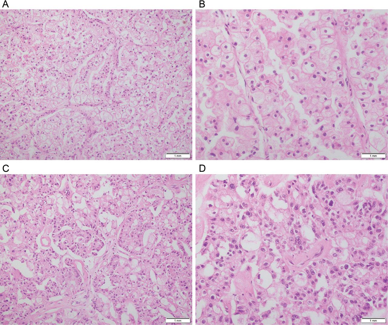
Figure 1.

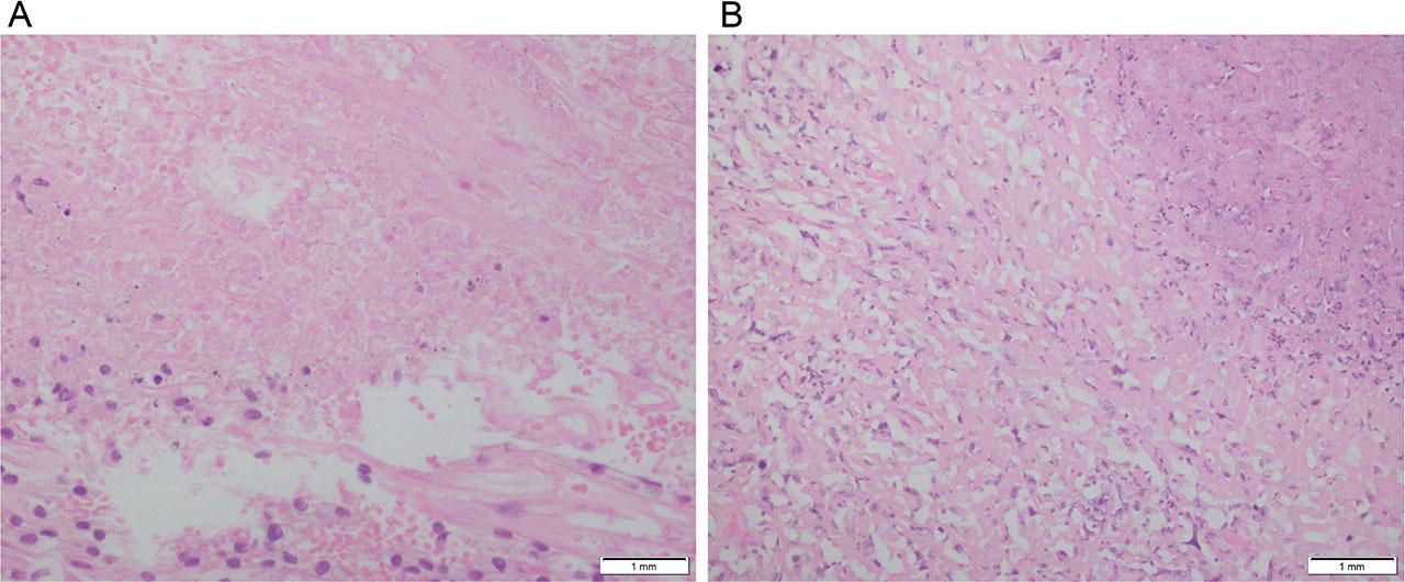
Figure 2.

Figure 3.

Figure 4.

Figure 5.

Figure 6.

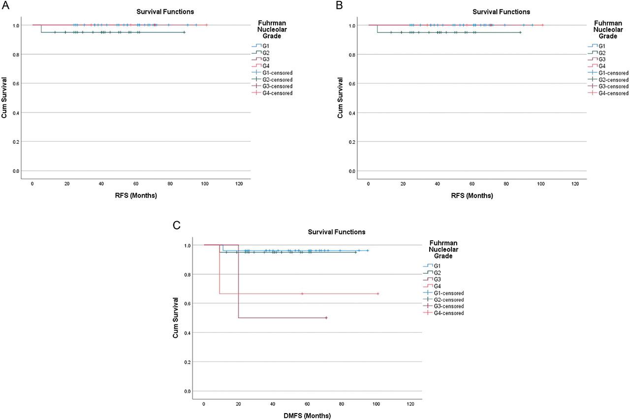
Figure 7.

Correlation of the Fuhrman nucleolar grading system with coagulative tumor necrosis, sarcomatoid differentiation and TNM stage_
| Fuhrman Nucleolar Grade | TNM stage groupings | Sarcomatoid Differentiation | Tumor necrosis (%age) | |||||
|---|---|---|---|---|---|---|---|---|
| N (%) | Stage I N (%) | Stage II N (%) | Stage III N (%) | Present N (%) | Absent N (%) | Group 1 (0%) | Group 2 (1%–10%) | Group 3 (>10%) |
| Grade 1 | 9 (34%) | 13 (50%) | 4 (15%) | 0 (0%) | 26 (100%) | 22 (77%) | 2 (8%) | 4 (15%) |
| Grade 2 | 7 (35%) | 8 (40%) | 5 (25%) | 0 (0%) | 20 (100%) | 17 (85%) | 0 (0%) | 3 (15%) |
| Grade 3 | 1 (50%) | 0 (0%) | 1 (50%) | 1 (50%) | 1 (50%) | 2 (100%) | 0 (0%) | 0 (0%) |
| Grade 4 | 1 (33%) | 1 (33%) | 1 (33%) | 1 (33%) | 2 (67%) | 2 (67%) | 0 (0%) | 1 (33%) |
Correlation of Chromophobe grading system with coagulative tumor necrosis, sarcomatoid differentiation and TNM stage_
| Novel ChRCC Grade | TNM stage groupings | Sarcomatoid Differentiation | Tumor necrosis (%age) | |||||
|---|---|---|---|---|---|---|---|---|
| N (%) | Stage I N (%) | Stage II N (%) | Stage III N (%) | Present N (%) | Absent N (%) | Group 1 (0%) | Group 2 (1%–10%) | Group 3 (>10%) |
| Grade 1 | 1 (25%) | 2 (50%) | 1 (25%) | 0 (0%) | 4 (100%) | 4 (100%) | 0 (0%) | 0 (0%) |
| Grade 2 | 11 (33%) | 15 (45%) | 5 (15%) | 0 (0%) | 31 (100%) | 27 (87%) | 2 (6%) | 2 (6%) |
| Grade 3 | 6 (37%) | 5 (31%) | 5 (31%) | 2 (12%) | 14 (88%) | 0 (0%) | 14 (87.5%) | 2 (12.5%) |
Summary of Clinical and Pathological Features for 51 Patients with Chromophobe RCC_
| Feature | Sub-category | Mean (Median; Range) |
|---|---|---|
| Age at surgery (years) | 46 (47; 25–70) | |
| Maximum tumor size (cm) | 9.6 (8.5; 4–17.5) | |
| Gender | Female | 31 (60.8%) |
| N (%) | Male | 20 (39.2%) |
| 2017 Primary tumor classification N (%) | pT1a | 2 (2%) |
| pT1b | 16 (31%) | |
| pT2a | 10 (19%) | |
| pT2b | 12 (23%) | |
| pT3a | 11 (21%) | |
| pT3b | 0 | |
| pT3c | 0 | |
| pT4 | 0 | |
| 2017 regional lymph node involvement N (%) | pNX and pN0 | 51 (100%) |
| pN1 | 0 | |
| Distant Metastasis N (%) | pMX | 51 (100%) |
| pM1 | 0 | |
| 2017 TNM stage groupings N (%) | I | 18 (35%) |
| II | 22 (43%) | |
| III | 11 (21%) | |
| IV | 0 | |
| Sarcomatoid Differentiation N (%) | Yes | 2 (4%) |
| No | 49 (96%) | |
| Coagulative tumor necrosis N (%) | 0% | 43 (84%) |
| 1% to 10% | 6 (11%) | |
| >10% | 2 (4%) | |
| Chromophobe RCC grade N (%) | 1 | 4 (7.8%) |
| 2 | 31 (60.8%) | |
| 3 | 16 (31.4%) | |
| Fuhrman Nucleolar Grade N (%) | 1 | 26 (51%) |
| 2 | 20 (39.2%) | |
| 3 | 2 (3.9%) | |
| 4 | 3 (5.9%) | |