Over the past decades, the epidemiology of Pneumocystis jirovecii pneumonia (PJP) has shifted markedly. In developed countries, widespread primary prophylaxis and the advent of modern antiretroviral therapy have led to a substantial decline in human immunodeficiency virus (HIV)-associated cases. At the same time, population-level data show that overall PJP incidence continues to rise, increasing from 2.2 to 4.5 episodes per 100,000 between 2012 and 2020, a 106% relative increase (1), largely driven by expanding use of corticosteroids, chemotherapy, and newer immunosuppressive and biologic agents. These non-HIV cases tend to be more severe, often increasing the risk of complications and mortality (2). Nevertheless, PJP remains a significant opportunistic infection in individuals with untreated or unrecognised HIV, warranting continued clinical vigilance. Regardless of the underlying cause, early diagnosis is crucial, yet the presentation can be misleading, particularly when an initial response to empirical antibiotics masks the true aetiology. Moreover, several reports have emphasised that pneumocystis pneumonia may present with atypical radiological patterns that overlap with diffuse interstitial lung diseases (ILDs), including ground-glass opacities, cystic lesions and even fibrosing patterns, potentially leading to diagnostic delay or misclassification as primary ILD (3–5). This report presents a case of persistent pneumonia in a young previously healthy man, despite the early administration of antibiotics, which ultimately revealed HIV and pneumocystis pneumonia.
A 26-year-old male who works as a cook, with no known medical history but a history of passive smoking, presented in May 2024 to the emergency department with acute fever, cough, dyspnoea, diffuse headache, myalgia and arthralgia. He also reported fatigue. Examination showed a body mass index of 16.5 and stable vital signs (T: 38.6°C, HR: 118 bpm, BP: 100/70 mmHg, RR: 20/min, SpO2: 92%). Physical exam was otherwise unremarkable.
Initial laboratory tests showed the following: Haemoglobin level was 15 g/dL, white blood cell count was 6190/mm3 with lymphocytes count of 900/mm3, platelet count was 353,000/mm3 and C-reactive protein was 80 mg/L. Creatine phosphokinase as well as liver and renal function were all normal. COVID-19 test was negative. Arterial blood gas on room air showed a pH of 7.39 and partial pressure of oxygen (PaO2) of 79.7 mmHg.
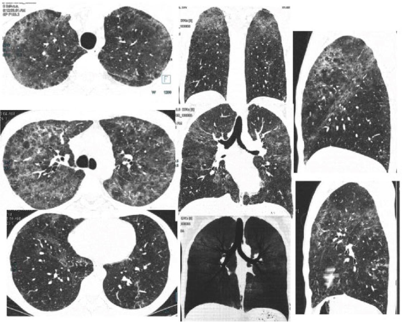
Chest computed tomography (CT) showed bilateral interstitial infiltrates with consolidations in the lower lobes, suggestive of atypical pneumonia (Figure 1). He was started on intravenous levofloxacin with nasal oxygen. The patient’s temperature normalised within 24 hr and he was successfully weaned from supplemental oxygen. He was discharged with oral levofloxacin 500 mg once daily to complete the 7-day antibiotic course.

High-resolution CT images show patchy subpleural ground-glass opacities throughout both lungs and alveolar consolidations in both lower lobes. CT, computed tomography.
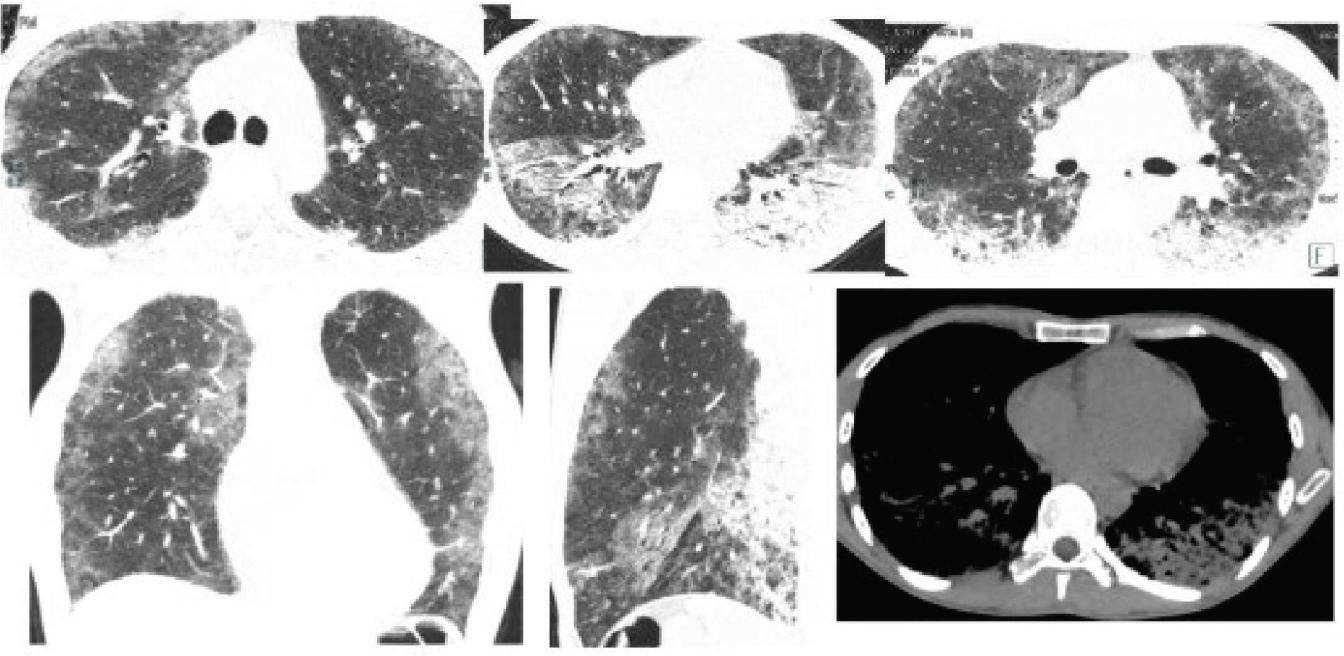
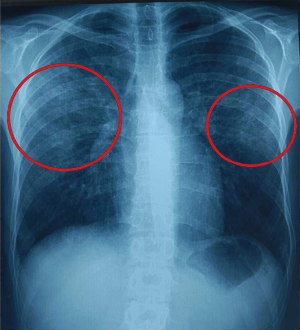
Two days later, the patient returned with recurrent fever and shortness of breath. On examination, his oxygen saturation was 89%, his heart rate was 123 bpm and he appeared mildly lethargic. He was re-admitted and treated with intravenous antibiotics (levofloxacin 500 mg once daily and cefotaxime 1 g three times daily) for 7 days. He was then discharged and referred for a pulmonology outpatient visit, where he presented a month and a half later with persistent dyspnoea (modified Medical Research Council grade 2) and unintentional weight loss. A chest X-ray revealed an interstitial pattern (Figure 2), prompting a repeat CT scan performed in August 2024, approximately 3 months after the initial CT examination, which demonstrated a diffuse interstitial pneumonia pattern, with patchy ground-glass opacities in a mixed central (peribronchovascular) and peripheral distribution, with subpleural sparing. Lesions were predominantly distributed in the upper lobes. The consolidations in the lower lobes had resolved (Figure 3).

Chest X-ray showing an interstitial pattern predominantly involving the mid- and upper-lung zones.

Transverse, coronal (MPR and MinIP) and sagittal high-resolution CT performed 3 months after the initial episode of dyspnoea showing subpleural and central ground-glass opacities in both lungs, predominantly in the upper lobes, with septal thickening, intralobular lines and distortion without microcysts (pattern suggests NSIP). Consolidations of the lower lobes have disappeared. CT, computed tomography; NSIP, non-specific interstitial pneumonia.
As part of the workup to assess the extent and functional repercussions of the ILD, we performed further tests: Spirometry, which showed forced expiratory volume in 1 s (FEV1) of 72%, forced vital capacity (FVC) of 66%, FEV1/FVC ratio of 89%, total lung capacity of 78% and diffusing capacity for carbon monoxide of 48%. The 6-min walk test was normal. And cardiac evaluation, including ECG and transthoracic echocardiography, yielded normal findings.
An aetiological investigation was performed to determine the underlying cause of the ILD. An occupational exposure that could explain this finding was excluded after thoroughly reviewing his history. No signs guiding towards an autoimmune process were detected on physical examination or history. Bronchoalveolar lavage (BAL) showed hypercellularity with lymphocytic predominance (CD4/CD8 ratio = 0.9). Bronchial biopsy revealed non-specific inflammation. Autoimmune workup, including antinuclear antibodies (ANA), extractable nuclear antigen antibodies (anti-ENA), anti–cyclic citrullinated peptide antibodies (anti-CCP), myositis-specific antibodies, rheumatoid factor (RF) and antineutrophil cytoplasmic antibodies (ANCA), was negative. Labial salivary gland biopsy and nailfold capillaroscopy were also normal.
Given the negative results of the aetiological workup, a surgical lung biopsy was scheduled. In the meantime, the patient developed an episode of diarrhoea persisting for 3 weeks. Upon re-interrogation, he reported a history of similar previous episodes. Complete blood count revealed leucopenia (WBC: 3000/mm3) and marked lymphopenia at 300/mm3. As part of the aetiological investigation of this diarrhoea, stool culture and parasitological examination were found to be negative. Anti-transglutaminase antibodies were also negative. HIV serology was ordered and came back positive. The patient had severe immunosuppression, with a CD4+ T-cell count of 52 cells/mm3 and an HIV viral load of 3.2 × 105 copies/mL. In the context of newly diagnosed HIV infection, pulmonary Pneumocystis jirovecii infection was suspected and confirmed by polymerase chain reaction (PCR) analysis of BAL fluid. The patient was started on trimethoprim–sulphamethoxazole (800/160 mg) at a dosage of three tablets twice daily, completing a 21-day treatment course, along with isoniazid 100 mg once daily for 1 month, and his symptoms improved progressively. Isoniazid was administered as chemoprophylaxis for tuberculosis in accordance with WHO 2024 guidelines, particularly given that Tunisia is a tuberculosis-endemic country. Tenofovir–lamivudine–dolutegravir was also initiated at a dose of one tablet once daily and was ongoing at the time of reporting.
In summary, a 26-year-old previously healthy man presented with fever, cough and shortness of breath in May 2024. CT initially suggested atypical pneumonia. Although there was initial improvement with antibiotic therapy, persistent dyspnoea was noted. A chest X-ray performed 1 and a half months later showed an interstitial pattern, prompting a second CT scan in August 2024 that suggested a non-specific interstitial pneumonia pattern. HIV serology subsequently returned positive, and Pneumocystis jirovecii infection was confirmed by PCR analysis of BAL fluid. The patient was treated with trimethoprim–sulphamethoxazole, resulting in improvement of symptoms.
We report a case of pneumocystis pneumonia with an atypical presentation mimicking ILD, occurring in the context of HIV infection. Pneumocystis pneumonia is the most common initial opportunistic infection in AIDS (1). It usually presents insidiously and progresses over several weeks. Moderate fever, cough and progressively worsening exertional dyspnoea are the characteristics of the disease, often associated with deterioration of general condition (6). In our patient, the clinical atypicality lay in the recurrent episodes of hypoxaemic pneumonia. These episodes may have been related to concomitant bacterial pneumonias, which are common in the setting of immunodeficiency. The improvement under levofloxacin and cefotaxime supports this hypothesis. The subsequent development of progressively worsening dyspnoea was more suggestive of pneumocystis pneumonia. From a radiological perspective, pneumocystis pneumonia typically manifests as heterogeneous ground-glass opacities with subpleural sparing, which can progress into a cystic pattern (4, 7). Our patient exhibited these CT features; the ILD pattern on high-resolution CT prompted an extensive aetiological workup. As per ATS/ERS/JRS/ALAT guidelines (8), as well as the French (2021) (9) and Tunisian STMRA (10) guidelines, we began with a thorough medical history and physical examination, the cornerstone of any aetiological investigation. In line with these recommendations, ANA, RF, anti-CCP and ANCA were requested, all of which returned negative. Additional tests, including anti-ENA antibodies and myositis-specific antibodies, were also performed, and these too were negative. Despite this guideline-compliant workup, the aetiology remained elusive, prompting a search for alternative causes.
Although HIV serology is not routinely included in initial ILD evaluation, our case highlights its importance when the cause remains undetermined. Non-specific extra-pulmonary signs, such as persistent diarrhoea and leuco lymphopenia, raised a high index of suspicion and led to HIV testing, which ultimately revealed the underlying infection. This critical finding significantly altered patient management: it confirmed HIV infection, guided appropriate treatment of the associated PJP and most importantly, helped avoid a surgical lung biopsy, an invasive procedure with significant risks.
Similar diagnostic scenarios have been reported in the literature. In several published cases, pneumocystis infection initially presented as unexplained ILD in patients whose HIV status was unknown at presentation (4). In such situations, the absence of obvious immunosuppression may delay the consideration of opportunistic infections. Furthermore, some authors have highlighted that early HIV infection may yield false-negative serological test results during the diagnostic window period, which may further complicate the diagnostic process when evaluating unexplained interstitial lung abnormalities (5).
In our patient, treatment was initiated promptly with high-dose trimethoprim-sulphamethoxazole, the standard of care for pneumocystis pneumonia (11). This approach led to clinical improvement, underscoring the importance of early diagnosis and management in atypical presentations such as ours.
Pneumocystis pneumonia may present with atypical clinical and radiological features, occasionally mimicking ILD. This diagnostic overlap represents an important pitfall, particularly in young patients presenting with unexplained respiratory symptoms and ground-glass abnormalities on imaging. Our case highlights the importance of considering opportunistic infections in the differential diagnosis of ILD of unknown aetiology. In this context, HIV screening should be systematically performed, as its identification may profoundly alter the diagnostic strategy and management. Early recognition of pneumocystis infection allows timely initiation of appropriate antimicrobial and antiretroviral therapy and may prevent unnecessary invasive procedures, ultimately improving patient outcomes.