Prostate cancer (PCa) is the most common cancer in men in developed European countries, particularly those with a high proportion of elderly population, with incidence rate up to 189 per 100.000.1 In last two decades the disease has emerged as the most frequent cancer amongst men following rapid increases in the detection of a substantial number of early-stage PCa, particularly due to the increased number of PSA testing. Recognizing that the expected men’s life is obviously increasing, PCa also means increasing financial burden for individual countries.2 Majority of men newly diagnosed with PCa will be candidates for primary curative therapy, either with radical prostatectomy or radiation, but many PCa, however, are low-grade, even indolent and the number of newly diagnosed PCa far outnumbers the number of lethal cases. Indolent PCa may exist for a long period without causing any symptoms or death, so the prediction of low risk and indolent PCa is needed to avoid overtreatment by unnecessary invasive therapies, and select men for active surveillance (AS).3, 4, 5
The nuclear factor-kappa beta (NF-κB) family of transcription factors plays a crucial role in inflammation as well as in the development and progression of cancer. Extensive evidence indicates that the NF-κB pathway is implicated in controlling the expression of genes involved in cell survival, proliferation, angiogenesis, and invasion.6 Many studies indicate that activation of NF-κB signaling in PCa cells correlates with PCa progression, including chemoresistance, advanced stage, biochemical progression, and metastatic spread.7, 8, 9, 10, 11 NF-κB is critical for human health, and aberrant NF-κB activation contributes to development of various autoimmune, inflammatory and malignant disorders including rheumatoid arthritis, atherosclerosis, inflammatory bowel diseases, multiple sclerosis and malignant tumors.12 Despite the growing evidence for a role of NF-κB in prostate tumorigenesis and resistance to therapy, the mechanisms underlying the activation of NF-κB in PCa remain only partially understood.
The main goal of our study was to find out whether the immunohistochemical expression of NF-κB p65 in biopsy samples with Gleason score 3 + 3 = 6 (GS 6) is inversely correlated with prostatic carcinoma indolence.
Our study was based on a retrospective cohort of 178 consecutive PCa patients whose archived formalin-fixe d and paraffin-embedded (FFPE) prostate needle biopsy specimens were used for additional immunohistochemistry staining. All consecutive patients underwent the extraperitoneal laparoscopic radical prostatectomy (ELRP) or “nerve-sparing” extraperitoneal laparoscopic radical prostatectomy (N-S ELRP) without lymph node dissection between 2006 and 2012 as a first treatment of PCa. All patients were followed-up for at least five years after surgery at Department of Urology in General Hospital Slovenj Gradec. Hospital patient’s files were used for clinical data.
The inclusion criteria were total PSA ≤ 10 ng/ml, number of biopsy specimen ≥ 8, histopathological result of prostate cancer GS 6 on biopsy and T1/T2 estimated clinical stage, based on clinical examination only. The exclusion criterion was the presence of chronical diseases in which the activation of NF-kB is common. After the screening review of the clinical data and histopathological revision of prostate needle biopsy specimens, done by two unrelated pathologists with extensive experience in PCa, 15 patients were excluded from the study, as they did not meet the criterion of GS. During the additional microtome cutting of archived FFPE prostate needle biopsy specimens for immunohistochemistry due to the lack of the tissue, another 40 patients were excluded. The final analysis in this study was performed on 123 patients. Based on a PSA levels, two biochemical progression were defined, at PSA cutoff point ≥ 0.05 ng/ml and ≥ 0.2 ng/ml, 6 months or more after radical prostatectomy. Recurrence-free survival (RFS) was defined as the period between the surgery and biochemical progression (i.e. first increase of PSA above one or both PSA cutoff points). 5 patients were excluded due to the initiation of hormonal treatment immediately after surgery, so regarding the biochemical progression 118 patients were analyzed
For control group archived FFPE prostate needle biopsy specimens from 60 patients with PCa GS 7, 30 with 3 + 4 and 30 with 4 + 3, were used.
Study was approved by the Slovene National Medical Ethics Committee No 109/14.
IHC staining for detection of NF-κβ p65 was performed on 2-4 μm FFPE tissue sections, dried at 560C for 2 hours, using fully automated IHC system Ventana Benchmark XT (manufacturer Ventana ROCHE inc.). Epitope was retrieved on board employing heat-mediated epitope retrieval using high pH Cell Conditioning Solution 1 (cat No 950-124, manufacturer Ventana ROCHE inc.) for 88 minutes at 1000C. Epitope was detected using commercially available mouse monoclonal antibody NF-κβ p65 (clone F-6; cat No sc-8008; manufacturer Santa Cruz Biotechnology inc.) directed against amino acids 1-286 of NF-κβ p65 of human origin. Primary antibody was diluted 1:200 using DAKO REAL™ antibody diluent (cat No S2022; manufacturer DAKO Agilent technologies inc.) and incubated on board for 60 minutes at 370C. Primary antibody was visualized using 3–step multimer detection system OptiView DAB IHC Detection Kit (cat No 760-700; manufacturer Ventana ROCHE inc.) according to manufacturer’s instructions.
The staining was analysed by pathologist with extensive experience in PCa who was not familiar with patient’s clinical data. For nuclear staining, positive result was reported when at least 5% nuclei of cancer cells showed unequivocal brown coloration.13 To consider reaction as positive, nuclear brown coloration should exceed the effect of cytoplasmic overlapping. The intensity of cytoplasmic staining was assessed as negative, weak, moderate and strong, and for statistical analysis grouped as negative (negative, weak) and positive (moderate, strong).14
Clinical, laboratory and pathological characteristics were summarized using frequency and percentage for categorical variables, and mean and range for continuous variables. RFS was calculated from the time of primary tumour excision, and was censored at the last contact date if there were no events. Association of NF-kB expression status with pathological findings was tested using Chi-square test. Survival curves were calculated by Kaplan-Meier’s method and tested for statistical significance using log-rank test. Multivariate Cox regression model was used to test whether NF-kB expression status is an independent predictor of RFS; other covariates included in the model are known prognostic factors in prostate cancer: final Gleason score, surgical margin status and pathologic stage. The differences were considered statistically significant if the p values were less than 0.05. Software package SPSS 22.0 for Windows was used.
Table 1 shows patients characteristics and biochemical progression in patients after radical prostatectomy. Postoperative pathological stage 3 was noticed in 27 (22%) and positive surgical margins were detected in 13 patients (10.6%). biochemical progression (PSA ≥ 0.05 ng/ml) occurred in 20 (16.9%) patients (11 with GS 6 after radical prostatectomy and 9 with GS 7). Among 118 patients, clinically significant postoperative PSA ≥ 0.2 ng/ml was detected in six patients (5.1%), with GS 6 in 3 and GS 7 in 3. Positive cytoplasmic NF-κB staining was detected in 173 (56.9%) and positive nuclear NF-κB staining in 57 (18.7%) of the 304 analyzed biopsy cores with GS 6.
Patient characteristics
| General, N = 123 | |||
|---|---|---|---|
| Mean Age, year, (range) | 63.6 (50–75) | ||
| Mean init. PSA, ng/ml, (range) | 5.32 (1,32–9,51) | ||
| Mean Prostate V, ml, (range) | 38.3 (14–97) | ||
| Mean Biopsy cores, n, (range) | 9.6 (8–10) | ||
| Total Biopsy cores, n | 1.180 | ||
| Clinical stage | |||
| T1, n, (%) | 113 (91.9) | ||
| T2, n, (%) | 10 (8.1) | ||
| Biopsy GS 3+3=6, n, (%) | 123 (100) | ||
| Surgery | |||
| ELRP, n, (%) | 87 (70.7) | ||
| N-S ELRP, n, (%) | 36 (29.3) | ||
| Pathological result after RP | |||
|---|---|---|---|
| N = 123 | N of total P | % of total P | |
| pT classification | |||
| T2 | 96 | 78.0 | |
| T3a | 23 | 18.7 | |
| T3b | 4 | 3.3 | |
| Surgical margins | |||
| Positive | 13 | 10.6 | |
| Negative | 110 | 89.4 | |
| Gleason score | |||
| 3+3=6 | 79 | 64.2 | |
| 3+4=7 | 37 | 30.1 | |
| 4+3=7 | 7 | 5.7 | |
| Biochemical progression after RP | |||
|---|---|---|---|
| N = 118 | N (%) | GS 6 | GS 7 |
| BP | N( %) | N( %) | |
| PSA 0,05–0.19 ng/ml | 14 (11.8) | 8(57.1) | 6(42.9) |
| PSA ≥ 0,2 ng/ml | 6 (5.1) | 3(50) | 3(50) |
BP = biochemical progression; ELRP = laparoscopic radical prostatectomy; GS = Gleason score; N-S ELRP = “nerve-sparing” extraperitoneal laparoscopic radical prostatectomy; PSA = Prostate-specific antigen; RP = radical prostatectomy; V = volume
Cytoplasmic NF-κB p65 expression was not correlated with pathologic al stage, positive surgical margin and postoperative GS (Table 2). Cytoplasmic NF-κB p65 expression was significantly more common in biochemical progression with PSA cut off point ≥ 0.2 ng/ml (P = 0.015) and there was a trend towards biochemical progression with PSA cut off point ≥ 0.05 ng/ml (P = 0.068) (Figure 1). Cytoplasmic NF-κB p65 expression was positive in 57/60 control group patients with GS 7 (Table 3).
Association of nuclear factor-kappa beta (NF-κB) p65 expression status in cytoplasm with pathological findings
| N = 123 | N | NF-κB p65 expression | P | |
|---|---|---|---|---|
| negative | positive | |||
| pT status | ||||
| pT2 | 96 | 48 | 48 | |
| pT3 | 27 | 12 | 15 | 0.667* |
| Surg. m. | ||||
| Negative | 110 | 53 | 7 | |
| Positive | 13 | 7 | 6 | 0.774** |
| GS | ||||
| 3 + 3 = 6 | 79 | 39 | 40 | |
| 3 + 4 = 7 | 37 | 17 | 20 | |
| 4 + 3 = 7 | 7 | 5 | 2 | 0.465*** |
* pT2 versus pT3, **negative versus positive surgical margin, ***3 + 3 = 6 versus 3 + 4 = 7 versus 4 + 3 = 7
GS = Gleason score; Surg. M. = surgical margin

Recurrence-free survival (RFS) in patients with positive and negative nuclear factor-kappa beta (NF-κB) p65 expression status in cytoplasm (N = 118).
Cytoplasmic nuclera factor-kappa beta (NF-κB) p65 expression status in biopsy group postoperative Gleason score (GS) 6 and control biopsy group postoperative GS 7
| N | NF-κB p65 expression | P | ||
|---|---|---|---|---|
| negative | positive | |||
| 3 + 3 = 6 | 123 | 60 | 63 | |
| 3 + 4 = 7 | 30 | 3 | 27 | <0.001* |
| 4 + 3 = 7 | 30 | 0 | 30 | <0.001** |
* 3 + 3 = 6 versus 3 + 4 = 7, **3 + 3 = 6 versus 4 + 3 = 7
In multivariate analysis only positive surgical margin was significantly associated with worse RFS with a PSA cut off point ≥ 0.05 ng/ml, while postoperative Gleason score 7 and pathologic stage of the disease were not significantly associated with RFS (Table 4). Positive cytoplasmic NF-κB p65 expression negatively affects RFS with borderline statistical significance (p = 0.078). When PSA cut off point was set to ≥ 0.2 ng/ml, none of the prognostic factors was significantly associated with RFS in multivariate analysis.
Multivariate analysis of cytoplasmic nuclear factor-kappa beta (NF-κB) p65 expression and other clinicopathologic variables associated with recurrence-free survival (RFS)
| Hazard ratio (95% CI) | P | |
|---|---|---|
| Cytoplasmic NF-κB p65 expression (negative vs. positive) | 2.367 (0.908–6.170) | 0.078 |
| Postoperative Gleason score (6 vs. 7) | 1.105 (0.406–3.008) | 0.845 |
| Surgical (negative margin vs. positive) | 4.845 (1.646–14.260) | 0.004 |
| Pathologic (T2 vs. T3) stage | 1.041 (0.339–3.194) | 0.944 |
Nuclear NF-κB p65 expression was not associated with pathological stage, positive surgical margins and postoperative GS (Table 5), neither with biochemical progression (Figure 2) and did not differ from control group patients with GS 7 (Table 6).

Recurrence-free survival (RFS) in patients with positive and negative nuclear factor-kappa beta (NF-κB) p65 expression status in nucleus (N = 118).
Association of nuclear factor-kappa beta (NF-κB) p65 expression status in nucleus with pathological findings
| N = 123 | N | NF-κB p65 expression | P | |
|---|---|---|---|---|
| negative | positive | |||
| pT status | ||||
| pT2 | 96 | 81 | 15 | |
| pT3 | 27 | 22 | 5 | 0.769* |
| Surg. m. | ||||
| Negative | 110 | 92 | 18 | |
| Positive | 13 | 11 | 2 | 1** |
| GS | ||||
| 3 + 3 = 6 | 79 | 66 | 13 | |
| 3 + 4 = 7 | 37 | 31 | 6 | |
| 4 + 3 = 7 | 7 | 6 | 1 | 0.989*** |
* pT2 versus pT3, **negative versus positive surgical margin, *** 3 + 3 = 6 versus 3 + 4 = 7 versus 4 + 3 = 7
GS = Gleason score; Surg. M. = surgical margin
Nuclear factor-kappa beta (NF-κB) p65 expression status in biopsy group GS 6 and control biopsy group GS 7
| N | NF-κB p65 expression | P | ||
|---|---|---|---|---|
| negative | positive | |||
| 3+3=6 | 123 | 103 | 20 | |
| 3+4=7 | 30 | 24 | 6 | 0.596* |
| 4+3=7 | 30 | 17 | 13 | 0.003** |
* 3+3=6 versus 3+4=7, **3+3=6 versus 4+3=7
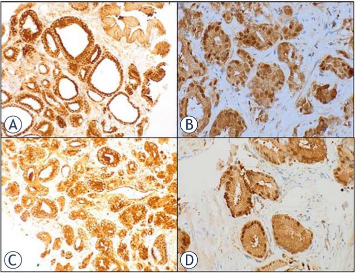
In multivariate analysis only positive surgical margin was significantly associated with worse RFS with a PSA cut off point ≥ 0.05 ng/ml, while positive nuclear NF-κB p65 expression, postoperative Gleason score 7 and pathologic stage of the disease were not significantly associated with RFS (Table 7). When PSA cut off point was set to ≥ 0.2 ng/ml, none of the prognostic factors was significantly associated with RFS in multivariate analysis. Figure 3 shows difference in positive cytoplasmic and nuclear staining in patient with GS 6 and GS 7.

Immunohistochemistry of nuclear factor-kappa beta (NF-κB) p65. (A) Positive cytoplasmic staining (GS 6). (B) Positive nuclear staining. (C) Positive cytoplasmic staining (GS 7). (D) Positive nuclear staining.
Multivariate analysis of nuclear factor-kappa beta (NF-κB) p65 expression and other clinicopathologic variables associated with recurrence-free survival (RFS; recurrence defined as PSA ≥ 0.05)
| Hazard ratio (95% CI) | P | |
|---|---|---|
| NF-(negative κB p65 expression vs. positive) | 0.254 (0.034–1.915) | 0.184 |
| Postoperative score (6 vs. 7) Gleason | 1.078 (0.400–2.907) | 0.882 |
| Surgical (negative margin vs. positive) | 4.838 (1.674–13.983) | 0.004 |
| Pathologic (T2 vs. T3) stage | 1.232 (0.409–3.705) | 0.711 |
Increase in incidence of PCa since 1990s mostly starts with PSA testing, either in the form of all types of screening or on the basis of a suspicious digital rectal examination. Nevertheless, the most important part of diagnostic procedure is accurate histopathologic diagnosis, particularly in low-risk PCa where AS could be an option.15 Despite the fact that in our study biopsy samples were evaluated by two experienced uropathologists, we recorded the postoperative upgrade of GS 6 to GS 7 in 44 patients (3 + 4 in 37 and 4 + 3 in 7), so biopsy under-grading was present in 35.8%. This is in concordance with literature reports where GS from needle biopsies underestimates the GS of the radical prostatectomy specimen in 28% to 57%.16 Postoperative pathological stage 3 was noticed in 27 (22%), positive surgical margins were detected in 13 (10.6%) and clinically significant biochemical progression (PSA ≥ 0.2 ng/ml) in 6 (5.1%) patients.
Molecular biomarkers offer the possibility to further stratify patients with similar clinicopathological parameters. Domingo-Domenech et al.9 and Ross et al.10 reported that tumors with nuclear NF-κB expression and no additional risk factors (i.e. low GS and low preoperative PSA) had the lowest rate of biochemical recurrence in the nuclear NF-κB positive group. In addition to nuclear staining, we included also the NF-κB cytoplasmic staining and contrary to reported results found that only the cytoplasmic NF-κB variable was associated with worse RFS. This association was statistically significant when PSA cut-off point for recurrence was set to ≥ 0.2 ng/ml (p = 0.013) and borderline significant when PSA cut-off point was set to ≥ 0.05 (p = 0.057). In multivariate analysis positive cytoplasmic NF-κB p65 expression remained negatively associated with RFS (PSA cut-off point ≥ 0.05) with borderline statistical significance (p = 0.078).
The p65 subunit of NF-κB was expressed in the cytoplasm of 173 (56.9%) biopsy cores with GS 6. Only 57 (18.7%) biopsy samples also showed a nuclear staining of NF-κB p65, suggesting a constitutive activation of NF-κB in these tissues. Our results showed a positive correlation between NF-κB cytoplasmic staining and biochemical progression. The main differences with other studies relate to tissue sample type and biochemical progression definition. Unlike Domingo-Domenech et al.9 and Ross et al.10 the studies that used tissue samples from radical prostatectomy, our analysis is preoperative and is based on diagnostic biopsies and their predictive significance. Also, we used more stringent parameters for the determination of biochemical progression, which in previous works was only determined as a value of 0.4 ng/ml in two consecutive measurements. In the present study, NF-κB expression and its subcellular localization were highly variable among different specimens. In another study, nuclear NF-κB was found in 40% of PCa.8, 9, 10, 11, 12, 13 As in the current study, nuclear NF-κB did not significantly correlate with GS. The functional relevance of this immunoreactivity on NF-κB activation is not known. This limitation is based on the fact that p65/NF-κB nuclear translocation is necessary but not sufficient for NF-κB induced transcriptional activity, since both recruitment of NF-κB to target genes and NF-κB-induced transcriptional events after recruitment are needed for this to occur. Furthermore, the minimum percentage of tumor cells with nuclear p65 staining required to potentially result in detectable NF-κB-induced transcriptional activity remains uncharacterized. An important limitation of our study is a significant reduction in the size of diagnostic biopsies during microscopic reevaluation and diagnosis of PCa with GS 6.13, 14
In our group of 20 patients who developed the biochemical progression with PSA cutoff point ≥ 0.05 ng/ml cytoplasmic NF-κB staining was detected in 14 (70%) and nuclear NF-κB staining in only 1 (5%), while among those 6 patients who had the biochemical progression with PSA cutoff point ≥ 0.2 ng/ml cytoplasmic NF-κB staining was noticed in all 6 (100%) and nuclear NF-κB staining in 1 (16.7%). Among several available selection criteria for AS worldwide, at our institution the EAU AS guidelines were used.17 According to them all patients in our cohort had initial PSA below 10 ng/ ml, biopsy GS 6, estimated clinical stage T1c-T2 and 82 of them (66.7%) had ≤ 2 positive cores on biopsy. From clinical point of view the biochemical progression of PCa after radical prostatectomy is defined with PSA ≥ 0.2 ng/ml.18 In our group of 6 patients with biochemical progression at PSA cutoff point ≥ 0.2 ng/ml, positive cytoplasmic NF-κB staining was present in all 6 and all AS criteria were met in 5 (83.3%) patients. There was no positive nuclear NF-κB staining in any of these 5 patients. As a control group we used 60 patients with biopsy GS 7 and positive cytoplasmic NF-κB staining was present in 57 (95%) of them. Since patients with biopsy GS 7 are not candidates for AS according to EAU AS guidelines there is no need for additional prognostic factor (i.e. positive cytoplasmic NF-κB staining). However, in patients with biopsy GS 6, an additional prognostic factor is needed in order to stratify these patients to a group where only AS is enough. According to our results, positive cytoplasmic NF-κB staining could be a negative predictive factor for the GS 6 PCa indolence and these patients are candidates for primary curative therapy.
There are several limitations of our study. Most importantly, all patients underwent surgical treatment, so the significance of NF-κB activation on prostate needle biopsy samples for disease progression was found only indirectly, based on biochemical progression and is most probably underestimated. Another important limitation is a small number of patients and single institution results.
Cytoplasmic expression of NF-κB is associated with worse RFS, while it is not significantly associated with standard prognostic factors and remains an independent prognostic factor for RFS in multivariate analysis with borderline statistical significance. However, further studies, including larger patient cohorts are needed to confirm these initial results.