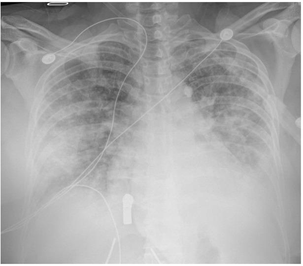
Fig. 1

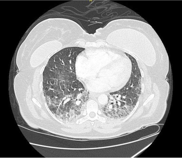
Fig. 2

Broncheoalveolar Lavage (BAL) Samples Collected on Day 5 of Hospital Course
| RBC | Nucleated Cells | Cell Differentials | |
|---|---|---|---|
| BAL #1 | 28000 | 388 | - Segs: 86% |
| - Lymphs: 1% | |||
| - Mono/Mcrphg: 8% | |||
| - Var Lymph: 1% | |||
| - Other: 4% | |||
| BAL #2 | 71000 | 406 | - Segs: 72% |
| - Bands: 3% | |||
| - Lymphs: 15% | |||
| - Mono/Mcrphg: 1% | |||
| - Eosins: 1% | |||
| - Other: 4% | |||
| BAL #3 | 76000 | 511 | - Segs: 70% |
| - Lymphs: 2% | |||
| - Mono/Mcrphg: 23% | |||
| - Other: 5% | |||
Studies Performed to Rule Out Autoimmune Cause
| Autoimmunity Tested | Type of Test | Source | Results |
|---|---|---|---|
| C-ANCA/P-ANCA AB1 | Enzyme Immunoassay (EIA) | Serum | Negative |
| Antinuclear Antibody (ANA) Panel2 | Indirect Immunofluorescence Antibody (IFA) | Serum | Negative |
| Angiotensin Converting Enzyme | Enzyme-Linked Immunosorbent Assay (ELISA) | Serum | 20 U/L (ref. range: 16-85 U/L) |
| C1 Esterase Inhibitor | Enzyme Immunoassay (EIA) | Serum | 60 mg/dL (ref. range 19 - 37 mg/dL |
| C1 Esterase Inhibitor, Functional | Enzyme Immunoassay (EIA) | Serum | > 90 (ref. range: > 67 (Normal) 41-67 (Equivocal) <41 (Abnormal)) |
| C2 Complement | Immunodiffusion (ID) | Serum | 63 u/mL (ref. range: 25 - 47 u/mL) |
| C5 Complement | Immunodiffusion (ID) | Serum | 34 mg/dL (ref. range: 10.6 - 26.3 mg/dL) |
Various Lab Studies Performed to Rule Out Infectious Etiology
| Infectious Agent | Type of Test | Source | Results |
|---|---|---|---|
| HIV 1,2 Ag/Ab | Polymerase Chain Reaction (PCR) | Serum | Non-reactive |
| Respiratory Viral Panel (RVP)1 | Polymerase Chain Reaction (PCR) | Nasal Swab | Not Detected |
| Legionella Antigen | Enzyme Immunoassay (EIA) | Urine | Negative |
| Q Fever Ab IgM/IgG (Phase I-Ii) | Indirect Immunofluorescence Antibody (IFA) | Serum | <1:16 |
| Coccidiodes Antibody | Immunodiffusion (ID) & Complement Fixation (CF) | Serum | Negative |
| Cocci Immunodiffusion IgM/IgG | Immunodiffusion (ID) | Serum | Negative |
| Quantiferon TB Gold | Interferon-Gamma (IFN-γ) Release Assay (IGFRA) | Serum | Negative |
| Hepatitis Panel2 | Polymerase Chain Reaction (PCR) | Serum | Non-reactive |
| Acid Fast | Culture | Sputum | No Growth Detected |
| Gram Stain | Culture | Blood & BAL3 | No Growth Detected |
| Viral | Culture | BAL | No Growth Detected |
| Respiratory | Culture | Sputum | No Growth Detected |
| Fungal Stain | Culture | Blood & BAL3 | No Growth Detected |
Example of Inflammatory Markers Trended Early in Patient’s Hospital Course
| Day 1 | Day 2 | Day 3 | Day 4 | Day 5 | Day 6 | |
|---|---|---|---|---|---|---|
| PT | 12.8 | N/A | 15.3 | N/A | 15.0 | N/A |
| D-dimer | 1.6 | 1.3 | 1.6 | 1.3 | 4.4 | > 21 |
| LD | 202 | 202 | 392 | 500 | 691 | 1,175 |
| Fibrinogen | 492 | 555 | 891 | 827 | N/A | 570 |
Ventilation Settings and Corresponding Arterial Blood Gas (ABG) Values
| Hospital Day # | Ventilation Mode | PEEP (cm H2O) | Respiratory Rate (bpm) | FiO2 (%) | Tidal Volume (Vt; mL) | Arterial Blood Gas Values (pH/ paCO2/paO2/HCO3) | Ventilator Changes2 |
|---|---|---|---|---|---|---|---|
| 31 | AC/VC | 12 | 16 | 100 | 400 | 7.33/39/184/19.7 | ↓ FiO2 to 50% |
| 4 | AC/VC | 12 | 20 | 60 | 400 | 7.28/46/86/21.5 | ↓ FiO2 to 50%; ↑ RR to 26 bpm |
| 5 | AC/VC | 16 | 26 | 100 | 390 | 7.32/43/133/21.7 | ↓ FiO2 to 90%; ↑ Vt to 400 mL |
| 6 | AC/VC | 18 | 23 | 90 | 400 | 7.37/41/118/23.2 | ↓ FiO2 to 80%; ↑ Vt to 300 mL |
| 73 | AC/VC | 16 | 28 | 65 | 300 | 7.07/99/162/27.6 | ↓ FiO2 to 60%; ↑ RR to 32 bpm; ↑ Vt to 320 mL |
| 8 | AC/VC | 10 | 38 | 70 | 320 | 7.30/62/117/29.6 | ↓ FiO2 to 60% |
| 9 | AC/VC | 12 | 38 | 50 | 320 | 7.36/65/68/35.1 | None |
| 10 | AC/VC | 10 | 38 | 45 | 320 | 7.43/61/91/39.1 | None |
| 11 | AC/VC | 6 | 32 | 40 | 350 | 7.46/49/58/35.1 | ↑ FiO2 to 60%; ↑ PEEP to 8 cmH2O |
| 12 | AC/VC | 8 | 32 | 45 | 350 | 7.44/48/110/32.0 | ↓ FiO2 to 40%; ↓ PEEP to 6 cmH2O |
| 13 | PS | 6 | N/A | 30 | N/A | 7.46/42/71/29.0 | Extubated successfully to NC, 6 LPM |