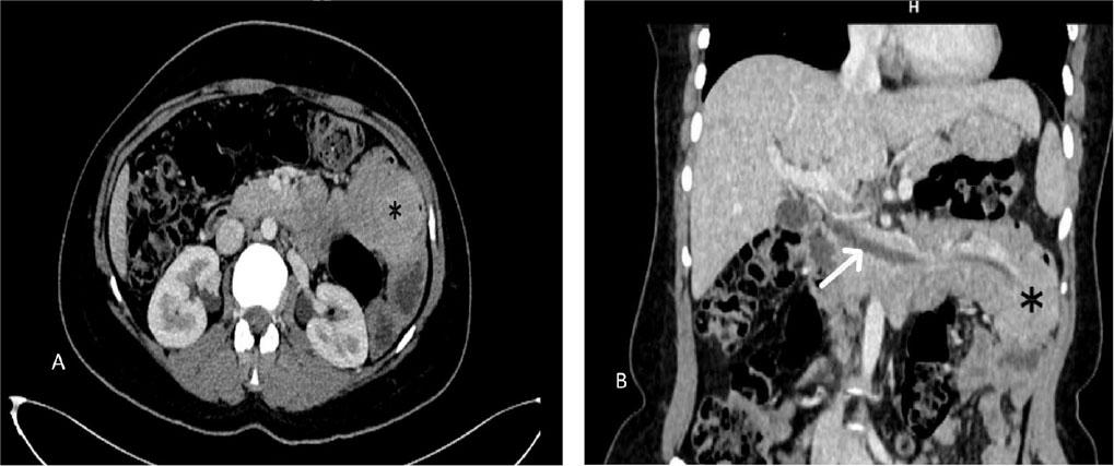
Figure 1.

Figure 2.

Summary of published cases reports on DJI_
| Authors | Age/Gender | Chief complaints | Treatment |
|---|---|---|---|
| Chawla et al. [3] | 34/F | vomiting | Segmental duodenal resection preserving the ampulla |
| Hirata et al. [7] | 66/F | whole-body edema and malaise | Pylorus preserving Pancreaticoduodenectomy |
| Kaw et al. [10] | 41/M | abdominal pain | Duodenectomy with polypectomy |
| Huda et al. [14] | 25/F | vomiting and weight loss | Segmental resection and end to end anastomosis |
| Neogi et al. [15] | 37/F | abdominal pain,vomiting | Segmental resection and end to end anastomosis |
| Mangal et al. [16] | 31/F | abdominal pain | Duodenectomy with polypectomy |