In emergency medicine, it is essential to deal with shocks, among which obstructive shock, such as cardiac tamponade, tension pneumothorax, and pulmonary thromboembolism, can improve the prognosis if the cause of the shock is released at an early stage. Therefore, it is important for emergency physicians to identify obstructive shock. In general, when an acute-onset pericardial effusion is detected, acute aortic dissection or cardiac rupture associated with acute myocardial infarction is suspected first.1 On the contrary, cancerous cardiac tamponade is often subacute in nature, but it is also an oncological emergency as the patient may be brought to the emergency department in an acute setting.2 Therefore, it is important for emergency physicians to distinguish between obstructive shock and cancerous cardiac tamponade. In this report, we describe a case of acute transformation of myelodysplastic syndrome (MDS) into cancerous cardiac tamponade in the pericardial cavity with a subacute course.
Current medical history. The patient was diagnosed with MDS (Revised International Prognostic Scoring System, high risk group; score 5) 7 months prior to presentation to our hospital, and had received a total of six cycles of chemotherapy with azacitidine from 4 months until 10 days prior to presentation. On the day before presentation, the patient was at rest and experienced a sudden onset of dyspnea, which subsequently resolved on its own. On the day the patient presented at the hospital, a family member found him unconscious at the hospital entrance and called for an ambulance. The patient remained unconscious for approximately 3 min. By the time the emergency medical team arrived, his condition had improved to a Glasgow Coma Scale (GCS) score of E3V5M6.
History. Bladder cancer (after transurethral resection of bladder tumor), sigmoid colon cancer (after sigmoid colon resection), and hypertension.
Medications history. No medications of note.
On arrival, the patient had a GCS score of E4V5M6, temperature of 35.5 °C, pulse of 140 bpm (irregular), blood pressure of 120/80 mmHg (no difference between right and left), respiratory rate of 30 breaths/min, and oxygen saturation of 95% (oxygen 8 L/min). The pupils were 3 mm in diameter, bilaterally rapid, and there was no obvious paralysis of the extremities. The jugular vein was distended. There were no heart murmurs or rales in respiratory sounds.
Blood test findings at the time of transport. Pancytopenia was observed, and blasts were detected in the peripheral blood. Hepatic and renal dysfunction was observed. There was no elevation of myocardial desensitization enzymes. Arterial blood gas analysis (FiO2 0.8) showed lactic acidosis (Table 1).
Laboratory findings at admission
| WBC | 2,100/μl | T-Bil | 3.0 U/L | pH | 7.21 |
| Seg | 28% | AST | 1,440 U/L | PaCO2 | 19 mmHg |
| Band | 8.0% | ALT | 1,391 U/L | PaO2 | 169 mmHg |
| Lymph | 58% | LDH | 2,076 U/L | HCO3− | 7.9 mmol/L |
| Mono | 2.5% | ALP | 276 U/L | Lactate | 140 mg/dL |
| Blast | 1.0% | GGT | 41 U/L | ||
| Hb | 8.0 g/dl | BUN | 57.5 mg/dl | ||
| Plt | 8.2 × 104/μl | Cr | 2.9 mg/dl | ||
| APTT | 34.2 s | Na | 142 mEq/L | ||
| PT-INR | 1.98 | K | 5.2 mEq/L | ||
| D-dimer | 8.9 μg/dl | CRP | 5.09 mg/dlL | ||
| CK | 166 U/L | ||||
| CK-MB | 106 U/L | ||||
| TropT | 0.08 ng/ml | ||||
| BNP | 153 pg/ml |
ALP, alkaline phosphatase; ALT, alanine aminotransferase; APTT, activated partial thromboplastin time; AST, aspartate aminotransferase; Band, band cells; BNP, brain natriuretic peptide; BUN, blood urea nitrogen; CK, creatine kinase; Cr, creatinine; CRP, C-reactive protein; GGT, gamma glutamyl transpeptidase; Hb, hemoglobin; K, potassium; LDH, lactate dehydrogenase; Lymph, lymphocyte; Mono, monocyte; Na, sodium; Plt, platelet count; PT-INR, prothrombin time international normalized ratio; Seg, segmented cell; T-Bil, total bilirubin; TropT, troponin-t; WBC, white blood cells
Initial room progress. The 12-lead electrocardiogram showed no obvious ST-segment elevation. Echocardiography showed circumferential pericardial effusion but no obvious aortic flap (Figure 1A,B). The left ventricular ejection fraction was approximately 60%, and there was no obvious regional wall motion abnormality. Contrast-enhanced computed tomography (CT) showed no evidence of cardiac wall thinning or aortic dissection, but a large amount of pericardial effusion was observed. A high CT value of 40 HU was observed, suggesting a hematogenous pericardial effusion. The patient also had bilateral pleural effusions. After returning to the room, he was diagnosed with obstructive shock due to cardiac tamponade because of a rapid decrease in blood pressure and progressive metabolic acidosis. After tracheal intubation and pericardiocentesis under ventilatory control, 800 ml of bloody pericardial fluid was removed, and the blood pressure increased thereafter. As differential diagnoses of cardiac tamponade caused by bloody pericardial fluid, we considered and ruled out acute aortic dissection and acute myocardial infarction based on various examination findings. Comparison of blood images of the pericardial fluid and peripheral blood showed a high ratio of blasts in the pericardial fluid, suggesting that the MDS had acutely metastasized in the pericardial space, leading to cancerous pericardial effusion and cancerous cardiac tamponade. A pericardial drain was placed, and the patient was admitted to the intensive care unit.

A,B, Echocardiography on arrival to the hospital. A, Parasternal left border left ventricular short-axis image showing pericardial effusion (red arrow). B, The apical tetralogy of the pericardium also shows pericardial effusion (red arrow).
Post-hospitalization course. Cytology of the pericardial fluid collected on day 1 showed scattered myelomonocytic blast cells, scattered blast-like cells in the cell block, and positive myeloperoxidase staining (Figure 2A–D). Pericardial fluid was within the physiological range, and drainage decreased. Therefore, the pericardial drain was removed on day 4. On day 5, iliac bone marrow cytology showed no increase in immature cells compared to the results obtained 8 months prior to presentation. Therefore, it was determined that there was no acute transformation of MDS in the bone marrow of the iliac bone. As for the chromosome examination results, there were 6 out of 20 normal cells in the bone marrow examination 8 months before presentation, and the examination on day 5 showed a decrease to 1 out of 20 cells and some additional chromosomal abnormalities such as excess chromosome 3 long arm region. Chromosome examination of the pericardial fluid collected on day 1 showed zero normal cells and a chromosome 19 trisomy, with similar chromosomal abnormalities. These results suggested that MDS had undergone acute transformation in the pericardial sac cavity.

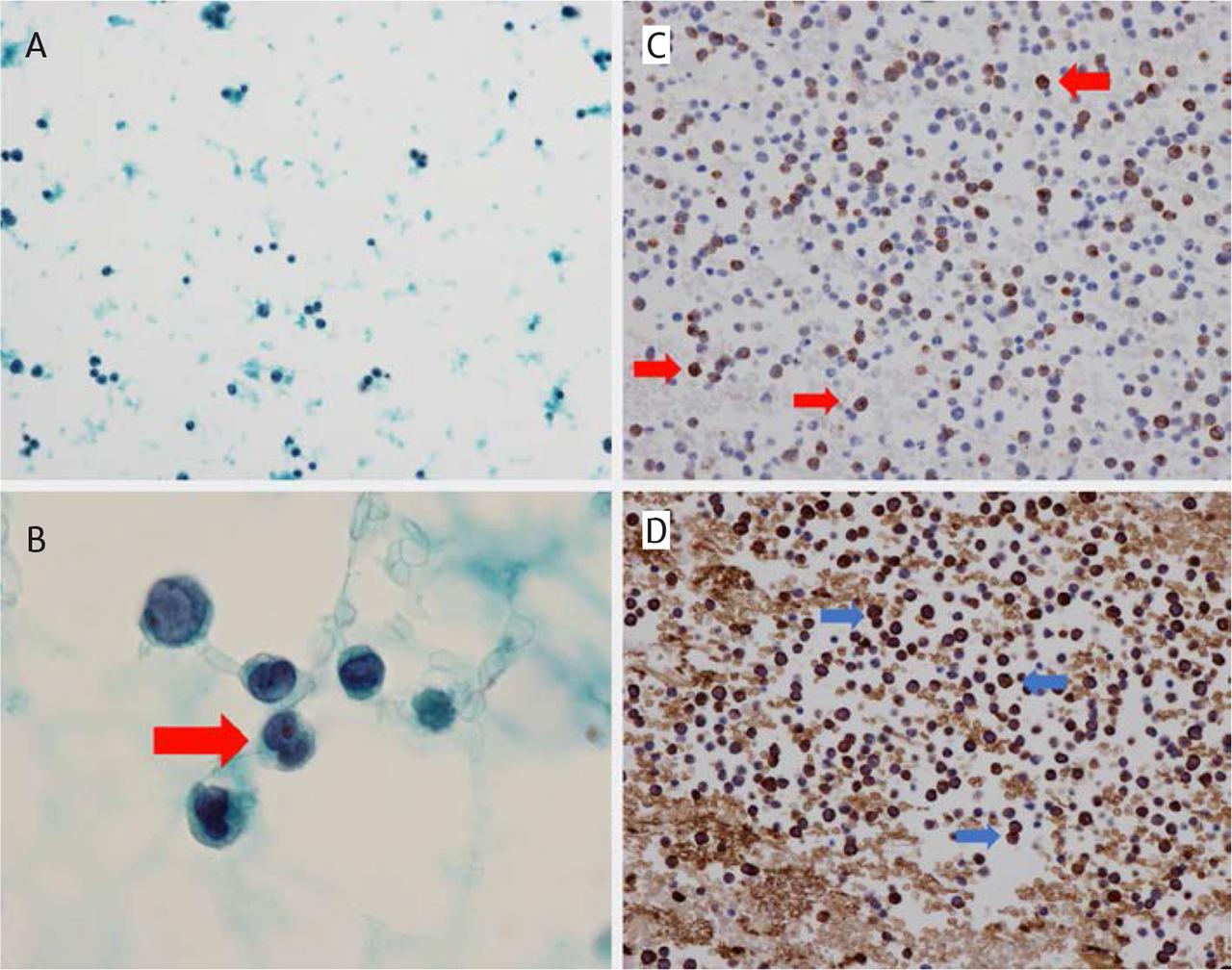
A–D, Cytology of pericardial effusion and cell block at the time of presentation. A,B, Atypical cells are scattered, and the possibility of myelomonocytic blasts (red arrows) is suspected, suggesting the possibility of acute MDS transformation. C,D, In the cell block, numerous blast-like cells with irregular nuclei are seen. Many are CD34 positive (stained brown, red arrow) and MPO positive (stained brown, blue arrow), consistent with acute myeloid leukemia.
On day 14, paroxysmal atrial fibrillation appeared, and echocardiography revealed a re-exacerbation of the pericardial effusion. During the examination, the patient suffered cardiac arrest, and resuscitation was performed. When pericardial drainage was reinserted, a total of 480 ml of bloody pericardial effusion was removed, suggesting cardiac arrest due to recurrent cardiac tamponade. The patient died on day 15 due to multiple organ failure.
Autopsy results. A diffuse, greenish-white neoplastic lesion approximately 5 mm wide and circumferential to the epicardium was observed (Figure 3), with a histological infiltrate of atypical cells with a high nucleocytoplasmic ratio. The epicardial dysplastic cells were mostly MPO(+), CD34(+), c-kit(−), p53(−), CD68(Kp-1)(−), CD68(PG-M1) (−), CD4(+), CD15(+), CD99(−), and TdT(−), suggesting a myelosarcoma.

Cross-section of the heart at autopsy. Diffuse greenish-white neoplastic lesions extending circumferentially and diffusely around the pericardial epicardium (red arrow).
The presentation of this case has been approved by the ethics committee of the author’s institution. Written consent for publication was obtained from the patient’s family.
This is an extremely rare case of cancerous cardiac tamponade due to acute transformation of MDS in the pericardial space, rather than cardiac rupture due to acute aortic dissection or acute myocardial infarction, although the patient had an acute onset history and a large amount of bloody pericardial effusion.
MDS is characterized by hematopoietic stem cell tumorigenesis with preserved differentiation potential into three blood cell lineages, hemopenia with morphologic abnormalities, and progression to secondary acute myelogenous leukemia.3 Conversely, acute transformation of MDS is characterized by the accumulation of mutations in many oncogenes and tumor suppressor genes, progression of the disease stage, and conversion to acute leukemia.3 In the present case, the pericardial fluid showed a large number of blasts and chromosomal abnormalities that were not seen in the bone marrow, suggesting that the acute transformation occurred in the pericardial sac and not in the bone marrow. Autopsy results also revealed the presence of a myelosarcoma in the epicardium. Myelosarcoma is a myeloproliferative disease that develops from myeloblasts or immature bone marrow cells and forms an extramedullary mass.4 Myelosarcomas are classified by pathogenesis into precursor to acute myelogenous leukemia, postacute myelogenous leukemia, precursor to relapse after acute myelogenous leukemia remission, and acute transformation of chronic myelogenous leukemia or MDS.3 The first type is the most common, but this case is considered to be of the last type. MDS-forming cardiac myelosarcoma itself is extremely rare,5 and in this case, it even led to cardiac tamponade.
Although there are scattered reports of cardiac myelosarcoma, we were able to find only two cases that were associated with acute transformation of MDS (Table 2).5,6 Matkowskyj et al. reported a case of dyspnea and hospitalization 2 years after chemotherapy for anaplastic oligodendroglioma, diagnosed as therapy-related MDS in a patient who died of acute myocarditis and cardiac tamponade after several days of treatment.5 The autopsy results led to a diagnosis of cardiac myelosarcoma. In this case, the patient had pericardiocentesis due to cardiac tamponade, but no blasts were seen in the pericardial fluid. Mateen et al. reported the case of a patient with a diagnosis of refractory anemia with excess blasts who presented to the emergency department with fever and died of multiple organ failure after an acute course of 5 days.6 The patient did not develop cardiac tamponade, and no pericardiocentesis was performed. This case was also diagnosed as cardiac myelosarcoma at autopsy. Neither case was diagnosed with acute transformation of MDS within the pericardial space during survival. In this case, blasts were observed in the pericardial fluid, and we believe that future case studies are needed to determine a treatment strategy for patients with suspected acute transformation of MDS into the pericardial space and cardiac myelosarcoma.
Reported cases of myeloid sarcoma with MDS
| Author, year | Base disease | Age/Sex | Symptom | Clinical findings | Treatment | Pericardiocentesis | Outcome |
|---|---|---|---|---|---|---|---|
| Mateen et al., 20066 | MDS, RAEB | 64/F | Dyspnea | Ejection fraction decrease Pericardial effusion | Blood transfusion | NA | Died |
| Matkowskyj et al., 20105 | t-MDS, RAEB | 59/M | Dyspnea | Acute heart failure Pericardial tamponade | Diuretic Intravenous dobutamine Pericardial drainage | No appearance of blasts | Died |
| Present case, 2020 | MDS | 80/M | Loss of consciousness | Pericardial tamponade | Pericardial drainage | Higher blasts ratio compared to peripheral blood | Died |
F, female; M, male; RAEB, anemia with excess blasts; t-MDS, therapy-related MDS
The relationship between pericardial fluid volume and pericardial lumen pressure is that in a normal pericardium, even a small volume of pericardial fluid accumulation causes a sudden increase in pericardial lumen pressure, whereas in a chronic pericardial fluid accumulation and volume loading, the volume of pericardial fluid required to rapidly increase the pericardial lumen pressure is greater.1 In the present case, 800 ml of pericardial fluid were drained on the day of transport, suggesting a chronic pericardial effusion in the background. Subacute cases of pericardial tamponade are asymptomatic when pericardial fluid begins to accumulate, but once the volume exceeds a certain level, the intrapericardial lumen pressure increases rapidly, and the patient may be transported with an acute course, as in the present case.2
The differential diagnoses for pericardial effusion include acute aortic dissection, cardiac rupture after acute myocardial infarction, and cardiac injury in acute cases, as well as malignant tumor metastasis, acute pericarditis, autoimmune disease, irradiation, myxoma, and drugs in subacute cases.1 The most probable causes of bloody pericardial effusion are acute aortic dissection, cardiac rupture, cardiac injury, and malignant tumor metastasis.1 In the case of cancerous pericardial tamponade, it has been reported at autopsy that patients with malignant tumors have pericardial lesions in 10–20% of cases.7 By contrast, it has been reported that 7% of acute-onset pericardial disease had a direct involvement of malignancy, and approximately half of these patients had undiagnosed malignancy.8 Therefore, it is necessary to distinguish cancerous cardiac tamponade even in cases in which no malignancy has been diagnosed.
We presented a very rare case of cancerous pericardial tamponade due to acute transformation of MDS in the pericardial sac, despite the acute onset. When a patient with an acute history presents with a large volume of bloody pericardial effusion without a diagnosis of malignancy, cancerous cardiac tamponade should also be kept in mind and mentioned in the differential.