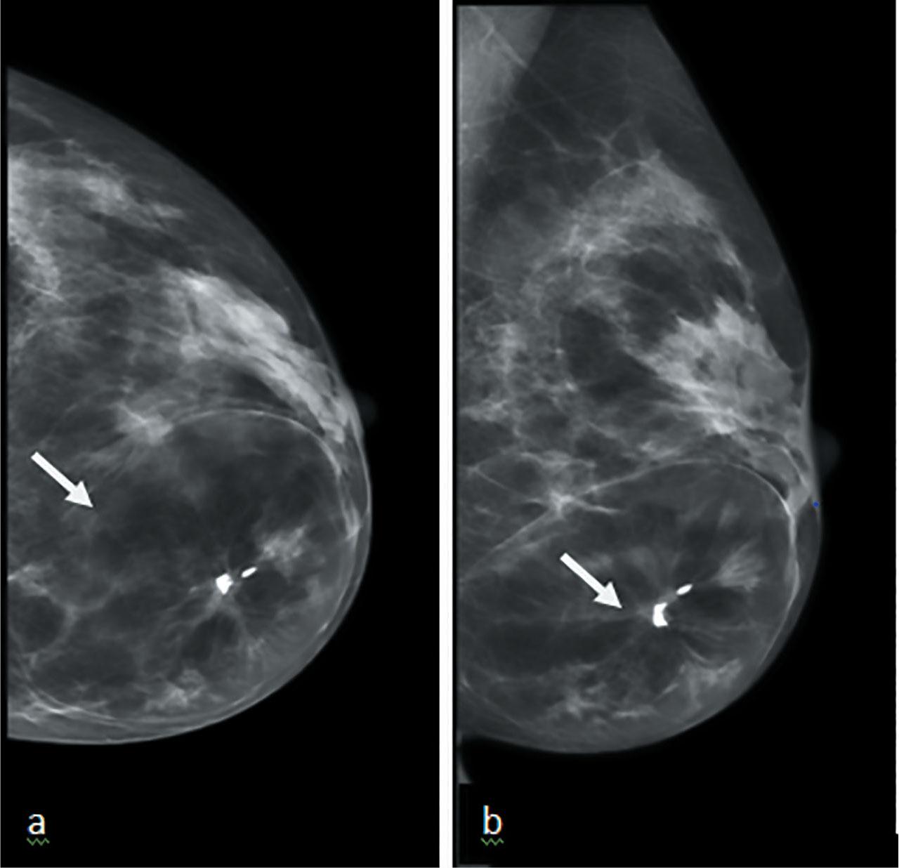
Figure 1.

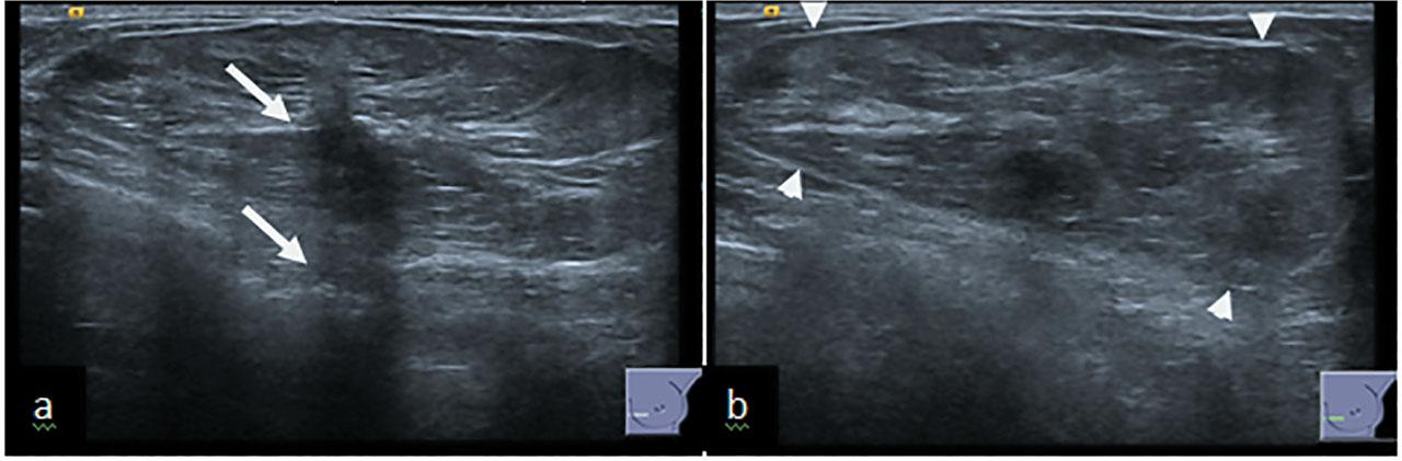
Figure 2.

Figure 3.

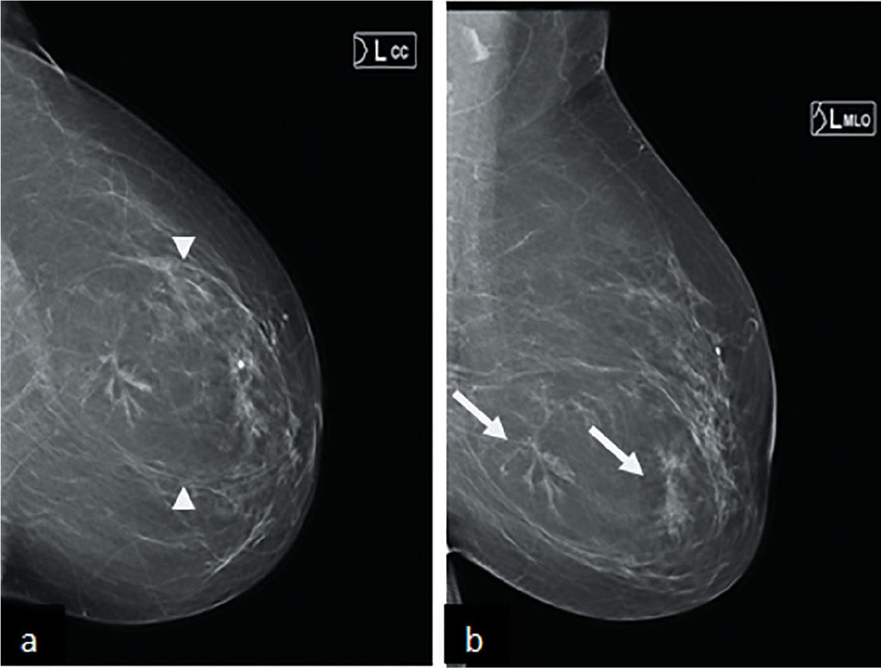
Figure 4a & b.

Figure 5.






© 2025 Palwasha Gul, Jonathan James, Mohamad Hajaj, Dima AlNajjar, published by Shakuat Khanum Memorial Cancer Hospital and Research Centre
This work is licensed under the Creative Commons Attribution-NonCommercial-NoDerivatives 3.0 License.