Diabetes mellitus (DM) is a metabolic disease characterised by hyperglycaemia because of insulin resistance or pancreatic β-cell failure (10). Glucagon-like peptide-1 (GLP-1) is an incretin hormone that mainly stimulates insulin secretion after oral food intake (11). It is a polypeptide synthesised from proglucagon, which is encoded by the glucagon or proglucagon gene (GCG). In addition to being used for synthesising GLP-1, proglucagon, which contains 160 amino acids, is used for synthesising glucagon, glicentin, oxyntomodulin, glicentin-related polypeptide (GRPP), and GLP-2 (13). Biologically active peptides are initially synthesised as protein precursors and are converted to their tissue- or cell-specific forms through post-translational processing (21). Enzymes belonging to the prohormone convertase family (PC1/3, PC2, PC4, PACE4, PC5/6, and PC7) regulate the post-translational processing of endocrine hormone precursors. Tissue-specific expressions of these enzymes result in the synthesis of different hormones from the same precursors. For instance, proglucagon is cleaved to glucagon by PC2 in pancreatic α-cells but is cleaved to GLP-1 by PC1/3 in intestinal L cells (2, 13, 16, 27).
GLP-1 is mainly produced by L cells, which are localised in the distal part of the intestine. The contact between the intestinal epithelium and glucose is important for inducing GLP-1 secretion (8). GLP-1 mainly targets pancreatic islet cells and exerts its effects through specific receptors (8, 30). In addition, GLP-1 exerts different effects on insulin secretion. First, GLP-1 directly stimulates insulin secretion through its receptors on pancreatic β-cells. Second, GLP-1 increases pancreatic β-cell proliferation by stimulating genes involved in cell proliferation and decreases the apoptosis of these cells by inhibiting caspase-3 expression. Furthermore, GLP-1 delays gastric emptying, suppresses glucagon secretion, and decreases gastrointestinal motility and nutrient ingestion (8, 12, 30).
Gastric inhibitor polypeptide and GLP-1 are important for the treatment and pathophysiology of diabetes because they increase postprandial insulin secretion (23). Secretion of GLP-1 increases the synthesis and secretion of insulin and maintains a balance between the apoptosis and proliferation of pancreatic β-cells in the pancreatic island, thus helping tissues to maintain their normal functions. In DM, reduced GLP-1 response to nutrient ingestion decreases insulin secretion (1, 4, 11). Moreover, defects in the post-translational processing of proglucagon in diabetes may reduce GLP-1 response to nutrient uptake. Exogenous GLP-1 administration normalises blood glucose levels in diabetic patients, indicating that GLP-1 plays a very active role both in the treatment and pathogenesis of diabetes (4, 11, 23).
In the present study on healthy and diabetic mouse ileum GLP-1 localisation and GCG gene expression were investigated by performing immunohistochemistry and a reverse transcription-polymerase chain reaction (RT-PCR), respectively.
Streptozotocin administration In this study, 18 male Balb/c mice were divided into three groups, namely a control group (untreated mice), a sham group (mice intraperitoneally injected with 0.1 M Na citrate buffer solution), and a diabetic group (mice intraperitoneally injected with a single 100 mg/kg dose of streptozotocin (STZ) dissolved in 0.1 M Na citrate buffer solution) (14). Blood glucose levels in each group were determined using a hand-held glucometer and were measured after 6 h of fasting and 72 h after the STZ injection. Mice with blood glucose levels of >200 mg/dL were considered to be diabetic (15). Tissue samples were obtained from all mice at 30 days after the STZ injection.
Histological and immunohistochemical analyses Tissue samples obtained from all mice for histological and immunohistochemical analyses were fixed in 10% formalin solution according to a routine histological procedure, and were embedded in paraffin. The paraffin-embedded tissue samples were sectioned to 5 μm thickness and immunohistochemical expression of GLP-1 in the tissue sections was determined using the avidin-biotin-peroxidase complex (ABC). For this purpose, the tissue sections were deparaffinised, rehydrated, and treated with 3% H2O2 to block endogenous peroxidase activity. Next, the sections were incubated in citrate buffer (0.1 M, pH 6.0) in a microwave (800 W for 10 min) and washed with phosphate-buffered solution (PBS; 0.1 M, pH 7.2). The sections were then incubated in a blocking buffer for 10 min, washed with PBS, incubated with anti-GLP-1 antibody (ab22625, dilution 1:500, Abcam, USA) for 1 h at room temperature and washed again with PBS. Next, the sections were incubated with a biotinylated secondary antibody (Ultravision Detection System; Lab Vision, USA) for 30 min, washed with PBS, and incubated with streptavidin-horseradish peroxidase (Lab Vision) for 30 min. Finally, the sections were washed again and treated with 3,3-diaminobenzidine substrate system (DAB, Thermo Scientific, UK). A negative control sample was used to determine specific GLP-1 immunoreactivity. The nuclei were counterstained using haematoxylin and the histological structure of the tissues was determined by performing Crossman’s modified triple staining.
Molecular analysis (RT-PCR) Tissue sections obtained for molecular analysis were placed in TRI reagent (T9424; Sigma, USA) and homogenised. Total RNA was isolated from the tissue sections by using the acid guanidinium-thiocyanate-phenol-chloroform method (5). The amount of RNA in 1 μL of the tissue samples was measured, and mRNA was isolated from the total RNA by using oligo (dT) primers. The obtained mRNA was reverse transcribed to complementary DNA (cDNA) by using dNTPs, Moloney murine leukaemia virus reverse transcriptase enzyme, buffer, RNasin, and nuclease-free water. To obtain cDNAs, the prepared master mix was added to tubes containing the mRNA and the tubes were placed in a thermocycler at 37°C for 1 h, 95°C for 5 min, and 4°C for 10 min. To amplify the target gene in the thermocycler, the obtained cDNAs were added to gene-specific primers (Table 1) and a mixture (BioMix™ Red, cat. no. BIO-25006; Bioline, UK) containing Taq DNA polymerase and dNTPs. The β-actin gene was used as a control. PCR was performed using the following conditions: initial denaturation at 94°C for 2 min; 30 cycles of denaturation at 94°C for 1 min, annealing at 62°C (57°C for β-actin) for 1 min, extension at 72°C for 1 min, and final extension at 72°C for 10 min.
Sequences of β-actin and proglucagon (GCG) specific primer pairs
| Gene | Primers of genes | Reference number | |
|---|---|---|---|
| β-actin 5' | 5'-TCATGAAGTGTGACGTTGACATCCGT-3' | 20 | |
| β-actin 3' | 5'-CCTAGAAGCATTTGCGGTGCACGATG-3' | 20 | |
| Proglucagon | (GCG) 5' | 5'-GACTTCCCAGAAGAAGTCGCCAT-3' | 28 |
| Proglucagon | (GCG) 3' | 5'-CTACGGTTACCAGGTGGTCATGT-3' | 28 |
PCR products obtained were electrophoresed on 1.5% agarose gel at 100 V for 1 h and were visualised by performing ethidium bromide staining. Bands obtained were visualised and photographed (DNR Bio-Imaging Systems, MiniLumi, Israel), and densitometric quantification was performed using ImageJ software version 1.4.3u. Densitometric findings for the GCG gene were normalised using those obtained for the β-actin gene, and the final data were used for performing statistical analysis.
Statistical analysis Using SPSS version 16.0 for Windows, Tamhane’s T2 test of one-way analysis of variance was used followed by multiple comparisons (Kruskal-Wallis test). The data in the tables and text were given as mean ±standard deviation and differences between the groups were considered significant at P < 0.05.
Blood glucose levels Blood glucose levels were higher in diabetic mice than in the mice from the control and sham groups on day 3. However, the blood glucose levels in the mice from the control and sham groups were within the normal range (Table 2).
Blood glucose level (mg/dL) on the 3rd day. Comparison among groups
| Group | N | Blood glucose (mg/dL) minimum | Blood glucose (mg/dL) maximum | Blood glucose (mg/dL) mean ± SD |
|---|---|---|---|---|
| Diabetic | 6 | 240 | 360 | 275.66a ± 45.71 |
| Control | 6 | 74 | 83 | 79.50b ± 3.27 |
| Sham | 6 | 72 | 84 | 79.33b ± 4.13 |
a, b – values with different letters are significantly different (P < 0.05), N – number of mice, SD – standard deviation
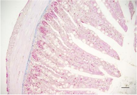
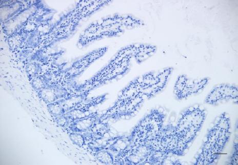
Histological and immunohistochemical analyses Results of the histological analysis showed that the ileum of all mice had four layers from inside to outside: tunica mucosa, tunica submucosa, tunica muscularis, and tunica serosa. The intestinal villi extended into the intestinal lumen and Lieberkühn crypts located in the deep part of the tunica mucosa. Paneth cells, which contain large acidophilic granules, were located in the deep part of the crypts. The tunica mucosa was lined by simple columnar epithelial cells, and goblet cells were present between these epithelial cells. Lamina propria, which is a layer of connective tissue, and muscularis mucosa, which extends as a thin muscular layer into the interior of the villi, were beneath the epithelium. It was seen that the submucosa was loose connective tissue, and the muscularis externa was composed of two thick layers: an inner circular layer and an outer longitudinal one. The outermost layer, i.e. tunica serosa, was covered by a thin membrane (Fig. 1). Results of the histological analysis showed no difference in the histological structures of the ileum of the mice in the diabetic, sham, or control groups.

General view of ileum tissue. Diabetic group. Triple staining. Bar: 100 μm
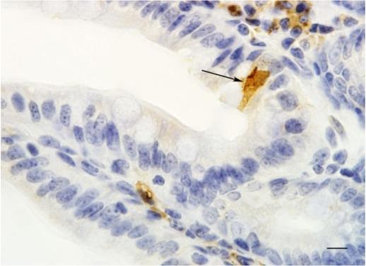
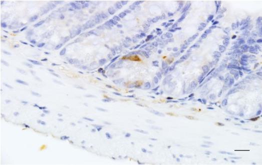
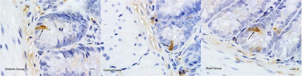
Analysis of GLP-1 immunohistochemical localisation showed that a large number of GLP-1-immunopositive cells (L cells) was present between epithelial cells in the intestinal crypts and a small number of GLP-1-immunopositive cells was present between epithelial cells in the intestinal villi (Fig. 2). L cells were pyramidal in shape, were open-type endocrine cells, and their apical side faced the intestinal lumen (Fig. 3). Strong GLP-1 immunoreactivity was observed in the cytoplasm of L cells but was not observed in the muscularis mucosa or muscularis externa (Fig. 4). The intensity and localisation of GLP-1 immunoreactivity were similar among the mice from the three groups (Fig. 5). Moreover, GLP-1 immunoreactivity was not observed in the negative control sample (Fig. 6).

GLP-1 immunoreactivity. Diabetic group. Arrows show GLP-1 immunoreactivity. Bar: 50 μm

GLP-1 immunoreactivity. Diabetic group. Arrow shows GLP-1 immunoreactivity. Bar: 20 μm

GLP-1 immunoreactivity. Sham group. Bar: 50 μm

GLP-1 Immunoreactivity in diabetic, control, and sham groups. Arrows show GLP-1 immunoreactivity. Bars: 20 μm

Negative control group. Bar: 100 μm
Molecular analysis Bands obtained by performing RT-PCR were analysed densitometrically. Expression levels of GCG gene were normalised using those of the control β-actin gene in all the groups, and obtained data were compared among the groups. The expression levels of GCG gene were statistically similar among the mice in all the groups (P > 0.05; Figs 7 and 8). The expression levels (mean ±SD) of GCG gene were 1.095 ± 0.31 in the diabetic, 1.450 ± 1.03 in the control, and 0.875 ± 0.17 in the sham groups of the mice.

RT PCR results for proglucagon and β-actin genes. M – 100 bp DNA ladder, 1–6 – diabetic group, 7–12 – control group, 12– 18 – sham group

Comparison of mean ±standard deviation among groups in terms of proglucagon gene expression. P > 0.05
GLP-1 produced by the intestinal L cells is an incretin hormone that increases insulin concentration in the plasma after food ingestion. GLP-1 plays an important role in regulating blood glucose levels by enhancing insulin secretion, delaying gastric emptying, and decreasing glucagon secretion (22). In this study, diabetes did not change the expression of the GCG gene which encodes proglucagon. The study also yielded a determination of the location of the GLP-1-secreting L cells in the ileum.
The L cells of the intestinal mucosa, which exclusively express GLP-1, are mainly located in the distal part of the intestine, i.e the ileum and colon. Results of immunohistochemical studies have shown that these cells are mainly present in the ileum and colon of rats, pigs, and humans (6), cats (9), and chickens (29) and are rarely present in the distal part of the jejunum (6). An immunoelectron microscopic study detected L cells containing cytoplasmic secretory granules in the distal part of the ileum (29). The same study showed that the L cells were diffusely located between epithelial cells in the intestinal crypts and epithelial cells at the basis of the intestinal villi (29). The present study showed that GLP-1-immunopositive cells were mostly located between the epithelial cells in the intestinal crypts and were rarely located between the epithelial cells in the intestinal villi.
The L cells present between the epithelial cells of the tunica mucosa are pyramidal in shape and contain several secretory granules. The apical side of these cells extends into the intestinal lumen, because of which these cells are called open-type enteroendocrine cells (1, 6, 9, 29). In the present study, we found that the L cells showed strong GLP-1 immunoreactivity in the cytoplasm, were pyramidal in shape, and were open-type endocrine cells because their apical region extended into the intestinal lumen. The extension of the apical region of the L cells into the intestinal lumen allows these cells to be in direct contact with nutrients, especially glucose.
GLP-1 is synthesised by the intestinal L cells through the post-translational processing of preproglucagon by PC enzymes, preproglucagon being encoded by the GCG gene (1, 7, 8, 13). GLP-1, whose synthesis depends on oral food intake, stimulates pancreatic β-cells to secrete insulin. The incretin effect of GLP-1 is markedly reduced in patients with DM (8, 11), which in turn decreases insulin secretion and promotes hyperglycaemia. Exogenous administration of GLP-1 normalises these parameters in diabetic patients, indicating that GLP-1 plays an important role in the pathogenesis of diabetes (4, 20).
Lugari et al (20) reported that chronic hyperglycaemia and insulin deficiency decrease the secretion of GLP-1 and reduce the sensitivity of the L cells to glucose. In the present study, no difference was observed between the three groups of mice with respect to GCG gene expression. This result suggests that the reduced incretin effect of GLP-1 is associated with the inadequate sensitivity of β-cells (17) and not with the decreased secretion of GLP-1. PC1/3 and GLP-1 plasma levels increase in diabetic patients (25, 26), suggesting that the decreased incretin effect of GLP-1 is not associated with GLP-1 secretion.
Although the incretin effect of GLP-1 decreases in patients with DM, it is unclear whether this decrease causes diabetes (8). The defect in the response to GLP-1 in diabetes may be because of a decrease in the number of β-cells or a disturbance in β-cell function (17, 18). In addition, increased expression and activity of dipeptidyl peptidase-IV (DPP-IV), which degrades circulating GLP-1, may decrease GLP-1 levels in diabetes (24). Some studies have reported that GLP-1 level decreases in diabetes (8, 23, 24); however, some other studies have reported that GLP-1 level increases with this affliction (25, 26). In contrast to both findings, Berghöfer et al (3) reported that incretin hormone (GLP-1) expression did not change in diabetes. In the present study, we observed no difference between the three groups of mice with respect to GCG gene expression and GLP-1 immunoreactivity.
Many factors associated with insulin deficiency or resistance and hyperglycaemia play an important role in the pathogenesis of diabetes. Therefore, it is incorrect to conclude that diabetes is caused by a single factor. Many factors such as defective β-cell function, decreased β-cell number, increased DPP-IV expression or activity, and decreased circulating GLP-1 levels may contribute to the pathogenesis of diabetes.
In conclusion, the present study did not show any difference between the diabetic, sham, or control group mice with respect to GCG gene expression or GLP-1 localisation in the ileum, indicating that diabetes does not affect GCG gene expression or GLP-1 localisation in the ileum. In the future, we aim to examine a GLP-1 receptor.