Fig. 1.

Fig. 2.

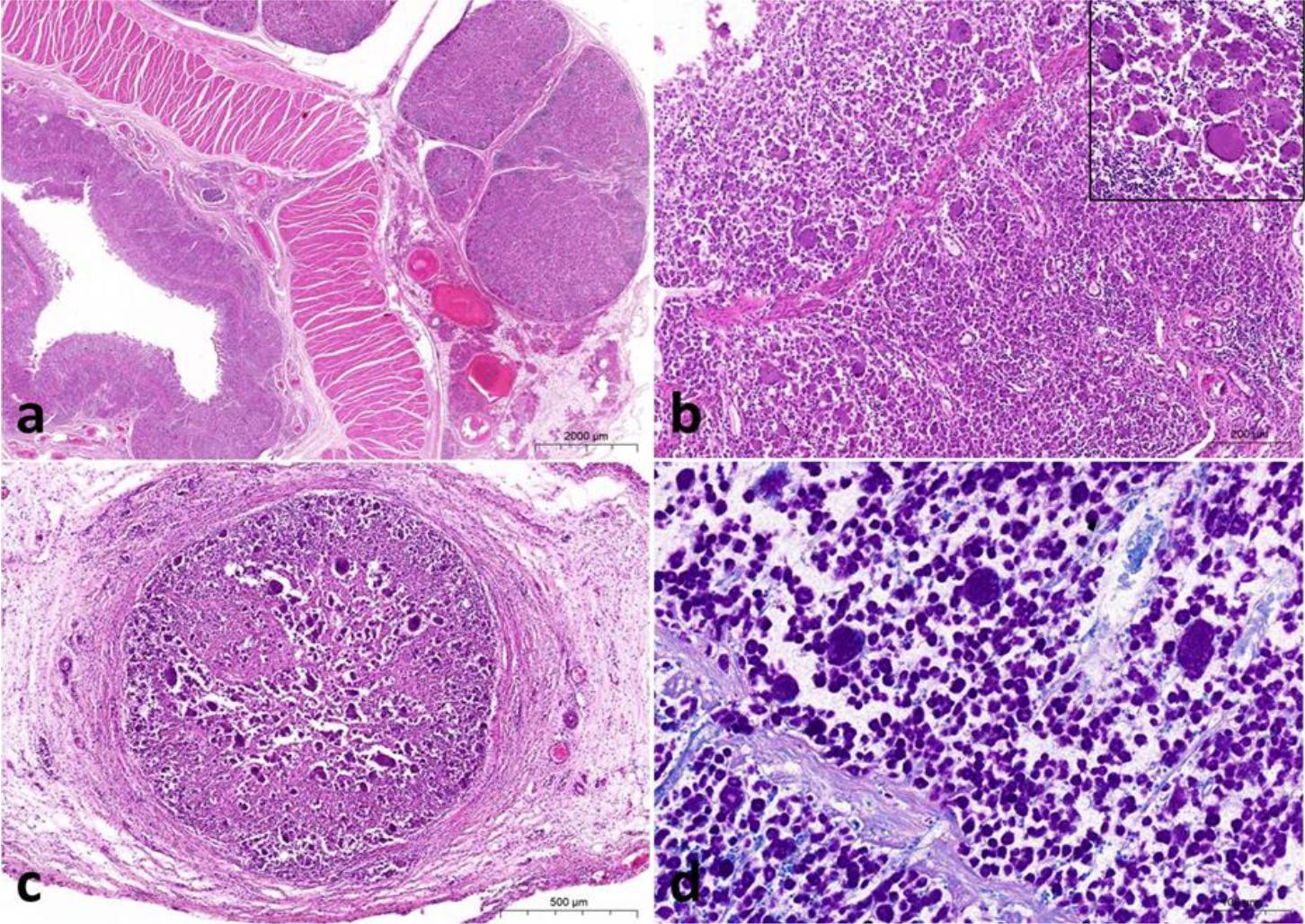
Matrix-assisted laser desorption/ionisation–time-of-flight mass spectrometry (MALDI-TOF MS) results of Mycobacterium species identification in tissue samples from Polish horses with granulomatous enterocolitis
| No. | MALDI-TOF MS results | |||
|---|---|---|---|---|
| Species | Points | Probability | Symbols/colour | |
| Horse No. 1 | Mycobacterium avium subsp. hominissuis | ≥2,300 | Highly probable | +++/green |
| Horse No. 2 | Mycobacterium avium subsp. hominissuis | ≥2,300 | Highly probable | +++/green |
| Horse No. 3 | Mycobacterium avium subsp. hominissuis | ≥2,300 | Highly probable | +++/green |
Starter and probe sequences used in the reaction to screen equine tissue samples for Mycobacterium tuberculosis complex species
| Name | Sequence 5′–3′ |
|---|---|
| Starter F6110 | GGT AGC AGA CCT CAC CTA TGT GT |
| Starter R6110 | AGG CGT CGG TGA CAA AGG |
| Pr6110 | FAM-CAC GTA GGC GAA CCC-MGB NFQ |
Components in the PCR reaction to screen equine tissue samples for Mycobacterium tuberculosis complex species
| Reagent | Concentration | Volume (μL) |
|---|---|---|
| Nuclease-free water | - | 7.5 |
| QuantiFast mix | 5× | 5 |
| Assay internal control | 10× | 2.5 |
| Internal control DNA | 10× | 2.5 |
| F6110 | 5 pmol/μL | 1 |
| R6110 | 5 pmol/μL | 1 |
| Pr6110 | 5 pmol/μL | 0.5 |
| DNA | - | 5 |
| Total volume | 25 |
The clinical data of horses suffering granulomatous enterocolitis and the results of laboratory investigations
| Clinical and laboratory data | Horse No. 1 | Horse No. 2 | Horse No. 3 |
|---|---|---|---|
| Age | 3 months | 10 months | 3 years |
| Sex | Male | Male | Female |
| Duration of illness | 2 months | 7 months | 1.5 years |
| Symptoms: | |||
| Diarrhoea | + | + | + |
| Weight loss | + | + | + |
| Gastric ulcers | + | + | + |
| Serum biochemistry: | |||
| Hypoalbuminaemia | - (10.7 g/L) | - (12.1 g/L) | - (9.8 g/L) |
| Parasitological findings after examination of faecal samples | - | Parascaris univalens, Cryptosporidium sp. and Giardia sp. | - |
| Ultrasonographic findings | Thickened intestinal wall | Hyperechoic mass in the lower left area (12-14 intercostal spaces), presence of free fluid in the abdominal cavity, thickened small intestinal wall | Free fluid present in the abdominal cavity, thickened intestinal wall |