Cardiovascular diseases (CVDs) remain the leading cause of mortality worldwide, accounting for approximately 18 million deaths annually, which represents nearly 30% of total global mortality.1 Among these, acute myocardial infarction (AMI) is a significant contributor, responsible for more than 7 million deaths annually.2 In addition to their impact on mortality, CVDs place a considerable burden on global health systems, accounting for 16% of all disability-adjusted life years.3 The prevalence of CVDs varies geographically, with Europe reporting that cardiovascular diseases account for 45% of all deaths. Eastern European countries experience even higher mortality rates, exceeding 50%, whereas Western European nations have successfully reduced CVD-related mortality through preventive strategies and advanced therapeutic interventions.4 Similarly, in both North and South America, CVDs continue to be the leading cause of death, contributing to over 30% of total mortality.5 In the United States alone, nearly 700,000 deaths per year are attributed to cardiovascular conditions, with AMI playing a particularly significant role, contributing to approximately 800,000 cases annually, of which nearly 250,000 are fatal.6 Future projections indicate that by 2030, the global mortality rate associated with CVDs will exceed 24 million deaths annually, with the highest burden anticipated in developing regions.1
Romania exemplifies a country facing a particularly high burden of cardiovascular mortality, with approximately 60% of deaths attributed to CVDs, a figure significantly higher than the European average.7 The disproportionate impact highlights a critical need for systemic reforms and greater investment in healthcare infrastructure to improve patient outcomes. Although continued advancements in medical technology and public health policies have led to reductions in CVD-related mortality across Europe and North America, countries like Romania require targeted interventions to effectively reduce the impact of CVDs.
The guidelines of the European Society of Cardiology (ESC) recommend primary percutaneous coronary intervention (pPCI) as the first-line treatment for ST-segment elevation MI (STEMI), ideally within 90 to 120 minutes of first medical contact, particularly for patients presenting within 12 hours of symptom onset, and for non-STEMI patients at moderate or high risk who are admitted within 72 hours. Timely access to pPCI has been shown to significantly reduce morbidity and mortality.8 However, disparities in healthcare infrastructure, particularly in regions with limited access to catheterization facilities, have resulted in suboptimal pPCI implementation. Consequently, many STEMI patients in these regions experience delayed or inadequate reperfusion, leading to increased mortality and adverse clinical outcomes.
To address these challenges, Romania implemented a regional STEMI network in 2004, designed to enhance timely access to reperfusion therapy for STEMI patients. This network has served approximately one million inhabitants in the central region of the country and was organized around a central academic hospital with pPCI capabilities, alongside 13 territorial hospitals that lacked catheterization facilities. The goal of this network was to streamline the treatment process for STEMI patients by facilitating rapid diagnosis, optimizing patient transfer protocols, and increasing the availability of evidence-based interventions.
Between January 2004 and December 2011, the regional STEMI registry enrolled 5,899 patients, of whom 2,840 were eligible for reperfusion therapy within 12 hours of symptom onset.9 During this period, in-hospital mortality among patients eligible for reperfusion therapy declined significantly, from 20.73% in 2004 to 6.35% in 2011. This reduction was primarily attributed to increased use of pPCI and the improved coordination of care within the STEMI network. However, mortality remained high among patients presenting beyond the 12-hour window, especially those treated in territorial hospitals. In these settings, in-hospital mortality rates showed only a marginal decline, from 25.91% in 2004 to 24.11% in 2011, indicating that late presenters continued to experience suboptimal outcomes due to limited access to timely interventions. In contrast, patients who received pPCI at the central facility—either through direct admission or transfer from territorial hospitals—had significantly lower mortality rates, which decreased from 15.63% in 2004 to 7.47% in 2011.9 The findings of this study highlight the crucial role of organized regional STEMI care systems in optimizing patient outcomes, reducing delays in treatment, and enhancing the overall quality of cardiovascular care.
Despite these improvements, challenges remain in ensuring equitable access to timely STEMI care, particularly in rural and underserved areas. The persistence of high mortality rates among late presenters and patients treated in non-pPCI-capable hospitals underscores the need for continued investment in healthcare infrastructure, workforce development, and public health education. Strengthening pre-hospital care systems, expanding emergency medical services, and increasing public awareness regarding the importance of early symptom recognition and timely medical intervention are critical components of an effective strategy to further reduce STEMI-related mortality.
This study aimed to evaluate temporal trends in the management of AMI within a regional network over three distinct time periods and to concurrently assess the incidence of stroke among these patients.
This single-center retrospective analysis was conducted at the Cardiology Clinic within the County Emergency Clinical Hospital in Târgu Mureș. The clinic serves as a vital hub for the first regional STEMI network established in Romania. The network covers an extensive area of more than 250 km2 and serves a population of more than one million residents in central Romania.9
The study included 722 adult patients admitted for AMI in the first quarter (Q1) of 2022, 2023 and 2024 to the Cardiology Clinic of the County Emergency Clinical Hospital Târgu Mureș. Based on ESC criteria, patients were classified as having either STEMI or non-STEMI.8 Data were collected on various aspects of patient care, including percutaneous coronary interventions, pre-hospital evaluations, pharmacological treatments, and histories of stroke. Additionally, information was gathered regarding the occurrence of stroke during hospitalization for those admitted with AMI. This paper also discusses a specific case from the study involving a patient who experienced a stroke in conjunction with acute coronary syndrome.
Statistical analysis was performed using GraphPad In-Stat v.3.10 (GraphPad Software). Data were expressed as percentages to facilitate comparison across groups. Differences between time periods were assessed using the chi-squared test. A significance level of α = 0.05 was used to determine statistical significance.
This study analyzed trends in the management of AMI over three consecutive first quarters (Q1 2022, Q1 2023, Q1 2024), including a total of 722 patients. The distribution of patients by year was as follows: 225 in Q1 2022, 239 in Q1 2023, and 258 in Q1 2024. Among these, the number of STEMI cases was 104 in 2022, 135 in 2023, and 134 in 2024 (Figure 1).

Trends in the type of AMI presentation over the three timespans
A significant increase was observed in the proportion of STEMI patients who received pPCI, rising from 90.38% in Q1 2022 to 97.01% in Q1 2024 (p = 0.03). This was accompanied by a highly significant improvement in the timely administration of pPCI within 120 minutes of symptom onset, increasing from 40.38% to 70.09% (p < 0.0001). For NSTEMI patients, the proportion undergoing coronary angiography within 24 hours also increased, from 59.50% to 64.52%, but this change was not statistically significant (p = 0.72). Radial access was consistently used at high rates throughout the study period (ranging from 93.43% to 95.95%), with no significant variation observed (p = 0.49). A significant improvement was noted in the proportion of patients undergoing LDL-cholesterol evaluation (from 67.56% to 98.35%; p < 0.0001).
The percentage of patients discharged on dual antiplatelet therapy remained high throughout the study period, ranging from 95.28% to 97.33%, but the differences between quarters were not statistically significant (p = 0.44; Figure 2A). Similarly, the use of high-intensity statins at discharge was consistently high (97.27% to 98.67%), with no statistically significant variation observed across the three periods (p = 0.56; Figure 2B). Among patients with left ventricular ejection fraction (LVEF) < 40%, a statistically significant increase was observed in the prescription of ACE inhibitors or ARBs, rising from 73.33% to 80.17% (p = 0.02; Figure 2C). A similar statistically significant trend was noted in beta-blocker use within this subgroup, increasing from 84.89% to 91.60% (p = 0.04; Figure 2D).

Differences in the management of patients with AMI over the three timespans. A. Percentage of patients discharged on dual antiplatelet therapy. B. Percentage of patients discharged on high intensity statin. C. Percentage of patients with LVEF <40% discharged on ACEI or ARB. D. Percentage of patients with LVEF <40% discharged on beta-blockers.
The study also evaluated stroke incidence during Q1 of 2022, 2023, and 2024. A history of stroke prior to admission was reported in 47 patients (20.88%) in 2022, 41 patients (17.15%) in 2023, and 58 patients (22.48%) in 2024. In-hospital stroke events during hospitalization occurred in 3 patients (1.33%) in 2022, 2 patients (0.84%) in 2023, and 3 patients (1.16%) in 2024.
We present the case of a 55-year-old female patient with a history of hypertension and diabetes, admitted to the Cardiology Clinic of the Mureș County Emergency Clinical Hospital for AMI. In accordance with ESC guidelines for AMI, the patient underwent emergency coronary angiography and revascularization, with the implantation of a drug-eluting stent in the left anterior descending artery (Figure 3).

Left coronary artery angiography. A. Acute thrombosis on the left descending anterior artery. B. Post drug eluting stent implantation.
During hospitalization, the patient developed hemodynamic and arrhythmic complications, including atrial fibrillation with a rapid ventricular rate, for which anticoagulant and antiarrhythmic treatment was initiated. She also experienced episodes of hypotension and metabolic imbalances, including fluctuating blood glucose levels. Routine echocardiography revealed the presence of a thrombus in the left ventricular apex, leading to the continuation of low-molecular-weight heparin treatment.
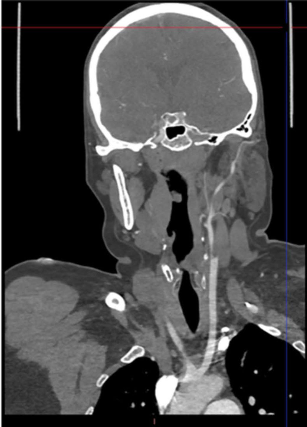
On the fourth day of hospitalization, the patient experienced sudden neurological deterioration. Emergency echocardiography indicated embolization of the thrombus from the left ventricular apex. Cerebral CT angiography revealed an acute thrombotic occlusion of the left internal carotid artery. In accordance with the European Stroke Organization guidelines for patients with acute ischemic stroke caused by large vessel occlusion within 6 hours of symptom onset, emergency thrombectomy was performed, resulting in successful extraction of the thrombotic material (Figure 4 A,B). A native CT scan performed 24 hours post-intervention showed no evidence of cerebral ischemic lesions (Figure 5). Echocardiography confirmed the absence of the apical thrombus in the left ventricle.

Emergency thrombectomy procedure

CT scan performed 24 hours post thrombectomy showing no evidence of cerebral ischemic lesions
At the 1-month follow-up, the patient showed favorable progress, with complete neurological and cardiac recovery under a comprehensive anti-ischemic and heart failure treatment.
This case illustrates the complex interplay between AMI and stroke, emphasizing the importance of vigilant monitoring and timely intervention to prevent potentially life-threatening complications. These results highlight substantial advancements in the management of AMI, particularly in timely revascularization, while also underscoring the ongoing need to address stroke risk in this vulnerable patient population.
The main findings of this study demonstrate significant improvements in several key aspects of AMI management within a regional network over three consecutive first quarters (Q1 2022–2024). Notably, the rate of pPCI among STEMI patients increased significantly. Although the proportion of NSTEMI patients receiving timely coronary angiography also increased, this change did not reach statistical significance. In patients with LVEF < 40%, significant improvements in pharmacological management were observed, with statistically significant increases in the prescription of ACE inhibitors/ARBs and beta-blockers.
The COVID-19 pandemic, which began in late 2019 and rapidly spread worldwide, profoundly affected healthcare systems across the globe. Among its numerous consequences, the pandemic significantly disrupted established networks for managing life-threatening conditions such as acute coronary syndromes and strokes. Since its onset, an unexplained 25–48% reduction in acute coronary syndrome presentations was reported in both Europe10,11 and the United States,12 despite continued STEMI incidence. This trend, observed consistently across six continents, is supported by data from European13 and US registries,14 which report a 25–40% average decline in STEMI activations during the pandemic.
The primary drivers of this decline appear to be fear of infection and insufficient public awareness regarding the urgency of acute coronary syndrome. Additionally, strict social distancing measures implemented by governments unintentionally contributed to the issue, as many patients hesitated to seek emergency care due to concerns about contracting COVID-19 or feeling like a burden on an already overwhelmed healthcare system. Fear of hospital-based contagion likely discouraged the use of emergency medical services, while the healthcare system's prioritization of COVID-19 cases and reallocation of resources further exacerbated treatment delays. This systemic shift promoted a tendency to defer less urgent cases, both by patients and within the healthcare infrastructure.
Although the number of patients admitted with suspected AMI decreased during the pandemic,15 significant delays were observed in treatment timelines. Prolonged diagnostic and door-to-balloon times contributed to extended total ischemic times, with data indicating an increase in the 75th percentile from 3 hours to over 12 hours.16,17 A large international multicenter registry also found that the pandemic was associated with significantly longer ischemia times, with higher rates of late presentation and door-to-balloon times beyond 30 minutes, both of which contribute to longer ischemia times. The longer door-to-balloon time may be explained by organizational challenges caused by specific COVID-19 screening protocols and the need to prepare catheterization equipment and personnel under specific safety procedures.18 As a result, patients often presented in worse condition, with higher serum troponin levels, a lower LVEF, a higher intracoronary thrombotic burden, more in-hospital complications, and higher mortality rates.19 These findings underscore the critical impact of the pandemic on timely STEMI management and highlight the need for strategies to address such disruptions in future healthcare crises.
During the pandemic, STEMI networks experienced major disruptions due to resource reallocation, delayed patient presentations, and prolonged treatment timelines. However, this challenging period also provided valuable lessons, spurring innovations and systemic changes aimed at strengthening these networks in the post-pandemic era.
One of the most notable advancements has been the integration of telemedicine into STEMI care pathways. Telemedicine platforms enable rapid triage and remote consultation, ensuring that patients receive timely advice and that emergency medical services are deployed efficiently. It is well known that telemedicine is associated with long-term improvements in patient outcomes when guideline-based strategies to reduce door-to-balloon time are systematically adopted.20
The improvement of STEMI networks after the COVID-19 pandemic demonstrates the healthcare system's capacity to adapt and evolve in response to crisis. By leveraging technological innovations, enhancing infrastructure, educating the public, supporting healthcare providers, and implementing policy reforms, STEMI networks have become more resilient and efficient.
Stroke networks are crucial for improving outcomes in acute stroke management across the European Union (EU). The EU has actively promoted the development of stroke units and networks through various initiatives, emphasizing the importance of timely interventions such as thrombolysis and thrombectomy. These networks facilitate the transfer of patients to specialized centers equipped to provide comprehensive stroke care, including neuroimaging, neurosurgical expertise, and rehabilitation services. The effectiveness of such networks is demonstrably linked to reduced mortality and disability rates among stroke patients.21,22 However, implementation and effectiveness vary significantly across EU member states owing to differences in healthcare systems, resource allocation, and geographical factors.23
Romania, like many other Eastern European countries, faces unique challenges in developing and maintaining robust stroke networks. Although significant progress has been made in establishing stroke units and improving access to acute treatments, disparities persist in the quality and availability of care across different regions. Factors contributing to these disparities include unequal distribution of healthcare resources, limited access to specialized personnel (neurologists, neuroradiologists), and infrastructural limitations in certain areas. Additionally, geographical distances involved in transferring patients to specialized stroke units can delay time-critical interventions.24
Improving stroke care in Romania requires a multipronged approach. Investment in telemedicine technologies could help bridge geographical disparities by connecting remote areas with specialized stroke centers. The development of national guidelines and quality indicators, along with robust data collection and monitoring systems, is essential for evaluating the effectiveness of interventions and identify areas for improvement. By learning from successful stroke network models in other EU countries and adapting best practices to its specific context, Romania can significantly improve stroke care and reduce the burden of stroke on its population.
The ‘time is tissue’ concept is a cornerstone of care in both myocardial infarction and stroke therapy, emphasizing the importance of acting as quickly as possible to save the maximum amount of tissue. In AMI, every minute of delay in restoring blood flow results in substantial myocardial tissue loss. pPCI is the gold standard for reperfusion in patients with STEMI within 12 hours of symptom onset. However, if the expected time from STEMI diagnosis to mechanical reperfusion is ≥ 120 minutes, fibrinolysis is recommended as the initial treatment, followed by coronary angiography within 24 hours.25 Several studies have shown that the ‘onset-to-door’ time, the ‘door-to-balloon’ time in PCI, or the ‘door-to-needle’ time in fibrinolysis are directly correlated with the extent of tissue damage and clinical outcomes, including mortality and the risk of heart failure.26 Park et al. analyzed 5,243 patients with STEMI and found that a 1-hour delay of onset-to-door time was associated with a 4% increase in 1-year mortality, and a 1-hour delay of door-to-balloon time resulted in a 55% increase in 1-year mortality after STEMI.27 A pre-established regional network facilitates the implementation of an optimal strategy, enabling a faster approach and timely transfer to an appropriate revascularization center, thereby minimizing myocardial tissue damage.28
Similarly, early intervention in ischemic stroke significantly improves functional outcomes, reducing disability and enhancing long-term independence. The ‘time is brain’ concept, modeled after the “time is muscle” principle in acute coronary care, is an urgent call to action in acute stroke management. With each passing minute that a large-vessel ischemic stroke remains untreated, the average patient loses 1.9 million neurons, 13.8 billion synapses, and 12 km (7 miles) of axonal fibers. In just 1 hour without treatment, the brain suffers neuronal loss equivalent to nearly 3.6 years of normal aging.29 This rapid neuronal damage highlights the urgency of restoring cerebral perfusion as quickly as possible. The therapeutic window for intravenous thrombolysis is generally 4.5 hours from symptom onset, whereas thrombectomy is effective up to 24 hours in select patients.30 The American Heart Association has recommended arterial thrombolysis as a viable alternative therapy for stroke treatment. Many stroke centers now offer arterial thrombolysis to patients experiencing a major acute stroke within a 6-hour window. However, the precise molecular mechanisms driving arterial thrombolysis remain to be fully elucidated.8
This study demonstrates significant improvements in timely management of AMI within a regional network, highlighting the effectiveness of integrated care. However, continued efforts are needed to address disparities and to optimize stroke prevention and management within this framework, reinforcing the critical ‘time is tissue’ principle for both AMI and stroke care.