Oleanders are tolerant evergreen plants which originated from Mediterranean countries. Nerium oleander is a small evergreen tree with a wide geographical and ecological distribution. Its flowers grow in clusters in terminal branches and display various colours including yellow, pink, red, peach, and white. It was reported that all parts of these plants can be toxic to insects, different animals, and humans (18). Oleander poisoning is not infrequent in domestic animals and man, and there have been some cases of accidental toxicosis in children and adults (9). Previously, accidental or experimental oleander toxicosis was described in sheep (1), goats (5), horses (14), donkeys (27), rabbits (3), rats (16, 25), and mice (16, 20).
Many bioactive components have been identified within oleander plants which exhibit important insecticidal, antifungal, antimicrobial, anti-cancer, and anti-inflammatory activities, and show CNS depressant properties, cardiotonic activity, and diuretic effect (10, 13, 18). Cardiac glycosides are responsible for exerting cardiotonic effects and have particular importance in oleander poisoning. This type of bioactive is exemplified by the digitoxigenin, folinerin, and oleandrin in N. oleander. It was reported that the highest concentrations of cardiac glycosides are in the roots and seeds of the common pink oleander (N. oleander), while the highest contents of oleandrin are found in the leaves of the plant. Moreover, N. oleander with red to pink flowers contains higher concentrations of cardiac glycosides than oleanders with white flowers (18). It is believed that the cardenolides present in N. oleander restrain cellular membrane Na+/K+ ATPase, causing an electrolytic disturbance that can interfere with the electrical conductivity of the heart (2). Additionally, because sodium reabsorption in the kidneys is an ATPase-dependent transport process (1), these glycosides can also result in diuretic effects. Four CNS depressant cardenolides have been isolated from the leaves of N. oleander which exhibited CNS depressant activity in mice; they include a new cardenolide, neridiginoside, and three known constituents: neritaloside, nerizoside, and odoroside-H (13). New literature suggested that oleandrin infiltrates through the blood–brain barrier in mice and accumulates in the CNS (21). For these reasons, classic signs of oleander toxicity are primarily heart disorders and then an altered mental state which appears 4 to 15 h after the ingestion (15, 18).
Up to now, the majority of experimental studies have focused on the pathological and biochemical effects of oleander toxicity on the liver and kidneys and reported the changes of alanine aminotransferase (ALT), aspartate aminotransferase (AST), albumin, total protein, blood urea nitrogen (BUN), and creatinine due to liver and kidney injuries (3, 20, 25). Although it seems that this plant severely damages the brain and heart, to date the CK and troponin changes have not been studied. Therefore, the main purpose of the present study was to determine the troponin and CK changes in addition to brain and heart histopathological lesions due to oleander toxicity in Balb/c mice and Wistar rats, and to compare the susceptibility of the animals to experimental toxicity of N. oleander.
The flowers and leaves of N. oleander were taken from plants growing in Yazd province, in the central part of Iran. Initially, fresh plant leaves and flowers were washed, dried at room temperature, and extract was prepared as previously described (8, 16). Finally, the prepared, dried, and lyophilised extract was stored at –20°C until use.
A total of 40 male Balb/c mice and 40 male Wistar rats with age between 9 and 12 weeks and 12 and 16 months, and weight range 25–35 and 250–360 g respectively, were chosen and divided randomly into five groups with eight mice and rats in each. Different doses of the prepared extract of the plant (10, 12.5, 15, and 20 mg/kg b.w.) dissolved in distilled water were administered orally by stomach gavage needle to four experimental groups (group 1, group 2, group 3, and group 4, which received 10, 12.5, 15, and 20 mg/kg b.w of the prepared extract of the plant, respectively), and group 5 was appointed the control which received only saline (16). All animals were inspected every day and their behavioural changes and mortality rate were noted.
After mild anaesthesia with intraperitoneal (IP) injection of 50 mg/kg b.w. of ketamine and 8 mg/kg b.w. of xylazine, blood samples were collected under mild ether anaesthesia for four continuous days and sera were separated for biochemical tests at 750 × g for 15 min. In addition, five mice and rats in each group were sacrificed by cervical dislocation, and after necropsy, samples from the heart and brain were taken for histopathological evaluation. The tissues were fixed in 10% buffered formalin, processed routinely, sectioned, stained with haematoxylin and eosin (H&E), and finally studied microscopically using a light microscope.
Commercial kits (Pars Azmoon Diagnostics, Iran) and a clinical chemistry automatic analyser (Hitachi 912, Roche Diagnostic GmbH, Germany) were used for measurement of serum levels of troponin (Tn I) and CK.
Statistical analysis of the data was performed using SPSS software version 22 for windows (SPSS, USA). The ANOVA and non-parametric tests (Kruskal-Wallis H and Mann-Whitney U) were used for comparison of serum biochemical indicators and histopathological changes between the different groups of mice and rats, and the differences were considered significant with P < 0.05.
The clinical signs of toxicity appeared within 12 h after exposure to the extract both in rats and mice. The signs were more severe at higher doses and included nervous symptoms such as depression, restlessness, lacrimation, incoordination, pawing of the ground, convulsions, head circling, and anorexia. However, no mortality was observed in various groups of rats and mice. The control groups were clinically normal. Macroscopic observation of euthanised and necropsied animals in different groups did not show any lesions in the heart and brain except mild congestion.
In microscopic studies, different histopathological changes were seen in the mentioned tissues. Generally, histopathological lesions in the heart and brain of rats in different experimental groups were more severe and there was significant difference (P < 0.05) in comparison with mice. In rats in group 1, pathological cardiac lesions were mild, while these were severe in groups 2, 3, and 4 and there were significant differences between group 1 and other groups (P < 0.05). The histopathological changes revealed significant differences between group 1 and groups 2, 3, 4, and the control. In counterpoint, there were no significant differences between groups 2, 3, and 4. However, histopathological lesions were mild in all challenged groups of mice and only in group 4 was moderate coagulative necrosis observed (histopathological changes gave no significant differences for observation, P ≥ 0.05). Generally, pathological lesions in the heart included hyperaemia, haemorrhage, and coagulative necrosis without any infiltration of inflammatory cells and signs of pericarditis, myocarditis or endocarditis. In the brain pathological lesions included hyperaemia associated with perivascular and perineuronal oedema, haemorrhage, and liquefactive necrosis. Rats in groups 1 and 2 showed mild and moderate lesions respectively, which indicate significant (P < 0.05) differences between these groups. However, in groups 3 and 4 severe pathological lesions accompanied by focal to multifocal haemorrhages and mild necrosis were observed (Figs 1 and 2), so no significant difference was seen between these two groups. The pathological changes in different groups of mice were mild in the brain and there were no haemorrhages or necrosis. No inflammatory cells were observed in the various parts of the brain in different experimental groups of rats and mice.

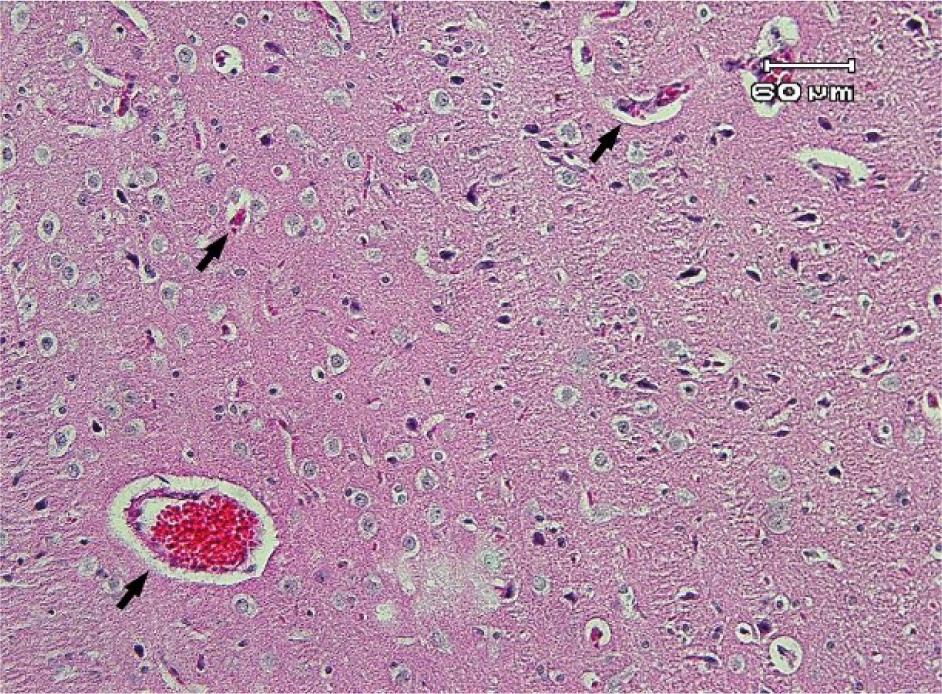
Neruim oleander toxicity; Wistar rat; brain. Severe perivascular and perineuronal oedema (arrows) in group 3 which received 15 mg/kg b.w. of Nerium oleander extract. Scale bar = 60 μm, H&E

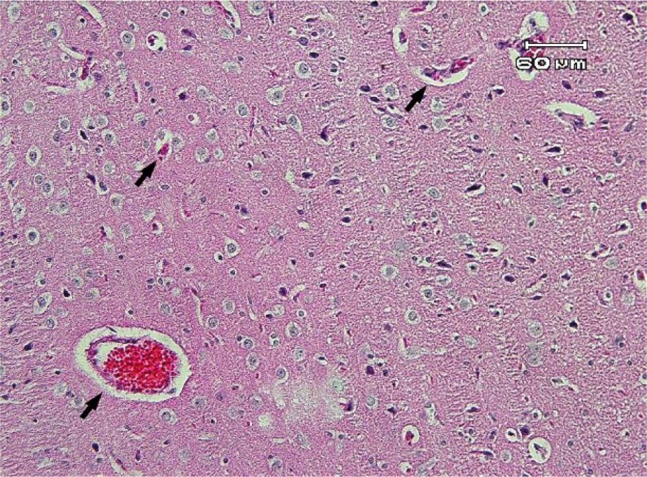
Neruim oleander toxicity; Wistar rat; brain. Focal haemorrhage (right arrows) and mild liqufactive necrosis (left arrow) were observed in group 4 which received 20 mg/kg b.w. of N. oleander extract. Scale bar = 60 μm, H&E
The biochemical findings are presented in Tables 1 and 2. The activity of CK and troponin showed a marked difference (P < 0.05) between mice and rats in each group. The highest value of CK in rats was found in group 1 on the first day and this was 6–7 times higher than the control group. In mice, the highest value of CK was seen in group 3 on the 3rd day. The value was 1.5 times higher than the control group. The highest value of troponin was observed in group 4 on the 4th day, in both mice and rats. In rats it was 11 times higher than the rat control group, while in mice it was 7 times higher than the mice control group. Between different groups of rats and different groups of mice compared to the appropriate control group, no significant differences were seen in values of troponin.
CK activity (u/L, mean ±SEM) on 1 to 4 days after the exposure to different doses of Nerium oleander extract in four experimental groups (Group 1, Group 2, Group 3, and Group 4 which received 10, 12.5, 15, and 20 mg/kg b.w. of the prepared extract of the plant respectively) and the control (group 5) which received only normal saline
| Experimental groups | First day | Second day | Third day | Fourth day | |
|---|---|---|---|---|---|
| 10 mg/kg | BALB/C | 177.5 ± 34.7a(1) | 171.7 ± 36.7c | 175.8 ± 31.4e | 164.3 ± 32.1g |
| Rat | 1176 ± 89.4b | 886 ± 82.4d | 961 ± 78.1f | 615.8 ± 61.9h | |
| 12.5 mg/kg | BALB/C | 219.7 ± 38.4a | 207.9 ± 35.8c | 204.9 ± 33.1e | 171.7 ± 35.9g |
| Rat | 965 ± 81.6b | 966 ± 78.3d | 934 ± 85.2f | 733.5 ± 82.2h | |
| 15 mg/kg | BALB/c | 187.3 ± 32.8a | 206.4 ± 34.2c | 281.6 ± 24.2e | 173.5 ± 33.6g |
| Rat | 815 ± 88.4b | 952 ± 72.6d | 879 ± 79.6f | 586.8 ± 69.4h | |
| 20 mg/kg | BALB/C | 217.8 ± 35.8a | 237.5 ± 32.8c | 231.4 ± 3.8e | 169.4 ± 34.8g |
| Rat | 973 ± 79.7b | 986 ± 81.7d | 981 ± 81.8f | 694.7 ± 71.2h | |
| control | BALB/c | 155.6 ± 9.4a | 158.91 ± 10.3c | 160.0 ± 11.9e | 138.3 ± 3.8g |
| Rat | 183.7 ± 11.6b | 186.42 ± 12.3d | 185.75 ± 13.6f | 144.1 ± 11.4h | |
Troponin content (Ng/mL, mean ±SEM) on 1 to 4 days after the exposure to different doses of Nerium oleander extract in four experimental groups (Group 1, Group 2, Group 3, and Group 4 which received 10, 12.5, 15, and 20 mg/kg b.w. of the prepared extract of the plant, respectively) and the control (group 5) which received only normal saline
| Experimental groups | First day | Second day | Third day | Fourth day | |
|---|---|---|---|---|---|
| 10 mg/kg | BALB/C | 183.3 ± 31.4a(2) | 164.3 ± 32.1c | 171.7 ± 39.3e | 239.7 ± 38.5g |
| Rat | 586.4 ± 69.2b | 615.8 ± 61.9d | 607.4 ± 54.6f | 719.6 ± 92.3h | |
| 12.5 mg/kg | BALB/C | 192.4 ± 34.3a | 171.7 ± 35.9c | 188.4 ± 35.6e | 214.6 ± 41.2g |
| Rat | 609.8 ± 71.7b | 733.5 ± 82.2d | 664.7 ± 72.3f | 687.8 ± 85.1h | |
| 15 mg/kg | BALB/C | 251.2 ± 41.9a | 173.5 ± 33.6c | 207.1 ± 38.7e | 237.2 ± 39.1g |
| Rat | 598.9 ± 75.8b | 586.8 ± 69.4d | 654.3 ± 75.8f | 723.4 ± 78.2h | |
| 20 mg/kg | BALB/C | 234.8 ± 39.2a | 169.4 ± 34.8c | 211.4 ± 36.5e | 266.7 ± 30.9g |
| Rat | 643.6 ± 72.3b | 694.7 ± 71.2d | 677.8 ± 76.9f | 768.7 ± 89.4h | |
| control | BALB/C | 37.3 ± 3.4a | 38.3 ± 3.8c | 38.0 ± 3.2e | 38.0 ± 3.6g |
| Rat | 42.9 ± 10.1b | 44.1 ± 11.4d | 43.7 ± 10.8f | 45.2 ± 12.7h | |
Nerium oleander is a potentially lethal plant when ingested by animals and humans. According to the previous studies, all parts of this plant can be toxic. Even administration of honey or sap produced by oleanders and inhalation of smoke have resulted in poisonings of animals and humans. The previous data stated that domestic livestock and small children are more susceptible to oleander poisoning (18).
When tissues are exposed to damaging conditions, intracellular enzymes leak from injured cells into the systemic blood circulation or may be found in the urine. In general toxicology studies, changes in specific enzyme levels are one of the most common markers of target organ toxicity. The most common measured enzymes are ALT, AST, ALP (alkaline phosphatase ), GGT (γ-glutamyltransferase), GLD (glutamate dehydrogenase), LDH (lactate dehydrogenase), and SDH (succinate dehydrogenase) (17). Previous studies described AST, ALT, creatinine, and BUN changes in oleander toxicity (3, 16, 20, 25). The aim of the present study was to evaluate for the first time the serum changes of troponin and CK biomarkers in experimental oleander poisoning.
Blood analysis for the diagnosis of cardiac injuries is inadequate in animals. Although troponin complex proteins have been identified in animals, there are few reports concerning clinical or paraclinical use of their detected levels. Also, available information in animals has mostly included laboratory animals and has been conducted on the basis of myocardial injury detection in humans (11). Clinical trials in humans determined the serum cardiac troponins as the first biochemical indicator of acute coronary disease (7). Two cardiac troponin isoforms include troponin T (Tn T) and troponin I (Tn I). Detection of both troponins is related to cardiac dysfunction in rabbits and rodents (26). In humans with acute myocardial infarction condition, the Tn level begins to rise 4–12 h after the infarction, and it reaches its peak value 12 to 48 h later (4). Approximately 6%–8% of the cellular cardiac troponin is cytosolically dissolved and unbound in the cytoplasm of human cardiomyocytes (1). Soon after cardiomyocyte injury, some of this free pool is released into the blood stream by interference with cell membrane permeability. However, the majority of Tn I is retained intracellularly because of its structural linkage to the contractile apparatus. Thus, the liberation of Tn I may occur either monophasically, with only a minor increase by reversible cardiomyocyte injury, or polyphasically by more severe myocardial cell injury, affecting the structurally bound portion of Tn I (29). A persistent increase in Tn I concentrations in the blood suggests irreversible and active cardiomyocyte damage (30). According to the present results, increased troponin values showed a persistent significant increase in the concentrations of these enzymes on different days of sampling. These findings demonstrated that the release of Tn I occurred polyphasically with severe injury of the myocardium associated with irreversible and active cardiomyocyte damage. Up to now, information on the level of the troponin in oleander poisoning has not been available.
Cardenolides, as cardiac glycosides, are in common oleander which inhibits and restrains the sodium-potassium pump (ATPase) in the cell membrane, resulting in depletion of intracellular potassium and its leakage and increase in serum (24, 28). Significant increase in the serum sodium and potassium ions was reported in acute oleander toxicity in rabbits in the 24th h after injection compared with the values before injection (3). Older literature reported that heart damage results in increase in the potassium and sodium ions in the poisoned animal serum (8).
The present findings showed that the pathological lesions in the heart were consistent with biochemical changes in the troponin values in mice and rats. Moreover, these results indicated that rats are more susceptible than mice, as more severe pathological lesions and also severe changes in the values of troponin were noted. In experimental oleander poisoning in cattle and albino mice congestion, haemorrhage, coagulative necrosis, fibromyolysis of the cardiac muscle fibres, and cell infiltration between muscle fibres, epicardium, and endocardium was reported (19, 23). Moreover, in another experimental study in broiler chickens, myocardial cell necrosis with hyperaemia and haemorrhage were observed (22).
Creatine kinase biomarker is a cytosolic enzyme whose confounding factors include study condition, route of administration, and animal age. Creatine kinase levels can also be affected by severe exercise and even stress. The plasma of CK is affected by the age of an animal and generally shows higher concentrations in younger animals. It was reported that CK value changes are related to cardiovascular, muscular, and brain injuries (17). Tissues with higher energy levels, such as skeletal muscles and myocardium, are primarily affected. It should be noted that cellular functions and metabolism are often affected by changes in transmembrane ion gradients and electrical potential (6).
In the present study, there was an increase in CK enzyme levels until the fourth day of the experiment. As CK is the most sensitive biomarker of muscle damage, these findings suggest that the muscle damage likely continues. This enzyme increases during a period of several hours after the injury and after 24 to 48 h returns to normal levels. If the activity of this enzyme is consistently high, this indicates continued muscle disease or activity (8). On the other hand, an increase in the levels of this enzyme may be associated with damage to the heart and brain in poisoning as well, which was clearly observed in histopathological results, especially after higher doses in rats. Interestingly, there were more severe changes in the concentrations of this enzyme in rats which showed more severe pathological lesions, particularly in the brain. In different groups of mice, there were mild pathological changes including perivascular and perineuronal oedema and hyperaemia. In groups of rats with higher toxicity, multifocal haemorrhage and liquefactive necrosis were observed. The present biochemical findings are consistent with histopathological investigations. Recently, in an experimental study in albino mice oedema and slight congestion were reported in the brain of affected animals. Up to now, data on the pathological changes of oleander poisoning in the brain has been rare. Moreover, no information about the changes of CK attributed to N. oleander toxicity was found, like troponin, and they were also measured in the current paper for the first time.
In conclusion, the present investigations suggested that rats have a greater susceptibility to neurotoxicity and cardiac toxicity of N. oleander poisoning than mice. In addition, the biochemical changes in CK and troponin values were significant and notable as they were studied for the first time, and the findings can be valuable and useful for researchers in human toxicity (for diagnosis of accidental poisoning or even suicide) and animal poisoning (for diagnosis of accidental poisoning or experimental toxicity).
Different letters in the same column show significant differences between mice and rats (P < 0.05)
Different letters in the same column show significant differences between mice and rats (P < 0.05)