Ischemic heart disease is the most important cause of mortality worldwide.2 Reperfusion therapy is indicated immediately for patients with new ST-segment elevation in at least two contiguous leads and clinical suspicion of myocardial ischemia.3 Other causes for ST-segment elevation include premature repolarization, left ventricular hypertrophy, acute pericarditis, Brugada syndrome, hyperkalemia, etc.1 Electrocardiographic changes can mimic an acute STEMI, a situation in which the differential diagnosis becomes very difficult.
Pyopneumopericardium is a rare condition, usually with unfavorable prognosis.4 Its etiology may vary from chest trauma to iatrogenic manoeuvers or pericardial fistula.4 The clinical presentation can be nonspecific, with chest pain, shortness of breath, or fever.2 In very rare cases (there are less than ten cases are described in the literature), it can mimic a STEMI.2
A 44-year-old man, hypertensive, with a history of epilepsy and pulmonary tuberculosis, presented in the emergency department (ED) with chest pain (first episode 4 days prior), with progressive aggravation. He reported the highest intensity chest pain on the day of presentation. In the ED, the patient was hemodynamically stable, with a blood pressure of 100/65 mmHg, heart rate of 90 bpm, SaO2 98%, with intense chest pain, without shortness of breath. The electrocardiogram revealed ST-segment elevation in the inferolateral leads (Figure 1). Blood tests showed elevated cardiac enzyme levels (hs-TnI 140 ng/ml, CK-MB 80 U/L), increased creatinine (1.8 mg/dl) and CRP (17 mg/dl). Hypokinesia of the lower and posterior walls were present on transthoracic echocardiography, with moderate left ventricle ejection fraction depression (40–45%) and 10 mm of circumferential pericardial fluid, without signs of cardiac tamponade.

Electrocardiogram showing ST elevation in inferolateral leads
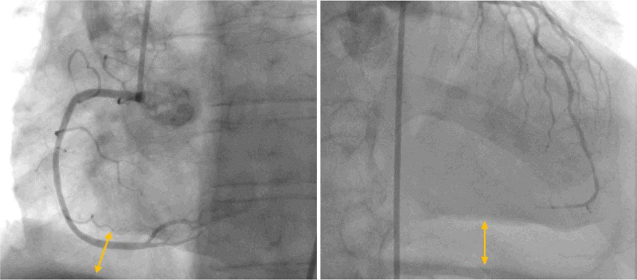
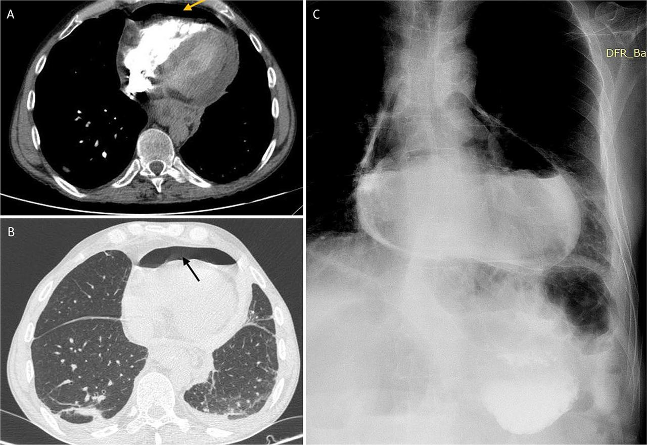
The patient underwent immediate coronary angiography. Obstructive coronary artery disease was excluded. However, a striking 20 mm hydroaeric image lining the inferior edge of the cardiac projection was visible (Figure 2). Following the angiography, an emergency chest CT scan was performed, which confirmed the hydropneumopericardium (the presence of air density of 13 mm and liquid of 18 mm in the pericardial cavity; Figure 3A), but also showed a circumferential thickening of the esophagus. Searching for a possible etiology, a Gastrografin study revealed a slight extravasation of contrast medium into the pericardial cavity, indicating a potential esophagopericardial fistula (Figure 3B). An emergency exploratory thoracotomy was performed to drain the purulent fluid from the pericardial cavity, but without revealing a fistulous path. After the procedure, the patient was transferred to the intensive care unit for monitoring and empiric antibiotic treatment.

Coronary angiography showing normal coronary arteries. Hydroaeric image lining the inferior edge of cardiac projection (arrows)

A,B. CT scan, hydropneumopericardium. C. Extravasation of contrast in the pericardium during the Gastrografin study
On the fifth day of hospitalization, an upper endoscopy was performed and a fistulized crater with a diameter of 2 cm was observed on the anterior wall of the esophagus, covered by fibrin and purulent secretions, as well as a contralateral image suggestive of an erosion. This complex of lesions is specific for foreign body perforation (possibly a fish bone). Thus, the diagnosis of pyopneumopericardium secondary to an esophagopericardial fistula was confirmed and a covered esophageal stent was implanted. The patient’s evolution was unfavorable despite the complex treatment, with multiple organ failure and, on the 14th day, cardiac arrest and death.
The publication of the case was approved by the ethics committee of the medical institution, and all the procedures required for the publication of the case report were done in accordance with the Declaration of Helsinki.
The particular aspect of our case is represented by the diagnosis of pyopneumopericardium established uniquely by coronary angiography. Although the patient did not require coronary angioplasty, the angiogram provided extensive diagnostic information, highlighting the air in the pericardial cavity, and thus guiding the next steps for treatment.
The most probable physiopathological explanation of ST-segment elevation was represented by the inflammation of the pericardium and, to a small extent, of the myocardium, which may also explain the increase in troponin levels.
Among the few reported cases in the literature of esophagopericardial fistulas (we found six similar cases), only one patient had a certain diagnosis of pyopneumopericardium, whereas the others presented pneumopericardium without any clear source of infection. All patients with this diagnosis had a rapidly unfavorable evolution, with cardiac arrest in the diagnostic phase or 2–3 days after the start of antibiotic treatment.
Despite prompt medical treatment with antibiotics, emergency surgery for pericardial drainage, and the implantation of the covered esophageal stent, septic shock ensued, the patient’s evolution being unfavorable, similarly to previously reported cases in the literature. This fact supports the increased mortality of the presented pathology and the need for additional evidence regarding the optimal management of such cases.
Our case presents a very rare condition of pyopneumopericardium in a patient with clinical and electrocardiographic criteria for STEMI. The suspicion of the diagnosis arose unexpectedly, during the emergency coronary angiography, due to the presence of a pericardial hydroaeric level. This pathology remains life-threatening, with a poor prognosis despite rapid diagnosis and treatment.