The modern management of coronary artery disease (CAD) combines cardiovascular risk assessment tools with identifying significant arterial obstructions.1 Cardiac computed tomography angiography (CCTA) emerges as a pivotal, noninvasive technique providing detailed imagery of coronary artery lumens and atherosclerotic plaques, enhancing the evaluation of plaque burden and morphology.2,3,4 This advancement aids in understanding coronary atherosclerosis and refining cardiovascular risk predictions.5 Current research focuses on identifying biomarkers of coronary inflammation, which significantly influence plaque stability, the risk of acute cardiovascular events, and the myocardial damage following coronary ischemia.6,7,8 CCTA-derived fat attenuation index (FAI) emerges as a critical tool, offering objective insights into inflammation within perivascular adipose tissue (PVAT), independent of coronary calcification or systemic inflammation markers.9,10
A 49-year-old woman with no previous cardiovascular history visited our medical center for a thorough cardiology assessment, reporting chest discomfort during moderately strenuous activities. Her medical background was free of any medications, but she had risk factors such as hypertension, smoking, and high cholesterol levels. She had no significant family history of heart attacks or other heart-related diseases. Her electrocardiogram (ECG) displayed a normal sinus rhythm without any signs of ischemia. Furthermore, her transthoracic echocardiogram (TTE), revealed a normal ejection fraction of 55%, indicating efficient heart pumping capacity, and no irregularities in the movement of the heart's walls.
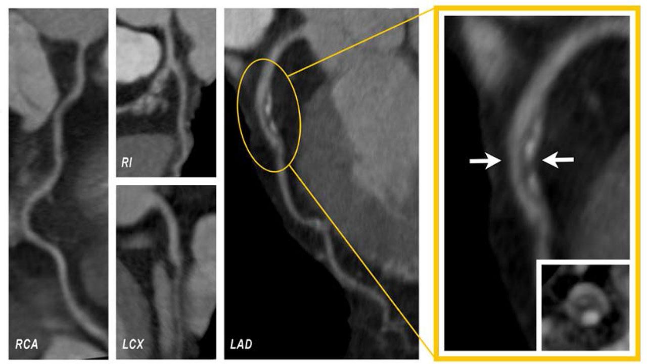
Based on her symptoms and test outcomes, we decided to conduct a contrast-enhanced CCTA using a 128-slice scanner (Somatom Definition AS, Siemens, Erlangen). The procedure commenced with a coronary artery calcium (CAC) scan. This was followed by the administration of an iodine-based contrast fluid, dosed according to the patient's body weight. The patient's CAC score was determined to be relatively low at 26.7. The CCTA revealed a notable 70% stenosis in the proximal portion of the left anterior descending artery (LAD), caused by a mixed plaque exhibiting signs of vulnerability. These signs included positive remodeling, a low-density atheroma, and a distinct napkin-ring sign, as highlighted in Figure 1 with a yellow frame.

CCTA reveals severe stenosis in the proximal LAD (white arrows), caused by a mixed plaque, which showed clear signs of vulnerability: positive remodeling, low-attenuation plaque, and the napkin-ring sign.
Following the diagnostic results, we advised the patient to have a coronary angiography and stent placement. This procedure was scheduled for 2 days later, associated with a hospital admission, which the patient agreed to. Following this agreement, the patient left our facility around 4 p.m.
The following morning at 5 a.m., the on-call interventional cardiology team was notified about the need to transfer a 49-year-old female patient to our emergency department. Prior to the transfer, it was noted that the patient had undergone successful resuscitation from asystole at a secondary department, where an ST-elevation myocardial infarction (STEMI) was suspected, and she was intubated and mechanically ventilated. At the secondary center, having missed the optimal timeframe for revascularization, the medical team decided to administer thrombolysis using rapylisin, based on paraclinical criteria indicating effective reperfusion. After this procedure, the patient's hemodynamic condition improved, as shown by her stable blood pressure of 110/80 mmHg. This improvement allowed the medical team to reduce the dosage of vasoactive support with noradrenaline (NA) and transfer the patient under safe conditions.
Upon arrival at our facility, the patient presented with hemodynamic instability, clinically manifesting as cardiogenic shock, requiring the continuation of vasoactive support with NA, initially with a blood pressure of 70/50 mmHg. The post-resuscitation ECG revealed ST elevation in the antero-lateral territory (Figure 2). TTE indicated a moderately reduced ejection fraction of 35% and hypokinesis of the left ventricular apex and interventricular septum. At admission, the patient's laboratory results were significantly altered due to the STEMI and the prolonged, successive resuscitation, as detailed in Table 1.

ECG indicating ST-segment elevation in V1–V5

ICA of the target lesion before and after stenting. A. coronary angiography revealing a critical, elongated stenosis in segments I–II of the LAD, characterized by an unstable plaque and overlapping thrombotic material. B,C. Angiographic outcomes after revascularization and stenting of the LAD and IB, showing TIMI 3 flow.
Baseline, risk factors, laboratory and PVAT inflammation parameters for each case. Increased values are marked with bold.
| Parameters | Normal values | Patient's values |
|---|---|---|
| White blood cells (× 109/L) | 4.5–11 | 30.48 |
| Platelets (× 109/L) | 150–400 | 486 |
| Hemoglobin (g/dL) | 13.8–17.2 | 15.9 |
| Hematocrit (%) | 41–50 | 47.2 |
| Creatinine (mg/dL) | 0.74–1.35 | 1.29 |
| Urea (mg/dL) | 6–24 | 43.80 |
| Glucose (mg/dL) | < 99 | 201 |
| K+ (mmol/L) | 3.6–5.2 | 6.60 |
| Na+ (mmol/L) | 135–145 | 140 |
| CK (U/L) | 55–170 | 813 |
| Total cholesterol (mg/dL) | < 200 | 209.3 |
| HDL cholesterol (mg/dL) | > 60 | 58.2 |
| LDL cholesterol (mg/dL) | < 100 | 129.7 |
| Triglycerides (mg/dL) | < 150 | 97.5 |
| Uric acid (mg/dL) | 3.5–7.2 | 6.8 |
| AST (GOT) (U/L) | 8–33 | 468 |
| ALT (GPT) (U/L) | 4–36 | 208 |
| aPTT (s) | 21–35 | 117.2 |
| CK-MB (ng/mL) | 5–25 | 125.7 |
| hs-cTnI (μg/L) | < 14 | 4.710 |
CK, creatine phosphokinase; AST, aspartate aminotransferase; ALT, alanine amino-transferase; aPTT, activated partial thromboplastin time; CK-MB, creatine kinase myocardial brain; hs-cTnI, serum high-sensitivity troponin-I
The patient was immediately taken to the cath lab for invasive coronary angiography (ICA). There, a complex 70% stenosis was discovered in the first segment of the LAD. Initially, it was suspected to be a total occlusion but had been partially revascularized during thrombolysis initiated at the secondary department. This long stenosis featured an unstable plaque with overlapping thrombotic material, affecting the first diagonal branch, which is a hemodynamically significant vessel. Additionally, a subocclusive ostial lesion was identified in the intermediate branch (IB), and 30–40% of lesions were found in the right coronary artery (Figure 2A).
The patient then underwent revascularization. During the procedure, a 3 × 33 mm drug-eluting Xience Pro stent (Abbott, Chicago, USA) was implanted in segments I and II of the LAD, extending across the diagonal branch, resulting in a postprocedural TIMI III flow in the LAD. Subsequently, the intermediate branch was stented with a 2.75 × 15 mm drug-eluting Xience Pro stent (Figure 2B).
Upon later examination of the CCTA images from our archives, we were able to assess the inflammation at the site of the culprit lesion by transferring the acquisitions to Caristo Diagnostics in Oxford, UK. There, FAI analysis was conducted using patented FAI technology. This analysis revealed severe vascular inflammation at the location of the LAD lesion, with an FAI score of 6 (Figure 4). For a patient aged 49, this score is in the 91st percentile for coronary inflammation, ranking almost the highest among individuals of the same age and gender.

Analysis of coronary inflammation and calculation of fat attenuation index (FAI) at the level of the culprit lesion. Calculated FAI score was 6.0, which falls in the 91st percentile for coronary inflammation, ranking almost the highest among individuals of the same age and gender.
For further evaluation of the plaque characteristics and components of this severe lesion, we utilized our offline workstation, syngo.via Frontier® (Syngo.Via, Siemens Healthineers). This advanced system allowed us to precisely measure various types of plaque volumes. These included the total plaque volume (TPV), calcified plaque volume (CPV), non-calcified plaque volume (NCPV), lipid-rich plaque volume (LRPV), and fibrotic plaque volume (FPV). The analysis highlighted the presence of a mixed plaque in our case. Specifically, the TPV was measured at 344.44 mm3, with a CPV of 23.87 mm3 and an NCPV of 320.57 mm3. Further breakdown of the NCPV revealed an LRPV of 75.03 mm3 and an FPV of 245.54 mm3. All these results are depicted in Figure 5.

Syngo.via Frontier® analysis of the mixed plaque at the proximal LAD
The publication of the case was approved by the ethics committee of the institution.
This case report underscores the link between STEMI and high-risk, inflamed plaques event in patients who exhibit a low CAC score. The discovery of significant stenosis in the LAD, characterized by high-risk anatomical features, was linked with intense inflammation, as shown by FAI analysis. The combination of high-risk anatomical features, vulnerable plaques, and inflammation identified through CCTA can be exceedingly hazardous.
Individuals with symptoms and multiple risk factors for CAD, such as hypertension and high cholesterol, often find CCTA evaluations beneficial, even with low calcium scores.11,12 This suggests that the mere presence of calcium is insufficient for identifying high-risk coronary plaques. Performing a 128-slice CCTA in this patient is noteworthy for diagnosing coronary artery issues. Its precision remains largely unaffected due to the patient's low CAC score, as only scores above 400 could potentially reduce its accuracy.13 Furthermore, the expert consensus of the Society of Cardiovascular Computed Tomography highlights the effectiveness of CCTA in diagnosing and assessing CAD risk in women, proficiently identifying both obstructive and nonobstructive plaques.14
Plaque morphology is a key factor for predicting cardiovascular events. This is based on the understanding that larger plaque volumes increase the risk of ruptures, potentially leading to myocardial infarction.15,16 The specific type of plaque is equally important, as ruptures are more likely in inflamed plaques, which typically have thin fibrous caps and large necrotic cores, often associated with inflamed PVAT.6,17 Additionally, the use of FAI mapping through CCTA is effective in detecting inflammation in PVAT, and its accuracy remains unaffected by the degree of coronary calcification, systemic inflammation, or the level of stenosis in the coronary lumen.18,19
High-risk features of the coronary plaques associated with increased perivascular inflammation may lead to STEMI within a few hours, even in the context of a low calcium score. Detection of inflammation at the level of epicardial fat may improve the prediction of future cardiovascular events, supporting the need for immediate revascularization in order to prevent an imminent myocardial infarction.