Paramphistomosis is a fluke infestation of the ruminant forestomach caused by Paramphistomum spp. (Trematoda: Paramphistomatidae) in warmer latitudes. Snails are the intermediate hosts of this parasite. The infective stage for ruminants is the metacercaria in water bodies and on aquatic vegetation. Hypoproteinemia, anemia, and death can result from heavy burdens of juvenile flukes in the proximal intestine, where they reside before migration to the rumen and reticulum, although the presence of heavy infection in the rumen is usually of limited clinical significance. By burrowing deeply into the wall of small intestines, larvae may reach the peritoneal cavity (Gelberg, 2017).
Paramphistomosis is common in temperate and tropical regions of Australia, Africa, and Asia. However, it is also noted as an emerging disease in Europe. Previous results suggested that the prevalence of Paramphistomosis is greater than that of fasciolosis in parts of the United Kingdom (Huson et al., 2017), and cases of acute Paramphistomosis have been encountered in sheep and cattle (Mason et al., 2012; Millar et al., 2012). In the Balochi, Harnai and Babrik breed of Sheep (Balochistan Province of Pakistan), the overall prevalence of Paramphistomum cervi was 17.83 % and it was high in adults and in females. Moreover, Balochi and Harnai breeds showed high infection burdens compared to the Babrik breed (Tehmina et al., 2014). In Khyber Pakhtunkhwa province of Pakistan, overall, 10.30 % prevalence of Paramphistomum spp. cercariae were determined (Rafiq et al., 2022).
Ruminants are also called compound stomach animals because of the four compartments of their stomach. The ruminal environment is considered the most important factor that affects the digestive physiology of animals (DePeters & George, 2014). The main energy substrate of animals, volatile fatty acids, are synthesized by the ruminal flora and are rapidly absorbed through the ruminal mucosa (Xiao et al., 2016). The normal growth of stratified rumen epithelium that consists of countless papillae as major absorptive structures is critical for nutrient utilization. The epithelium acts as an anatomical barrier between the external and internal environments of the rumen. Any kind of damage may hamper the physiology of the rumen (Kahl et al., 2021). Histo-morphometrical evaluation of the rumen associated with feed change and disease has been studied extensively, but cellular changes associated with rumen flukes in general and paramphistomosis in particular have not been established.
The present study was designed to evaluate the prevalence and worm load of Paramphistomum spp. in the Narowal district of Punjab, Pakistan, and their correlation with histopathological analysis of the affected ruminal wall of ruminants. The topogeography of this district provides an optimum environment for growth and propagation of the snail, factors presumed to account for the high prevalence of this trematode infection.
Narowal is a city located on the western bank of the river Ravi in the northeast of Punjab province, Pakistan. Narowal lies from 31° 55’ to 32° 30’ latitude and 74° 35’ to 75° 21’ longitude. The Narowal District borders Sialkot to the west, Sheikhupura to the South, Gurdaspur (Eastern Punjab, India) to the east, and the Kathua District and Jammu Kashmir to the north.
Parasites were collected from small (sheep and goat) and large (cattle and buffalo) ruminants. The sample size of ruminant population for screening Paramphistomum spp. was determined using a standard formula for simple random sampling as described by Thrusfield (2007). A total of 384 animals were examined for the prevalence of Paramphistomum spp. Parameters such as age and sex were also considered during the collection of parasites. The quantitative estimation of the flukes was done in a 5 cm2 area of the infected rumens. Animals positive for Paramphistomum spp. were divided into three groups according to the worm load/5 cm2. Animals with a parasite load of 10 – 20 worms/5 cm2 were considered Group A, while animals with a parasite load of 21 – 40 worms/5 cm2 and >41 worms/5 cm2 were placed in Group B, and Group C, respectively. For histological comparison, tissue samples were collected from the animals having parasite loads 0/5 cm2, which was considered a control negative or normal group (Tehrani et al., 2015). This study was approved by Research Ethics Committee, Faculty of Veterinary Science, University of Agriculture, Faisalabad, Pakistan.
Animals were selected from the local abattoirs of Narowal city. Animals were sacrificed through the Islamic slaughter method, and after exsanguination, the entire gastrointestinal tract was located and ligated. Both openings of the rumen, esophageal and rumeno-reticulum were ligated, and both dorsal cranial and caudal sacs of the rumen were opened and searched for rumen flukes. Tissue samples of the rumen (1 cm2) were sectioned from animals positive for rumen flukes and then following technique was used as described by Hofmann and Schnorr (1982) and Zitnan et al. (2008). Collected samples were placed in fixative (neutral buffered formalin) within 2 hr of slaughter. Post-fixation dehydration of tissues was done in ascending grades of alcohols followed by clearing in a xylene solution. Melted paraffin was used to infiltrate the tissues and tissue blocks were prepared in an embedding desk. Tissue blocks were sectioned at 5 μm thickness with a microtome and mounted on glass slides. The tissue slides were then stained with Hematoxylin and Eosin (Suvarna et al., 2019). Stained sections were analyzed under the microscope (B-150, Optika, Italy) for histological changes at 40X and 100X.
Photomicrographs of the stained sections taken at different magnifications were analyzed with ImagJ software for different histological features such as epithelial length or thicknesses, length and width of ruminal papillae, and thickness of tunica submucosa and mucularis externae. Sections were also analyzed for pathological lesions in the different tunics (Nobel, 1997).
In this study, logistic regression was used to ascertain the effect of age, sex, and species on the likelihood that an animal had a Paramphistomum infection. Data relating to histological features were analyzed under a complete randomized design. Means along with standard errors of means were processed through one-way ANOVA, and Tukey’s significant test was employed to compare the means of histological parameters. Numerical values for each histological parameter were obtained through the imagJ® analysis software. Data were analyzed using SPSS 17.0 software (SPSS Inc. Chicago, USA). P values of less than 0.05 were considered significant statistically. The relative prevalence of Paramphistomum spp. was calculated by dividing the number of positive samples by the number of examined samples and multiplied by 100.
In the present study, the logistic regression model was significant and had χ2 = 176.399, p = 0.000. The model explained 49.4 % of the variance in the Paramphistomum infection with corrected classify 79.9 % of cases. The Wald test showed the statistical significance of independent predictors like age, sex, and species. It was evident that all three predictors add significantly to the model as age (p = 0.00), sex (p = 0.00), and species (p = 0.00). Furthermore, the odd of the positive parasite (+ve category) was 0.002 times higher in adults as compared to young with a 95 % confidence interval (0.00 – 0.018), the odd of the positive parasite (+ve category) in males is 8.968 times greater as compared to female. Similarly, the odd of a positive parasite in cattle is 10.997 times greater as compared to buffalos, the odd of the positive parasite in goats is 328.390 times greater as compared to buffalo, and finally, the odd of the positive parasite in cattle is 1.089 is higher as compared to buffalo (Table 1).
Binary logistic regression analysis for factors potentially associated with Paramphistomum infection in ruminants of district Narowal, Punjab Pakistan.
| Variables | Categories | Paramphistomum | Test (p-value) | OR (95% CI) | |
|---|---|---|---|---|---|
| Yes | No | ||||
| Age | Adult | 190 | 117 | 33.027 (0.000)* | 0.002 (0.000 – 0.018) |
| Young | 26 | 51 | – | – | |
| Sex | Male | 126 | 129 | 53.253 (0.000)* | 8.968 (4.975 – 16.165) |
| Female | 90 | 39 | – | – | |
| Species | Cattle | 76 | 34 | 29.590 (0.000)* | 10.997 (4.636 – 26.090) |
| Goat | 53 | 68 | 28.446 (0.000)* | 328.390 (39.053 – 2761.354) | |
| Sheep | 22 | 31 | 0.049 (0.825) | 1.089 (0.513 – 2.310) | |
| Buffalo | 65 | 35 | – | – | |
OR = Odds Ratio, CI = Confidence Interval, *Significant association
The overall prevalence of Paramphistomum spp. in the ruminant population of district Narowal was 56.25 %. The highest prevalence was in cattle followed in order by buffalo, goat, and sheep. Adult (without considering gender) and female (considering gender) ruminants showed significantly (P < 0.05) higher prevalence. About 38 % of animals showed medium burden of Paramphistomum spp., followed in order by high and low burden. The prevalence and burden of Paramphistomum spp. in ruminants of district Narowal, Punjab Pakistan is given in Figure 1.

The percentage prevalence and burden of Paramphistomum spp. in ruminants of district Narowal, Punjab Pakistan

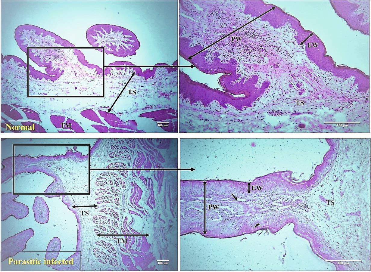
Histo-micrograph of different ruminal sections collected from different groups of large ruminants. Ruminal sections showing normal tunics of rumen along with the epithelial thickness, ruminal papilla length and width, tunica submucosa and muscularis externae. These parameters are recorded significantly decreased with the parasitic loads in different groups. The disruption of epithelium (ED) in the ruminal mucosa is seen in the GB and GC. Furthermore, compromised cell junctions in the epithelium (small black arrow) are also seen in GB and GC (H&E, Upper row 40X, lower row 100X, scale bar 100μm). Normal: Normal or control negative group, GA: Animals with parasitic load of 10-20/5cm2, Group B (GB) animals with the parasitic load 20-40/5cm2.Group C (GC): Animal with parasitic load >41/5cm2. PL: Ruminal papilla length, PW: Ruminal papilla width, TS: Tunica submucosa, TM: Muscularis externae, EW: Epithelium thickness.
Epithelium thickness was significantly affected by parasite load in large ruminants, and the most significant (P < 0.05) decreased value of epithelium thickness was recorded in Groups B (31.12 ± 1.82 μm) and C (31.07 ± 1.68 μm). A similar trend was found in small ruminants, with the most significant decrease in the Group B (29.76 ± 4.76 μm) (Table 4). Apart from thinning of epithelium, the eruption of mucosal cells was also seen in the mucosal cells of the papillae in Group C (Fig. 2 & 3). The junctions between the cells of the different strata for adhesion of the epidermis appeared to be compromised, as evidenced by large gaps between cells (Fig. 2). The rumen papilla length followed the same trend as that of the epithelium thickness, being decreased with higher parasite load and significantly (P < 0.05) lowest length measured in Group C of small and large ruminants (424.42 ± 15.12, 418.30 ± 17.36 μm), respectively. Although ruminal papillae widths were not correlated with parasite load, burdens of > 45 led to significant (P < 0.05) thinning of rumen papillae as observed in Group C (209.55 ± 6.31 μm) of large ruminants, while this character was unaffected by parasite load in small ruminants. The thickness of tela submucosa was not significantly correlated with parasite load, but the infiltration of inflammatory cells was prominent in this layer at some points (Fig. 2 & 3). The most drastic impact of parasite burden was seen on the muscularis externae of the rumen wall, which was significantly (P < 0.05) thinner in Groups B and C of large (533.91 ± 16.12 and 525.35 ± 12.82 μm, respectively) and small ruminants (415.60 ± 12.08, 405.36 ± 16.32, respectively) leading to thinning of the rumen wall (Fig. 3). The inner circular muscle of the muscularis externae was more compromised, as this continuous smooth muscle layer changed into thin patches. The influence of parasites on the rumen mucosa and epithelium thickness of small and large ruminants is presented in Table 2.

Histo-micrograph of different ruminal sections collected from different groups of small ruminants. Ruminal sections showing normal tunics of rumen along with the epithelial thickness, ruminal papilla length and width, tunica submucosa and muscularis externae in upper row. These parameters are recorded significantly decreased with the parasitic loads as showed in lower row. The disruption of epithelium (small arrow) in the ruminal mucosa (H&E, left column 40X, right column100X, scale bar 100μm).
Analysis of Means ± SEM of different histological features of rumens amongst different groups of large and small ruminants of Narowal district, Punjab, Pakistan.
| Parameters (μm) | Normal | Group A | Group B | Group C |
|---|---|---|---|---|
| Large Ruminants | ||||
| Epithelium Thickness | 46.96±2.05a | 35.49±1.93b | 31.12±1.82b | 31.07±1.68b |
| Ruminal Papilla Length | 645.34±10.27a | 562.98±17.57 b | 448.42±6.48c | 424.42±15.12c |
| Ruminal Papilla Width | 310.63±25.47a | 290.80±27.88 a | 284.52±4.15 a | 209.55±6.31b |
| Tela Submucosa | 213.39±8.61a | 194.69±6.64ab | 198.08±10.28ab | 192.01±5.54ab |
| Muscularis Externae | 714.83±31.76a | 697.85±34.71b | 533.91±16.12c | 525.35±12.82c |
| Small Ruminants | ||||
| Epithelium Thickness | 41.65±3.24 a | 38.2±0.76 a | 29.76±4.76 b | 30.78±0.97 b |
| Ruminal Papilla Length | 712.87±9.27 a | 680.37±12.72 a | 503.46±15.7 b | 418.30±17.36 c |
| Ruminal Papilla Width | 205.32±7.5 a | 187.97±7.5 a | 198.31±4.2 a | 190.47±10.3 a |
| Tela Submucosa | 177.45±8.3 a | 175.37±9.1 a | 168.59±6.3 a | 170.67±10.2 a |
| Muscularis Externae | 503.46±23.29 a | 498.71±15.78 a | 415.60±12.08 b | 405.36 ±16.32 b |
Means sharing with different superscripts in a row (a, b, c) are statistically different at P<0.05
Means sharing with superscript “a” is statistically different from means sharing with superscript “b” and “c” and vice versa. Superscript “a” represents the significant higher means, lower value represented by superscript “b” and significantly least or lowest value amongst the groups represented by the superscript “c”.
The district Narowal is high in humidity, at risk of floods, and always has a high chance of rain (Asim et al., 2022). This makes its suitable for parasite proliferation and survival, and hence many protozoal and helminth infections are commonly found in the animals of this district. Poor body condition and irrational, improper, or no anthelmintic use are recognized risk factors for trematode infection in small ruminants (Dey et al., 2022). Trematode infections are more common in summer and rainy (monsoon) seasons. The present study describes the epidemiology of Paramphistomum spp. in the district Narowal by associating its rumen burden with histopathological impact on the rumen wall. We selected this trematode for study to expose a too-often ignored ruminant parasite, which has a wide-ranging topographical dispersal. This trematode has a diheteroxenic life cycle in which two species of snail i.e., Lymnaea and Indoplanorbis act as intermediate hosts and a ruminant as definitive host (Rafiq et al., 2022).
In our study, four ruminant species (cattle, buffalo, goat, and sheep) were used to study Paramphistomum spp. burden. Other than ruminants, Rafiq et al. (2022) found Paramphistomum spp. from snail population of district Swabi of Khyber Pakhtunkhwa, Pakistan. These results are also correlated with a study conducted in Gujranwala district, Punjab, Pakistan by Khan and Maqbool (2012). Similarly, adult animals showed higher burdens of Paramphistomum spp. in our study compared to young animals, in agreement with the study of Paul et al. (2011) in Dhaka, Bangladesh. They also reported that female cattle showed higher prevalence of Paramphistomum spp. than males.
Ruminants provide important means of support for many South Asian farmers and livestock producers. The dependence of small farmers, and predominantly women, is high on small ruminants i.e., sheep and goats for upgrading their socioeconomic condition (Dey et al., 2020). However, under extensive and intensive production farming of these small ruminants, the rate of helminth infection is high (Abede & Esayas, 2001), which leads to weakening of immunity and finally, a reduction in productivity of these animals (Cable, 1967).
The prevalence of Paramphistomum spp. depends on specific factors, e.g., climate and meteorological factors. Studies have shown that climate change modifies the geographic distribution of parasite infections and potentially causes drastic changes to their hosts (Polley et al., 2010). Several meteorological factors also affect the prevalence and life cycle of Paramphistomum spp. (Khan & Maqbool, 2012). Extrinsic factors like temperature, humidity, rainfall, water velocity, and habitat stability also determine the production costs of Paramphistomum infections. These factors affect the metabolic system of both the parasite and the host (snail), interfering with the rate of growth, survival, and reproduction of snails. Snails belonging to the genus Indoplanorbis and Lymnaea are widespread in Pakistan and act as intermediate hosts for several parasitic infections, including paramphistomosis (Rafiq et al., 2022).
In the gastrointestinal tract, the rumen occupies more than two-thirds of the space and is the site for absorption of certain nutrients (Novak et al., 2019). Several studies describe the presence and molecular detection of rumen parasites and their association with rumen physiology, but literature is limited on the effect of rumen parasites on the different strata and tunics of the rumen, and no contemporaries’ studies are evident. This study primarily focused on description of structural changes in the micro-anatomy of the rumen in relation to worm load. The rumen mucosa can change its tissue mass in several ways, through alteration in the degree of proliferation of epithelium basal cells and changing cell division rates in response to parasites, diet, and diseases. The disruption of epithelial cells in Group C is suggestive of mechanical damage due to a high parasite load. Moreover, the junctions between the different strata of the epithelium were compromised in the form of large gaps. The damaged epithelium along with weakened cell junctions can be related to anatomical changes resulting from migration of the parasites (Kahl et al., 2021). The morphology of rumen papillae is the key to digestive system anatomy and physiology since they amplify the surface area for absorption of certain nutrients. The larger length of rumen papillae has been attributed to a higher volatile fatty acids (VFA) content, which influences the development of papillae (Dieho et al., 2016). In this study, parasitism significantly altered the morphology of rumen papilla (length and width) and more severe effects were recorded in animals with the highest parasite load. More efficient cattle have a thicker rumen epithelium compared to their less efficient counterparts (Lam et al., 2017). Furthermore, densities of rumen papillae are affected by the ruminal environment (Jiang et al., 2018). The rationale for the decrease in the ruminal length and papilla can be the chronic wasting disease in animals, compromised feed intake, and digestion as reported by Kahl et al. (2021). In the tunica submucosa of the ruminal wall, the infiltration of inflammatory cells was also witnessed and can be linked to mechanical damage to the rumen wall by the parasites in agreement with the results of Steele et al. (2009). One can speculate that the observed increases in lymphocyte-like cell infiltration into the upper layer of the ruminal tunic during the parasite infection is a systemic immune response to this invasion. The muscular layer of the rumen is composed of smooth muscles arranged in two layers; the inner circular and outer longitudinal layer. In the digestive system, this muscularis externae layer is responsible for rumen movements and mixing of the contents. In the group containing the highest parasite load, this layer thickness was significantly decreased. There is a dearth of literature to compare and describe the histological and pathological effects of parasite infestation on the rumen wall. Higher parasite load leads to loss of appetite and disturbs the normal physiological function of the rumen (Kahl et al., 2021). We can relate these changes with the histological alteration in the ruminal tunics; thinning of the muscularis externae may be responsible for loss of movements in the rumen surface and wall.
These histopathology changes due to Paramphistomum spp. are reported for the first time and may explain the background of the changes in rumen physiology due to the parasite. However, there is a dire need to design a detailed study that elaborates on normal physiology and parasite infection in the rumen. There is also need to identify the different Paramphistomum spp. and their association with the histopathological changes of the rumen.
The government should proceed with initiatives to raise awareness among small/marginal farmers for the improvement of livestock production and hence, food security. Communally, the data developed in this study support the preparation of control operations against economically significant snails that harbor trematodes that affect the productivity of livestock. The data of the present study should also stimulate future researchers to conduct a project on molecular level vaccine development for Paramphistomum spp. by investigating its virulent and host immune boosting factors. The outcomes of our study are helpful for government policymakers to design and implement a management scheme to decrease the prevalence of paramphistomosis in the district of Narowal.