Basedow’s disease is an autoimmune condition caused by anti-thyroid stimulating hormone (TSH) receptor antibodies. These antibodies stimulate thyroid receptors, leading to the excessive production of thyroid hormones, which have various effects on the body, including cardiovascular effects that can increase cardiac contractility, systolic and mean pulmonary pressure, cardiac output, and myocardial oxygen consumption. These effects can cause symptoms such as tachycardia, palpitations, hyperdynamic precordium, systolic hypertension, and exertional dyspnea.1 Although Basedow’s disease can produce other symptoms such as irritability, muscle weakness, sleeping problems, pretibial myxedema, and ophthalmopathy, it is usually the cardiovascular symptoms that bring patients to the emergency department.
We present the case of a 55-year-old female patient from a rural area who was admitted to our service with complaints of extreme fatigue, shortness of breath on minimal exertion, rapid palpitations, night sweats, decreased heat tolerance, and a weight loss of approximately 5 kg in the past 3 months. The patient had a history of high blood pressure, which was being treated with perindopril and indapamide. We mention that the patient was recently evaluated in another cardiology service where the diagnosis of inadequate sinus tachycardia was established and beta-blocker treatment (metoprolol) was instituted, but the patient’s condition did not improve.
Upon examination, the patient appeared agitated, with no fever, peripheral edema, or exophthalmos. She was diaphoretic and had tremors in her upper limbs. The patient’s heart sounds were tachycardic without any murmurs. The peripheral pulses were palpable up to the distal end, and the blood pressure was 140/90 mmHg with a heart rate of 140 beats per min. The pulmonary examination revealed tachypnea with vesicular murmur present bilaterally, without rales, and peripheral oxygen saturation level was 97% in ambient air. On examining the cervical region, a palpable thyroid gland was detected. It was elastic in consistency and globally increased in size, grade II, without any spontaneous painful sensitivity or on palpation. There were no palpable laterocervical adenopathies.
The electrocardiogram showed sinus tachycardia with a heart rate of 144 beats per min, QRS axis at +60°, isolated ventricular extrasystoles, and no significant changes in repolarization (Figure 1).

Electrocardiogram at admission, sinus tachycardia, heart rate 144 beats per min, ventricular extrasystoles
Next, an echocardiography was performed to evaluate cardiac function and identify any underlying conditions that could explain the patient’s symptoms. At a ventricular rate of 130 beats per min, the heart was structurally normal and hyperkinetic. Global longitudinal strain (GS) was −19.4%. Based on the heart’s appearance and the ventricular rate that varied between 130 and 150 beats per min, we suspected an extracardiac cause for the entire clinical and paraclinical picture (Figure 2).

Echocardiography at admission, GS −19.4%
After receiving the blood test results, a new diagnosis of primary hyperthyroidism was made (Table 1). To establish a definitive diagnosis, it was necessary to measure the levels of anti-thyroid peroxidase (ATPO) antibodies and anti-TSH receptor antibodies (TRab). ATPO values were 25 U/ml (reference values, <35 U/ml) and TRab values were 9.6 IU/L (reference values, <1.75 IU/L).
Laboratory findings at admission
| Laboratory findings | Value | Reference range |
|---|---|---|
| FT4 | 5.42 ng/dl | 0.8–1.9 ng/dl |
| TSH | 0.007 µIU/ml | 0.4–4 µIU/ml |
| Total cholesterol | 143 mg/dl | 150–220 mg/dl |
| CK | 47 U/L | 24–195 U/L |
| CRP | 1.7 mg/dl | 0–1 mg/dl |
| GGT | 172 U/L | <50 U/L |
| Alkaline phosphatase | 138 U/L | 0–120 U/L |
CK, creatin kinase; CRP, C-reactive protein; FT4, free thyroxin; GGT, gamma glutamyl transferase
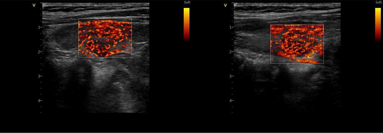
To assess the appearance of the thyroid gland, a thyroid ultrasound was performed. The results indicated an enlarged thyroid with slightly increased thyroid vascularity (Figure 3).

Vascularization of the left and right thyroid lobe
Then, we changed the beta-blocker bisoprolol, and ivabradine treatment was instituted. Given the multidisciplinary nature of the patient’s condition, an endocrinological consultation was conducted, which recommended the initiation of treatment with thionamides. Under treatment with a beta-blocker, ivabradine, and thionamides, the patient’s evolution was favorable, with improvement in symptoms. We noted that the blood pressure decreased to 100/60 mmHg, leading to the discontinuation of antihypertensive treatment. Later, the blood pressure stabilized at 120/70 mmHg. The control electrocardiogram showed sinus rhythm with a ventricular rate of 69 beats per min (Figure 4).

Control electrocardiogram: sinus rhythm, heart rate 69 beats per min
Given that the initial investigation was conducted under a heart rate of 140 beats per min, it was recommended to repeat the echocardiography. The results of the new test showed a heart with normal structure, normal kinetics, an ejection fraction of 54%, and an average GS of −21.74% (Figure 5).

Echocardiography at discharge, GS −21.7%
The patient agreed to the publication of this report and any accompanying images.
Thyroid hormones have an important role in heart homeostasis, an excess of thyroid hormones leading to a hypermetabolic stage. The thyroid gland produces two hormones, thyroxine (T4), which acts mainly as a prohormone, and triiodothyronine (T3). The control of the secretion of thyroid hormones is achieved by the secretion of TSH at the hypothalamic level, which subsequently stimulates the secretion of TSH, involved in regulating the level of thyroid hormones. Most thyroxine is converted by deionidases to T3, which is the biologically active form.2 At the cardiac level, the effects of thyroid hormones are realized through two mechanisms: genomic and nongenomic.3 In the case of genomic mechanisms, thyroid hormones control gene expression through the action of nuclear receptors in cardiomyocytes. In contrast, the non-genomic action includes effects on ion channels at the level of cardiomyocytes and effects on peripheral circulation, affecting hemodynamics and ejection fraction.4 The cardiac effects induced by hyperthyroidism are represented by the increase in resting heart rate, blood volume, and myocardial contractility.5 Cardiac symptoms induced by hyperthyroidism are represented by palpitations, dyspnea, decreased exercise tolerance.6
Basedow’s disease is an autoimmune condition caused by the stimulation of thyroid receptors by TRab. This pathology is diagnosed clinically by the presence of signs and symptoms of hyperthyroidism, but also paraclinically by low values of TSH, increased values of thyroid hormones, and increased iodocapture at the thyroid level. Although not diagnostic of Basedow’s disease, the dosing of TRab helps in the diagnosis of this disease.7 In the case of our patient, considering the symptoms, the objective examination, as well as the results of the paraclinical investigations, there was a high degree of suspicion of Basedow’s disease. Regarding the treatment, it consisted of beta-blocker treatment, antithyroid drugs, radioiodine therapy, and surgical treatment. As pointed out in the 2023 European hypertension guidelines, beta-blockers exhibit favorable effects in multiple clinical conditions, including hyperthyroidism.8 The beta-blocker we chose was bisoprolol, which has shown its effectiveness in studies regarding the reduction of hyperadrenergic status and the improvement of quality of life in patients with thyrotoxicosis.9 Based on the recommendation of the endocrinologist, thionamides were used as antithyroid medication, as they inhibit the action of thyroid peroxidase and thus reduce the production of thyroid hormones. Studies indicate that this medication is effective in reducing the level of thyroid hormones and achieving euthyroidism.10
Sinus tachycardia represents a regular rhythm that has several electrocardiographic elements: a) the presence of P waves that are positive in leads I, II, and aVL, and negative in aVR; b) P waves are followed by QRS complexes and T waves; c) heart rate greater than 100 beats per min.11 The diagnosis of sinus tachycardia is determined by distinguishing it from other supraventricular arrhythmias. If the rhythm is regular, it could be atrial flutter, atrioventricular reentrant tachycardia, or monomorphic atrial tachycardia. If the rhythm is irregular, it could be atrial fibrillation, atrial tachycardia with variable block, atrial flutter with variable block, or multifocal atrial tachycardia.12 However, in the case of our patient, these possibilities were ruled out based on the electrocardiographic appearance.
It is important to note that sinus tachycardia can have both cardiac and noncardiac causes. In the case of our patient, the cause was hyperthyroidism, which is a non-cardiac cause. Other cardiac causes include myocarditis, cardiac tamponade, and acute coronary syndrome. Non-cardiac causes are numerous, including pulmonary causes such as pulmonary thromboembolism and hypoxia, as well as gastrointestinal, renal, or hydroelectrolytic causes such as hypoglycemia, dehydration, hyperkalemia, hypomagnesemia, and hypocalcemia. Additionally, tachycardia can be caused by infections, anemia, ingestion of drugs or substances, pregnancy, or pheochromocytoma.13 Based on the patient’s medical history and diagnostic tests, we ruled out all of these possibilities.
Sinus tachycardia is caused by the combination of the direct impact of T4 by increasing the activity of the sinoatrial node and sympathovagal imbalance, with an increase in sympathetic tone and a reduction in vagal tone.14 Although the initial diagnosis in our patient’s medical record indicated inadequate sinus tachycardia, it is important to highlight that according to the European guidelines for supraventricular tachycardia, this condition typically manifests as asymptomatic or minimally symptomatic. The diagnostic process entails ruling out other possibilities such as paroxysmal orthostatic tachycardia, sinus re-entrant tachycardia, or focal atrial tachycardia. Therefore, in our patient’s case, it was essential to assess and address reversible causes, aligning with class I and level C indications outlined in the European guidelines.15
Different theories attempt to explain the increase in gamma glutamyl transferase and alkaline phosphatase values. The first hypothesis suggests that thyrotoxicosis increases oxygen consumption in the liver, leading to hypoxia. Another theory suggests that thyrotoxicosis-induced right heart failure may cause an increasing degree of liver congestion. In individuals with Basedow’s disease, TRab may directly increase these markers.16
The contractility of the left ventricle is a carefully studied parameter in the presence of hyperthyroidism and after the establishment of euthyroidism. As we observed in the case of our patient, she developed ‘high-output heart failure’, which could be explained in the context of a tachycardic cardiopathy. Abdulrahman et al. have shown that in the case of patients exposed to increased levels of thyroid hormones, speckle-tracking echocardiography shows an impairment of the deformation of the left ventricle, which is reversible after the establishment of euthyroidism.17 In the case of our patient, the echocardiography showed a GS of −19.4% at admission, which increased to −21.7% before discharge. It is difficult to determine the reason behind the improvement of GS, because tachycardia is linked to impaired left ventricle strain, as demonstrated by Lanspa et al.18 Therefore, it can be concluded that the restoration of an optimal heart rate and the decrease in thyroid hormone levels both played a role in improving GS.
Although the patient presented to a cardiology emergency unit with symptoms of heart failure, it is important to consider and exclude potential noncardiac causes. The formation of a multidisciplinary team including a cardiologist, radiologist, and endocrinologist leads to a faster and more accurate diagnosis, resulting in optimal treatment for the patient.