Have a personal or library account? Click to login
Acrylamide-induced changes of granulopoiesis in porcine bone marrow Cover

Acrylamide-induced changes of granulopoiesis in porcine bone marrow

Open Access
|Jul 2021

Full Article

Introduction

Acrylamide (AA) is a vinyl monomer, from which polyacrylamides are synthesised. It is a colourless and odourless compound widely distributed in the environment, which forms naturally in high-carbohydrate products, mainly potatoes and cereals, when these are subjected to thermal processing at temperatures higher than 120°C (13, 18). It has a fairly well-known biological activity, as indicated by the harmonised classification of this compound (CAS Registry Number 79-06-1). Acrylamide is absorbed into the body through the digestive tract, respiratory system and skin (26).

The first studies on the toxicity of this compound began in the late 1970s and 1980s (3, 10). Since then, numerous studies have confirmed its diverse harmful activities. Yener and Dıkmenlı (22) demonstrated that AA can cause genotoxicity in rats and mice. Research by Manière et al. (12) indicated that it causes severe DNA changes in blood, brain, bone marrow and liver tissue in rats. Long-term exposure to AA can damage the central nervous system and give signs of neurological disorders (11). Jones et al. (9) also confirmed its neurotoxicity in research on workers who had frequent contact with acrylamide. They showed a clear relationship between the level of acrylamide haemoglobin adducts and symptoms suggesting damage to the central nervous system. The toxic effect of AA can also manifest in reduced fertility, increased risk of heart diseases and increased incidence of atherosclerosis (24). Acrylamide also affects erythropoiesis in bone marrow (21).

Since the discovery of acrylamide’s presence in food, many studies have indicated that this compound participates in the development of neoplasms (14). Despite the association that many studies show between the occurrence of cancer in animals and AA in the diet, none of the studies conducted in humans have clearly demonstrated the direct influence of this compound on the formation of specific types of cancer. However, they undoubtedly indicate that AA is associated with increased cancer frequency.

Due to the lifelong constant exposure of humans and animals to the effects of low doses of acrylamide and despite the availability of extensive toxicological data on the compound, it is reasonable to conduct more research on how strong and diverse the impacts of AA on human and animal organisms really are, and whether exposure to it could be a more serious threat to human and animal health than we currently believe. The research model choice was based on the general recognition that the domestic pig is a scientific model adapted to humans (25).

It is necessary to expand knowledge on the impact of repeated exposure to acrylamide, especially in the aspect of assessing interspecies differences in sensitivity to this xenobiotic, and therefore we decided to evaluate the impact of high and low doses of this compound on the process of granulopoiesis in porcine bone marrow.

Material and Methods

Animals and design of the experiment. The study was conducted on 15 eight-week old Danish Landrace pigs weighing approximately 20 kg. All pigs were kept under standard laboratory conditions, had free access to water, and were fed a commercial grain mixture. After seven days of acclimatisation, animals were randomly assigned to one of three groups: the control (C) group (n = 5) of animals receiving empty gelatine capsules, a low dose (LD) group (n = 5) of animals receiving capsules with the tolerable daily intake (TDI) dose of AA (0.5 μg/kg b.w./day) used at > 99% purity (Sigma-Aldrich, St. Louis, MO, USA), and a high dose (HD) group (n = 5) of animals receiving capsules with a tenfold higher dose of AA (5 μg/kg b.w./day). The lower dose used in the study is a dose recognised in many countries as the TDI or reference dose for acrylamide, and is considered to be safe for humans and animals. To ensure that pigs received the appropriate dose of AA, they were weighed once a week. Capsules were administrated orally with feed in the morning for 28 days. After this time, animals of all groups were administered azaperone at 4 mg/kg b.w. I.M. (Stresnil, Jansen Pharmaceutica N.V., Geel, Belgium) and euthanised after 15 min using a lethal dose of 0.6 mL/kg b.w. I.V. of sodium pentobarbital (Morbital, Biowet Puławy, Puławy, Poland).

Sample collection. Two bone marrow samples were taken from all animals: on day 0 (a day before beginning AA administration), and on the 28th day of the experiment. Bone marrow was sampled from the lateral condyle of the femur under local anaesthesia with 1.5 mg/kg b.w. I.M. of xylazine hydrochloride (Rompun, Bayer, Leverkusen, Germany), and 2.2 mg/kg b.w. I.M. of zolazepam and tiletamine (Zoletil, Virbac, Carros, France), using Jamshidi bone marrow needles (Synthes, Salzburg, Austria). Bone marrow samples were collected into two tubes without anticoagulant and used to prepare bone marrow smears.

Cytological evaluation. The smears were stained with the May–Grunwald–Giemsa method and evaluated under an Eclipse 80i light microscope (Nikon, Tokyo, Japan) using a SH-96/24D haematological counter (Alchem, Toruń, Poland). The number of particular cells from the granulocytic cell line were defined per 1,000 bone marrow cells, which is a standard method of evaluation of bone marrow smears.

Statistical analysis. Statistical analysis was performed using ANOVA and post-hoc Bonferroni tests with Statistica 10 software (StatSoft Inc, Tulsa, OK, USA). The differences were considered statistically significant at P ≤ 0.05.

Results

Cytological evaluation of bone marrow smears before AA administration (day 0) did not show any significant differences in the number and morphology of all types of cells between all three groups (Table 1).

Table 1

The average number of cells from the granulocytic cell line per 1,000 porcine bone marrow cells (mean ± SD) before acrylamide administration

Cell typeControl groupLow dose groupHigh dose group
Myeloblasts2.720 ± 0.5042.980 ± 0.3362.820 ± 0.344
Promyelocytes2.080 ± 0.6562.160 ± 0.6722.240 ± 0.192
Myelocyte3.600 ± 0.1203.520 ± 0.1443.200 ± 0.240
Metamyelocyte6.500 ± 1.0006.360 ± 0.5686.360 ± 0.888
Band neutrophils15.180 ± 2.58413.620 ± 1.06414.520 ± 1.576
Neutrophilic granulocytes12.400 ± 2.20013.380 ± 2.22412.820 ± 2.296
Eosinophilic myelocytes1.740 ± 0.4161.320 ± 0.3841.620 ± 0.264
Eosinophilic metamyelocytes1.960 ± 0.5522.260 ± 0.5682.200 ± 0.280
Band eosinophils2.640 ± 1.7282.820 ± 1.6242.780 ± 1.176
Eosinophilic granulocytes1.300 ± 0.7201.560 ± 1.2721.960 ± 1.632
Basophilic myelocytes0.0000.0000.000
Basophilic metamyelocytes0.060 ± 0.0480.020 ± 0.0320.080 ± 0.064
Band basophiles0.280 ± 0.1360.320 ± 0.1840.375 ± 0.225
Basophilic granulocytes0.360 ± 0.1920.280 ± 0.1360.300 ± 0.160
Hypersegmented granulocytes0.0000.0000.000

Total granulocytes50.820 ± 1.18450.600 ± 2.7651.220 ± 0.896

However, there was a significant decrease in the total number of granulocytes in experimental pigs at the end of the experiment (Table 2). The number of myeloblasts, promyelocytes, myelocytes, and basophilic granulocytes declined significantly (P ≤ 0.05) after 28 days of receiving AA (Table 2), the high doses of which affected some cells differently to the low doses. Acrylamide used in low doses decreased the total of neutrophilic granulocytes and band eosinophils. However, used in high doses it increased the numbers of those cells. Basophilic myelocytes appeared only in the control group at the end of the experiment (Fig. 3). Our research also showed very clear changes in the morphology of granulocytes consisting in strong condensation and fragmentation of chromatin in cell nuclei in the HD group (Figs. 1 and 2).

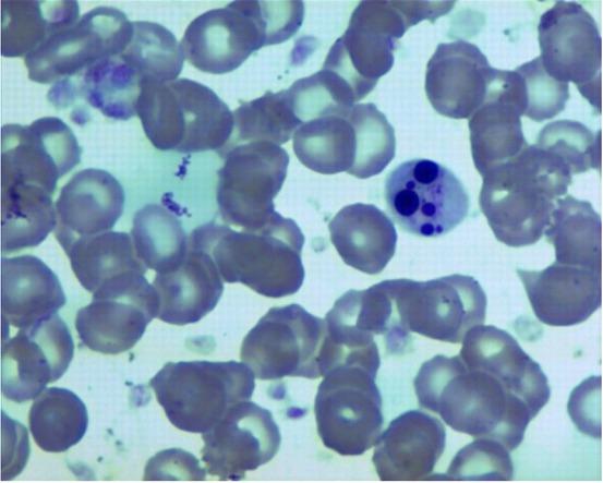
Fig. 1

Representative cytological image of a bone marrow smear stained using the May–Grunwald–Giemsa method showing condensation and fragmentation of the nucleus of a neutrophil in the HD group. Magnification 1,000×

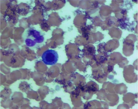
Fig. 2

Representative cytological image of a bone marrow smear stained using the May–Grunwald–Giemsa method showing condensation and fragmentation of the nucleus of a neutrophil in the HD group. Magnification 1,000×

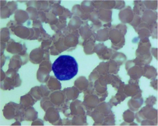
Fig. 3

Representative cytological image of a bone marrow smear stained using the May–Grunwald–Giemsa method showing a basophilic myelocyte in the C group. Magnification 1,000×

Table 2

The average number of cells from the granulocytic cell line per 1,000 porcine bone marrow cells (mean ±SD) on the 28th day of the experiment

Cell typeControl groupLow dose groupHigh dose group
Myeloblasts2.680 ± 0.576(1), (2)1.160 ± 0.512(3)1.080 ± 0.104(4)
Promyelocytes2.100 ± 0.68(5), (6)1.460 ± 0.728(7)1.320 ± 0.504(8)
Myelocyte3.540 ± 0.088(9)2.180 ± 0.896(10), (11)3.300 ± 1.600(12)
Metamyelocyte6.540 ± 1.208(13), (14)3.840 ± 1.568(15), (16)3.120 ± 1.824(17), (18)
Band neutrophils15.940 ± 2.872(19), (20)8.620 ± 1.304(21), (22)6.520 ± 1.944(23), (24)
Neutrophilic granulocytes12.460 ± 2.192(25)10.920 ± 1.104(26)18.680 ± 9.016(27), (28)
Eosinophilic myelocytes1.740 ± 0.4561.180 ± 0.7760.820 ± 0.384
Eosinophilic metamyelocytes2.220 ± 0.4642.320 ± 1.4640.840 ± 0.568
Band eosinophils2.960 ± 1.952(29)3.300 ± 2.200(30)1.420 ± 1.112(31), (32)
Eosinophilic granulocytes2.000 ± 1.480(33)2.460 ± 1.632(34), (35)2.120 ± 1.096(36), (37)
Basophilic myelocytes0.020 ± 0.0320.0000.000
Basophilic metamyelocytes0.080 ± 0.0640.0000.040 ± 0.048
Band basophiles0.260 ± 0.192(38), (39)0.060 ± 0.072(40), (41)1.420 ± 1.112(42), (43)
Basophilic granulocytes0.320 ± 0.184 (44), (45)0.040 ± 0.064(46), (47)0.080 ± 0.064(48), (49)
Hypersegmented granulocytes0.000(50)0.000(51)0.500 ± 0.640(52), (53)

Total granulocytes52.860 ± 2.528(54), (55)37.520 ± 8.784(56)44.680 ± 3.144(57)

Fig. 4

Representative cytological image of a bone marrow smear stained using the May–Grunwald–Giemsa method showing a myeloblast in the LD group. Magnification 1,000×

Discussion

Expansion of knowledge on the impact of repeated exposure of human and animal organisms to acrylamide is paramount, especially in the aspect of interspecies differences in sensitivity to its toxic activity. The sparseness of research on its influence on haematopoiesis occurring in bone marrow prompted the authors of this publication to address this topic and model it in the domestic pig. Due to this species’ phylogenetic similarity to humans, it is often used as an animal model (25). However, most experiments on the effects of AA on mammals were conducted on rodents (4, 5, 19).

Since acrylamide is a compound widely distributed in the environment, most humans are exposed to it in varying amounts in food and other sources such as tobacco smoke (7). The WHO estimated that the total daily intake of AA from food ranges between 0.3 and 0.8 μg/kg b.w. (20). Livestock and pets are also at risk of its negative effects as inhabitants of the same environment as humans, and it could be assumed that daily exposure to AA in animals is similar to that in humans. However, considering humans’ consumption of a wide range of highly processed food, human exposure to acrylamide could be even higher, and its effect on bone marrow even more detrimental. Literature data indicate that besides damaging bone marrow, acrylamide toxicity can manifest in skeletal muscle atrophy, distended urinary bladders, increased prevalence of duct ectasia in preputial glands, haematopoietic cell proliferation in the spleen, hepatocyte degeneration and liver necrosis, mesenteric lymph node cellular infiltration and pituitary gland hyperplasia (23).

Research conducted by Dobrzyńska (4) on mice shows toxic AA activity by dose-dependent increase in DNA damage of somatic and germ cells. The results of the study by Benziane et al. (2) indicate that in Wistar rats, an increase in white blood cell system components, in particular leukocytes, was noted after oral administration of acrylamide. A study by Shler et al. (16) showed the effect of AA on the development of inflammation, manifested by an increase in the number of leukocytes and the development of leucocytosis. An increase in the number of leukocytes and precursor cells of granulocytes may indicate the activation of the immune system and consequent inflammation.

Results regarding acrylamide administration published so far indicate bone marrow hyperplasia in rats (6). Developing anaemia and thrombopaenia as well as an increase in the number of leukocytes were observed in mice in research by Raju et al. (15). However, the results described in this publication indicate decreased activity of the porcine granulocytic cell line under the influence of AA. Only high doses of acrylamide caused an increase in the number of neutrophilic granulocytes and band basophils and the appearance of hypersegmented granulocytes in pigs. The observed changes in the morphology of cells (e.g. chromatin condensation) may be a sign of cell degeneration and activation of an apoptotic pathway. Low doses of AA led to a statistically significant increase in the number of eosinophils; however, despite those increases the total granulocytic count significantly decreased in both experimental groups to resemble bone marrow hypoplasia in the granulocytic cell line. The presented results undoubtedly indicate that regardless of the animal species (pigs, rats, or mice), AA influences the processes of haematopoiesis and it can have either a stimulatory or inhibitory effect on certain cell lines depending on the studied species.

A study by Hammad et al. (8) in rats showed an increase in the number of white blood cells in all groups receiving acrylamide. The authors of the present publication observed a decrease in the total number of granulocytes in pigs. Our research also showed that there were very clear changes in the morphology of granulocytes, consisting in strong condensation and fragmentation of cell nuclei in the group receiving high doses of AA. Such changes are often observed in animals (especially dogs and cats) in the course of inflammation and cancer, particularly leukaemia (1, 17). Changes in the morphology of neutrophils may indicate a significant influence of AA on the processes of haematopoiesis, however, we cannot state whether these changes will generate long-term disturbances of this process in the granulocytic cell line. Therefore, whether AA can cause such strong changes in the morphology of granulocytes as to qualify it to the group of agents that can cause severe disturbances of haematopoiesis is a question to stimulate interest in continued research. However, it is certain that the usage of this compound may adversely affect the human and animal body.

The results obtained during the present investigation clearly show that acrylamide suppresses granulopoiesis, which manifests in a decreased number of most types of cells from the granulocytic cell line and changes in cell morphology. It was seen that different doses can have different effects on certain cell types. Moreover, the results of this research may be a valuable source of information about the harmfulness of acrylamide to the process of granulopoiesis in humans and animals, especially in view of the high utility of the domestic pig as a scientific model adopted for research applicable to humans.

statistically significant difference between control and low dose group (P ≤ 0.05)

statistically significant difference between control and high dose group (P ≤ 0.05)

statistically significant difference between control and low dose group (P ≤ 0.05)

statistically significant difference between control and high dose group (P ≤ 0.05)

statistically significant difference between control and low dose group (P ≤ 0.05)

statistically significant difference between control and high dose group (P ≤ 0.05)

statistically significant difference between control and low dose group (P ≤ 0.05)

statistically significant difference between control and high dose group (P ≤ 0.05)

statistically significant difference between control and low dose group (P ≤ 0.05)

statistically significant difference between control and low dose group (P ≤ 0.05)

statistically significant difference between low dose and high dose group (P ≤ 0.05)

statistically significant difference between low dose and high dose group (P ≤ 0.05)

statistically significant difference between control and low dose group (P ≤ 0.05)

statistically significant difference between control and high dose group (P ≤ 0.05)

statistically significant difference between control and low dose group (P ≤ 0.05)

statistically significant difference between low dose and high dose group (P ≤ 0.05)

statistically significant difference between control and high dose group (P ≤ 0.05)

statistically significant difference between low dose and high dose group (P ≤ 0.05)

statistically significant difference between control and low dose group (P ≤ 0.05)

statistically significant difference between control and high dose group (P ≤ 0.05)

statistically significant difference between control and low dose group (P ≤ 0.05)

statistically significant difference between low dose and high dose group (P ≤ 0.05)

statistically significant difference between control and high dose group (P ≤ 0.05)

statistically significant difference between low dose and high dose group (P ≤ 0.05)

statistically significant difference between control and high dose group (P ≤ 0.05)

statistically significant difference between low dose and high dose group (P ≤ 0.05)

statistically significant difference between control and high dose group (P ≤ 0.05)

statistically significant difference between low dose and high dose group (P ≤ 0.05)

statistically significant difference between control and high dose group (P ≤ 0.05)

statistically significant difference between low dose and high dose group (P ≤ 0.05)

statistically significant difference between control and high dose group (P ≤ 0.05)

statistically significant difference between low dose and high dose group (P ≤ 0.05)

statistically significant difference between control and low dose group (P ≤ 0.05)

statistically significant difference between control and low dose group (P ≤ 0.05)

statistically significant difference between low dose and high dose group (P ≤ 0.05)

statistically significant difference between control and low dose group (P ≤ 0.05)

statistically significant difference between low dose and high dose group (P ≤ 0.05)

statistically significant difference between control and low dose group (P ≤ 0.05)

statistically significant difference between control and high dose group (P ≤ 0.05)

statistically significant difference between control and low dose group (P ≤ 0.05)

statistically significant difference between low dose and high dose group (P ≤ 0.05)

statistically significant difference between control and high dose group (P ≤ 0.05)

statistically significant difference between low dose and high dose group (P ≤ 0.05)

statistically significant difference between control and low dose group (P ≤ 0.05)

statistically significant difference between control and high dose group (P ≤ 0.05)

statistically significant difference between control and low dose group (P ≤ 0.05)

statistically significant difference between low dose and high dose group (P ≤ 0.05)

statistically significant difference between control and high dose group (P ≤ 0.05)

statistically significant difference between low dose and high dose group (P ≤ 0.05)

statistically significant difference between control and high dose group (P ≤ 0.05)

statistically significant difference between low dose and high dose group (P ≤ 0.05)

statistically significant difference between control and high dose group (P ≤ 0.05)

statistically significant difference between low dose and high dose group (P ≤ 0.05)

statistically significant difference between control and low dose group (P ≤ 0.05)

statistically significant difference between control and high dose group (P ≤ 0.05)

statistically significant difference between control and low dose group (P ≤ 0.05)

statistically significant difference between control and high dose group (P ≤ 0.05)

Language: English
Page range: 323 - 327
Submitted on: Feb 1, 2021
Accepted on: Jun 30, 2021
Published on: Jul 22, 2021
Published by: National Veterinary Research Institute in Pulawy
In partnership with: Paradigm Publishing Services
Publication frequency: 4 issues per year

© 2021 Dominika Grzybowska, Anna Snarska, published by National Veterinary Research Institute in Pulawy
This work is licensed under the Creative Commons Attribution-NonCommercial-NoDerivatives 3.0 License.