruction by creating oxygen free radicals, damaging tumour vasculature and activating immune response against tumour cells. Chen et al. reported a complete clinical regression and no tumour recurrence at 6 months follow-up after 22 cycles of PDT using topical 5-aminole-vulinic acid followed by multiple fractionated irradiations with LED red light in a 56-year-old male with oral verrucous carcinoma extending from mouth angle to buccal mucosa.93 In order to better expose deeper part of the lesion under mucosal surface to cryotherapy or PDT and make a definitive histopathologic diagnosis, its exophytic part may initially be removed with debulking methods such as shave or laser excision.91
CO2 laser destructs a lesion with tissue vaporization and is therefore proposed for treatment of tumours involving cosmetically critical areas such as lips, where wide surgical excision may lead to unacceptable aesthetic and/or functional impairment.94 Several authors reported good clinical response with complete tumour removal and no recurrence in a follow-up from 15 to 48 months.94, 95, 96
Described procedures are non-invasive and can be safely carried out in a local anaesthesia in the outpatient clinic. Other reported advantages are short procedure duration, ability to treat multifocal lesions, limited pain and scarring, fast homeostasis and healing process, low risk of secondary infection and little or no side effects.91,93,95 However, their effect is limited by a depth of agent penetration, which therefore makes them suitable only for a treatment of superficial oral lesions.92 They also lack working precision since it is difficult to judge the final extent of tissue necrosis during a procedure. Moreover, tumour resolution can only be assessed clinically and not histopathologically.91 Large-scale clinical studies with longer follow-up are further necessary to evaluate their effectiveness in the management of oral verrucous carcinoma.
Oral verrucous carcinoma is a rare variant of oral SCC that must be differentiated from conventional SCC due to its locally invasive and non-metastasizing behaviour with a more favourable prognosis. For making a correct diagnosis, close communication between clinician and pathologist is mandatory. Primary surgery with negative surgical margins seems to be the optimal treatment for patients with oral verrucous carcinoma; whether to perform the END remains controversial. The concern about anaplastic transformation after irradiation should not affect the decision on treatment with radiotherapy which is usually proposed to patients with extensive tumours or patients in poor general condition. The role of systemic therapy, particularly immunotherapy and targeted therapy, and non-surgical treatment methods are yet to be defined. Due to rarity of the disease, pooled multi-institutional analyses are warranted to properly address opened questions.