Cerebral venous thrombosis (CVT) is a rare cerebral vascular disease that represents a minor proportion of all strokes. A recent Dutch multicentric study revealed an incidence of 1.3 per 100,000 adults.1 The presentation of CVT is highly variable, not only clinically but also radiologically.2,3 Improvement in imaging techniques has enabled the identification of less obvious CVT cases; the incidence of CVT is increasing.4 Symptoms and signs depend not only on the location but also on the rate of thrombus progression. Involvement of multiple venous sinuses/ veins may cause a wide variety of symptoms, e.g., headache, seizures, focal deficits, and disturbed consciousness, which may even proceed to coma. The wide spectrum of possible radiological presentations ranges from brain edema accompanying venous sinus or cortical vein thrombosis to venous infarction, which may be hemorrhagic and accompanied by SAH and hematocephalus. Isolated SAH (iSAH) may also appear without venous infarction.5,6Superficial CVT manifestations such as cortical or perimesencephalic SAH secondary to cerebral venous thrombosis are considered to be very rare.7,8A recent study, however, demonstrated that 33 CVT patients in a series of 332 presented with SAH and 22 of those with iSAH mostly accompanied by thrombosis in cortical veins, lateral sinus, and/or superior sagittal sinus. The outcome was favorable in all but one patient, who died of pulmonary embolism.9 In contrast, a prospective and retrospective Pakistani and Middle East study revealed hemorrhagic infarction to be the most significant feature of a long-term unfavorable outcome.10 Another study from Pakistan revealed hemorrhagic brain infarction to be usually associated with multiple venous sinus/vein occlusions. Superior sagittal, transverse, and sigmoid sinuses were most often occluded, as well as the internal jugular vein, straight sinus, cortical and deep cerebral veins.11 Hemorrhagic infarction as a factor in an unfavorable outcome, therefore, seems to be associated with multiple venous sinus, superficial and deep vein occlusions. Nevertheless, unsolved dilemmas about hemodynamics and the therapeutic approach still exist.12,13Multiple cerebral sinuses/veins may be occluded in hemorrhagic infarction patients as also iSAH patients. An interesting recent hypothesis suggests that isolated SAH in CVT may be a consequence of blood leakage from fragile dilated bridging cortical veins, which have no valves or muscular layer.7,14,15 Bridging cortical veins are abundant near the tentorial and dural venous sinuses.16,17
According to a previous experimental study, cortical SAH and perimesencephalic SAH in CVT patients indicates an increased blood flow in the superficial communicating veins from which the bridging veins originate.18 We, therefore, propose that early iSAH, either cortical or perimesencephal, indicates persistent collateral venous flow and is a good prognostic sign in CVT patients.
To find out what features may influence the outcome in CVT patients, we decided to analyze retrospectively files of CVT patients hospitalized at our clinical ward for vascular neurology in the past 11 years. We hypothesized that patients with a better clinical outcome might have retained patent superficial communicating veins and consequently suffer iSAH rather than hemorrhagic infarct. They would therefore be spared from the mass effect of a hemorrhagic infarct. We consequently decided to examine by hand clinical and radiological details in files of our CVT patients who presented with iSAH or hemorrhagic infarction within the first 24 hours after admission; we sought to identify radiological features that might explain their clinical outcome.
Sixty-three CVT patients were admitted to the Department of Neurology, UMC Ljubljana, between January 1, 2008, and December 31, 2018.19 The patients were diagnosed and treated in our hospital, and only those in whom CVT was proven clinically and radiologically were identified as such. Among those, we chose patients who presented either with iSAH or cerebral hemorrhagic infarction at admission or within the next 24 hours. Twenty-three patients from our inventory were enrolled in our retrospective observational study. Clinical and radiological data were analyzed.
The patients were 13 women and 10 men aged 22–73 years. The data were reviewed by an experienced neurologist working in the vascular neurology ward of the Department of Neurology, UMC Ljubljana. At admission, all the patients presented with either hemorrhagic venous infarction or iSAH due to CVT. Patients presenting with other intracranial and/or systemic pathology that can cause hemorrhagic lesions and/or isolated SAH (e.g., ruptured aneurysms, arteriovenous malformation, amyloidosis, PRES syndrome) were not included.20,21The data were extracted from hospital admission records, our computer data system, and the AGFA radiological database, all in accord with the Helsinki Declaration. Reports and scans were de-identified and coded before evaluation. The study was approved by the Slovenian National Medical Ethics Committee (163/02/09).
CVT was diagnosed by clinical examination, followed by brain CT, CT venography (CTV), brain MR and MR venography (MRV), whenever necessary, and laboratory findings, (e.g., d-dimer, C-reactive protein, coagulation screening, along with a complete blood count and biochemical profile). The following sinuses/deep veins were found to be obstructed in the iSAH group: the transverse sinus in 8 (bilaterally in 4 patients), the sigmoid sinus in 7 (bilaterally in 1), the superior sagittal sinus in 5, the jugular vein bulb in 5, the confluence of sinuses in 3, the straight sinus in 2, and the vein of Galen in 1 patient. In the hemorrhagic infarction group, we found the superior sagittal sinus obstructed in 8 patients, the straight and sigmoid sinus in 6, the jugular vein bulb in 3, the internal cerebral vein in 2 (in 1 bilaterally), the basilar vein in 1 (bilaterally), the straight sinus in 1, the petrosal sinus in 1, and the vein of Galen in 1 patient. We also searched for environmental precipitating factors for CVT (e.g., trauma) as well as known intrinsic and acquired predisposing/precipitating factors (e.g., infections, contraceptive abuse, malignant disease, hematologic conditions, noninfective inflammatory disease, intracranial hypotension, acquired and genetic prothrombotic states).21 All the patients received anticoagulant treatment immediately after the diagnostic procedures were completed. They were started on low molecular heparin in a therapeutic dose and switched to warfarin before discharge. Average discharge time was about 3 weeks from admission, and a control clinical examination was typically performed 3–4 but not more than 6 months after discharge.
The type/location of venous infarct, intracerebral hemorrhage, and/or subarachnoid hemorrhage was determined by CT and/or MR whenever needed to confirm the presence of a venous hemorrhagic infarct in the perfusion area of cerebral veins and/ or blood in the subarachnoid space and/or thrombosed sinuses/veins. The thrombus location in cerebral veins and major cerebral venous sinuses was determined by CTV and/or MRV. An initial CT was typically used as an accurate and fast method to detect hemorrhagic lesions and CTV as a fast and reliable method to investigate the structure of deep cerebral sinuses/veins.22
Brain CT was performed on a CT 40-slice multi-detector row CT scan (SIEMENS SOMATOM Sensation Open 40). CT imaging was obtained with a 3-mm section thickness through the posterior fossa and basal brain structures and a 4.8-mm section thickness through the supratentorial hemispheres. CTV, as a fast thin-section volumetric helical CT examination, was performed with a time-optimized bolus of contrast medium to enhance the cerebral venous system. A 75–100 mL non-ionic contrast medium (iodine, 300 mg/mL) was administered at a rate of 3 mL/sec with a 45-second pre-scanning delay. Helical scanning was performed on the cranial region, from the first vertebral body to the calvaria vertex. Post-processing included two-dimensional (2D) and sometimes three-dimensional (3D) multiplanar images, slice thickness 3mm with 1 mm overlap.
MRI was performed on a 1.5T unit (Philips Achieva 1.5T MRI system) using a standardized protocol for brain examination, including the following sequences: axial T1, axial T2, axial fluid-attenuated inversion recovery (FLAIR), T2*, diffusion-weighted imaging (DWI) sequences, apparent diffusion coefficient (ADC) map and axial, sagittal and coronal T1 after the application of paramagnetic contrast agent. MR images were not used for statistics and were therefore not described in further detail.
A multiple linear regression was performed to test the effects upon clinical outcome of age, gender, predisposing/precipitating factors (e.g. genetic or acquired thrombophilia, steroid hormonal therapy, autoimmune disorders, malignancy, pregnancy), clinical signs/symptoms (e.g. headache, seizures, focal signs, nausea/vomiting, disturbed consciousness), and CT diagnostics (e.g herniation, brain edema, sulcal effacement, ventricular compression). The impact of any pattern and burden of venous sinus/deep vein thrombosis on venous stroke was tested. A Spearman rank correlation coefficient was determined.
The patients were divided into 2 groups. The first group consisted of patients who were diagnosed at admission as having isolated SAH associated with CVST, and the second group included patients who initially suffered from hemorrhagic venous brain infarction. The outcomes were clinically ranked according to the modified Rankin score of 0 to 6.23 The clinical outcome results were revised by a neurologist experienced in cerebrovascular pathology.
After comparing the baseline and demographic data of the groups, the laboratory and radiological data of the 2 groups were compared using the Mann-Whitney Rank sum test and/or Spearman rank-order correlation, as appropriate. The statistical analyses were performed using the Sigma plot statistic package.
Wit h the multiple linear regression test, a positive correlation between CT diagnostic scores at admission and mRS outcome scores at discharge was observed (Spearman rank correlation coefficient, R = 0.850; p < 0.001). A positive correlation was also found between CT diagnostic scores at admission and mRS outcome scores at a 6-month control (R = 0.911; p < 0.001). There was no correlation between age, gender, predisposing/precipitating factors or clinical signs/symptoms at admission and the mRS outcome at discharge or at the 6-month control.
The iSAH group consisted of 8 patients (6 men) aged 49.3 ± 16.2 years. In 7 of them, we identified isolated cortical SAH and in 1, perimesencephal. The hemorrhagic infarction group was composed of 15 patients (4 men) aged 47.9 ± 16.8 years. We observed significant gender differences (p = 0.032), with men significantly predominating in the iSAH group and women in the hemorrhagic infarction group. Genetic thrombophilia and autoimmune disorders prevailed among the risk/provoking factors in the iSAH group. In the hemorrhagic infarction group, the results were more dispersed; however, glucocorticoid/sex steroid therapy was most frequently observed (Table 1).
The basic data and predisposing/precipitating factors in isolated subarachnoid hemorrhage (iSAH) and haemorrhagic infarction groups of patients
| iSAH group N = 8 | Hem. inf. group N = 15 | |
|---|---|---|
| Age (mean ± SD) | 49.3 ± 16.2 | 47.9 ± 16.8 |
| Gender | 6 M, 2 W | 4 M, 11 W* |
| Genetic thrombophilia (%) | 4 (50.0%) | 2 (13.3%) |
| Acquired thrombophilia (%) | 0 (0%) | 4 (26.7%) |
| Autoimmune disorder (%) | 4 (50.0%) | 4 (26.7%) |
| Hypothyroid disorder (%) | 1 (12.5%) | 1 (6.7%) |
| Venous sinuses injury (%) | 1 (12.5%) | 0 (0%) |
| Malignancy (%) | 1 (12.5%) | 1 (6.7%) |
| Pregnancy (%) | 0 (0%) | 1 (6.7%) |
| Glucocorticoid/sex steroid therapy (%) | 1 (12.5%) | 6 (40.0%) |
* statistically significant difference between the two at p < 0.05; Hem. inf. group = haemorrhagic infarction groups; M = men; N = number; W = women
The most frequently reported symptoms/signs on admission in both groups are presented in Table 2. Headache and seizures predominated in both groups.
Clinical signs on admission in isolated subarachnoid hemorrhage (iSAH) and haemorrhagic infarction groups
| iSAH group N = 8 | Hem. Inf group N = 15 | |
|---|---|---|
| Headache (%) | 6 (75.0%) | 9 (60.0%) |
| Seizure (%) | 3 (37.5%) | 8 (53.3%) |
| Focal signs (%) | 2 (25.0%) | 5 (33.3%) |
| Nausea/vomiting (%) | 2 (25.0%) | 3 (20.0%) |
| Confusion (%) | 0 (0%) | 2 (13.3%) |
| Disturbed consciousness(%) | 0 (0%) | 4 (26.7%) |
Hem. inf. group = haemorrhagic infarction groups; N = number
There was a statistically significant difference between the groups (Mann-Whitney Rank Sum Test, p = 0.026; Table 2) in the mRS outcome score at the control examination but not at discharge. The iSAH group had a significantly better outcome than the hemorrhagic infarction group. Nevertheless, the number of thrombosed venous sinuses/deep veins in the iSAH group was significantly greater (p = 0.002). In this group, we also observed significantly more occlusions of a confluence of sinuses (p = 0.015), transverse sinuses (p = 0.015), sigmoid sinuses (p = 0.023), and jugular vein bulbs (p = 0.013) than in the hemorrhagic infarction group. In contrast, there was a larger number of sulcal obliteration (p = 0.014) and edema formation (p = 0.004) in the hemorrhagic infarction group. There was no statistically significant difference between the two groups of patients (p = 0.128) in the number of herniations. However, herniation was observed in all 3 patients with a fatal outcome in the hemorrhagic infarction group (mRS 6); minor subfalcine herniation was observed in another patient in this group (Table 3).
Comparison of thrombosed veins/sinuses (CVS), oedema formation, herniation, sulcal obliteration, modified Rankin Scores (mRs) at discharge and control examination in both groups of patients
| iSAH group N = 8 | Hem. Inf group N = 15 | |
|---|---|---|
| Average No. of thrombosed CVS (median, 25%, 75% percentiles) | 4 (25% 3.25, 75% 5.75) | 2 (25% 1, 75% 3)* |
| Sulcal obliteration | 0 (0.0%) | 13 (86.7%)* |
| Subfalcine/uncal herniation | 0 (0.0%) | 4 (26.7%) |
| Oedema formation | 2 (25.0%) | 8 (53.3%)* |
| Average mRS at discharge (median, 25% , 75% percentiles) | 1 (25% 0, 75% 1.75) | 2 (25% 0, 75% 3) |
| Average mRS at control (median, 25% , 75% percentiles) | 0 (25% 0, 75% 0) | 1 (25% 0, 75% 3)* |
*statistically significant difference between the two groups at p < 0.05; Hem. inf. group = haemorrhagic infarction groups; iSAH = isolated subarachnoid hemorrhage; N = number
In this retrospective observational study, we found that patients with CVT who suffered initially from iSAH had a better clinical outcome than patients suffering from hemorrhagic brain infarct. Isolated SAH patients had significantly more venous sinuses and deep veins obstructed than those in the hemorrhagic infarction group. Due to the CT venography that was routinely performed, however, the detection of cortical vein thrombosis was not accurate enough to perform statistics.24 Nevertheless, we did observe a specific pattern of occluded sinuses in this group. The confluence of sinuses, transverse sinuses, sigmoid sinuses, and jugular vein bulbs were occluded significantly more often than in the hemorrhagic infarction group.
Despite more sinus/deep vein obstructions in the iSAH group, all the fatal cases occurred in the hemorrhagic infarction group as also significantly more edema formation/sulcal effacement. We observed gender differences, with men significantly predominating in the isolated SAH group and women in the hemorrhagic infarction group. Significant differences in predisposing/precipitating factors were not found. There were also no significant differences regarding clinical symptoms/ signs between the groups.
Previous experience has indicated that hemorrhagic infarction is a major long-term factor of unfavorable outcome10, especially when it presents as a space-occupying lesion.2 5 In our patients who presented with hemorrhagic infarction accompanied by edema formation/sulcal obliteration, the clinical outcome at the control examination was significantly worse than in isolated SAH patients. There were also 3 lethal outcomes (mRS 6) among hemorrhagic infarction patients. In each of those patients, we observed brain herniation within 24 hours of admission. Brain edema and sulcal obliteration were also present in each; brain edema of predominately the infratentorial region due to deep venous system obliteration was found in 1 of them. Edema formation, sulcal obliteration, and herniation are indicators of a space-occupying lesion and a worse clinical outcome.25 Venous infarction formation may be due to venous reflux in the cerebral veins, which have no valves; or perhaps, similarly to superficial communicating veins, due to increased venous and capillary tissue pressure leading to diapedesis of erythrocytes, blood-brain barrier disruption, blood vessel damage and blood leak, all of which further lead to hemorrhagic infarction formation26. Give n a rigid skull and meninges, the brain cannot distend, which leads to increased intracranial pressure, as also reduced cerebral perfusion pressure, cerebral blood flow, and oxygenation.27 However, given the experimental study by Ungersböck K. et al.18, which revealed the progression of thrombosis from the venous sinus to the bridging and cortical communicating veins completing an obstruction of venous collaterals, we presume this same progression in our patients and its eventuating a fatal outcome. The occlusion of the venous sinus alone seems to be not enough to cause cerebral infarction (Figure 1).18 In addition, it seems that iSAH in CVT might be connected to a specific pattern of sinuses being occluded.

A 23-year old woman with headache followed by seizure and focal neurological deficit MRI on admission showed no focal lesions/oedema (A); contrast material-enhanced (CE) T1 and T2 showed occlusion of the left sigmoid sinus (B) and left transverse (C). Despite immediate anticoagulant treatment (fractioned heparin), the next day the patient became drowsy. CT revealed hemorrhagic infarction; in addition to the transverse sinus (arrow), the Labbe vein was suspected to be occluded due to the infarction territory (D). Decompressive craniotomy failed to prevent progression to irreversible coma (E,F).
The patients with iSAH, either cortical or in the posterior fossa (e.g., perimesencephal), in our study had an excellent outcome in that they were practically free of functional disability at the control examination. None of them showed sulcal obliteration, although 3 of them experienced supratentorial edema. Isolated SAH patients were also found to have a good outcome in previous studies and reports.9,14,15,28 In the present study, we focused on clinical and radiological features that may influence different presentations of CVT. The previous studies examined patients experiencing either iSAH 9,15or hemorrhagic brain infarct.10 We found no clinical studies focusing on the manner of iSAH and hemorrhagic venous brain infarct formation after CVT.
Venous blood flows along veins by the pressure gradient to the nearest venous sinus.16,29If there is no communication through which blood flows, then venous stasis, edema, blood leakage, and infarction develop.26 The leakage and formation of iSAH presumably evolve from congested superficial communicating veins and/or overstretched thin-walled bridging veins.7,27
According to a previous experimental study, cortical SAH/perimesencephalic SAH in CVT patients indicate increased blood flow in the superficial communicating veins from which the bridging veins originate.18 Persistent communication through the communicating/bridging venous system may reduce venous stasis and attenuate brain edema when the venous sinus is occluded. We suggest that iSAH is an indicator of that process. It seems that in patients who initially suffer iSAH, venous blood flow is partly transferred from the occluded veins/sinuses to superficial anastomotic veins, which carry venous blood towards venous sinuses that are not occluded; blood flow is also partly transferred by thin superficial communicating veins leading blood towards meningeal veins and perhaps diploic veins (Figure 2).7,30

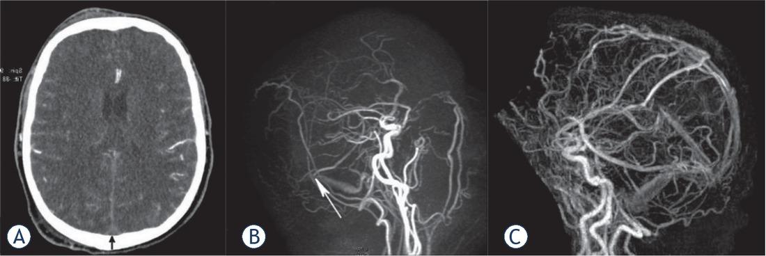
A 59-year old man was examined after 5 days of headaches and a seizure. CT revealed bilateral cortical subarachnoid hemorrhage (SAH) and moderate diffuse brain edema, but no hemorrhagic infarction was formed (A). An extensive thrombosis of cerebral sinuses/veins including the superior sagittal sinus, transversal sinuses, left sigmoid sinus and jugular bulb was observed. The right transversal sinus was occluded to the point of Labbe vein inflow (B), arrow showing confluence of vein to sinus). Fractured heparin and later warfarin were introduced; the patient scored 0 according modified Rankin Score (mRs) at control examination. Complete recanalization of the occluded sinuses occurred (C).
The findings in our patients are consistent with a recent neuroradiological study demonstrating that occlusion of the Labbe’s vein significantly correlates with occlusion of the ipsilateral transversal sinus.31
Predisposing/precipitating factors in the iSAH and hemorrhagic infarction groups were not significantly different. Five women were receiving sex steroid therapy, 1 of which was in the isolated SAH group. One man in the hemorrhagic infarction group was receiving corticosteroid therapy. Hence, gender differences between the iSAH and hemorrhagic infarction groups cannot be explained by the effect of women-specific risk factors. Men predominated in our iSAH group, similar to a study from India.7 In contrast, a French study of 22 of such patients included only 4 men.9 In each of the case series, sampling was relatively small, possibly due to the rarity of the pathology; hence, bias is possible.
Anticoagulant therapy was introduced in all the patients as recommended.32
In patients experiencing large hemispheric lesions, a decompressive craniotomy was found to be effective.33 Decompressive craniotomy relieves pressure on patent venous pathways, although it does not open the occluded ones. We propose that craniotomy should be attempted soon enough to prevent large edema/sulcal displacement, which is followed by compression and thrombosis of superficial communicating veins (e.g., Labbe’s vein), as in line with recent updates/neuroradiologic studies.31,33
Among the limitations of the present study are the retrospective and observational methods, since such methods may involve bias due to differences in the approach of various clinicians/radiologists. The examinations were likewise not performed according to a standardized protocol. This is a limitation in the value of the results. The available clinical results and radiological images were, however, reviewed and interpreted by an experienced clinical neurologist and neuroradiologist. At the same time, an observational method might be a strength, since it originates from real life and real clinical problems, possibly providing insights on how to perform future clinical and neuroradiological evaluations. Another limitation is the small number of patients in the iSAH/hemorrhagic infarction groups, which can be explained by the rarity of the pathology and the strict inclusion criteria.
In short, this retrospective study has shown that patients with CVT who have suffered from cortical subarachnoid hemorrhage have an excellent clinical outcome, despite a higher number of occluded deep cerebral veins/sinuses. Further, a specific pattern of occluded venous sinuses was found, a clue to which might be patent communicant superficial venous pathways, e.g., vein of Labbe, vein of Trolard, and other less defined communicating cortical veins that drain to the nearest patent venous sinus. The pattern of sinuses that are occluded may have a role. Patients who suffered an early hemorrhagic venous infarction had a worse outcome – a mass effect leading to brain edema and superficial vein obliteration may be the explanation.