Trichinellosis is caused by nematodes of the Trichinella genus. At present, nine species and three genotypes are recognised (4). Trichinella spiralis infection is initiated when first-stage larvae (L1) invade the intestinal epithelium. Then, first as larvae and later as adult worms, trichinellids penetrate and move through epithelial cells. In the intestine, female adult worms release newborn larvae that next migrate via different tissue to the skeletal muscle, where they penetrate, occupy and transform myotubes. During trichinellosis, pathological changes are observed in various tissues, including the epithelium of the small intestine and skeletal muscles. In the intestinal stage of infection with T. spiralis, enteropathy occurs, comprising villus atrophy, crypt hyperplasia, goblet and Paneth cell hyperplasia, and infiltration of the mucosa by a variety of inflammatory cells (7). All stages of infection of T. spiralis (L1 larvae, adult worms, and newborn larvae) release substances with the potential to serve as pathogen-associated molecular patterns (PAMPs) (23). Toll-like receptors (TLRs) play an important role in fast activation of the innate immune response to a variety of pathogens by recognising molecular patterns, either PAMPs or damage-associated (DAMPs), the latter being host-derived (1, 21). TLRs are transmembrane proteins that initiate both the inflammatory process and repair mechanisms of tissue or cell damage. Moreover, it has been proposed that TLRs control the switch from the innate to the adaptive immune response (29). In this study, we focused on TLR2, because this receptor is one of the best known and most frequently analysed members of the TLR family. It is very well known that T. spiralis infection modulates the expression of TLR2 during different stages of trichinellosis, therefore we wanted to evaluate how the expression of the TLR2 gene changes at the mRNA and protein levels during the early intestinal stage of experimental trichinellosis. This receptor is unique in that it forms heterodimers with either TLR1 or TLR6 (18).
Recent studies have shown that TLR2 is capable of recognising ligands such as glycosylphosphatidylinositol (GPI) of Plasmodium falciparum, Toxoplasma gondii, Trypanosoma cruzi, and Leishmania spp. (3, 6, 14, 22). Van der Kleij et al. (27) confirmed that the phosphatidylserine fraction of Schistosoma haematobium contains a TLR2 ligand as well as TLR4. Also, adult worms and eggs from Schistosoma mansoni and Schistosoma japonicum express lipids such as lysophosphatidylcholine (LPC), which has been demonstrated to be sensed by TLR2 (15, 31). Interestingly, Taenia crassiceps expresses the same molecule, LPC, which has been reported to be recognised by TLR2 in organisms with a prior episode of schistosomiasis (20).
It is known that during the intestinal phase of infection with T. spiralis, TLRs such as TLR2 and TLR4 are involved in this infection (23). Different T. spiralis developmental stages have diverse impacts on the expression of TLRs. At the intestinal stage of T. spiralis infection, the mRNA expression level of tlr1, tlr2, tlr3, tlr4, and tlr9 is upregulated and tlr5 and tlr6 are downregulated (13). Recent studies by Zhang et al. (32) indicated that TLR2 and TLR4 play important roles in heat shock protein 70 (Ts-Hsp70)-induced protective immunity against T. spiralis infection. The immune response induced by T. spiralis antigens is specified as mixed T helper type 1/type 2. The intestinal phase of T. spiralis infection initially incites a T helper type 1 immune response and next, a type 2 response predominates (10, 12). T. spiralis infection modifies the immune response through increased production of interleukin 4 (IL-4) and 10 (IL-10) and decreased production of interferon-γ (IFN-γ) and interleukin 17 (IL-17) (8). T. spiralis excretory/secretory (ES) products regulate the host immune response at each stage of infection by modulation of TLRs expression (10). This modulated TLR expression during T. spiralis infection could be connected with a T-regulatory (Treg) cell-mediated immune response and production of anti-inflammatory cytokines such as interleukin 10 (IL-10) and transforming growth factor beta (2).
Our previous study confirmed higher TLR4 expression during the intestinal phase of infection with T. spiralis (25). The aim of this study was to assess the influence of T. spiralis on expression of TLR2 at the same stage of infection. It is hoped for our research to provide a better understanding of the significant changes in the expression of TLR2 during the intestinal stage of trichinellosis.
Animals. The material for this study consisted of the small intestines and colon exsected on different days after infection with T. spiralis. The BALB/c mice 20–25 g b.w. and aged 8–10 weeks, were divided into four groups: group I – uninfected–0 days post infection (control group, 0 dpi; n = 6), group II – 4 days post T. spiralis infection (4 dpi, n = 6), group III – 8 days post T. spiralis infection (8 dpi, n = 6), group IV – 16 days post T. spiralis infection (16 dpi, n = 6).
The BALB/c mice, had been bred in our animal laboratory. They were maintained there for the duration of the experiment at approximately constant temperature and in constant humidity, and were provided with circadian light–dark cycles, and free access to standardized granulated food and water.
Parasite and infection. All mice were inoculated orally with about 400 ± 40 T. spiralis larvae (strain ISS003). The method used was described previously by Wojtkowiak-Giera et al. (26). At the designated number of days post infection the animals of the appropriate group were sacrificed by an intraperitoneal overdose of anesthesia using 25 mg/kg ketamine and 2 mg/kg pethidine hydrochloride.
Isolation of RNA, quantitative real-time PCR (qPCR), and immunohistochemical staining (IHC). In brief, total RNA from intestines was extracted using the RNeasy mini Kit (Qiagen, Hilden, Germany) following the manufacturer’s instructions. Then, 1 μg of each RNA sample was reverse transcribed into cDNA using an M-MLV RT Kit 9 (Invitrogen, Carlsbad, CA, USA). Then, the expression of the tlr2 gene in fragments of intestines was measured by quantitative real-time PCR using the LC 480 System and LC 480 SYBR Green I Master (Roche Diagnostics, Mannheim, Germany). The method was applied as described previously by Wojtkowiak-Giera et al. (24). Primer sequences for tlr2 were: forward 5′-AAA GAT GTC GTT CAA GGA GG -3′ and reverse 5′-ATT TGA CGC TTT GTC TGA GG-3′ (product of 161 bp) and for porphobilinogen deaminase (PBGD): forward 5′-TGG ACC TAG TGA GTG TGT TG-3′ and reverse 5′-GGT ACA GTT GCC CAT CTT TC 3′ (product of 138 bp).
The immunohistochemical staining of the fragments of intestine sections was performed using rabbit ABC staining and specific primary rabbit polyclonal antibodies against TLR2 (Santa Cruz Biotechnology, Inc., Santa Cruz, CA, USA) in a final 1:500 dilution as described previously (24).
Statistical analysis. Statistical analyses were performed using Statistica 12.0 (StatSoft, now Tibco, Palo Alto, CA, USA). Arithmetic means (AM) and standard deviations of the AM (SD) were calculated, and the Mann Whitney U test was used to assess the differences between the groups. The significance level was P < 0.05. All experiments were performed at least twice.
Expression of tlr2. This study demonstrated that mRNA expression of the tlr2 gene in the uninfected mice (control group) was at a similar level in the jejunum and colon (Table 1).
Expression of tlr 2 at the mRNA level in the intestines of uninfected and T. spiralis-infected mice determined using qPCR
| Days post infection (dpi) | Expression of mRNA tlr2 in the jejunum | Expression of mRNA tlr2 in the colon |
|---|---|---|
| 0 (uninfected) | 0.7 ± 0.19 | 0.6 ± 0.16 |
| 4 | 1.5 ± 0.24* | 0.7 ± 0.04 |
| 8 | 1.4 ± 0.26* | 0.6 ± 0.07 |
| 16 | 1.4 ± 0.23* | 0.6 ± 0.10 |
Each sample was determined in triplicate. Data represent means ± SD and are representative of six animals in the experiment.* P < 0.05, compared with the control value obtained from uninfected mice (Mann–Whitney U test)
The relative quantification of target gene (tlr2) expression was calculated based on the E-method algorithm (Roche Diagnostics). The results were normalised to the expression of the reference housekeeping gene (pbgd) and compared to appropriate control experiments.
In the jejuna from T. spiralis-infected mice, the level of expression of the tlr2 gene at the mRNA level was statistically significantly higher at 4, 8, and 16 dpi than the level in the uninfected mice jejuna (Table 1).
In the colon of T. spiralis-infected mice, the level of expression of tlr2 was at a similar level to that of the uninfected mice on the same days (Table 1).
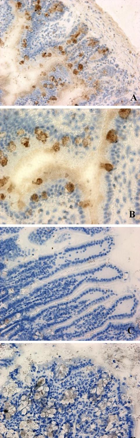
Immunohistochemical examination (IHC). The results of the IHC reactions showed that the TLR2 protein was located in the intestinal epithelial cells and that the intensity of the reaction varied between analysed mice. In the small intestine and colon (Fig. 1C and D, respectively) of mice uninfected with T. spiralis, the reaction was very weak, with only a few epithelial cells revealing light brown pigmentation, so there was considered to be no positive reaction for the presence of TLR2 in intestinal epithelium in control animals.
Fig. 1
Representative microphotography showing expression of TLR2 at the protein level in intestines isolated from control (uninfected) and T. spiralis-infected mice
A – jejunum of T. spiralis-infected mouse at 4 dpi with many brown-stained, TLR2-positive epithelial cells (20×);
B – jejunum of T. spiralis-infected mouse at 8 dpi with similar, strong immunohistochemical positive reaction indicating presence of TLR2 protein in epithelial cells (40×);
C – jejunum from control (uninfected) mouse with almost no positive reaction for TLR2 protein (10×);
D – colon from uninfected mouse also with almost no positive reaction for TLR2 (20x)

After 4 and 8 days of T. spiralis infection (Fig. 1A and B), the expression of TLR2 was strong (brown cells being clearly visible) and located mainly in the crypts and villi of the small intestine.
Fig 2
Trends of changes in mRNA expression of the tlr2 gene in the intestinal phase of T. spiralis infection

The lamina propria of the jejunal mucosa of T. spiralis infected mice (at 4 and 8 dpi) contained a moderate number of TLR2-positive cells (Fig. 1A and B) in contrast to the control mice (Fig. 1C), in which there was no TLR2 immunoexpression in the lamina propria. No positive reaction for the presence of TLR2 was observed in the colon of mice infected with T. spiralis at 4 dpi (not illustrated for this time point, 8, or 16 dpi).
It was reported that expression of TLRs such as TLR2 and TLR4 was detected in intestinal epithelial cell lines (5). Interestingly, differences in expression of TLR2 and TLR4 were found not only between the small intestine and colon, but also between different segments of the colon (17). In a normal specific pathogen-free BALB/c mouse, the expression of a selected receptor (TLR2) varied along the mouse intestinal tract, and mRNA expression of the tlr2 gene was strongly expressed in the medial and proximal segments of the colon (17). This variation is associated with the natural microbial flora of the intestine and recognition of distinct PAMPs by this receptor. TLRs are expressed on the immune and non-immune cells e.g. intestinal endothelial cells.
TLR2 and TLR4 have been considered the important sensors for T. spiralis infection (2). TLR signalling pathways activated different transcription factors which are responsible for inflammatory responses. Myeloid differentiation factor 88 is generally used by all TLRs except TLR3 and activates the transcription of nuclear factor κ-light-chain-enhancer of activated B cells (NF-κB) and mitogen-activated protein kinases (MAPKs), which are responsible for inflammatory cytokines. MyD88 is upregulated during the intestinal and muscular phases of T. spiralis infection (30). In the intestinal phase of T. spiralis infection, the mRNA expression of IFN-γ and IL-12 was upregulated, as in the muscular stage the expression of IL-4, IL-10, and IL-13 also were.
The results of our previous study indicated that the expression of TLR4 in the experimental phase of trichinellosis was significantly higher at 4, 8, and 16 dpi (25). In this study similarly, the expression of TLR2 in the small intestines of T. spiralis-infected mice was upregulated at 4, 8, and 16 dpi compared with the uninfected mice. When observed at 4 and 8 days post T. spiralis infection, the expression of TLR2 was strong and the crypts and villi of the small intestine were the points of strongest concentration.
In addition, we learned the trend of changes in mRNA expression of tlr2 gene in the intestinal stage of T. spiralis infection (Figure 2). During this phase, when acute inflammation of the intestinal mucosa is present, we observed that the expression trends upward until 4 dpi.
To date, there have been few studies on the changes of expression of TLR2 during the intestinal stage of trichinellosis. Kim et al. (13) demonstrated that the tlr2 gene expression level was only upregulated in muscle tissue of infected mice (i.e. in the muscular phase) at 4 weeks after infection, but in infected small intestines it was not significantly changed. The nonconcurrence between these authors’ and our results suggests that the difference in levels of expression of the tlr2 gene is caused by use of dissimilar strains of mice (i.e. C57BL/6) and parasites, different doses of infective larvae, and examination on unconforming days after infection. In addition, Kim et al. (13) examined gene expression only at the mRNA level and not at the protein level. Yu et al. (30) confirmed that the mRNA expression of tlr2 was not significantly changed on examination-scheduled days after T. spiralis infection. Very importantly, Yu et al. (30) examined splenetic rather than intestinal tissue during T. spiralis infection, which may also explain the contradictoriness of those authors’ results and ours.
Han et al. (10) demonstrated that at each stage of infection, T. spiralis ES products may modulate the expression of receptors such as TLR2 and TLR4 and signal pathways in macrophages. Studies by Zhang et al. (32) indicated that T. spiralis heat shock protein 70 (Ts-Hsp 70) activated dendritic cells through TLR2 and TLR4. The results of Ilic et al. (11) indicated that T. spiralis excretory-secretory antigens also engage TLR2 and TLR4 and induce tolerogenic properties in human dendritic cells via both these receptors. Importantly, TLR2 and TLR3 activate myeloid dendritic cells during the immune response in murine schistosomiasis (28). Moreover, the results of Zhang et al. (31) suggest that TLR2 and TLR4 might cause adaptive immune responses from the early stage of S. japonicum infection. Similarly, TLR2 is an important molecule for protective immunity against T. gondii infection (16). The results of Pinlaor et al. (19) demonstrated that Opisthorchis viverrini antigen induced the expression of TLR2, but not TLR4. Also, interesting results from Reyes et al. (20) demonstrated that TLR2 is essential for resistance to Taenia crassiceps infection. The study by Halliday et al. (9) indicated that TLR2 plays a role in recognition and activation of immune responses during Leishmania major infection and, very importantly, that TLR2 might be targeted by adjuvants for use in Leishmania vaccines.
Our results demonstrated that in the intestinal phase of trichinellosis, similarly to what has been suggested in toxoplasmosis or schistosomiasis, the roles of TLRs (TLR2 and TLR4) are essential for induction of the host immune response. This study demonstrated how at the intestinal stage of T. spiralis infection, the expression of TLRs influences the mRNA and protein level. In summary, we confirmed that trichinellosis is associated with changes in TLR2 expression during the intestinal stage.