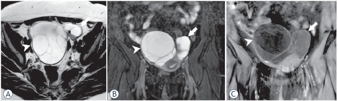
Figure 1

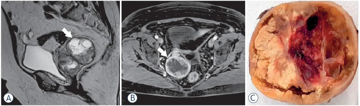
Figure 2

Figure 3

Figure 4

Figure 5

Figure 6

Figure 7

Diffusion MRI appearance of histologically different groups
| Histopathological findings | DWI | DWI |
|---|---|---|
| Simple cyst | - | 5 |
| Inclusion cyst | - | 1 |
| Abscess | 1 | - |
| Endometrioma | 12 | 5 |
| Teratoma | 5 | - |
| Serous cystadenoma | - | 2 |
| Mucinous cystadenoma | 1 | 1 |
| Serous adenofibroma | 1 | - |
| Serous cystadenofibroma | 1 | - |
| Brenner tumor | - | 1 |
| Seromucinous carcinoma | 2 | - |
| Serous papillary adenocarcinoma | 2 | - |
| Adenosarcoma | 1 | - |
| Metastases | 6 | - |
Results of 124 ovarian masses according to their MRI features
| Malignant | Benign | Borderline | |
|---|---|---|---|
| Cystic masses | 5/41 (12.2%) | 61/71 (85.9%) | 6/12 (50%) |
| Solid masses | 10/41 (24.4%) | 4/71 (5.6%) | 2/12 (16.6%) |
| Mixed masses | 26/41 (63.4%) | 6/71 (8.5%) | 4/12 (33.4%) |
| Cases with one ovary involvement | 18/30 (60%) | 46/58 (79.3%) | 9/10 (90%) |
| Cases with both ovaries’ involvement | 12/30 (40%) | 12/58 (20.7%) | 1/10 (10%) |
| Size of the mass (more than 4 cm) | 37/41 (90.2%) | 22/71 (31%) | 8/12 (66.7%) |
| Masses with adipose tissue presence | - | 5/71 (7%) | 1/12 (8.3%) |
| Masses with high signal intensity in T2WI | 5/41 (12.2%) | 42/71 (59.1%) | 5/12 (41.6%) |
| Masses with low signal intensity in T2WI | 7/41 (17.1%) | 18/71 (25.4%) | 1/12 (8.4%) |
| Heterogeneous masses | 29/41 (70.7%) | 11/71 (15.5%) | 6/12 (50%) |
| Diffusion restriction | 39/41 (95.1%) | 19/71 (26.8%) | 7/12 (58.4%) |
| Wall thickness (more than 3 mm) | 20/41 (48.8%) | 12/71 (16.9%) | 5/12 (41.7%) |
| Presence of septa | 25/41 (61%) | 11/71 (15.5%) | 5/12 (41.7%) |
| Papillary projections presented | 14/41 (34.1%) | - | 2/12 (16.6%) |
| Cases with presence of ascites | 16/30 (53.3%) | 15/58 (25.9%) | 2/10 (20%) |
| Lymph nodes involvement and metastases | 20/30 (66.6%) | 3/58* (5.2%) | 1/10 (10%) |
3 Tesla Siemens and 3 Tesla Philips MRI protocols
| SIEMENS VERIO 3.0T | |||||||
|---|---|---|---|---|---|---|---|
| FOV | Matrix (mm) | Slice thickness | TR | TE | Voxel size | TA | |
| T1 COR | 300 | 390/320 | 5 | 500 | 8.7 | 0.9×0.9×5.0 | 01:36 |
| T2 SAG | 200 | 320/320 | 4 | 3300 | 133 | 0.6×0.6×4.0 | 03:44 |
| T2 paracor | 200 | 320/320 | 4 | 3700 | 140 | 0.6×0.6×4.0 | 03:24 |
| T2 paracor +FS | 200 | 256/256 | 4 | 3700 | 131 | 0.8×0.8×4.0 | 01:58 |
| T2 paratra | 200 | 320/320 | 4 | 3740 | 148 | 0.6×0.6×4.0 | 03:29 |
| T2 paratra + FS | 200 | 256/256 | 4 | 3700 | 138 | 0.8×0.8×4.0 | 02:13 |
| T1 SAG | 160 | 217/192 | 4 | 569 | 12 | 0.4×0.4×4.0 | 03:44 |
| T1 vibe dixon AX | 380 | 188/320 | 3.5 | 3.92 | 1.27 | 0.6×0.6×3.5 | 00:19 |
| DWI AX (b50-400-800) | 360 | 100/128 | 5 | 4700 | 57 | 1.4×1.4×5.0 | 02:49 |
| POST C | |||||||
| T1 vibe dixon AX | 380 | 188/320 | 3.5 | 3.92 | 1.27 | 0.6×0.6×3.5 | 00:19 |
| T1 SAG | 160 | 217/192 | 4 | 569 | 12 | 0.4×0.4×4.0 | 03:44 |
| T1 COR | 300 | 390/320 | 5 | 500 | 8.7 | 0.9×0.9×5.0 | 01:36 |
| PHILIPS INGENIA 3.0T | |||||||
| COR STIR | 340 | 228/186 | 5 | 5622 | 50 | 1.5×1.5×5.0 | 03:45 |
| T2 SAG | 229 | 208/208 | 3 | 3776 | 100 | 1.1×1.1×3.0 | 03:01 |
| COR T2 | 315 | 392/297 | 5 | 4846 | 90 | 0.8×1.6×5.0 | 01:56 |
| COR T1 | 315 | 392/315 | 5 | 483 | 8 | 0.8×1.2×5.0 | 02:11 |
| AX T2 | 261 | 328/251 | 5 | 4805 | 100 | 0.8×1.0×5.0 | 02:05 |
| AX T2 FS | 261 | 236/208 | 5 | 4346 | 80 | 1.11×1.25×5.0 | 02:37 |
| DWI 3b 0,100,800 | 375 | 124/106 | 4 | 5299 | 77 | 3.0×3.0×4.0 | 01:51 |
| POST C | |||||||
| MDixon AX | 240 | 220/222 | 3,5 | 5.4 | 1.96 | 1.09×1.08×3.5 | 02:58 |
| COR T1 FS | 315 | 392/309 | 5 | 519 | 8 | 0.8×1.02×5.0 | 02:17 |