Fibrosis or sclerosis can be found in various types of melanocytic lesions, including persistent/recurrent nevi (partially excised or treated with other modalities)1,2,3,4,5, traumatized nevi 6,7, desmoplastic nevi 8,9, nevi arising against a background of lichen sclerosus or epidermolysis bullosa 10,11,12, melanomas with regression and desmoplastic melanomas. 13,14 In addition, there is a subset of morphologically distinct and diagnostically challenging melanocytic lesions with focal or more diffuse sclerosis, which are characterized by an atypical intraepidermal proliferation of melanocytes that often resembles or is diagnostic for a melanoma in situ, frequent effacement of the rete ridge pattern, atypical proliferation of nevoid melanocytes in the sclerotic area, and frequent remnants of a morphologically banal nevus adjacent to or beneath the sclerosis, creating a trizonal pattern (atypical intraepidermal component, sclerotic dermal component and remnants of a banal looking melanocytic nevus below the sclerosis). 15,16,17 Although the sclerosis may resemble regression or changes after previous trauma, its pathogenesis remains obscure. Fabrizi et al. first reported a series of 19 such lesions, which they designated as “sclerosing nevi with pseudomelanomatous features”. 15 The authors concluded that, despite their worrisome clinical and morphologic features, the lesions were probably benign nevi.
Although it has been suggested that a subset of sclerosing melanocytic lesions may represent melanomas (“sclerosing melanomas with nevoid features”), the full morphologic and biologic spectrum of sclerosing melanocytic lesions remains unknown and sclerosing melanomas have not been well characterized. 15,16,17 We present a series of 90 sclerosing melanocytic lesions collected prospectively, with a systematic morphologic, immunohistochemical analysis, fluorescent in situ hybridization (FISH) and follow-up. Our aim was to analyze the morphologic spectrum of sclerosing melanocytic lesions, especially the distinction between sclerosing melanocytic nevus and sclerosing melanoma, which has not been well documented.
Ninety sclerosing melanocytic lesions, occurring in 82 patients, were included in the study; 76 lesions were seen in routine practice and 14 lesions were outside consultation cases. Eighty-six lesions were collected from 2006 (when we first paid attention to this type of lesion) to 2014. After histopathologic revision of all other known excised melanocytic lesions in the 82 patients, four additional sclerosing melanocytic lesions were identified and included in the study. There was no history of previous treatment or trauma in relation to any of the lesions.
The inclusion criterion was the presence of focal or diffuse dermal sclerosis within a melanocytic lesion, surrounding predominantly nests rather than single melanocytes of usually nevoid melanocytes. Lesions with large areas of fibrosis or sclerosis lacking melanocytes, or with greatly reduced numbers of melanocytes, were not included (excluding lesions with classical features of recurrent or previously traumatized nevi, or melanocytic lesions with regression). 1,4,5,6,7 Sclerotic areas were not typical of regression in melanomas since there was dense sclerosis with mostly preserved melanocytes, although there could be small adjacent areas suggestive of regression.14
All lesions were histopathologically re-evaluated by two of the authors (BGK and JP) in 2015. The following features were assessed histopathologically: 1) atypical features of the intraepidermal portion of the lesion above the sclerosis (effacement of the rete ridge pattern, cytological atypia of melanocytes, lentiginous proliferation, upward migration of melanocytes and presence of irregular intraepidermal nests of melanocytes), 2) extension of an atypical intraepidermal melanocytic proliferation outside the sclerosis, 3) maximum thickness of the sclerosis, 4) atypical features within the sclerosis (absence of maturation, presence of prominent nucleoli, deep pigmentation, mitotic activity, distribution of melanocytic nests within the sclerosis), 5) presence of an unequivocal accompanying melanocytic nevus outside the sclerotic area, and 6) intraepithelial extension of melanocytes along the eccrine ducts. The number of mitoses in the sclerotic dermal component was reported per square millimeter according to the protocol for assessment of mitotic activity in malignant melanomas.18 Inflammatory infiltrate in the dermis was assessed as absent/mild or marked. Special attention was paid to possible more cellular foci in the sclerosis, a lamellar configuration of the sclerosis around the rete ridges and any features that would suggest regression (areas of more cellular sclerosis/fibrosis devoid of melanocytes, more pronounced inflammation, proliferation of small vessels, fibrosis arranged parallel to the surface).
Melanocytic lesions were on morphological grounds, together with HMB-45 expression and Ki67 proliferative activity when available (but without knowing the FISH results) categorized into one of three categories: nevus, melanoma, or melanoma with an accompanying nevus. The most important criteria in favor of a melanoma were: 1) extension of atypical intraepidermal melanocytic proliferation, diagnostic for an in situ melanoma beyond the sclerotic area, 2) prominent upward migration of intraepidermal melanocytes above the sclerosis, 3) severe cytological atypia of intraepidermal melanocytes above the sclerosis, 4) presence of mitoses within the sclerosis, 5) absence of maturation, 6) prominent nucleoli in the sclerosis, 7) patchy or irregular diffuse HMB-45 positivity in the deepest part of the sclerotic component (i.e., absence of maturation) and 8) presence of Ki67 proliferative activity in the melanocytes of the lower half of the sclerotic component.15,19
Clinical data including data on sentinel lymph node biopsies and follow-up data were collected from patients’ medical records and national Cancer Registry. The study was performed on the archival tissue slides and blocks; therefore, no consent was required for this study. The study was approved by the Republic of Slovenia National Medical Ethics Committee (N23k/03/12 bis; date 03-13-2012).
A representative tissue block, when available, was selected for immunohistochemistry, including double Ki67/melan A staining (Ki67: DAKO, Glostrup, Denmark, clone MIB-1, dilution 1:50; melan A: DAKO, Glostrup, Denmark, clone A103, dilution 1:10) and HMB-45 (DAKO, Glostrup, Denmark, clone HMB-45, dilution 1:20). Deparaffinization, antigen retrieval, and staining with antibodies were performed in an automatic immunostainer (Benchmark XT, Ventana Medical Systems Inc., Tucson, USA) in combination with treating sections with secondary antibodies and color development with horseradish peroxidase (ultraVIEW DAB Detection Kit, Ventana Medical Systems Inc., Tucson, USA) for Ki67 and alkaline phosphatase (ultraVIEW Red Detection Kit, Ventana Medical Systems Inc., Tucson, USA) for HMB-45 and melan A.
FISH analysis was performed using a four-probe assay from Abbott Molecular, Inc. (Des Plaines, IL, USA) targeting Ras responsive element binding protein-1 on 6p25 (Vysis ®LSI ® RREB1-Spectrum Red), V-myb myeloblastosis viral oncogene homolog on 6q23 (Vysis®LSI® MYB-Spectrum Gold), cyclin D1 on 11q13 (Vysis®LSI® CCND1-Spectrum Green) and centromeric enumeration probe control for chromosome 6 (Vysis®LSI® CEP6-Spectrum Aqua). The FISH analysis was performed on 5 µm thick sections prepared from formalin fixed and paraffin embedded tissue according to the manufacturer’s recommendations and using criteria as previously described.20,21 The analysis was done on melanocytes in the sclerotic dermal component in 41 lesions with available tissue. A lesion was considered to have a positive FISH result if any of the following criteria were met: 1) gain in RREB1 relative to CEP6 in more than 55% of tumor cell nuclei, 2) gain in RREB1 in more than 29% of tumor cell nuclei, 3) loss of MYB relative to CEP6 in more than 40% of tumor cell nuclei or 4) gain in CCND1 in more than 38% of tumor cell nuclei.20,21 To determine the sensitivity and specificity of the test, we analyzed 19 morphologically obvious melanomas (non-sclerosing superficial spreading and nodular) and 18 nevi (common acquired and with congenital features). The assay was positive in 16 of 19 melanomas and in 4 of 18 nevi, with 84% sensitivity and 78% specificity.20,21
Statistical analysis was performed with IBM SPSS Statistics 20 (International Business Machines Corp., New York, NY). Differences among groups in relation to other clinicopathologic parameters were analyzed by the Kruskal-Wallis test and χ2 test.
Ninety sclerosing melanocytic lesions occurred in 82 patients; 33 (40%) females and 49 (60%) males (four patients had 2 lesions each and two patients had 3 lesions each). The age of the patients ranged from 21 to 89 years (median, 48 years). The lesions were most frequently located on the back (46 lesions), followed by abdomen (18 lesions), chest excluding breast (12 lesions), breast (5 lesions), lower extremities (4 lesions), inguinal region (2 lesions), retroauricular region (2 lesions) and upper extremities (1 lesion). Clinical diagnoses, available for 74 lesions, included nevus (18 lesions), dysplastic nevus (21 lesions), melanoma (29 lesions) and non-melanocytic lesion (6 lesions). Thirteen patients (16%), including three with multiple sclerosing melanocytic lesions, had at least one additional (two patients had 3 and two patients had 2) non-sclerosing superficial spreading melanoma, diagnosed previously, simultaneously or subsequently.
Histopathologic interpretation was difficult in most of the lesions (Figures 1-4). Morphologically, twenty-six lesions (29%) were diagnosed on revision as nevi (8 ordinary, 10 dysplastic, 6 congenital, 2 Spitz), 19 lesions (21%) as melanomas and 45 lesions (50%) as melanomas with an adjacent nevus (10 ordinary, 6 dysplastic, 29 congenital). On revision, 8 lesions originally diagnosed as melanomas (with or without an adjacent nevus) were reclassified as nevi and 1 lesion originally diagnosed as a nevus was reclassified as a melanoma.

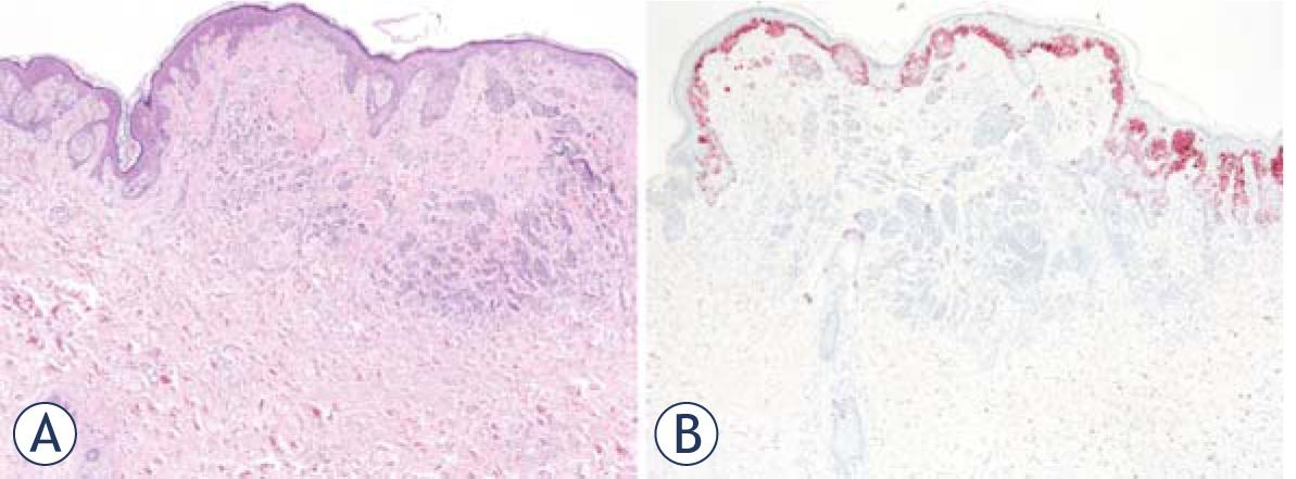
Sclerosing melanocytic nevus from the abdomen of a 22-year-old woman, with negative FISH assay. (A) There is a trizonal pattern, maturation and an atypical intraepidermal component above the sclerosis, which does not extend beyond the sclerosis. (B) HMB-45 stain shows maturation in the dermal component.

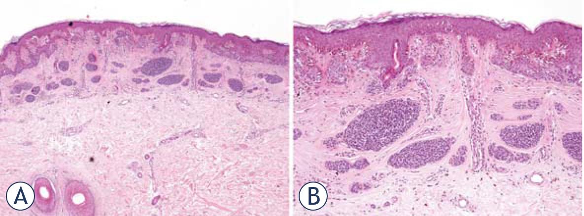
Sclerosing melanocytic nevus from the abdomen of a 53-year-old man, with negative the FISH assay. (A), (B) There is lamellar-type sclerosis involving the entire dermal component.

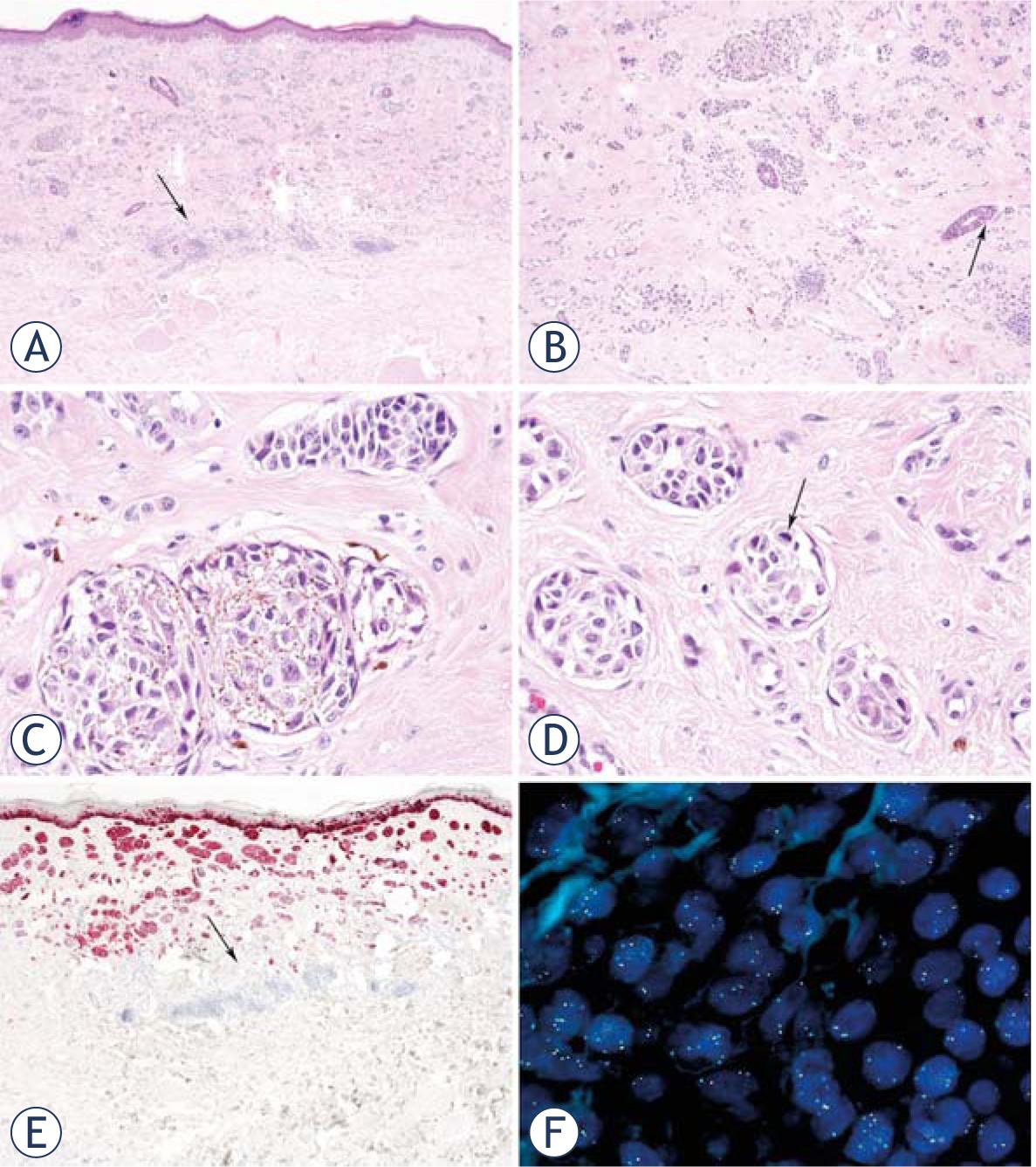
Sclerosing melanoma from the abdomen of a 67-year-old man. (A) There are remnants of a nevus below the melanoma (arrow) and a trizonal pattern. (B) Some melanocytes are in the epithelium of an eccrine duct (arrow). (C) Melanocytes within sclerosis are atypical, with prominent nucleoli. (D) There is a mitotic figure (arrow). (E) HMB-45 staining is irregular diffuse in the sclerotic dermal component (melanoma) but negative in the nevus below (arrow). There is prominent pagetoid spread in the epidermis. (F) The FISH assay was positive, showing loss of MYB (gold) relative to CEP6 (aqua) in 57% of tumor cell nuclei.

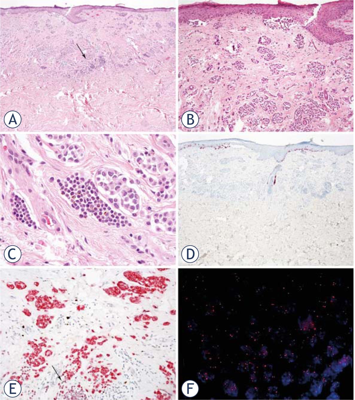
Sclerosing melanoma from the back of a 70-year-old female. (A) There are remnants of a nevus below sclerosis (arrow). (B) Melanocytes in the sclerosis do not show maturation and (C) are larger with irregular nuclei and prominent nucleoli compared to melanocytes in the adjacent nevus (left). (D) HMB-45 stain shows pagetoid spread in the epidermis, but is completely negative in the dermis. (E) Ki67 (brown)/melan A (red) shows no proliferative activity in the melanocytes in the deepest aspect of the sclerotic component; note less intense melan A positivity in the nevus below the melanoma (arrow). (F) The FISH assay was positive, showing gain in RREB1 (red) in 30% of tumor cell nuclei.
Of the 64 melanomas (with or without an accompanying nevus), one was an in situ melanoma, 3 Clark level 2, 29 Clark level 3 and 31 Clark level 4. The Breslow thickness of the 63 invasive melanomas ranged from 0.4 to 1.8 mm (median, 0.75 mm). It corresponded to the thickness of sclerosis in all except one case, in which the Breslow thickness exceeded the thickness of the sclerosis. Of the 45 melanomas with an accompanying nevus outside the sclerosis, the nevus was located below the sclerosis in 22 cases, adjacent to it in 11 cases or both in 12 cases. No ulceration was present in any of the lesions.
Key clinical, morphologic and immunohistochemical features, and the FISH results in relation to the three diagnostic categories are shown in Table 1. Among 14 lesions diagnosed on morphological grounds as melanomas and positive FISH results, one FISH criterion was met in 6, two criteria in 6 and three criteria in 2 cases. Gain in RREB1 in more than 29% of tumor cell nuclei was found in 9 lesions, gain in RREB1 relative to CEP6 in more than 55% of tumor cell nuclei in 6 lesions, loss of MYB relative to CEP3 in more than 40% of tumor cell nuclei in 7 lesions, and gain in CCND1 in more than 38% of tumor cell nuclei in 2 lesions. Clinical and histopathologic parameters in relation to FISH results in 41 lesions with FISH analysis of the sclerotic component are shown in Table 2.
Clinical and histopathologic parameters in relation to morphological diagnostic categories
| Parameter, n (%) | All | Nevus | Melanoma | Melanoma with nevus | P -value |
|---|---|---|---|---|---|
| N (%) | 90 | 26 (29) | 19 (21) | 45 (50) | |
| Age of the patients (years) (median; range) | 48; 21-89 | 38; 22-53 | 60; 21-89 | 51; 26-85 | < 0.001 |
| Maximum diameter(1) (mm) (median; range) | 9; 2-29 | 7; 2-14 | 8; 3-29 | 11; 4-25 | 0.014 |
| Location | 0.076 | ||||
| Back | 46 (51) | 9 (35) | 9 (47) | 28 (62) | |
| Other | 44 (49) | 17 (65) | 10 (53) | 17 (38) | |
| Extension along eccrine ducts(2) | 49/77 (64) | 5/21 (24) | 14/17 (82) | 30/39 (77) | < 0.001 |
| Evidence of regression | 29 (32) | 1 (4) | 12 (63) | 16 (36) | / |
| Lamellar sclerosis | 8 (9) | 6 (23) | 0 | 2 (4) | / |
| Marked inflammation in the sclerosis | 27 (30) | 2 (8) | 6 (32) | 19 (42) | / |
| Maturation in the sclerosis | 50 (56) | 25 (96) | 8 (42) | 17 (38) | / |
| Dermal mitoses present | 18 (20) | 1 (4) | 4 (21) | 13 (29) | / |
| Prominent nucleoli in the sclerosis | 52 (58) | 5 (19) | 16 (84) | 31 (69) | / |
| Intraepidermal component adjacent to the sclerosis | / | ||||
| Not atypical | 18 (20) | 17 (65) | 1 (5) | 0 | |
| Atypical | 17 (19) | 9 (35) | 1 (5) | 7 (16) | |
| Melanoma in situ | 55 (61) | 0 | 17 (89) | 38 (84) | |
| Severe cytological atypia in the epidermis above the sclerosis | 68 (76) | 9 (35) | 19 (100) | 40 (89) | / |
| Lentiginous growth above the sclerosis | 82 (91) | 19 (73) | 19 (100) | 44 (98) | / |
| Upward migration in the epidermis above the sclerosis | / | ||||
| No | 12 (13) | 9 (35) | 1 (5) | 2 (4) | |
| Lower half | 11 (12) | 7 (27) | 1 (5) | 3 (7) | |
| Focally in the upper half | 23 (26) | 9 (35) | 5 (26) | 9 (20) | |
| Prominent full thickness | 44 (48) | 1 (4) | 12 (63) | 31 (69) | |
| HMB-45 in the sclerotic component | 60 | 19 | 11 | 30 | / |
| Patchy, irregular | 37 (62) | 6 (32) | 10 (91) | 21 (70) | |
| Maturation or completely absent | 23 (38) | 13 (68) | 1 (9) | 9 (30) | |
| Ki67 in the sclerotic component | 66 | 19 | 13 | 34 | |
| No positivity in the lower half | 51 (77) | 19 (100) | 8 (62) | 24 (71) | / |
| Some positive melanocytes in the lower half, <5% overall | 13 (20) | 0 | 4 (31) | 9 (26) | |
| >5%, no gradient with the depth | 2 (3) | 0 | 1 (7) | 1 (3) | |
| Four-probe FISH in the sclerotic component | 41 | 16 | 7 | 18 | 0.001 |
| Positive | 14 (34) | 0 | 3 (43) | 11 (61) | |
| Negative | 27 (66) | 16 (100) | 4 (57) | 7 (39) |
Clinical and histopathologic parameters in relation to FISH results in 41 lesions with FISH analysis of the sclerotic component
| Parameter, n (%) | All | FISH-positive | FISH-negative | P -value |
|---|---|---|---|---|
| N (%) | 41 | 14 | 27 | |
| Age of the patients (years) (median; range) | 48; 22-89 | 51; 42-89 | 48; 22-77 | 0.196 |
| Thickness of sclerosis (mm) (mean; range) | 0.85; 0.5-1.5 | 1.0; 0.7-1.5 | 0.8; 0.5-1.3 | 0.002 |
| Location | 0.096 | |||
| Back | 25 (61) | 11 (79) | 14 (52) | |
| Other | 16 (39) | 3 (21) | 13 (48) | |
| Extension along eccrine ducts | 21/38 (55) | 11/14 (71) | 10/24 (42) | 0.026 |
| Evidence of regression | 8 (20) | 4 (29) | 4 (15) | 0.411 |
| Maturation in the sclerosis | 29 (71) | 7 (50) | 22 (81) | 0.068 |
| Dermal mitoses present | 10 (24) | 5 (36) | 5 (19) | 0.267 |
| Prominent nucleoli in the sclerosis | 20 (49) | 11 (79) | 9 (33) | 0.009 |
| Melanoma in situ adjacent to the sclerosis | 23 (56) | 13 (93) | 10 (39) | 0.001 |
| Severe cytological atypia in the epidermis above the sclerosis | 27 (66) | 12 (86) | 15 (56) | 0.053 |
| Prominent full thickness upward migration in the epidermis above the sclerosis | 19 (22) | 10 (71) | 9 (33) | 0.026 |
| Patchy irregular HMB-45 in the sclerotic component | 22/38 (58) | 11/13 (85) | 11/25 (44) | 0.016 |
| No Ki67 positivity in the lower half of the sclerotic component | 28/39 (72) | 7/14 (50) | 21/25 (84) | 0.033 |
Sclerosis in the dermis was diffuse (involving the entire dermal part of the lesion) in 39 lesions (43%), including 15 of 26 nevi (58%), 17 of 19 melanomas (89%) and 7 of 45 melanomas with an accompanying nevus (16%), and focal in other lesions. It never extended beyond a melanocytic lesion. The thickness of sclerosis ranged from 0.3 to 1.8 mm (median, 0.7 mm) and did not differ among the three diagnostic groups. A trizonal pattern (atypical intraepidermal component, sclerotic dermal component and remnants of a banal nevus below the sclerosis) was noted in 43 lesions (48%) (Figures 1, 3 and 4). Sclerotic areas were generally hypocellular, except for 3 melanomas in which the sclerosis was focally more cellular and edematous, indicating an early stage of sclerosis. A lamellar configuration of sclerosis around rete ridges was noted in 8 lesions (9%) (Figure 2). Very focal areas suggestive of regression were noted in 26 lesions (32%), predominantly melanomas.
There was partial or complete effacement of the rete ridge pattern in 38 (42%) and 43 (44%) of the cases, respectively. Except for 2 Spitz nevi and 3 melanomas, melanocytes within the sclerosis were relatively small, nevoid, with various degrees of hyperchromasia and variously prominent nucleoli (Table 1, Figures 3C, 3D, 4C). Compared to the surrounding nevus outside the sclerosis (when present), melanocytes within the sclerosis were usually slightly larger, with more conspicuous pale cytoplasm (Figure 4C). Dermal mitotic figures within the sclerosis were found in 17 of 64 melanomas (1 per square millimeter in 11 lesions, 2 in 2 lesions and 3 in 1 lesion) and in 1 of the 26 nevi (1 per square millimeter) (Table 1). Nests in the sclerosis varied in size, but very large expansive nodules were absent. In some lesions, nests were oriented parallel to the surface of the skin. Extension of melanocytes along the eccrine ducts (not used as a diagnostic criterion) was found significantly more frequently in melanomas (Figure 3B, Table 1).
All lesions were treated by surgical excision. A re-excision was performed in 65 of 85 (76%) lesions with available information. A sentinel lymph node biopsy was performed for 17 lesions (16 melanomas, including all 13 melanomas with Breslow thickness ≥1 mm, and 1 nevus that was initially interpreted as a melanoma) and was negative in all cases. The Breslow thickness of melanomas with sentinel lymph node biopsies ranged from 0.6 to 1.8 mm (median, 1.2 mm) and was ≥ 1 mm in 13 cases and > 1.5 mm in only one case.
Follow-up data for disease free survival were available for 66 lesions, with a follow-up period from 1 to 106 months (median, 19 months), and for overall disease specific survival for 75 lesions, with a follow-up period from 12 to 131 moths (median, 77 months). During the follow up period, there was no evidence of disease progression in any of the patients that could undoubtedly be attributed to the lesions studied.
We present 90 melanocytic lesions, which we designated morphologically as sclerosing melanocytic nevi or sclerosing melanomas. The lesions are characterized by an area of sclerosis in the dermis, with nests of atypical, in most cases nevoid melanocytes, an atypical intraepidermal component and, in more than half of the cases, a banal looking nevus beneath or adjacent to the sclerosis. Sclerosing melanocytic lesions are most striking when banal looking nevus remnants are present beneath the sclerosis (in 48% of our lesions), creating a trizonal pattern. Fabrizi et al. reported 19 similar lesions, which they called sclerosing nevi with pseudomelanomatous features.15 However, the authors included in their study only lesions with the presence of a nevus below or adjacent to the sclerosis, an absence of cytological atypia or prominent nucleoli in sclerotic areas and an absence of significant mitotic activity. Forty-two lesions, selected on the basis of features of dysplastic nevus and pronounced fibrosis, were reported by Ko et al. and termed dysplastic nevi with florid fibroplasia and pseudomelanomatous features.16 We collected our cases prospectively and included all lesions with an area of sclerosis in the dermis (similar to the sclerosis described in the above mentioned studies), which was different from what one classically observes in regressing melanomas or recurrent/previously traumatized nevi.1,2,3,4,7,14 Our series therefore broadens the spectrum of sclerosing melanocytic lesions, including lesions with sclerosis of the entire dermal component (without an adjacent remnant of banal nevus), and more prominent cytological and architectural atypia.15,16,17
Histopathologic interpretation of most sclerosing lesions is challenging because of overlapping features between an atypical nevus and a melanoma.15,17,22,23 Morphologic interpretation may depend on the point of view of whether the sclerosis represents regression, previous chronic trauma, exaggerated lamellar fibrosis seen in dysplastic nevi, or other unknown factors.15,16,17,24 Most difficult and clinically important is interpretation of the melanocytic component in the sclerotic area. Many sclerosing melanocytic lesions display morphologic features that are in the routine practice used to differentiate melanomas from nevi, including presence of a melanoma in situ adjacent to the sclerosis (61% of our lesions), prominent full-thickness pagetoid spread above the sclerosis (48% of our lesions), absence of maturation (44% of our lesions), presence of prominent nucleoli (58% of our lesions) and mitotic activity in the sclerotic area (20% of our lesions). Patchy or irregular diffuse positivity for HMB-45 in the dermal component and an absence of a gradient in Ki67 labeling have been considered useful clues for melanoma.19 However, there is overlap in the staining patterns between nevi and melanomas and their discriminatory value may be lower in thin, ambiguous and diagnostically difficult lesions.25 An aberrant, irregular diffuse expression of HMB-45 was found in melanocytic nevi after liquid nitrogen cryotherapy.19 Although it is frequently stated that the Ki67 index is typically more than 5% in invasive melanomas, Ki67 labelling may be less than 5% or even completely absent in the invasive component in a significant proportion of thin melanomas (Breslow thickness of less than 1 mm).25 In most of our lesions, it was less than 5%, usually with only a few positive melanocytes.
Although an atypical proliferation of intraepidermal melanocytes above the sclerosis can, similarly to recurrent/persistent or previously traumatized nevi, be attributed to the sclerosis itself, cytological atypia and, in particular, prominent pagetoid growth in our sclerosing melanocytic lesions frequently exceeded atypical features seen in recurrent or previously traumatized nevi.1,3,4,6,17 In a large series of recurrent melanocytic nevi, pagetoid growth was observed in 6% of the lesions, in contrast to 87% of our sclerosing lesions.4 In two previous studies of sclerosing melanocytic nevi, some degree of pagetoid spread was identified in 24% and 47% of cases, respectively.15,16 In previous studies, the morphologic features of the intraepidermal melanocytic component outside the sclerosis were not specifically reported; in our series, it was atypical in 80% of cases, and in 61% to the degree of a melanoma in situ. Although atypia above the sclerosis could be attributed to some degree to the sclerotic process in the dermis and may therefore be less relevant for morphologic interpretation, an atypical intraepidermal component that extends outside the area of sclerosis is strongly suggestive of a melanoma in situ.4,19 We also noted significantly more frequent extension of melanocytes along the eccrine ducts in lesions that we diagnosed as melanomas.1
The four-probe FISH assay was positive in 14 of 25 (56%) of the lesions diagnosed morphologically as melanomas and in none of 16 nevi, providing additional evidence that sclerosing melanocytic lesions include both nevi and melanomas. Although the four-probe FISH assay has been reported to have a sensitivity of about 85% for diagnosing unequivocal melanomas, its sensitivity is much lower (about 50%) in ambiguous melanocytic lesions and in some melanoma types, including desmoplastic melanoma.20,21,26 Negative FISH results do not therefore rule out a melanoma. Nevertheless, although the sensitivity of the FISH assay for sclerosing melanomas may be lower than for unequivocal ordinary melanomas, it is likely that some of our lesions had been morphologically overdiagnosed as melanomas. Although the FISH assay has been reported to be relatively specific in differentiating melanomas from nevi (with reported specificity around 95%, and 78% specificity in our test series of 18 nevi), a positive FISH assay per se is not diagnostic for a melanoma and should be interpreted in correlation with morphologic features.20,21,26
The thickness of sclerosis ranged from 0.3-1.8 mm (median 0.7 mm).15,16,17 Sclerosis was either focal (57%) or diffuse (43%), involving the entire dermal part of the melanocytic lesion. The etiology of sclerosis remains elusive. There is usually no history of previous trauma or treatment, and the pattern of sclerosis usually differs from scars after previous mechanical trauma, surgery or other treatment modalities such as cryotherapy.1,4,5,6,7,15,16,17 In recurrent nevi, fibrosis tends to be more cellular, with larger areas devoid of melanocytes.4 Although sclerosis can be related to previous unnoticed or chronic trauma, it is our impression that the sclerosis cannot be explained by previous trauma in most of our lesions.15 In contrast to our lesions, cytological atypia and pagetoid spread tend to be only rarely and focally present in traumatized nevi.6 Sclerosis sometimes displays a lamellar configuration (in 9% of our lesions), suggesting an exaggerated lamellar fibrosis, as seen in dysplastic nevi.16,27 Sclerosis in sclerosing melanocytic lesions differs from fibrosis typically seen in regressing melanomas. It usually has a very dense, sclerotic quality, lacks vascular proliferation and, most of all, melanocytes in the sclerotic areas tend to be preserved.4,13,14,15 Nevertheless, small areas suggestive of regression have been found adjacent to sclerotic areas in one third of cases.17 In some lesions, the contours of the sclerosis follow perfectly the contours of the melanocytic lesion, and sclerosis typically does not extend beyond the confines of sclerosing melanocytic lesions. This argues against a post-traumatic sclerosis and suggests that there may be some melanocyte-related factors inducing sclerosis.
The lesions described in the present study share some features with desmoplastic nevi (also called sclerotic and sometimes sclerosing); however, there are several distinctive features.8,9,24 Desmoplastic nevi tend to be predominantly dermal, the junctional component is not atypical, sclerosis involves the entire dermal component and is symmetrically distributed. Single melanocytes predominate, particularly in the deepest aspects of the lesion.
The age distribution of sclerosing melanocytic lesions is wide, from 18-91 years, with a male to female ratio of approximately 1.5-2:1.15,16,17 From 37% to 72% of the lesions are located on the back, although they can be located at many other sites.15,16,17 The lesions are relatively large; their largest diameter ranges from 2-29 mm, with a median of approximately 10 mm.15 In our series, lesions diagnosed morphologically as melanomas were significantly larger than nevi and occurred in significantly older patients than nevi. Clinically, the lesions are often suspicious for a melanoma because of an uneven pigmentation and whitish areas suggestive of regression.15,16,19,24 Remnants of nevus tissue beneath or adjacent to the sclerosis are of congenital, common acquired, dysplastic, and rarely Spitz type.15,16,17
We could not prove progression of the disease attributable to the sclerosing melanomas in any of our patients. However, the median follow-up for recurrence-free survival was relatively short and the number of cases with sentinel lymph node biopsy small. Additionally, on the basis of classic prognostic parameters in melanoma, sclerosing melanomas tend to be low-risk lesions, since the Breslow thickness is < 1 mm in most lesions, ulceration is not present and mitotic activity is identified in only a minority of cases.18 The absence of disease progression does not therefore in itself argue against sclerosing melanomas.15,17
In conclusion, we present a large series of rare but peculiar, diagnostically challenging and not widely recognized sclerosing melanocytic lesions. The pathogenesis of sclerosis remains obscure. It may be in some lesions (nevi) related to chronic unnoticed trauma, but it seems to be induced by melanocytes or an unusual host response in at least a subset of lesions. Many sclerosing melanocytic lesions display morphologic features that are suggestive or diagnostic for a melanoma, including the presence of a melanoma in situ extending beyond the sclerotic area, prominent full-thickness pagetoid spread above the sclerosis and an absence of maturation in the sclerotic area, with atypical melanocytes, prominent nucleoli an sometimes mitoses. Approximately half of the more atypical lesions also show a positive four-probe FISH assay, providing additional evidence in favor of sclerosing melanomas. Although we could not prove progression of the disease attributable to the lesions diagnosed as sclerosing melanomas, our study provides strong evidence, based on morphological criteria and a positive four-probe FISH assay, that sclerosing melanocytic lesions include both nevi and melanomas. A four-probe FISH assay may assist in diagnosing these lesions when they cannot be confidently diagnosed as either nevus or melanoma by morphologic features. An awareness of the morphologic features of sclerosing melanocytic lesions and their overlap between nevus and melanoma is important for a more cautious histopathologic interpretation. It may be more appropriate to use the terms “atypical sclerosing melanocytic lesion” or “sclerosing melanocytic lesion with unknown malignant potential” when a sclerosing melanocytic lesion cannot be confidently classified as either a nevus or a melanoma.
available for 81 lesions
no eccrine ducts were identified within or adjacent to sclerotic dermal component in 13 lesions