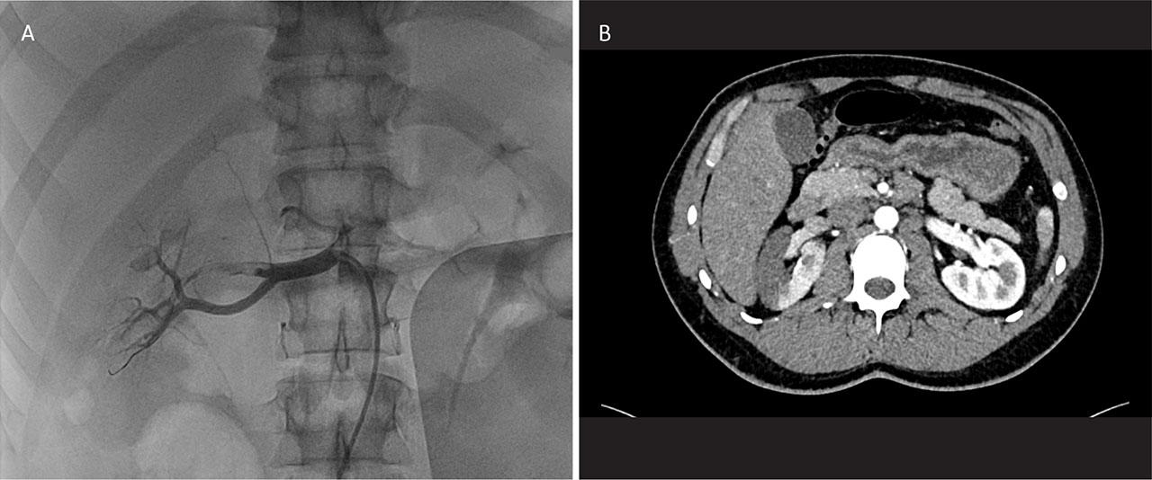
FIGURE 1.

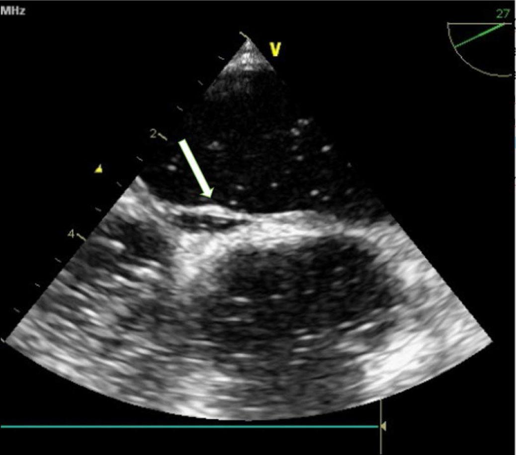
FIGURE 2.

FIGURE 3.




© 2025 Florin Buicu, Constantin Țolescu, Monica Chițu, published by Asociatia Transilvana de Terapie Transvasculara si Transplant KARDIOMED
This work is licensed under the Creative Commons Attribution-NonCommercial-NoDerivatives 3.0 License.