Bovine adenoviruses (BAdVs) are involved in the bovine respiratory disease complex and are a cause of significant economic losses in the beef and dairy industries (9, 23). The ten known BAdV serotypes are divided into two groups based on viral neutralization tests. Group 1 contains BAdV 1, 2, 3, 9 and 10 belonging to the Mastadenovirus genus and growing well in established bovine cell lines. The members of group 2 are BAdV 4, 5, 6, 7 and 8 and they belong to the Atadenovirus genus; they are not cross-reactive with any other mammalian adenovirus in a complement fixation test and can be propagated in low-passage cultures of calf testicular or thyroid cells (14, 20, 28). Bovine adenovirus 3 was first isolated from the eyes of cows which were apparently healthy, but this type is nevertheless the most virulent (2, 13). It is a non-enveloped icosahedral particle of 75–80 nm diameter and has double-stranded linear genomic DNA (28). In addition to cows, BAdV-3 can also infect wild African buffaloes, alpacas, and goats, indicating that the virus is capable of cross-species transmission (2, 22).
Currently, modified live and inactivated BAdV vaccines have been developed and evaluated for use in cattle. Nevertheless, no commercial BAdV-3 vaccines are available on the market (13). Modified live virus vaccines can induce protective immunity against virulent virus variants. However, they are instable and heat labile, and attended by particular safety concerns because of the involvement of live infectious virions (19). Inactivated vaccines are less effective and require potent immunological adjuvants (26, 27). Human adenovirus (HAdV) subunit vaccines have been shown in trials to induce protective immunity in humans (2). The non-replicating subunit vaccine technology does not exploit an infectious virus and thus is safer; an additional advantage is that its manufacturing costs are lower than those of vaccines produced with traditional technology (26).
Adenovirus capsid proteins are the primary antigens which differentiate serotypes. The hexon protein is the major differentiator and may also prove the most useful of them for developing subunit vaccines (24, 25). The hexon is the major outer capsid protein, and it and other capsid proteins interact with cell receptors during viral penetration into the cell (8). This protein is the critical mediator of the virus’ antigenicity and therefore of how effectively the virus can induce neutralising antibody production (3, 16, 25). Moreover, the hexon can be crucial in establishing the adaptive immune response, both humoral and cellular (21). The exploitability of the hexon protein in vaccine design is provided by recombinant technology, which has enabled the construction of new vaccines and has been efficient when applied to several disease-causing viruses (8). The bacterial expression system is the most commonly used in subunit vaccine development (4). Escherichia coli is a bacteria which is easy to manipulate, inexpensive to culture, and fast to generate a recombinant protein (12).
The aim of this study was to express a recombinant hexon (rhexon) protein of BAdV-3, combine it with water-in-oil-in-water (w/o/w) adjuvant in a vaccine, and evaluate the vaccine’s efficacy in mice and goats.
Virus isolation and confirmation. Bovine adenovirus 3 was isolated from cows in Tuv province. The virus was inoculated with 50 μL and 100 μL into a Madin–Darby bovine kidney (MDBK) cell culture and incubated at 37°C for 72 h. Cells were harvested when cytopathic effect developed over 80% of the cells. The supernatant of BAdV-3 was centrifuged for 5 min at 800 × g (Smart R17; Hanil Scientific, Gimpo, Korea) and was transferred into a new tube to be centrifuged (Hitachi CS120FNX; Tokyo, Japan) for 6 h at 28,000 × g. The viruses were negatively stained with a preparation with 2% phosphotungstic acid for transmission electron microscope (Hitachi H-7650) observation, and virions were photographed and analysed.
Construction, expression, and purification of recombinant hexon protein of BAdV-3. Primers for PCR amplification of the hexon gene were designed based on a sequence of this gene deposited in GenBank under accession no. K01264.1 (Table 1). The PCR fragment was cloned into the pET32a expression vector (Novagen, Darmstadt, Germany) with Not I/Sac I restriction sites. Heat shock transformed the ligated plasmids into a competent E. coli BL21 strain. Protein expression was induced with 1 mM isopropyl-β-D thiogalactopyranoside (Amresco, Solon, OH, USA) for 2, 4, and 6 h. After induction, cells were harvested by centrifugation at 4°C, dissolved with denaturing wash buffer, and purified with Bio-Scale Mini Profinity IMAC 1 mL cartridges (Bio-Rad, Taipei, Taiwan) in a column according to the manufacturer’s instructions. Proteins were refolded by progressively reducing urea concentration through dialysis in phosphate-buffered saline (PBS) at 4°C for 2 h.
The sequence of primers used for PCR identification
| Primer name | Position | Sequence (5′-3′) | Size (bp) | Reference |
|---|---|---|---|---|
| BALF | 19235–19256 | GRTGGTCIYTRGATRTRATGGA | 641 | (18) |
| BARF | 19852–19872 | AAGYCTRTCATCYCCDGGCCA | ||
| cBAdVH-F | 1645–1659 | AATGAGCTCCTTCAGAGCACTCTG | 693 | K01264.1 |
| cBAdVH-R | 2319–2337 | ACTGCGGCCGCAGTTTCTATGGTTCAC | GenBank |
bp – base pairs
Western blot analysis. Western blot was performed after sodium dodecyl sulphate polyacrylamide gel electrophoresis separation. Proteins were transferred onto a hydrophobic polyvinylidene difluoride (PVDF) transfer membrane (Immobilon-P; Millipore, Burlington, MA, USA). After transfer, the PVDF membranes were blocked with bovine serum albumin (BSA) blocking buffer (KPL/SeraCare, Gaithersburg, MD, USA) and washed three times using PBS and Tween-20 (PBST – 1 × PBS, 0.5% Tween-20). The membrane was incubated with a 1 : 3,000 dilution of mice anti-His immunoglobulin G (IgG) (AbD Serotec, Kidlington, UK) overnight at 4°C. After being washed three times with PBST, the membranes were incubated with the secondary antibody, goat anti-mouse IgG (KPL), at 1 : 6,000 dilution for 1 h at 37°C. Antibody reactions were visualised by enhanced chemiluminescence catalysed by horseradish peroxidase (HRP) using Western blotting detection reagents (GE Healthcare, Newcastle, UK), and imaging was performed according to the G:Box image system and analysis software (Syngene, Frederick, MD, USA).
Vaccine preparation. The vaccine contained rhexon protein (25 μg/mL) and was emulsified in Montanide ISA 206 VG w/o/w adjuvant (Seppic, Puteaux, France) at 1 : 1 (v/v). The sterility of the vaccines was confirmed by culturing 1 mL of the vaccine in 15 mL trypticase soy agar at 37°C, thioglycollate agar at 37°C, and Sabouraud dextrose agar at 25°C separately for 14 days. All vaccines were confirmed to be free of viable contaminating bacteria.
Animals. Institute of Cancer Research (ICR) strain mice at four weeks old weighing 15–18 g were obtained from BioLASCO (Nangang, Taipei, Taiwan) and housed in the certified Laboratory Animal Center on the campus of the National Pingtung University of Science and Technology (NPUST), Taiwan. Feed and water were provided ad libitum during the experimental period and the animals were randomly divided into experimental groups. BAdV-negative goats at four to five months old were obtained from the Large Animal Clinical and Research Center, NPUST. Feed and water were provided ad libitum during the experimental period and the animals were randomly divided into experimental groups which were housed in different rooms.
Immunisation of mice: comparison of purified and unpurified recombinant hexon proteins. Twenty 4-week-old ICR mice were randomly divided into three groups: 7 mice in two experimental groups and 6 in a control group. The experimental mice were immunised at 0 and 2 weeks intramuscularly with 0.2 mL of purified or unpurified rhexon protein (25 μg/mL) with w/o/w adjuvant, and the control mice were administered saline. Blood samples were collected before immunisation and two, four and eight weeks post immunisation.
Immunisation of mice: dose-dependent analysis of recombinant hexon protein. Twenty 4-week-old ICR mice were randomly divided into four groups of 5. One experimental group of mice was immunised and boosted two weeks later intramuscularly with 0.2 mL of 10 μg/mL of purified rhexon protein, another group was similarly treated but with 25 μg/mL, and the final group received a 50 μg/mL concentration of the protein. All protein administrations were with w/o/w adjuvant. The control group was injected with saline. Blood samples were collected before immunisation and two and four weeks post immunisation.
Immunisation of mice: long-term antibody response. Twenty 4-week-old ICR mice were randomly divided into two groups of 10. The group of experimental mice was immunised and boosted two weeks later intramuscularly with 0.2 mL of 25 μg/mL of the same vaccine formulations described in the dose-dependent test. The group of control mice was injected with saline. Blood samples were collected before immunisation and two and four weeks post immunisation, and then at four-weekly intervals for 16 weeks for long-term antibody response evaluation.
Immunisation of goats. Ten 4–5-month-old BAdV-3-negative goats were randomly divided into two groups of 5. The goats were immunised and boosted two weeks later intramuscularly with 2 mL of purified rhexon (25 μg/mL). For immune response evaluation, blood samples were collected in weeks 0, 2 and 4 post primary immunisation for antibody and peripheral blood mononuclear cell (PBMC) analysis. Blood samples were also collected at four-week intervals for 16 weeks for long-term antibody response evaluation.
Antibody measurement by indirect enzyme-linked immunosorbent assay (ELISA). Serum samples were taken from immunised mice and goats to determine antibody responses by indirect ELISA. Plates with 96 wells were coated with 10 μg of BAdV-3 or 1.25 μg/mL of rhexon protein in coating buffer (15 mM Na2CO3, 35 mM NaHCO3, 3 mM NaNO3, pH 9.6) and incubated at 4°C overnight. The plates were washed with PBST three times and blocked with 1% BSA (KPL) in PBST at 37°C for 1 h. Subsequently, the plates were incubated with serum samples (at 1 : 250 dilution) at 37°C for 1.5 h. The plates were washed six times and incubated again at 37°C for 1.5 h with a 1 : 5,000 dilution of secondary antibody (goat anti-mice HRP; rabbit anti-goat IgG) (KPL). After washing six times with PBST, 100 μL of tetramethylbenzidine (TMB) 2-Component Microwell Peroxidase Substrate (KPL) was added to each well. The reaction was stopped by adding 100 μL of TMB stop solution (KPL) after 5 min, and plates were read at 450 nm with a multiwell plate reader (Anthos 2020; Biochrom, Cambridge, UK).
Real-time PCR cytokine analysis: isolation of splenocytes from mice. Isolation of spleen cells was carried out as described (11). Briefly, spleen samples from each mouse were individually homogenised in a 40-μm stainless steel tissue grinder in Roswell Park Memorial Institute 1640 medium (RPMI 1640; Gibco, Grand Island, NY, USA) supplemented with 2 mM L-glutamine, 10 mM 4-(2-hydroxyethyl)-1-piperazineethanesulfonic acid, sodium bicarbonate (2.2 g/L) and gentamicin (50 μg/mL). The cell suspension was treated with 0.8% NH4Cl to remove red blood cells. After that, the cells were washed three times in RPMI 1640 medium by centrifugation at 800 × g for 5 min. After washing, the cells were counted and adjusted to a concentration of 2 × 105 cells/mL and stimulated with 10 μg/well of rhexon protein. Total RNA was extracted using TRIzol Reagent (Invitrogen, Carlsbad, CA, USA) following the manufacturer’s instructions, and the mRNA content was measured in a spectrophotometer at 260 nm. A 150 ng volume of mRNA was then transformed into cDNA by reverse transcription using a SensiFAST cDNA Synthesis Kit (Bioline Luckenwalde, Germany). The cDNA samples were stored at −80°C until use.
Isolation of PBMCs from goat. Goat PBMCs were isolated according to the method previously described (6). Briefly, whole blood was drawn from goats into tubes with ethylenediaminetetraacetic acid and centrifuged at 800 × g at 4°C for 10 min. The upper layer of serum was removed, and the remaining blood cells were resuspended in equal volumes of PBS. The resuspended blood cells were then layered slowly onto an equal volume of Ficoll-Paque PLUS (GE Healthcare, Uppsala, Sweden) in a 50 mL tube and centrifuged at 1,500 × g at 4°C for 40 min. The resulting middle PBMC layer was collected, rid of red blood cells using 1% acetic acid, washed with PBS, and resuspended in RPMI 1640 medium with 10% FBS and 0.05 mM - mercaptoethanol. For cytokine analysis, goat PBMCs (2 × 105 cells/mL) were seeded in 24-well plates and stimulated with 10 μg/well of rhexon protein. The RNA extraction and reverse transcription method was as described previously.
Quantitative real-time PCR. Amplification by PCR was performed as described (5). Primers for specific mice genes are listed in Table 2, and those for goat genes are given in Table 3. The reaction conditions for each gene were optimised using a QuantiTect SYBR Green PCR kit (Qiagen, Hilden, Germany) in the LightCycler system (Roche, Rotkreuz, Switzerland) and applied to the following protocol. The PCR mixture was added to a cold PCR capillary, centrifuged, and placed in the LightCycler instrument. The instrument was programmed to execute three steps: (1) denaturation at 95°C for 15 min; (2) amplification for 50 cycles of denaturation at 94°C for 15 s, annealing at 60°C for 30 s, and extension at 72°C for a duration depending on the product length (5 s per 100 base pairs – bp); and (3) melting curve analysis at 95°C for 5 s, 65°C for 15 s and 95°C for 40 s, followed by cooling at 40°C. The reaction was performed as a real-time PCR, and relative quantitation was carried out using the reference genes, where fold change = ((E target) × (control CP target − treatment CP target))/((E ref) × (control CP ref − treatment CP ref)).
Sequences of primers for mouse cytokines and glyceraldehyde 3-phosphate dehydrogenase (GAPDH) in real-time PCR
| Gene | Sequence (5′ ̶ 3′) | GenBank accession no. |
|---|---|---|
| GAPDH | F : TCA ACA GCA ACT CCC ACT CTT CCA | GU214026.1 |
| R : ACC CTG TTG CTG TAG CCG TAT TCA | ||
| IL-2 | F : CCT GAG CAG GGA GAA TTA CA | AH001969.2 |
| R : TCC AGA ACA TGC CGC AGA | ||
| IL-6 | F : GAG GAT ACC ACT CCC AAC AG CC | M20572.1 |
| R : AAG TGC ATC ATC GTT GTT CAT ACA | ||
| IL-12 | F : GAG CAC TCC CCA TTC CTA CT | M86671.1 |
| R : GCA TTC GAC TTC GGT AGA TG | ||
| INF-γ | F : GGC CAT CAG CAA CAT AAG GGT | AY423847.1 |
| R : TCG GTT GTT GAC CTC AAA CTT GGC |
F – forward; R – reverse; IL – interleukin; INF-γ – interferon gamma
Sequences of primers for goat cytokines and β-actin in real-time PCR
| Gene | Sequence (5′ ̶ 3′) | GenBank accession no. |
|---|---|---|
| β-actin | F : CCT TTT ACA ACG AGC TGC GTG TG | AH00130 |
| R : ACG TAG CAG AGC TTC TCC TTG ATG | ||
| INF-γ | F : TTC AGA GCC AAA TTG TCT CC | M29867 |
| R : CTG GAT CTG CAG ATC ATC CA | ||
| IL-6 | F : TCA TTA AGC GCA TGG TGG ACA AA | NM173923 |
| R : TCA GCT TAT TTT CTG CCA GTG TCT | ||
| IL-12 | F : TTA TTG AGG TCG TGG TAG AAG CTG | U11815 |
| R : GGT CTC AGT TGC AGG TTC TTG G | ||
| IL-21 | F : CAG TGG CCC ATA AGT CAA GC | AB073021 |
| R : TAC ATC TTC TGG AGC TGG CA |
F – forward; R – reverse; IL – interleukin; INF-γ – interferon gamma
Statistical analysis. All data were analysed with SAS statistical software Version 9.0 (SAS Institute, Cary, NC, USA). For the animal trial, differences among the treatments at each time point were examined by analysis of variance and Duncan’s multiple comparisons. A P-value of < 0.05 was considered significant.
Identification and confirmation of BAdV-3. Cytopathic effect was apparent in the cultures of BAdV-3–inoculated MDBK cells 48 h after inoculation. Viral genomic DNA was extracted from the culture supernatant, and the PCR results indicated a BAdV-3 band of 641 bp (Fig. 1a). A virion of approximately 75 nm in diameter was observed in negative-stained preparations of inoculated MDBK cells (Fig. 1b).

Bovine adenovirus 3 (BAdV-3) identification and confirmation
(a) Gradient PCR for detection of BAdV-3. Lane N – negative control; lane 1 – annealing temperature 50°C; lane 2 – 50.5°C; lane 3 – 51°C; lane 4 – 52°C; lane M – marker (100 base pairs (bp) – 3,000 bp) (b) Transmission electron microscopy image of the typical virion approximately 75 nm in diameter. Phosphotungstic acid negative staining (100,000×)
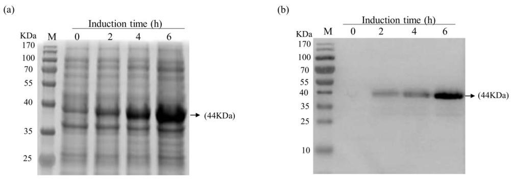
Protein expression and quantitative analysis of rhexon protein. The DNA fragments encoding the hexon protein were successfully cloned into pET-32a (+). The recombinant plasmids harbouring the foreign genes were used to transform into E. coli BL 21. After induction for 2, 4, and 6 h, recombinant proteins were expressed as His-tagged fusion proteins with the expected size of 44 kDa (Fig. 2a), which was confirmed by Western blotting using the mice anti-His antibody (Fig. 2b).

Cloning and expression analysis of recombinant hexon protein of bovine adenovirus 3
(a) Expressed rhexon with 44 kDa molecular weight separated on 10% sodium dodecyl sulphate polyacrylamide gel electrophoresis. Lane 1 –induction time 0 h; lane 2 – 2 h; lane 3 – 4 h; lane 4 – 6 h; lane M – marker (b) Western blot analysis with mouse anti-His antibody. Lane 1 – induction time 0 h; lane 2 – 2 h; lane 3 – 4 h; lane 4 – 6 h; lane M – marker
Long-term antibody response in mice to rhexon protein. Antibody production was tested by indirect ELISA with whole virus and rhexon protein as the coating antigens. Mice vaccinated with purified or unpurified rhexon protein produced a higher level of antibodies than the control group; there was no significant difference between the purified and unpurified rhexon vaccine groups (Fig. 3a and 3b). In the dose-dependent test, vaccinating with 10 μg/mL of rhexon protein induced a lower level of antibodies. Groups vaccinated with 25 μg/mL and 50 μg/mL doses showed a high level of immune response, with no significant difference between the groups (Fig. 4a and 4b). Therefore, we chose 25 μg/mL as the optimal antigen concentration for further study. Long-term immunity in mice was enhanced in the immunised group from four weeks, evident in the anti-BAdV-3 antibody response, and the antibody level was significantly different from the level in the control group until the 16-week point and experiment end (Fig. 5a and 5b). All the antibody data showed the same pattern profile whether plates were coated with whole virus or rhexon protein.

Antibody response in indirect ELISA in mice immunised with purified or unpurified rhexon protein. Total anti-bovine adenovirus 3 (BAdV-3) immunoglobulin G levels after inoculation with (a) 10 μg/mL of BAdV-3 and (b) 1.25 μg/mL of rhexon protein. Ag – antigen; OD – optical density; a, b – significant difference (P < 0.05). Data represent means ± standard deviation

Antibody response in indirect ELISA in mice immunised with different amounts of rhexon protein. Total anti-bovine adenovirus 3 (BAdV-3) immunoglobulin G levels after inoculation with (a) 10 μg/mL of BAdv-3 and (b) 1.25 μg/mL of rhexon protein. Ag – antigen; OD – optical density; a, b, c – significant difference (P < 0.05). Data represent means ± standard deviation

Long-term antibody response in indirect ELISA in mice immunised with rhexon protein. Total anti-bovine adenovirus 3 (BAdV-3) immunoglobulin G levels after inoculation with (a) 10 μg/mL of BAdV-3 and (b) 1.25 μg/mL of rhexon protein. Ag – antigen; OD – optical density; a, b – significant difference (P < 0.05). Data represent means ± standard deviation
Effect of rhexon protein on T helper (Th) 1-type cytokine expression in mice. Expression of the mRNA of IL-2, IL-6, IL-12, and IFN-γ was compared at two and four weeks post-immunisation. The levels of IL-6 and IL-12 significantly increased at two weeks but decreased at four weeks post immunisation. In contrast, the levels of IL-2 and INF-γ were significantly higher than those of the other two cytokines at four weeks (Fig. 6).

Cytokine response in immunised mice. The mRNA expression levels of interleukin (IL)-2, IL-6, IL-12 and interferon gamma (INF-γ) are shown as fold change relative to the saline control at two and four weeks post immunisation. a, b, c – significant difference (P < 0.05)
Effect of rhexon protein on long-term antibody production and Th1-type cytokine expression in goats. The total IgG level of goats immunised with the rhexon protein was significantly higher than that of the control group from two weeks and this state persisted for at least 16 weeks (Fig. 7a). Peripheral blood mononuclear cells from goats immunised with rhexon protein showed a significant increase of IL-6 and IL-12 cytokines at two weeks but a decrease at four weeks. The upregulation of INF-γ expression was noted at two weeks and this cytokine’s expression significantly exceeded that of other cytokines at four weeks (Fig. 7b). However, the level of IL-21 at four weeks showed no significant difference from those of IL-6 and IL-12.

Cytokine levels and antibody response in goats immunised with rhexon protein
(a) – goat mRNA expression levels of interleukin (IL)-21, IL-6, IL-12 and interferon gamma (INF-γ) are shown as fold change relative to the saline control at two and four weeks post immunisation (b) indirect ELISA with 1.25 μg/mL of rhexon protein. a, b – significant difference (P < 0.05) Ag – antigen; OD – optical density. Data represent means ± standard deviation
Bovine adenovirus-3 is a causative agent of respiratory disease in cattle, and thereby an agent of an infection which is among the main factors that impair animal production (1). There are no BAdV-3 vaccines available on the market, and the development of one, most safely as a subunit vaccine, would be a good way to prevent BAdV-3-related diseases and reduce treatment costs. It was previously reported that HAdV-2 and HAdV-5 subunit vaccines using purified hexon and fibre proteins had induced protective immunity in humans. In previous research, there has been some success in identifying subunits of BAdV-2, -3 and -7 (likewise hexons) capable of inducing viral neutralising responses (2). Similarly, the capsid proteins of fowl adenovirus-4, specifically fibre 1, fibre 2, hexon and penton base, were expressed in the E. coli or baculovirus expression system as an attempt to develop a subunit vaccine and were indicated to have induced effective protection in vivo and in vitro (25). In our study, an E. coli–expressed rhexon protein of BAdV-3 combined with w/o/w adjuvant induced a higher level of antibody production in administered mice than control mice. The antigen utilised in this research was successfully purified from non-protein parts of the mixture and separated from other proteins, as is necessary for efficient production of recombinant proteins (17). Regarding the suitable dosage of the rhexon protein, our results indicated that all administered doses could induce an immune response. A 25 μg/mL dose induced a sufficient immune response. However, mice immunised with a larger antigen quantity demonstrated a stronger immune response, and those which received a lower antigen quantity showed a weaker response.
Further analysis of the antibody response showed that our rhexon subunit vaccine was capable of eliciting antibodies that could recognise the whole virus, which was consistent with observations from previous studies (8). Also, long-term antibody production was observed in mice and goats in our study. This long-term immune response may be related to the use of w/o/w adjuvant. Antigens in the outer aqueous phase of the w/o/w adjuvant stimulate the primary production of antibodies, while antigens in the inner phase induce prolonged immunity. The results are consistent with those of our previous study: w/o/w adjuvant stimulated a long-lasting antibody response and provided adequate protection against bovine herpesvirus type I in cattle (7).
In this study, the balance of Th1- and Th2-type immune responses was examined in mice (IL-2 and IFN-γ) and goats (IL-21 and IFN-γ). The production of Th1-type cytokines was more prominent in both animals. Interleukin 2 and IL-21 are closely related cytokines that might have arisen from gene duplication and have significant structural homology (10). Interleukin 21 is produced mainly by CD4+ T cells and natural killer T cells (15). T helper 1 IL-2, INF-γ and IL-21 cytokines mediate pro-inflammatory functions critical for developing cell-mediated immune responses and play a significant role in eliminating viral pathogens (14).
In summary, our study highlights the potential of the rhexon protein to induce immune responses, especially long-term antibody production and Th1 cytokine production in mice and goats. Further study will investigate the immune response in cattle. The rhexon protein could be a subunit vaccine candidate against BAdV-3, a virus with a worldwide distribution and the cause of enormous economic losses in the cattle farming industry. This study showed that recombinant hexon protein induces long-term, efficient immune protection and may be helpful for developing subunit vaccines to control BAdV-3 infection.