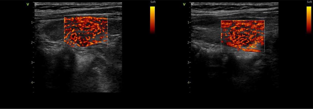
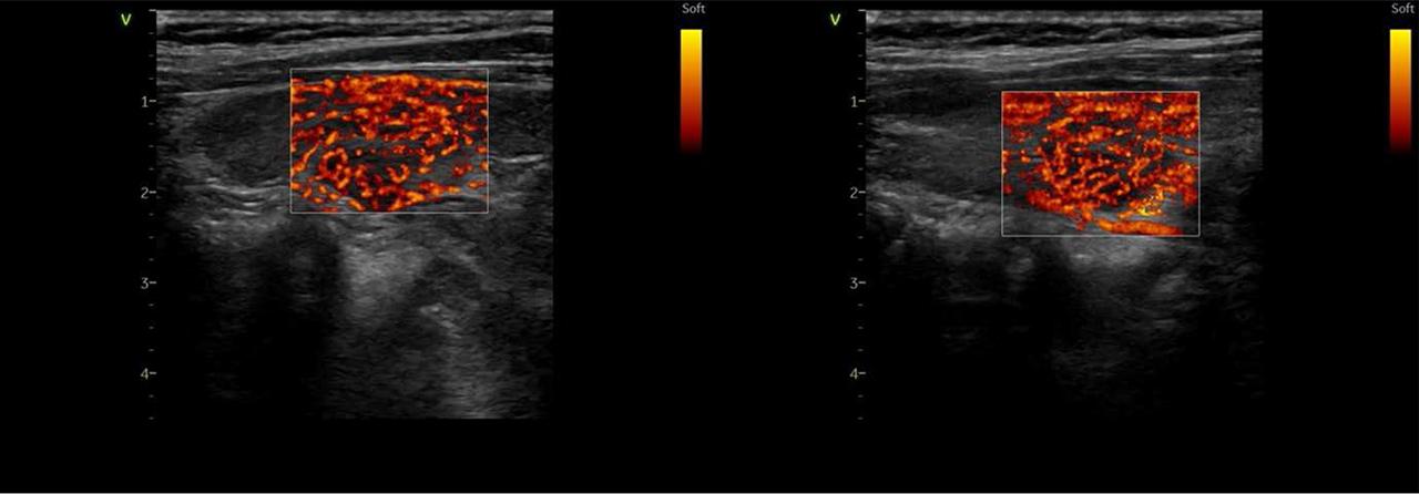
FIGURE 1.

FIGURE 2.

FIGURE 3.

FIGURE 4.

FIGURE 5.

Laboratory findings at admission
| Laboratory findings | Value | Reference range |
|---|---|---|
| FT4 | 5.42 ng/dl | 0.8–1.9 ng/dl |
| TSH | 0.007 µIU/ml | 0.4–4 µIU/ml |
| Total cholesterol | 143 mg/dl | 150–220 mg/dl |
| CK | 47 U/L | 24–195 U/L |
| CRP | 1.7 mg/dl | 0–1 mg/dl |
| GGT | 172 U/L | <50 U/L |
| Alkaline phosphatase | 138 U/L | 0–120 U/L |