Since its first description in 1958, pulmonary alveolar proteinosis (PAP) has presented a significant challenge and has undergone a remarkable evolution in understanding its pathophysiologic mechanisms. The pathogenic mechanism in PAP is characterised by the progressive accumulation of surfactant in the alveolar space, which results from dysfunction of alveolar macrophage. Clinically, it insidiously develops progressive dyspnoea with hypoxaemic respiratory failure, secondary infections and even pulmonary fibrosis (1–4).
From an epidemiologic point of view, recent data show that the prevalence of PAP ranges from 3.7 to 40 cases per million, the incidence is 0.2 cases per million and the male:female ratio is 2:1. Although PAP can occur at any age, the median age of diagnosis of PAP is between 39 years and 51 years (1). According to the pathogenic mechanism, PAP can be classified into several forms: congenital (the least common - 1% of cases), related to mutations in the Granulocyte-macrophage colony-stimulating factor (GM-CSF) receptor or the genes underlying surfactant production; primary (idiopathic), subclassified as autoimmune, associated with the presence of anti-GM-CSF antibodies (90% of cases) or inherited due to mutations encoding GM-CSF receptor subunits; and secondary, associated with malignancies, infectious diseases and exposure to various toxins, chemicals or pharmaceuticals with reduced alveolar macrophage number and function (1, 2). Imagistically, high-resolution computed tomography (HRCT) shows homogeneous ground-glass opacities, well demarcated from the normal parenchyma, suggesting a geographical pattern in autoimmune PAP. In contrast, a diffuse pattern is present in secondary PAP (3). The crazy paving appearance is also more frequent in autoimmune PAP (2, 3). In about 75% of cases, the diagnosis is made by bronchoalveolar lavage (BAL) (gold standard), which reveals a characteristic cloudy, milky-white bronchial aspirate due to alveolar filling with positive periodic acid-Schiff (PAS) material (1–12). In selected cases, the diagnosis is made by lung biopsy (1–4).
Treatment aims to improve the patient’s quality of life by improving symptoms. In cases of moderate/severe primary or secondary PAP, but not congenital (2), the first-line treatment is whole lung lavage (WLL), which effectively removes excessive surfactant (1–6, 10, 11). In asymptomatic cases, follow-up is sufficient, with spontaneous remissions reported in the literature (1, 7–9, 11). In most cases, the impairment of alveolar surfactant clearance is caused by a GM-CSF-dependent reduction of cholesterol in alveolar macrophages (2, 6). Currently, as an alternative to WLL, recombinant GM-CSF (a cytokine with a particularly important role in combating viral, bacterial or fungal lung infections) or rituximab is used as inhaled or subcutaneous therapy with promising results (1–4, 7, 8, 10–12).
We present a clinical case of a 38-year-old male from an urban area, who is an active smoker (20 packs/year), occasional alcoholic, with no known hereditary, collateral and personal pathological history. Following the performance of a native chest computed tomography, he was redirected in April 2024 from a pulmonology clinic in western Romania to our pulmonology clinic of the Clinical Hospital Dr. ‘Victor Babeș’ Timișoara for further investigations and specialised treatment.
During an initial presentation at our clinic, the patient was already diagnosed with idiopathic pulmonary fibrosis (IPF) by another specialised clinic, where he was treated with systemic corticosteroids. On admission to the ward, the patient complained of progressive dyspnoea on minimal or moderate exertion, associated with transient cough with sero-mucous, gelatinous expectoration, asthenia and fatigue. He also complained that symptoms were worsened over the last 2 months, without any improvement under corticosteroid therapy. Anamnestically, the patient reports that in recent years, he has worked seasonally in agriculture field in Italy, where he was exposed to various chemicals, insecticides, sawdust and synthetic fertilisers, though he was not able to mention their names. On objective examination, the patient was normotensive, afebrile, with a body max index (BMI) of 21 kg/m2 and cyanotic skin; Blood preasure (BP) = 124/78 mmHg, Heart rate (HR) = 78 beats per minute (bpm) and pulmonary stethoscopy revealed a bilaterally vesicular murmur and diffuse ‘velcro’ crackles in both lung fields, SpO2 = 87% spontaneous, at rest.
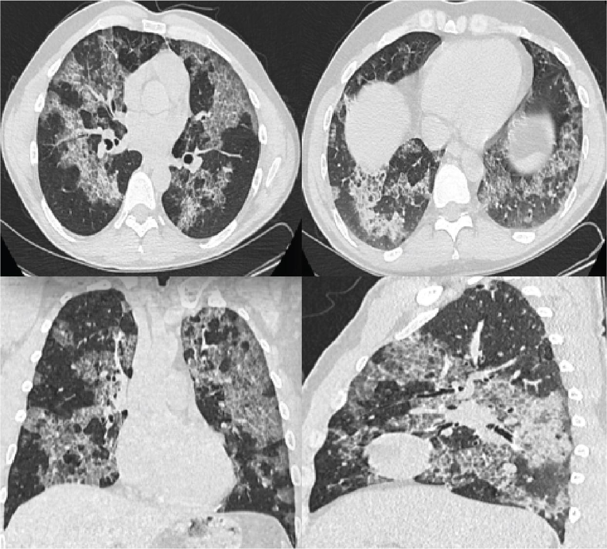
From a biological point of view, all parameters are within normal limits and without inflammatory markers. HRCT of the native chest is performed. Compared with the initial Computed Tomography (CT) scan (Figure 1), it suggests a stable imaging appearance, with the persistence of diffuse ground-glass opacities and extensive plaques of pulmonary condensation, with a mixed alveolar-interstitial pattern and mosaic appearance of bilateral crazy-paving, without overadded enlarged lesions.

Computer tomography was performed initially.
From a functional respiratory point of view, spirometry with bronchodilation is performed with borderline normal parameters, subject to insufficient post-bronchodilator respiratory effort (Forced Vital Capacity (FVC) = 89%–89%, Forced Expiratory Volume in 1 second (FEV1) = 85%–80%, FEV1/FVC = 0.79–0.74, Forced Expiratory Flow at 25-75% of FVC (FEF25–75) = 71%–66%). A carbon monoxide diffusion test is also performed, which showed a moderate decrease in the gas transfer factor across the alveolar–capillary membrane (Diffusing capacity of the Lungs for Carbon monoxide - corrected (DLCOc) = 47%, Transfer Coefficient for Carbon monoxide - corrected (KCOc) = 65% of predicted), and body plethysmography reveals a restrictive syndrome due to parenchymal damage (Residual Volume (RV) = 48%; Total Lung Capacity (TLC) = 76%, Vital Capacity (VC) = 55% of predicted).
At this point, we considered several differential diagnoses. First, we re-evaluated the diagnosis of IPF (1, 2) with which the patient was diagnosed before presentation to our clinic, for which he underwent treatment with high-dose systemic corticosteroid therapy without clinical or imaging improvement under treatment. Given the long smoking history and even the context of occupational exposure, bronchioloalveolar carcinoma was considered (1, 4), although the clinical picture does not suggest a consumptive syndrome. Eosinophilic pneumonitis (1) may also be discussed, given the patient’s age and HRCT imaging appearance, but this diagnosis is unlikely considering the clinical and biological picture of the patient. Imagistically, one may even consider cardiogenic pulmonary oedema (1, 3, 4, 8, 12), but the absence of suggestive symptoms and the cardiologic consultation performed during hospitalisation exclude any doubt. Also, by HRCT imaging, we may suspect tuberculosis or an opportunistic infection such as those with Pneumocystis jirovecii, Nocardia or Mycoplasma (1–4, 6, 8). However, the clinical picture and laboratory findings do not indicate an infectious process. Moreover, in this regard, a test for human immunodeficiency virus (HIV) was performed and test result was negative. An alveolar haemorrhage (1, 4, 8) can also be discussed imaging-wise, but again, the patient does not present haemoptysis or other blood exteriorisation, and the biological picture is not altered. Respiratory distress syndrome (1, 8) can be clinically excluded, given the long time since the onset of symptoms. Other differential diagnoses that we consider at this point with this patient could be hypersensitivity pneumonitis, alveolar proteinosis, sarcoidosis, acute silicosis and even a pulmonary drug reaction (1).
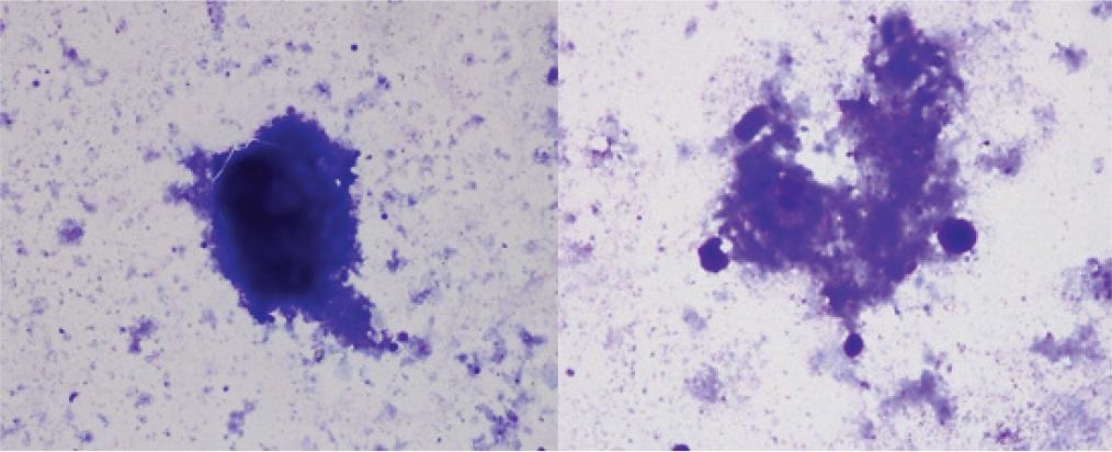
Following clinical, biological, functional and imaging data, we decided to perform an exploratory video-bronchoscopy procedure under local anaesthesia, with BAL and bronchial aspirate for bacteriological and fungal examination. The result of procedure suggests the presence of Staphylococcus epidermidis about 15%, for which antibiotic treatment is initiated according to the antibiogram. Following BAL, about 100 mL of opaque, cloudy-foamy physiological serum is recovered, and the result suggests paucicellular BAL, without tumour cells, frequent lipoprotein corpuscles of various sizes, suggestive of alveolar proteinosis (Figures 2 and 3).

Microscopic visualisation of BAL fluid. BAL, bronchoalveolar lavage.

Macroscopic visualisation of BAL fluid. BAL, bronchoalveolar lavage.
Thus, it is decided to perform therapeutic WLL using a high-frequency vibration vest, which is used for intrapulmonary mobilisation of the lavage fluid under selective intubation. Initially, the left lung is lavaged by the instillation of 17 L of physiological saline prewarmed to 37°C (Figure 4). After 30 days, the right lung is lavaged by instillation of 20 L of physiological saline prewarmed to 37°C (Figure 5), with recovery of 16.8 L and 19.8 L of characteristic milky fluid, which, as the lavage proceeds, becomes clear, with subsequent aspiration of the remaining amount bronchoscopically. The primary complications of WLL included fever (18%), hypoxaemia (14%), wheezing (6%), pneumonia (5%), pleurisy (3.1%) and pneumothorax (0.8%) (5). Fortunately, this case proceeded without intra- or postprocedural adverse events. After performing the first WLL of the left lung, although the patient’s condition improved considerably, clinically by maintaining oxygen saturations above 95% spontaneously and significant improvement of symptoms, which was also supported by the partial resolution of the initial imaging changes in the left lung (Figure 6), however, when performing the functional respiratory explorations after the left WLL, it was interesting that both spirometric parameters and Diffusing Capacity of the Lungs for Carbon Monoxide (DLCO) decreased (DLCOc = 41%, KCOc = 70%). After performing the two total lung lavages, the patient is counselled to quit smoking, advised to avoid chemicals, sawdust, synthetic fertilisers and insecticides at work, with an evaluation of changing the workplace, as well as influenza and pneumococcal vaccination and is recalled every 3 months for pulmonology re-evaluation. At 3 months post-procedure, the patient presents for followup. From the clinical point of view, we observed a significant improvement: no dyspnoea, no cough, SpO2= 99% spontaneously. Normal colour of the integuments and mucosae, lung objective, stetacustic vesicular murmur present bilaterally, without overadded rallies. From the functionally respiratory point of view, spirometry showed significantly improved bronchodilation (FVC = 115%–113%, FEV1 = 95%– 102%, FEV1/FVC = 07–0.74, FEF25–75 = 73%–77%), oscillometry within normal limits, and the gas transfer factor through the pulmonary alveolar–capillary membrane also markedly improved (DLCOc = 83% of predicted, KCOc = 94% of predicted). In addition, imaging results suggest quasicomplete remission of previous pulmonary changes (Figure 7). However, although the current clinical picture is significantly improved, contrary to medical recommendations, the patient continues to smoke and to be exposed to a toxic environment at work, a possible trigger of this pathology; thus, the long-term evolution could be jeopardised.

Recovered BAL fluid post-left WLL (left to right). BAL, bronchoalveolar lavage; WLL, whole lung lavage.

Recovered BAL fluid post right WLL (left to right). BAL, bronchoalveolar lavage; WLL, whole lung lavage.

Computer tomography performed 4 weeks after left WLL. WLL, whole lung lavage.

Computer tomography performed 3 months after both WLL. WLL, whole lung lavage.
Despite radiologically extensive alveolar infiltrates, up to one-third of patients are asymptomatic or present with non-specific symptoms (4, 6). The disease usually begins insidiously, with progressive exertional dyspnoea, sometimes associated with a non-productive cough or productive gelatin-producing cough (1, 2, 4, 13). Thus, the clinical picture often points to other pathologies, which delay the diagnosis and prognosis of this condition. In more advanced stages of the disease, hypoxaemic respiratory failure sets in, which associates pulmonary fibrosis and secondary infections, and failure to diagnose it correctly may lead to ineffective treatments with worsening of the patient’s condition. In these cases, performing BAL as early as possible is important to establish the diagnosis, which guides the clinician based on the lavage fluid’s specific opaque/lactic macroscopic appearance (2, 3, 6, 7, 10, 11).
From a respiratory functional point of view, as in our case, PAP spirometry may be unchanged in up to one-third of cases (2–4). However, studies show that restriction is the most common presentation, and the DLCO value correlates with disease severity (1, 3, 4, 8).
Although this pathology does not consider age, socioeconomic status or geographical location, it has been observed that PAP is more frequent in smokers (53%–85% of patients diagnosed with PAP). However, no causal link between smoking and the production of anti-GM-CSF antibodies has been proven (1, 10). It appears that smoking patients require twice as many total lung lavages as non-smokers, which underlines the importance of smoking cessation counselling in these patients. At the same time, secondary infections are not uncommon in this pathology; thus, influenza and pneumococcal vaccination are essential (11).
Not infrequently, the patient’s behaviour concerning risk factors is closely related to the intensity of symptoms. Thus, as in the presented case, when therapeutic intervention is given and the patient’s symptomatology improves, there is a risk that the patient will not follow the doctor’s indications and will continue with harmful habits, which will not have favourable effects over time. In this situation, although WLL has a 5-year survival prognosis of 95%, complementary methods such as targeted therapies may be considered, or even lung transplantation in fibrosing forms of the disease (1, 2).
As mentioned, the autoimmune form comprises about 90% of cases (1, 2, 4, 6, 8, 10, 14), so when we suspect an autoimmune PAP, the high serum GM-CSF autoantibody is necessary and suggestive for diagnosis (1, 3, 6, 14). At the same time, in secondary causes, these antibodies are not present (1). Unfortunately, although still after performing the first WLL, patient was recommended and even referred to a medical centre where he can perform this analysis. Due to non-compliance, the patient has not yet performed it. However, we also have to balance secondary causes that may be involved in the pathogenesis of the disease when they exist. Thus, secondary causes include haematological neoplasms or primary immunodeficiency diseases (1, 2, 4, 6, 7, 11), but also the inhalation of toxic substances such as inorganic dust (aluminium, cement, silicon, titanium, indium), agricultural organic dust, fertilisers, sawdust and chlorine vapours, as well as cleaning products, gasoline/oil, nitrogen dioxide, paint and synthetic plastic vapours (1, 3, 6, 11).
In this syndrome, we find both an exaggerated surfactant production and a deficient surfactant clearance (1, 2). Thus, in moderate or severe cases, WLL remains the primary treatment because it effectively removes the accumulated surfactant. However, in up to 50% of cases, the procedure will be repeated, with an average duration of effect of about 15 months (1, 2, 5). According to one review, within 5 years, 70% of patients required a second WLL (1). However, as we also observed in our case, although the symptomatology improves shortly after WLL clinically, both the imaging resolution of lung lesions and the improvement of parameters peaked after a more extended period, 3 months post-WLL.
An important aspect in the PAP picture is tuberculosis superinfection, considering the high incidence of this pathology in Romania. Although it is a rare association, there are several case reports in the literature demonstrating the association between these two pathologies, even a few years after the initial diagnosis of PAP. A possible explanation for the association of tuberculosis in these patients could be the nosocomial transmission through bronchoscopies or total lung lavage, procedures that could represent a risk factor for PAP patients. In addition, the impaired alveolar macrophage function through GM-CSF deficiency that occurs in PAP may predispose the patient to tuberculosis superinfection, which emphasises the importance of monitoring PAP patients in this direction (15–17). Clinical and imaging follow-up depend on the form of the disease, severity of symptoms and response to treatment. A retrospective study that followed 25 patients with PAP showed that follow-up periods ranged from 2 months to 96 months, with a median of 38 months (18). Although there is no universal protocol regarding imaging follow-up of PAP patients, clinical studies suggest that after a WLL, most centres perform a chest CT and evaluate lung function in the first 1–8 months (5, 19).
Last but not least, this syndrome requires a multidisciplinary team (1) including pulmonologists, bronchologists, radiologists, pathologists, anesthesiologists, thoracic surgeons, cardiologists, specialised nurses and respiratory physiotherapists, of course, in a medical centre that has the medical equipment necessary to perform WLL (14).
A particularity would be the data that may suggest a secondary PAP. Although this form of PAP is very rare, about 4% of the cases (1, 13), from the patient’s history, we learn that at work, he has significant occupational exposure to specific factors proven to trigger secondary PAP such as synthetic fertilisers, sawdust, insecticides and other chemicals. The only proven durable therapy in these cases is to remove the patient from the harmful environment (1, 3). At the same time, the onset of the symptoms occurred when he was abroad at work, with worsening symptoms during the service, which made him present to the doctor upon his return home. A further argument favouring the secondary cause would be the mixed cellularity in the lavage fluid. By comparison, in the autoimmune form, the cellularity is predominantly lymphocytic (1).
Although knowledge about this pathology has developed spectacularly, significant diagnostic difficulties remain, most frequently due to the non-specific clinical and biological picture. Thus, treatment is delayed and the patient’s condition deteriorates if not referred to a medical centre with the necessary diagnostic and treatment measures available.
Also, when we suspect a secondary PAP, a fundamental element is to identify the cause, and if it is an avoidable factor, it is very important to exclude the patient’s contact with it and limit the associated harmful behaviours. However, in some situations, seemingly simple decisions such as changing jobs to avoid exposure to harmful substances or quitting smoking are complex challenges that are inevitably part of the picture of this pathology.