Ascarid nematodes are common parasites that can negatively affect livestock health and productivity. They pose serious health risks not only to domestic animals but also to humans (Wolstenholme, 2024). These nematodes exhibit a direct life cycle: their eggs embryonate externally, and the larvae infect hosts through ingestion. Once inside the host, they migrate through the body to the lungs and then return to the intestines, where they mature over a period of 6 to 8 weeks (Yen, 2020).
The Ascarid family comprises several important species, including Ascaris, Toxocara, Baylisascaris, Toxascaris, Ascaridia, Heterakis, and Anisakis. These species are known to cause a range of health issues in animals, leading to substantial morbidity and, in severe cases, mortality (Rostami et al., 2020). Understanding the life cycle and impact of these parasites is crucial for developing effective control measures and ensuring the health of livestock populations. Both Ascaris suum and Toxocara vitulorum exhibit notable zoonotic potential, as they can infect humans through accidental ingestion of parasite eggs (Mughini-Gras et al., 2016). A. suum larvae may migrate through human tissues, causing visceral larva migrans, respiratory symptoms, and, in rare cases, neurological complications (Da Silva et al., 2021). T. vitulorum, while primarily affecting young ruminants, has also been associated with occasional zoonotic infections, posing threats especially to individuals living in close proximity to livestock (Venjakob et al., 2017). The presence and transmission of these parasites in cattle therefore represent not only an animal health issue but also a possible public health risk (Mughini-Gras et al., 2016).
Infections caused by roundworms, known as ascaridiosis, lead to significant health issues in cattle and buffalo, including weight loss, anemia, lack of appetite, diarrhea, abdominal pain, and various gastrointestinal problems. These conditions are often exacerbated by reduced food intake and anorexia, which can lead to decreased blood protein levels, impaired protein digestion, and mineral absorption (Hussain, 2019). In severe cases, these roundworms can cause intestinal blockages or perforations (Chen, 2022), and they may also damage other vital organs such as the liver, pancreas, and lungs, resulting in serious illness.
If humans accidentally ingest the eggs of these worms, the larvae can migrate throughout the body, causing tissue damage and inflammation. They have been known to appear in the eyes or brain, resulting in vision problems, blindness, or even neurological damage (Waindok, 2019). Comparable symptoms in affected hosts may include coughing, diarrhea, respiratory distress, and changes observable in chest X-rays, which are associated with larval migration to the lungs (Barbosa et al., 2020).
Cattle are a significant livestock in Pakistan. They are a vital source of dairy, meat, and manure, contributing substantially to the country's agriculture and economy (Ijaz & Goheer, 2021). However, Pakistan faces a high prevalence of parasitic infestations in livestock (Mehmood et al., 2020). A study by Sohail et al. (2019) reported that the prevalence of gastrointestinal parasites in cattle reached an alarming 89.74 %, marking one of the highest rates recorded in Pakistan. Despite the economic significance of cattle in Pakistan and the known detrimental effects of ascarid infections, comprehensive research on the genetic diversity of these parasites remains scarce. There is an urgent need for more effective diagnostic tools and treatment strategies to tackle the challenges associated with ascarid control in cattle. This study aims to fill critical gaps in our understanding by exploring the spatial patterns and molecular characterization of ascarid nematodes in the cattle population of Malakand Division. By enhancing diagnostic methods and treatment approaches, this research seeks to contribute to the sustainable development of the livestock industry in Pakistan, ultimately improving the health and welfare of cattle.
The present study was conducted in the Malakand Division, located at 20° N in the Khyber Pakhtunkhwa province of Pakistan. This division consists of nine districts: Shangla, Malakand, Buner, Swat, Upper Dir, Lower Dir, Upper Chitral, Lower Chitral, and Bajaur. The total area of the Malakand Division is 32,007 km2, with an estimated population of 8.7 million. Districts such as Dir, Swat, Chitral, and Malakand are part of a protected area known as the Malakand Agency, which was merged into the Government of Pakistan in 1969. For this study, the selected districts were primarily chosen due to their distinct ecological characteristics, including diverse terrain and climatic conditions favorable for ascarid nematode transmission. These areas exhibit notable variation in altitude, humidity, and grazing practices, which are known to influence parasite prevalence. The Malakand Division experiences pronounced seasonal changes in humidity, with the highest levels during the summer months from late June to early September. Rainfall occurs throughout the year, with March averaging the most precipitation at 2.8 inches (Source: Weather Spark) (Fig. 1).

Map showing the study area in the Malakand Division, along with its districts in the Khyber Pakhtunkhwa province of Pakistan.
Out of a total of 968 stool samples collected from cattle across five districts of the Malakand Division: Swat (n = 252), Bajaur (n = 168), Buner (n = 202), Lower Dir (n = 174), and Upper Dir (n = 172). A total of 230 samples of ascarid nematode eggs were included in the molecular study, collected from different districts in the Malakand Division: Swat (n = 60), Bajaur (n = 41), Buner (n = 51), Lower Dir (n = 40), and Upper Dir (n = 38). These samples were analyzed in the Laboratory of Parasitology at the Department of Zoology, Abdul Wali Khan University, Mardan, Khyber Pakhtunkhwa, Pakistan.
A combined technique of flotation and centrifugation was employed. Approximately 3 g of the stool sample was placed in a beaker and mixed with 42 ml of water. Using a mortar and pestle, the mixture was gently ground and then filtered through a tea strainer to obtain a clarified solution. The clarified solution was filtered through a sieve, and the resulting liquid was transferred to a 15 mL tube for centrifugation. The supernatant was removed, and the clarified solution was transferred to a plastic tube. An additional 15 ml of water was added, and the mixture was centrifuged at 1000 rpm for 5 minutes. The supernatant was discarded after centrifugation (Sajid et al., 2009). After centrifugation, the tubes were filled with a sodium chloride solution and centrifuged again at 1000 rpm for 5 – 7 minutes to facilitate flotation. The concentration of the solution was maximized for coverslip placement for a few minutes, after which it was transferred to a slide for microscopic examination at 10x magnification (Veale, 2002). This approach has several methodological advantages and provides excellent sensitivity and specificity for detecting nematode and cestode eggs in stool samples (Juszczak et al., 2019).
Fecal samples were also analyzed using the sedimentation method. For this purpose, 2 g of the collected fecal sample was placed in a beaker containing 45 ml of saline water, and the mixture was carefully prepared with a spatula. The resulting fecal suspension was then filtered through a 45 μm filter paper to remove larger debris. The suspension was subsequently divided into centrifuge tubes and spun at 1500 – 2000 rpm. After centrifugation, the mixture was allowed to settle undisturbed for 10 – 20 minutes. Following this process, the supernatant was carefully discarded via pipetting or decantation (Khan et al., 2010). The solution prepared through sedimentation was then used for the McMaster technique described below.
The procedure applied in this study follows that of Foreyt (2013). First, 4 g of fecal material was mixed with 1000 ml of water and 400 g of sodium chloride to create the flotation solution. Next, the mixture was filtered using an arid pad on a filter, and the resulting suspension was transferred to a two-chamber McMaster counting slide, filling both chambers. After allowing for a 5-minute interval, nematode eggs were counted on both grids to determine the number of eggs per gram (EPG) of feces. The minimum number of eggs observable in the McMaster counting slide was 1, and the maximum was 50. To calculate the overall EPG, the maximum number of eggs (50) was multiplied by the number of filled McMaster chambers from 1 g of fecal material and then multiplied by the total number of positive cattle samples. These techniques are widely used for detecting the eggs of a large number of parasites (Van et al., 2004).
To facilitate the identification of parasitic eggs, all collected samples were prepared for microscopic studies using the previously discussed laboratory procedures, including flotation, centrifugation, and sedimentation methods. Stool samples that tested positive for ascarid nematode eggs or larvae from the cattle population were labeled accordingly. A specific identification process was followed, using a key with special care and guidance to study the morphology of the eggs. Ascarid nematode eggs are similar across different species, with only limited differences among genera. For example, eggs of the Ascaris species are characterized by their distinctive bumpiness (rippled texture) on the outer covering, with fertilized eggs measuring 45 to 75 μm in length. Generally, ascarid eggs are spherical or ovoid in shape with a brownish hue. These eggs have a thick outer shell composed of various layers, including lipids, ascarosides, chitin, and vitelline. Additionally, ascarid nematode eggs are covered by a network of albuminous, mammillated (pitted) structures, providing distinguishing features that set them apart from other nematodes (Quiles et al., 2006).
To facilitate molecular analysis, DNA was extracted individually from stool samples that had previously tested positive for ascarid nematode eggs or larvae in the cattle population. After homogenization, 0.25 g of fecal sediment from each positive sample was processed using the QIAamp® DNA Stool Mini Kit (Qiagen), according to the manufacturer's instructions. This kit is specifically designed to yield high-quality genomic DNA from a wide range of sample types, including challenging specimens such as stool. The extracted DNA from each sample was stored at −20°C until further molecular analysis was performed.
PCR was performed to amplify the partial gene sequences of the target gene, Cox-1. The primer sequences used were as Follows: Forward, 5′-TTTTTTGGGCATCCTGAGGTTTAT-3′, and Reverse, 5′-TAAAGAAAGAACATAATGAAAATG-3′ (Sarani & Hataminejad, 2022). The reaction volume was 25 μl, composed of 12.5 μl Taq PCR Master Mix (Bao Bioengineering Co., Dalian, China), 9.5 μl ddH2O, 0.5 μl of each upstream and downstream primer (100 pmol/μl), and 2 μl of template DNA. The PCR conditions were as follows: pre-denaturation at 94°C for 5 minutes, denaturation at 94°C for 30 seconds, annealing at 55°C for 30 seconds, and extension at 72°C for 1 minute, with a total of 35 cycles, followed by a final extension at 72°C for 5 minutes. A blank control using double-distilled water was included in place of the template DNA. PCR products were confirmed using 2 % agarose gel electrophoresis. After verifying the required base pair size, one PCR product representative of each species was selected and sent for sequencing to Bio-Tech Lab Gene Janch in Karachi.
Following DNA extraction and amplification, the obtained Cox-1 sequences of the ascarids collected from cattle hosts were analyzed using BioEdit software. Comparisons were then drawn with available Ascaris sequences in GenBank. The two Cox-1 partial sequences of ascarid isolates from cattle in the hilly area of Malakand division were submitted to GenBank, and the accession number for both sequences was obtained (PV444097 and PV450008, respectively for T. vitulorum and A. suum). The Ascaris suum nematode species sequences were downloaded and aligned using the BionEdit sequence alignment tool. To obtain detailed sequence insights, the Mega 11 software, equipped with the Neighbor Joining (NJ) method, was subsequently used to generate a phylogenetic tree, incorporating a bootstrap test based on 1 000 replicates.
This research was ethically approved by the Advanced Studies and Research Board of the Faculty of Chemical and Life Sciences, Abdul Wali Khan University Mardan, Pakistan (Notification number Dir/A&R/AWKUM/2023/10013).
Microscopic examination of A. suum and T. vitulorum revealed distinct characteristics of their eggs. A. suum eggs can be identified as large, oval, and smooth, with a thick shell, appearing in both fertilized and unfertilized forms. In contrast, the eggs of T. vitulorum are smaller and have a more granular appearance (Fig. 2).

Microscopic images show ascarid nematode eggs identified in cattle fecal samples: (A) and (B) present fertilized and unfertilized A. suum eggs, respectively, and (C) displays the eggs of Toxocara vitulorum.
The EPG was calculated for intestinal parasites in positive samples from the cattle population. Out of 968 samples examined, 230 were found to be positive. The minimum number of eggs in one McMaster chamber was 1, while the maximum was 5. Given that each chamber was filled with 1 g of fecal material, the overall minimum EPG for all positive cattle samples was calculated to be 6 050, and the maximum EPG was 30 250. Species-wise, the minimum EPG for T. vitulorum was 3 600, with a maximum of 18 000. For A. suum, the minimum EPG recorded was 2 450, while the maximum reached 12 250 (Table 1).
Infection rates and EPG analysis of ascarid nematodes in cattle.
| Ascarid species | Number of examined samples | Number of positive samples | Percentage of infection (%) | 95% C.I. (%) | Minimum EPG | Maximum EPG |
|---|---|---|---|---|---|---|
| Toxocara vitulorum | 127 | 72 | 31.30 | 25.4 – 37.9 | 3 600 | 18 000 |
| Ascaris suum | 103 | 49 | 21.30 | 16.4 – 27.6 | 2 450 | 12 250 |
| Total | 230 | 121 | 52.60 | 46.1 – 59.0 | 6 050 | 30 250 |
Abbreviations: 95% C.I. (%): 95% confidence interval, EPG: Eggs Per Gram, FEC: Fecal Egg Count.
The microscopic analysis of ascarid nematode species revealed that T. vitulorum was identified in 31.30 % of the total samples, equating to 72 positive cases out of 230 analyzed. In addition, A. suum was detected in 21.30 % of the samples, with 49 positive cases recorded out of the same total.
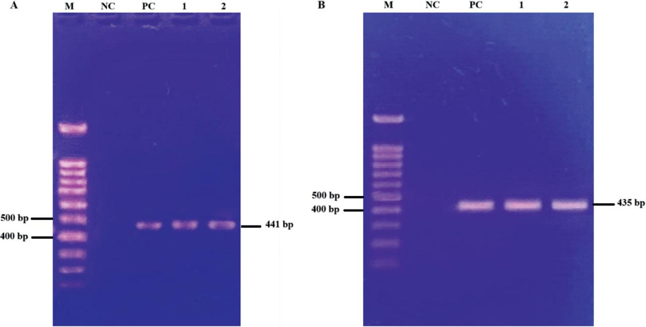
Out of the 230 stool samples collected and analyzed by PCR, distinct amplification of the Cox-1 mtDNA gene was successfully obtained for both T. vitulorum (441 bp) and A. suum (435 bp). These species-specific bands, as visualized on agarose gel electrophoresis (Fig. 3), confirm the presence of both nematode species among the cattle samples collected from Swat (n = 60), Bajaur (n = 41), Buner (n = 51), Lower Dir (n = 40), and Upper Dir (n = 38). Sequencing of the PCR products was performed to validate and further identify the ascarid species at the molecular level.

Gel electrophoresis showing Cox-1 mtDNA partial sequences amplification of T. vitulorum and A. suum samples. Legend: (A) Lanes display the Cox-1 mtDNA gene of T. vitulorum at 441 bp. M indicates the 1 kb size marker; NC and PC represent negative and positive controls, respectively. Lanes 1 and 2 contain DNA samples of T. vitulorum. (B) Lanes show the Cox-1 mtDNA gene of A. suum at 435 bp. M indicates the 1 kb size marker; NC and PC represent negative and positive controls, respectively. Lanes 1 and 2 contain DNA samples of A. suum.
The results of the BLAST sequence comparison for phylogenetic neighbors of ascarid nematodes identified in cattle from the hilly regions of Malakand Division, Pakistan, are summarized in Table 2. The sequences of the Cox-1 gene for both isolates were compared to the nearest sequences. For Isolate-1, the highest similarity was observed with T. vitulorum from Sri Lanka (AJ920062) at 99 %. Additional significant matches included Toxocara cati from the UK (AJ920057) at 92.29 %, and Toxocara malaysiensis from Malaysia (AJ920060) at 91.84 %. Notably, Baylisascaris devosi from Canada (MH795151) showed a similarity of 91.03 %. For Isolate-2, the sequence showed a remarkable 99.77 % similarity with A. suum from Japan (accession number AB591803). Other close matches included Ascaris lumbricoides from Jordan (KY368759) at 98.85 %, and Ascaris ovitis from China (MT993838.1) at 98.62 %. Additionally, Ascaridia galli from China (OM004024) displayed a similarity of 91.16 %, with B. devosi again showing a similarity of 91.03 % (Table 2).
BLAST analysis of Cox-1 partial sequences isolated from ascarid nematodes in cattle from Malakand Division, Pakistan.
| Isolate | Accession number | Country | Phylogenetic neighbour | Similarity (%) |
|---|---|---|---|---|
| Isolate 1 | AJ920062 | Sri Lanka | Toxocara vitulorum | 99.00 |
| AJ920057 | UK | Toxocara cati | 92.29 | |
| AJ920060 | Malaysia | Toxocaram alaysiensis | 91.84 | |
| MH795151 | Canada | Baylisascaris devosi | 91.03 | |
| Isolate 2 | AB591803 | Japan | Ascaris suum | 99.77 |
| KY368759 | Jordan | Ascaris lumbricoides | 98.85 | |
| MT993838 | China | Ascaris ovis | 98.62 | |
| OM004024 | China | Ascaridia galli | 91.16 | |
| MH795151 | Canada | Baylisascaris devosi | 91.03 | |
The Cox-1 gene sequence for Isolate-1 was manually trimmed to a uniform length of 441 base pairs (bp). Sequence alignment revealed a single nucleotide variation in one sample from District Upper Dir. The resulting Cox-1 sequence comprised 79 (17.91 %) Adenine (A), 213 (48.29 %) Thymine (T), 100 (22.67 %) Guanine (G), and 49 (11.11 %) Cytosine (C). The nucleotide composition was found to be 66.2 % A+T and 33.78 % G+C. Multiple nucleotide polymorphisms (MNPs) were observed in comparisons with sequences available in the NCBI database, such as T. malaysiensis from Malaysia (accession number AJ920060), indicating deviations from the standard nucleotide sequence. Significant nucleotide variations were identified at various positions within the analyzed sequences of ascarid species (Fig. 4).

Alignment of Cox-1 sequences from our ascarid nematode species (ps1 and ps2) and genetically close species, highlighting similarities and differences in nucleotide composition.
Legend: The green boxes in the alignment indicate key polymorphic sites between our two isolated sequences from the ascarid species (ps1 and ps2).
The Cox-1 gene sequence for Isolate-2 was trimmed to a uniform length of 435 base pairs (bp). A single nucleotide variation was detected in one sample from District Swat, while other sequences from diverse regions exhibited multiple nucleotide polymorphisms (MNPs) as found in the NCBI database. The trimmed Cox-1 sequence included 83 (19.08 %) Adenine (A), 212 (48.73 %) Thymine (T), 96 (22.06 %) Guanine (G), and 44 (10.11 %) Cytosine (C). This sequence exhibited a nucleotide composition of 67.81 % A+T and 32.17 % G+C. A notable single-nucleotide polymorphism (SNP) was detected, specifically a T to A transversion at position 240, compared with the sequence of A. suum (GenBank accession number AB591803) from Japan. Additionally, sequences analyzed showed MNPs at various positions, including A. ovitis (MT993838) from China and A. lumbricoides from Jordan (GenBank accession number KY368759), highlighting deviations from the standard nucleotide sequence. Significant nucleotide variations were identified at specific positions among the other ascarid sequences analyzed (Fig. 4).
A phylogenetic tree was constructed using the mitochondrial Cox-1 gene to infer the evolutionary relationships between the two nucleotide sequences. The tree was scaled according to evolutionary distances calculated with the Maximum Likelihood method, representing the number of base substitutions per site. A total of 441 base positions were analyzed. Isolate 1 (GenBank accession no. PV444097) from the Upper Dir district clustered closely with a T. vitulorum sequence from Sri Lanka (GenBank accession no. AJ920062), showing 99.77 % identity. In contrast, it displayed lower similarity to other ascarid species, including T. cati from the UK (AJ920057; 92.29 %) and T. malaysiensis from Malaysia (AJ920060; 91.84 %). The outgroup used was Oesophagostomum dentatum from China (FM163330). The optimal tree obtained had a total branch length of 0.20150985, confirming that the partial Cox-1 mitochondrial DNA sequence from isolate 1 belonged to T. vitulorum (Fig. 5). Similarly, Isolate 2 from the Swat district showed a close genetic relationship to an A. suum isolate from Japan (AB591803), with 97.77 % identity. (Fig. 5).

Phylogenetic tree of ascarid nematodes based on Cox-1 partial sequences.
The successful amplification and identification of T. vitulorum and A. suum through Cox-1mtDNA gene analysis highlight the critical role of molecular tools in accurately identifying ascarid species. This approach not only provides precise species confirmation but also enhances our understanding of the genetic diversity within these nematodes. The ability to distinguish between closely related species is essential for effective monitoring and control of parasitic infections in livestock. Furthermore, molecular identification facilitates the investigation of epidemiological patterns and transmission dynamics, ultimately contributing to improved animal health and management strategies.
This study represents the first genetic characterization of ascarid nematodes in the cattle population of Pakistan, focusing on the Upper Dir, Lower Dir, Swat, Bajaur, and Bunir districts of Khyber Pakhtunkhwa Province. The significance of this research lies not only in its pioneering nature but also in its potential to fill a critical gap in our understanding of parasitic infections affecting livestock in the region. Mitochondrial DNA (mtDNA) markers, particularly the cytochrome oxidase subunit one (Cox-1) gene, have emerged as valuable tools for the identification of ascaridoid nematodes (Valizadeh et al., 2021). The effectiveness of Cox-1 as a genetic marker is well-documented in the literature. For example, Wickramasinghe et al. (2009) highlighted its utility in distinguishing between closely related species, allowing for more accurate species identification compared to traditional morphological methods. This molecular approach is particularly advantageous given the often subtle morphological differences among ascarid species, which can lead to misidentifications in clinical and epidemiological studies (Luo et al., 2017).
In a notable study conducted in Missouri, Taylor et al. (2016) successfully identified A. lumbricoides using the Cox-1 gene, demonstrating the applicability of this marker in diverse geographical contexts. Furthermore, global research has consistently utilized Cox-1 to confirm the presence of other ascarid species, such as A. lumbricoides and T. cati (Hi et al., 2008; Luo et al., 2017). These studies underscore the reliability of Cox-1 in providing accurate species identification, which is essential for understanding the epidemiology of ascarid infections and developing effective control measures.
By employing Cox-1 in this study, we aim to establish a clearer genetic profile of ascarid nematodes within the cattle population of Pakistan, contributing to both local and global knowledge on these important parasites. This research highlights the need for ongoing surveillance of ascarid infections in livestock, particularly in regions where such data are currently lacking.
In our analysis, the ascarid sequences obtained from cattle showed a striking 99.77 % similarity with A. suum from Japan (AB591803), confirming that the isolate (PV444097) from Upper Dir is indeed A. suum. This is a significant first report of this species in Pakistan. The identification of A. suum is critical given its potential impact on livestock health and, importantly, its zoonotic potential. Notably, A. suum is a known zoonotic parasite closely related to A. lumbricoides, the primary human roundworm. It can cause visceral larva migrans and other clinical manifestations in humans upon accidental ingestion of eggs. This parasitic overlap underscores the public health implications of its presence in cattle populations (Agustina et al., 2023).
Additionally, T. vitulorum was genetically confirmed in our study, exhibiting a remarkable 99.77 % similarity with sequences from Sri Lanka (AJ920062). This genetic identification is particularly noteworthy as T. vitulorum had been microscopically reported in earlier studies conducted in Pakistan by Raza et al. (2010) and Islam et al. (2005). The concordance between molecular and microscopic findings strengthens our confidence in the presence of this species in the local cattle population. It highlights the need for continued surveillance of parasitic infections in livestock.
The Cox-1 sequences from isolate (PV450008) in District Swat showcased significant genetic identities with various ascarid sequences available online. Specifically, we noted matches with A. galli from China (OM004024) at 91.16 %, A. lumbricoides from Jordan (KY368759) at 91.28 %, and A. ovis from China (MT993838) at 91.06 %. These findings suggest a close evolutionary relationship between ascarid species in Pakistan and those from adjacent regions, which may be attributed to similar terrestrial and ecological conditions. Such genetic similarities could indicate potential pathways for transmission and highlight the interconnectedness of parasite populations across borders (Easton et al., 2020).
Globally, T. vitulorum has been reported with varying prevalence and impacts across different host species and geographical regions. For instance, T. vitulorum has been documented in India (Devi et al., 2000), as well as in North American bison in Belgium (Goossens et al., 2007) and in Turkey (Aydin et al., 2006). These reports underline the widespread nature of T. vitulorum and its adaptability to various host species and environments. The sequence analysis conducted in this study underscores a close evolutionary relationship between the ascarid species present in Pakistan and those reported from various parts of the world, emphasizing the importance of understanding these connections for effective parasite management and control strategies.
The implications of these findings are profound, as they not only enhance our knowledge of ascarid diversity in Pakistan but also inform future research directions. Understanding the genetic relationships among these nematodes can aid in the development of targeted interventions and treatment protocols, ultimately contributing to improved livestock health and productivity. Furthermore, this research sets a precedent for further molecular studies on parasitic infections in the region, paving the way for more comprehensive epidemiological assessments and control measures. However, certain limitations should be considered. The sample size per district was modest, and selection bias may exist as cattle sampled were from grazing populations, possibly excluding indoor or differently managed animals. These factors may affect the representativeness and generalizability of the prevalence estimates. Future studies should employ larger, more randomized sampling designs to capture regional variation better.
Further nucleotide sequence analysis revealed notable deviations from standard sequences in T. malaysiensis from Malaysia (AJ920060) and A. ovis from China (MT993838). These deviations indicate significant nucleotide variations at specific positions within the Cox-1 gene, suggesting that T. vitulorum occupies a subbranch that is closely related to A. lumbricoides within the phylogenetic tree. This positioning reinforces the evolutionary connections among these ascarid species, highlighting how genetic relationships can inform our understanding of their evolutionary history and potential host interactions. Methodological differences, such as tree-building algorithms and outgroup selection (in our case, Oesophagostomum dentatum (FM163330) from China), can explain discrepancies with other phylogenetic studies (Chen et al., 2022), underscoring the need for standardized approaches to improve comparability.
A notable ecological observation is the higher infection rates of ascarids in cattle grazing in hilly areas. This pattern may be driven by ecological factors such as increased humidity, cooler temperatures, and grazing practices prevalent in these terrains, which can enhance parasite egg survival and transmission potential. Additionally, cattle in hilly regions often graze freely in communal pastures, which increases their exposure risk compared to stallfed or intensively managed animals (Akyol, 1993). Understanding these environmental and management-driven factors is essential for designing context-specific control strategies. Overall, these findings contribute valuable insights into the genetic landscape of ascarid nematodes in Pakistan, enhancing our understanding of their diversity and evolutionary relationships. By elucidating these connections, we can better inform strategies for managing and controlling parasitic infections in livestock, ultimately improving animal health and productivity. Additionally, this research provide a foundation for future studies aimed at exploring the genetic diversity and epidemiology of ascarid species in the region and beyond, fostering a more comprehensive understanding of their ecological and economic impacts.
This study identified a notably high infection rate of ascarid nematodes in cattle grazing in the hilly areas of Malakand Division, Pakistan. The amplification of the Cox-1 region proved to be an effective genetic marker for identifying these parasites. Phylogenetic analysis indicated that our findings align closely with those from neighboring countries. Importantly, we identified two species in the cattle population: T. vitulorum and A. suum, the latter being reported in Pakistan for the first time in cattle. Further research is essential to investigate the transmission dynamics of these parasitic infections, which will contribute to healthier livestock, increased milk and meat production, and improved economic conditions for families in Malakand and throughout Pakistan.