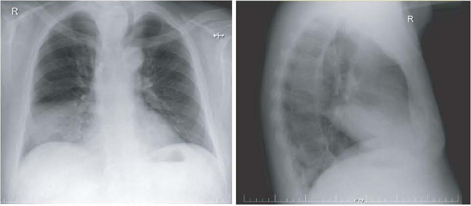
Figure 1:

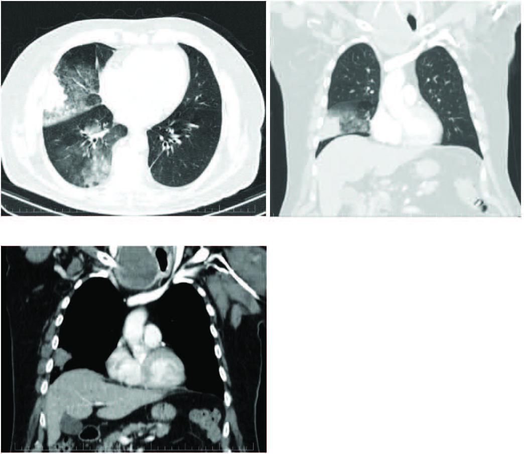
Figure 2:

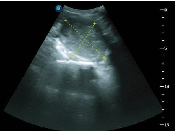
Figure 3:

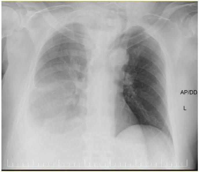
Figure 4:





© 2025 Maria-Mădălina Vava, Raluca-Cosmina Mureşan, Oana Gocan, Adriana Părău, Doina-Adina Todea, published by Romanian Society of Pneumology
This work is licensed under the Creative Commons Attribution-NonCommercial-NoDerivatives 4.0 License.