Fig. 1.

Fig. 2.

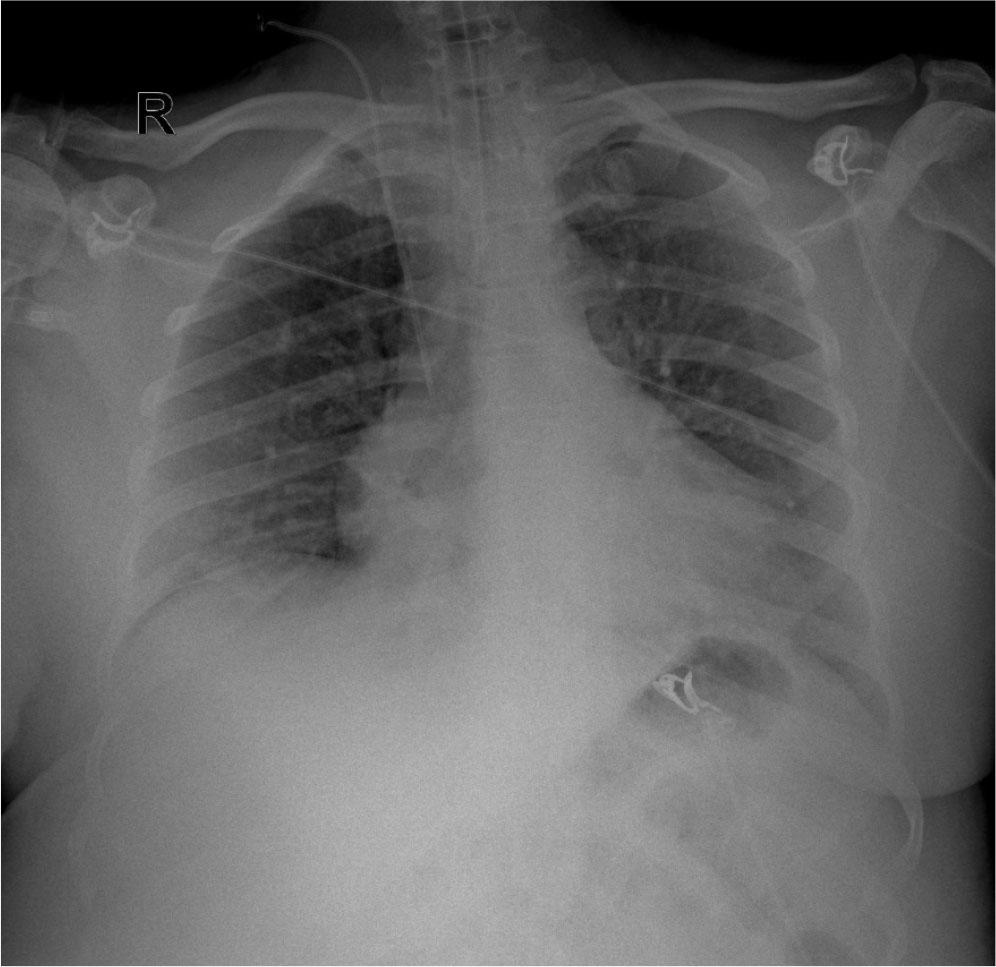
Fig. 3.

Chronological Patient Monitoring Report – ICU
| Day | Urine (mL/day) | CVP (cmH2O) | Cultures | GCS | RASS | ATBx | Steroids | Sedation / Neuromuscular Blockade |
|---|---|---|---|---|---|---|---|---|
| 1 | 800 | 15 |
| - | −3 |
| Methylprednisolone | Fentanyl + Midazolam |
| 2 | 1700 | 17 | Cultures: negative | - | −2 | Vancomycin + Meropenem + Moxifloxacin | Methylprednisolone | Fentanyl + Midazolam, Rocuronium bromide |
| 3 | 2400 | 15 | Ascaris Lumbricoides identified | - | −3 | Vancomycin + Meropenem + Moxifloxacin + Albendazole | Methylprednisolone | Fentanyl + Midazolam, Rocuronium bromide |
| 4 | 3000 | 12 | - | - | −2 | Vancomycin + Meropenem + Moxifloxacin + Albendazole | Methylprednisolone | Fentanyl + Midazolam, Rocuronium bromide |
| 5 | 2800 | 9 | - | - | −3 | Vancomycin + Meropenem + Moxifloxacin + Albendazole | Methylprednisolone | Fentanyl + Midazolam, Rocuronium bromide |
| 6 | 4300 | 13 | – | - | −3 | Vancomycin + Meropenem + Moxifloxacin + Albendazole | Methylprednisolone Tapered dose | Fentanyl + Midazolam, Rocuronium bromide |
| 7 | 2400 | 16 | – | 7 | −3 after sedation restart | Vancomycin + Meropenem (Moxifloxaci stopped) | Methylprednisolone Tapered dose | Sedation interrupted for neurological evaluation; severe agitation & tachypnea; sedation restarted: Fentanyl + Midazolam |
| 8 | 4700 | 9 | – | 15 | 0 | Vancomycin + Meropenem | Sedation stopped (patient extubated) | |
| 9 | 3600 | 8 | – | 15 | 0 | Vancomycin + Meropenem | – | – |
| 10 | 3800 | 8 | – | 15 | 0 | Ceftazidime (Fortum®, GSK, UK) | – | – |
| 11 | 3000 | 9 | – | 15 | 0 | Ceftazidime | – | – |
| 12 | 3500 | 9 | – | 15 | 0 | Ceftazidime | – | discharged from ICU |
Paraclinical data
| DAY | 1 | 2 | 3 | 4 | 5 | 6 | 7 | 8 | 9 | 10 | 11 | 12 | Normal values | Units |
|---|---|---|---|---|---|---|---|---|---|---|---|---|---|---|
| pH | 7.31 | 7.45 | 7.50 | 7.43 | 7.43 | 7.39 | 7.66 | 7.53 | 7.55 | 7.63 | 7.37 | - | 7.35 7.45 | - |
| PaO2 | 68 | 72 | 72 | 135 | 143 | 145 | 172 | 122 | 140 | 154 | 125 | - | 83 – 108 | mmHg |
| PaCO2 | 72 | 51 | 46 | 51 | 50 | 64 | 29.0 | 42 | 33 | 26 | 43 | - | 35 – 45 | mmHg |
| Lactate | 0.8 | 2 | 1.2 | 1.4 | 1.6 | 1.5 | 1.5 | 1,4 | 2.2 | 1.3 | 1.3 | - | <1.3 | mmol/l |
| COHb | 0.5 | 1.2 | 2.1 | 1 | 1.2 | 1.9 | 1.4 | 1 | 1.4 | 0.8 | 1.2 | - | 0.5–1.5 | % |
| P/F | 68 | 70 | 71 | 193 | 204 | 242 | 246 | 203 | 350 | 385 | 396 | - | > 300 | mmHg |
| A-aDO2 | - | 579 | 586 | 300 | 294 | 203 | 291 | 253 | 104 | 99 | 85 | - | - | mmHg |
| RI | - | 8.3 | 8,4 | 2.2 | 2.1 | 1.4 | 1.7 | 2.1 | 0.7 | 0.6 | 0.4 | - | < 0.4 | - |
| HCO3 | 37.42 | 35 | 40.2 | 33.9 | 33.2 | 38.7 | 32.7 | 35.1 | 28.9 | 27.4 | 24 | - | 22 – 28 | mmol/L |
| White Blood Cells | 26.79 | 10.52 | - | 7.5 | - | 5.75 | - | 7.35 | - | 6.9 | - | 6.07 | 3.6 – 10 | 10^3/µL |
| Neutrophils | 18.52 | 9.36 | - | 5.49 | - | 4.16 | - | 5.77 | - | 5.07 | - | 3.38 | 1.4 – 6.5 | 10^3/µL |
| Eosinophils | 0.03 | 0.01 | 0.04 | 0.01 | 0.00 | 0.01 | 0.01 | 0.00 | 0.02 | 0.27 | 0.04 | - | - | 109/L |
| C-reactive protein | 63.36 | 204.4 | - | 56.8 | - | 19.1 | - | 16.3 | - | 16.3 | - | - | <5 | mg/L |
| Creatinine | 0.59 | 0.6 | - | 0.48 | - | 0.4 | - | 0.38 | - | 0.3 | - | 0.6 | 0.57 – 1.11 | mg/dL |