The genus Trichinella, family Trichinellidae, comprises several encapsulating and non-encapsulating species. The most important species infecting man is Trichinella spiralis (T. spiralis), which exists in its adult stage as the largest known intracellular infectious agent, and in its larval form in well-protected collagen capsules surrounding complex nursing cells. The involvement of several developmental stages of T. spiralis in disease pathogenesis and the targeting of different body systems, makes trichinellosis a rich and peculiar model for host-parasite interaction and antiparasite immunity (Gottstein et al., 2009).
Intestinal and muscular damage is induced by the direct invasive potential of adult worms and larvae, respectively, in addition to the immunopathology resulting from the host’s immune reponse. In comparison, T. spiralis-induced myocarditis results from an eosinophilic inflammatory reaction, since parasite stages do not reside in cardiac muscle tissue (Hidron et al., 2010). Benzimidazole derivatives, particularly albendazole and mebendazole, are the main antiparasitic agents employed for the treatment of trichinellosis. Albendazole acts by binding to cuticular tubulin, thus causing structural damage to the parasite (Pozzio et al., 2001). While the efficacy of albendazole is pronounced against adult worms in the small intestine, it is less potent against encysted larvae in skeletal muscles (Attia et al., 2015).

Schematic presentation of the research procedure
Herbal remedies have been studied as alternative or adjuvant treatment options against parasitic infections, including trichinellosis (Ullah et al., 2020). Curcuma longa, also known as tumeric, is one of the most widely used medicinal plants. It belongs to the Curcuma genus, family Zingiberaceae. It contains polyphenolic curcuminoid compounds such as diferuloylmethane and curcumin, which give the plant its therapeutic potential (Cheraghipour et al., 2018). Curcumin is known to exert antioxidant properties through the expression of antioxidant proteins and the scavenging of free radicles (Mallo et al., 2020). It is also known for its anti-inflammatory effects as it selectively inhibits the expression of cyclooxygenase-2 (COX-2) enzyme mRNA (Goel et al., 2001). Additional targets of curcumin include growth factors and their receptors, enzymes, cytokines and cell signaling pathways (Shahiduzzaman and Daugschies, 2011). Moreover, curcumin targets factors that promote angiogenesis such as vascular endothelial growth fatcor (VEGF), fibroblast growth factor (FGF) and matrix metalloproteinases (MMPs) (Wang and Chen, 2019). Angiogenesis is important for nurse cell formation during muscular trichinellosis, thus infection with T. spiralis up-regulates VEGF by inducing thymosin β4 (Kang et al., 2011). The degree of vascularization can be evaluated by assessing the microvessel density (MVD), which depends on the intercapillary space controlled by both pro-and anti-angiogenic factors (Hlatky et al., 2002). MVD can be determined by endothelial markers such as CD34 and CD105 (Goldiş et al., 2015).CD34 is a highly glycosylated cell surface sialomucin, that is expressed on the surface of many cell types including haematopoetic progenitor cell, small vessel endothelial cells, muscle satellite cells, mature mast cells, eosinophils and intestinal fibroblasts. CD34 plays an important role in cell adhesion, migration and trafficking (Grassl et al., 2010).
In the current study, we evaluated the benefit of curcumin and its combination with albendazole in the treatment of T. spiralis-induced enteritis, myositis and myocarditis. This was achieved by investigating the effect of curcumin on parasite load, oxidative stress, tissue inflammation, and local COX-2 and CD34 expression in the small intestine, skeletal muscle and heart of infected mice.
Adult male Swiss albino mice, weighing 25 – 30 g were maintained in the animal house of the Faculty of Pharmacy, Modern University for Technology and Information, Cairo, Egypt. Mice were bred under standard conditions: 25 ± 2°C room temperature, 12-hour light/dark cycle, and free access to standard pellet diet and water ad libitum. Experimental animals were exposed to an infective dose of 200+/- 10 T. spiralis larvae per mouse by gastric feeding after a 12 h period of starvation (Attia et al., 2015). The strain of T. spiralis was obtained from the Medical Parasitology Department, Faculty of Medicine, Cairo University, where it was maintained by consecutive passages through mice.
Pure curcumin powder from Curcuma longa (Turmeric), was purchased from Sigma-Aldrich, USA, assay: ≥ 65 % curcumin (HPLC), [CAS: 458-37-7; MW: 368.38 g/mol; C21H20O6]. It was suspended in normal saline using Tween 80 and administered intraperitoneally (IP) at two dose levels 150 and 300 mg/kg/day (Wang et al., 2015).
Albendazole 20mg/ml suspension (Bendax – Sigma pharmaceutical industries – Egypt) was administered IP at a dose of 50 mg/ kg (Siriyasatien et al., 2003). It was also dissolved in normal saline using Tween 80.
Animals were divided into the following groups, each containing 7 mice:
Normal control group (NC): non-infected non-treated mice.
Group 1(I): Positive control group (infected non-treated group) receiving saline and Tween 80 IP for 3 days and sacrificed one week post-infection (PI) to study changes during the intestinal phase of infection.
Group 1(M): Positive control group (infected non-treated group) receiving saline and Tween 80 IP for 3 weeks and sacrificed one month PI, to study changes during the muscle phase.
Group 2(I): infected group treated with curcumin 150 mg/kg for 3 days and sacrificed one week PI to study changes during the intestinal phase of infection.
Group 2(M): infected group treated with curcumin 150 mg/kg for 3 weeks, starting one week PI and sacrificed one month PI, to study changes during the muscle phase of infection.
Group 3(I): infected group treated with curcumin 300 mg/kg for 3 days and sacrificed one week PI to study changes during the intestinal phase of infection.
Group 3(M): infected group treated with curcumin 300 mg/kg for 3 weeks, starting one week PI and sacrificed one month PI, to study changes during the muscle phase of infection.
Group 4(I): infected group treated with albendazole 50 mg/kg for 3 days and sacrificed one week post-infection (PI) to study changes during the intestinal phase of infection.
Group 4(M): infected group treated with albendazole 50 mg/kg for 3 weeks, starting one week PI and sacrificed one month PI, to study changes during the muscle phase of infection.
Group 5(I): infected group treated with albendazole 50 mg/kg combined with curcumin 150 mg/kg for 3 days and sacrificed one week post-infection (PI) to study changes during the intestinal phase of infection.
Group 5(M): infected group treated with albendazole 50 mg/kg combined with curcumin 150 mg/kg for 3 weeks, starting one week PI and sacrificed one month PI, to study changes during the muscle phase of infection.
All mice were euthanized by cervical dislocation under anaesthesia. Blood samples were collected for the estimation of malondialdehyde (MDA) level; small intestine, gastrocnemius muscle, diaphragm and heart were isolated for histopathological and immunohistochemical studies, and the rectus abdominus muscle for the estimation of larval count (Fig. 1).

Bar chart showing means and standard deviations of the adult T. spiralis worm count per 100 mL of intestinal fluid in the different study groups. (Alb/Cur150mg= combined albendazole and curcumin 150mg/Kg regimen group); *significant difference between groups at P<0.05

Bar chart showing means and standard deviations of the T. spiralis larval count per gram muscle tissue in the different study groups. (Alb/Cur150mg= combined albendazole and curcumin 150mg/Kg regimen group); *significant at difference between groups P<0.05
The small intestines of the sacrificed mice were removed, opened longitudinally, washed with saline and sectioned into small pieces and incubated at 37°C in phosphate buffered saline (PBS) for 2 hours. Then the adult worms were collected and counted under a dissecting microscope (Fadl et al., 2020)
The rectus abdominus muscle of each mouse was dissected and incubated in 1 % pepsin and 1 % HCl in distilled water at 37°C for 2 hours with intermittent agitation using an electric stirrer. Coarse particles were first removed from the digested product on a 50 mesh/inch sieve, then larvae were collected on a 200 mesh/inch sieve, washed twice and suspended in 150 ml tap water in a conical flask. After allowing the larvae to sediment, the supernatant fluid was discarded, and the larvae were recovered and counted per ml under the microscope (Attia et al., 2015).
MDA was determined according to the method of Satoh (1978) using a commercial reagent kit (Biodiagnostic, Egypt). Lipid peroxidation products were estimated by the determination of thiobarbituric acid reactive substances (TBARS) that were measured as MDA. The latter is a decomposition product of lipid peroxidation and is used as an indicator of this process. Serum samples were obtained 1 week PI to investigate the oxidative status during the intestinal phase and 1 month PI to investigate the muscle phase of infection. In Wasserman tubes, 1 ml of chromogen solution was added to 200 μl of serum or standard MDA solution. In another tube, 1 ml of chromogen solution was used as a reagent blank. All tubes were mixed well, covered with glass beads, heated in boiling water bath for 30 minutes then cooled. The absorbance of samples was measured against the reagent blank and the absorbance of standard was measured against distilled water at 534 nm using a double beam spectrophotometer (UV-160, Shimadzu, Japan).
Intestinal specimens (1cm from the junction of the proximal 1/3 and distal 2/3), gastrocnemius muscle, diaphragm and heart were fixed in 10 % formalin, dehydrated, cleared, and then embedded in paraffin blocks. Paraffin sections of 5 mm thickness were prepared and stained with haematoxylin and eosin (Hx&E). Sections from the small intestine were examined microscopically for inflammatory cells and goblet cell proliferation. Muscle sections were examined for degeneration and interstitial infiltration. Degeneration in encysted larvae was detected by finding a homogenized acidophilic substance replacing the larval structure. Grading of the histopathological findings was performed, where no changes was reported as (–), mild changes were reported as (+), moderate changes were given (++), and severe changes were reported as (+++). Histopathological changes were assessed by the examination of 10 high power fields (HPF, x 400) in each tissue section (Cormack, 2001; Ashour et al., 2016).
Immunohistochemical staining was carried out using the primary anti-Cyclooxygenase-2 antibody (COX 2) (ab15191, 1/100, rabbit polyclonal antibody, Abcam, USA) and anti CD34 antibody (ab185732, 1/50, rabbit polyclonal antibody, Abcam, USA, species specificity including mice). Heat-mediated antigen retrieval and standard labeled streptavidin–biotin immunoenzymatic antigen detection procedure were performed according to Aboulhoda and Abdel Fattah (2018). The sections were then counterstained with Mayer’s hematoxylin. Positive control was obtained by immunostaining of mouse liver tissue and negative control was obtained by the omission of incubation with the primary antibody in the automated staining protocol. Immunohistochemical staining was scored as follows; 0: No or very minimal expression, 1: mild expression, 2: moderate expression, 3: marked immunohistochemical expression.
Data was presented as mean and standard deviation (SD). Comparison between groups was done using analysis of variance (ANOVA) and Kruskal-Wallis non-parametric test, in addition to Tukey Kramer post-hoc test for multiple comparisons. Correlation between the different study parameters was evaluated by the Pearson r correlation test. P-values<0.05 were considered statistically significant.
The experimental design and methods were implemented in strict accordance with approved national and institutional guidelines and were approved by the Research Ethics Committee for experimental studies at the Faculty of Pharmacy, Modern University for Technology and Information, Egypt, (Permit number: ES (881), 2020).
The intestinal worm count in the positive control group (infected non-treated mice) was 14.43 ± 1.13 per 100ml intestinal fluid. Mice receiving curcumin 150 mg/kg had a significantly lower intestinal worm count of 9.67 ± 1.03/100ml (32.99 % reduction; P<0.05). Administration of a higher dose of curcumin (300 mg/kg) was significanly more efficient in reducing the adult count (65.35 % reduction; 5.00 ± 0.89/100 ml). The lowest intestinal worm burden was observed in the groups receiving albendazole alone or in combination with curcumin 150 mg/kg, where the count was 1.33 ± 0.52/100 ml in each group (90.78 % reduction) (Fig. 2).
The larval count per gram muscle tissue in the positive control group (infected non-treated mice) was 17.63 ± 0.92. Mice receiving curcumin 150 mg/kg had a significantly lower larval count of 13.50 ± 1.05/gm (23.46 % reduction; p<0.05). Administration of a higher dose of curcumin (300 mg/kg) was most efficient in reducing the muscular larval count (70.67 % reduction; 5.17 ± 0.98/gm). Groups receiving albendazole alone or in combination with curcumin, showed a reduction in larval count by count by 56.49 % (7.67 ± 0.82/gm) and 58.42 % (7.33 ± 0.82/gm), respectively (Fig. 3).
The MDA level in the negative control group (non-infected, non-treated mice) was 22.95 ± 2.20 nmol/ml. Serum level of MDA was significantly higher in the positive control group as compared to all other study groups (39.30 ± 2.22 nmol/ml; P<0.05). The level of MDA in mice receiving 150 mg/kg of curcumin was 27.80 ± 0.59 nmol/ml, while the level in mice receiving 300 mg/kg of curcumin was 30.22 ± 0.89 nmol/ml. Serum levels of MDA in mice receiving a combination of albendazole 50 mg/kg and 150 mg/kg curcumin was significantly lower than levels in albendazole-treated mice (25.18 ± 0.33 nmol/ml and 28.98 ± 3.03 nmol/ml, respectively) (Fig. 4).

Bar chart showing means and standard deviations of serum MDA levels in nmol/mL during the intestinal phase (I) and muscular phase (M) of T.spiralis infection in the different study groups. (Alb/Cur150mg= combined albendazole and curcumin 150mg regimen group);*significant difference between groups at P<0.05
The MDA level in the negative control group (non-infected, non-treated mice) was 22.45 ± 1.68 nmol/ml. Serum level of MDA was significantly higher in the positive control group as compared to all other study groups (42.62 ± 1.69 nmol/ml; p<0.05). The level of MDA in mice receiving 150 mg/kg of curcumin was 25.57 ± 0.97 nmol/ml, while the MDA level in mice receiving 300 mg/kg of curcumin was 27.62 ± 0.70 nmol/ml. In albendazole-treated mice, the serum level of MDA was significantly higher than that of the negative control group, curcumin-treated groups and combined albendazole and curcumin-treated group (30.73 ± 2.64 nmol/ml; p<0.05). In mice receiving both albendazole and 150mg/kg curcumin, the mean serum level of MDA was 22.92 ± 0.90 nmol/ml (Fig. 4).
Comparison between the MDA level during the intestinal and muscle phases revealed a significantly higher MDA level during the muscle phase of infection in the positive control group. In mice receiving curcumin 150 mg/kg and 300 mg/kg, and combined albendazole and curcumin 150 mg/kg, the serum MDA level was significantly lower during the muscle phase of infection as compared to the intestinal phase. In mice receiving albendazole only, there was no significant difference between the MDA level during the intestinal and muscular phases of infection.
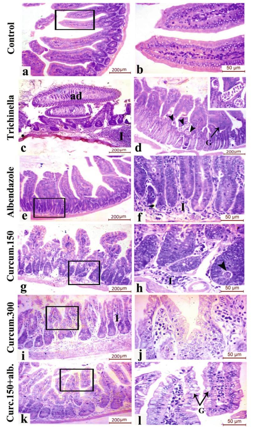
Tissue sections from the small intestines of T. spiralis-infected mice showed distorted intestinal villi, dense mononuclear inflammatory infiltration, and goblet cell proliferation. In sections from mice treated with curcumin 150 mg/kg, there was moderate sub-epithelial inflammatory infiltration, while sections from curcumin 300 mg/ kg-treated mice showed intact intestinal villi and mild cellular infiltrate. In albendazole-treated mice, an improvement in the intestinal villous architecture with moderate infiltration with inflammatory cells was detected. Small intestinal sections from mice receiving both curcumin 150 mg/kg and albendazole showed healthy intestinal villi with a core of connective tissue, normal epithelial covering, intact brush border, and few goblet cells (Fig. 5, Table 1).

H&E-stained sections of the intestinal phase of (a,b) Group 1 (Control non-infected group) showing the normal intestinal villous structure. (c,d) Group 2 (Infected non-treated group) showing adult worms in the intestine (ad) encroaching on and distorting the intestinal villi, dense mononuclear inflammatory infiltration (I), cut section in the adult embedded within the intestinal villi (arrow heads) and goblet cell proliferation (G) (e,f) Group 3 (Albendazole-treated group) showing improvement in the intestinal villous architecture with moderate infiltration with inflammatory cells (I), (g,h) Group 4 (Curcumin 150mg-treated group) showing moderate sub-epithelial inflammatory infiltration and few embedded larvae (arrow head), (I,j) Group 5 (Curcumin 300mg-treated group) showing intact intestinal villi and mild cellular infiltrate, (k,l) Group 6 (Combined Curcumin 150 mg + Albendazole group) showing healthy intestinal villi with a core of connective tissue, normal epithelial covering, intact brush border, and few goblet cells (G) (Scale bar 50μm).
Mean expression levels of inflammatory changes during the intestinal phase of infection; (0) signifies no change, (1) mild, (2) moderate changes and (3) severe changes.
| Intestinal phase | ||||||
|---|---|---|---|---|---|---|
| Study groups | Inflammation | Goblet cells | Apoptosis | Fibrosis | Oedema | |
| Mean | Negative control(NC) | 1.00 | 0.17 | 0.00 | 0.17 | 0.00 |
| Positive control(1) | 3.00 | 1.00 | 1.00 | 2.00 | 1.00 | |
| Curcumin150mg(2) | 2.83 | 1.00 | 0.00 | 1.67 | 1.00 | |
| Curcumin300mg(3) | 0.83 | 0.17 | 0.00 | 0.17 | 0.17 | |
| Albendazole(4) | 1.33 | 0.67 | 0.33 | 1.00 | 0.50 | |
| ALb/Cur150mg(5) | 1.17 | 0.00 | 0.33 | 0.33 | 0.67 | |
Muscle tissue sections of infected non-treated mice showed multiple depositions of T. spiralis encysted larvae embedded in the gastrocnemius and diaphragm musculature. The cysts were surrounded by a thick wall and granuloma formation. In the albendazole-treated group, degenerated larvae surrounded by dense inflammatory cells were found. Curcumin 150 mg/kg treatment resulted in moderate inflammatory infiltration. In comparison, curcumin 300 mg/kg led to a marked improvement in tissue pathology with complete degeneration of larvae in the gastrocnemius muscle and limited inflammatory cells in the diaphragm. Tissue sections from mice receiving the combined curcumin 150 mg/kg and albendazole 50 mg/kg therapy showed degenerated larvae invaded by inflammatory infiltration (Fig. 6, Table 2).

H&E-stained sections of the muscle phase of (a) Group 1 (Control non-infected group) showing normal architecture of the gastrocnemius muscle, diaphragm and myocardium. (b) Group 2 (Infected non-treated group) showing multiple depositions of T. spiralis encysted larvae (L) embedded in the gastrocnemius and diaphragm musculature. The cysts appear surrounded by a thick wall and granuloma formation. The myocardium is infiltrated by mononuclear inflammatory cells (I), (c) Group 3 (Albendazole-treated group) showing degenerated larvae (L) surrounded by dense inflammatory cells (I). Scattered inflammatory foci (f) are noticed in the myocardium. (d) Group 4 (Curcumin 150mg-treated group) showing moderate inflammatory infiltration (I) in the muscle and diaphragm in addition to mild separation of the myocardial fibrils (arrow heads), (e) Group 5 (Curcumin 300mg-treated group) showing marked improvement with completely degenerated larvae in the gastrocnemius muscle, limited inflammatory cells in the diaphragm and minimal separation of myofibrils in the heart (arrow heads). Group 6 (Combined Curcumin 150 mg + Albendazole group) showing degenerated larvae (L) invaded by inflammatory infiltration(Scale bar 50μm).
Mean expression levels of inflammatory changes during the muscle phase of infection; (0) signifies no change, (1) mild, (2) moderate changes and (3) severe changes.
| Muscle phase | ||||||
|---|---|---|---|---|---|---|
| Study groups | Fibrosis | Capsular inflammation | Interstitial inflammation | Muscle degeneration | Larval degeneration | |
| Mean | Negative control(NC) | 0.00 | 0.00 | 0.00 | 0.00 | 0.00 |
| Positive control(1) | 3.00 | 3.00 | 3.00 | 1.00 | 0.00 | |
| Curcumin150mg(2) | 2.67 | 2.83 | 2.83 | 0.83 | 0.17 | |
| Curcumin300mg(3) | 0.67 | 0.83 | 0.83 | 0.00 | 0.83 | |
| Albendazole(4) | 2.83 | 2.33 | 2.67 | 0.83 | 1.00 | |
| Alb/Cur150mg(5) | 2.00 | 2.17 | 2.33 | 0.50 | 0.50 | |
In the positive control group, the myocardium showed mononuclear inflammatory cell infiltration. Tissue sections from albendazole-treated mice showed scattered inflammatory foci. Mice treated with curcumin 150 mg/kg showed mild separation of the myocardial fibrils. The higher dose of curcumin (300 mg/kg) resulted in an improvement in myocardial fiber structure with minimization of myofibril separation (Fig. 6).
Immunohistochemical staining was scored as follows; 0: No or very minimal expression, 1: mild expression, 2: moderate expression, 3: marked immunohistochemical expression.
A marked expression of COX-2 was observed in infected non-treated mice (positive control group) and in mice receiving albendazole 50 mg/kg only. Curcumin administration both alone and in combination with albendazole significantly decreased COX-2 expression in small intestinal tissue sections (Fig. 7).

COX-2 immunohistochemistry in the intestinal phase of (a) Group 1 (Control non-infected group), (b) Group 2 (Infected non-treated group), (c) Group 3 (Albendazole-treated group), (d) Group 4 (Curcumin 150mg-treated group), (e) Group 5 (Curcumin 300mg-treated group), (f) Group 6 (Combined Curcumin 150 mg + Albendazole group) showing strong positive COX-2 immuno-reactivity in the intestinal mucosa and in the inflammatory cells of the T. spiralis-infected group and moderate cytoplasmic immunohistochemical expression in the curcumin-treated groups. Weak cytoplasmic COX-2 expression was noticed in the lamina propria and intestinal epithelial cells of the combined curcumin and albendazole group (Scale bar 50μm).
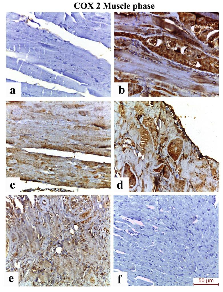
A marked COX-2 expression was observed in muscle sections from the positive control group and was significantly higher than the rest of study groups. Muscle tissue sections from mice receiving curcumin 150 mg/kg showed moderate expression of COX-2. Tissue expression of COX-2 in mice receiving albendazole 50 mg/ kg was mild to moderate. Mild COX-2 expression was observed in both curcumin 300 mg/kg and combined albendazole 50 mg/kg and curcumin 150 mg/kg groups (Fig. 8).

COX-2 immunohistochemistry in the muscle phase of (a) Group 1 (Control non-infected group) showing no immunostaining, (b) Group 2 (Infected non-treated group) showing strong positive immunoreactivity around encapsulated T. spiralis larvae and in the cellular infiltrates, (c) Group 3 (Albendazole-treated group) showing mild COX-2 immunostaining, (d) Group 4 (Curcumin 150mg-treated group) showing moderate COX-2 immunostaining in the muscle fibers around degenerated larvae, (e) Group 5 (Curcumin 300mg-treated group) showing distinct positive COX-2 immunostained cells in the muscle fibers surrounding the degenerated larvae, (f) Group 6 (Combined Curcumin 150 mg + Albendazole group) showing very minimal COX-2immunohistochemical expression (Scale bar 50μm).
The positive control group showed a marked expression of COX-2. The other study groups showed significantly lower expression levels, where specimens from mice receiving curcumin 150 mg/ kg showed moderate COX-2 expression and specimen from the albendazole only group showed a mild to moderate protein expression. Administration of curcumin 300 mg/kg and combined albendazole and curcumin 150 mg/kg led to mild local expression in COX-2 in cardiac muscle tissue (Fig. 9).

COX-2 immunohistochemistry in the myocardium of (a) Group 1 (Control non-infected group), (b) Group 2 (Infected non-treated group), (c) Group 3 (Albendazole-treated group), (d) Group 4 (Curcumin 150mg-treated group), (e) Group 5 (Curcumin 300mg-treated group), (f) Group 6 (Combined Curcumin 150 mg + Albendazole group) showing strong positive Cox-2 immuno-reactivity in the myocardial fibers of the T. spiralis-infected group and moderate cytoplasmic immunohistochemical expression in the curcumin-treated groups. Weak cytoplasmic COX-2 expression is noticed in the myofibrils of combined curcumin and albendazole group (Scale bar 50μm).
Detection of microvessel density (MVD) reflected by the expression of CD34 on endothelial cells of small intestine, skeletal muscle and heart as detected by immunohistochemistry Immunohistochemical staining was scored as follows; 0: No or very minimal expression, 1: mild expression, 2: moderate expression, 3: marked immunohistochemical expression. CD34 expression in small intestinal tissue sections The positive control group showed a marked increase in CD34 immuno-expression. Albendazole and curcumin treatment showed a reduction in the CD34 immuno-reactive capillaries and inflammatory cells (Fig. 10; Table 3).

CD34 immunohistochemistry in the intestinal phase of (a) Group 1 (Control non-infected group), (b) Group 2 (Infected non-treated group), (c) Group 3 (Albendazole-treated group), (d) Group 4 (Curcumin 150mg-treated group), (e) Group 5 (Curcumin 300mg-treated group), (f) Group 6 (Combined Curcumin 150 mg + Albendazole group) showing marked increase in CD34 immuno-expression in the inflammatory cells and capillaries of the infected group. Albendazole and curcumin treatment showed a reduction in the CD34 immuno-reactive capillaries and inflammatory cells (Scale bar 50μm).
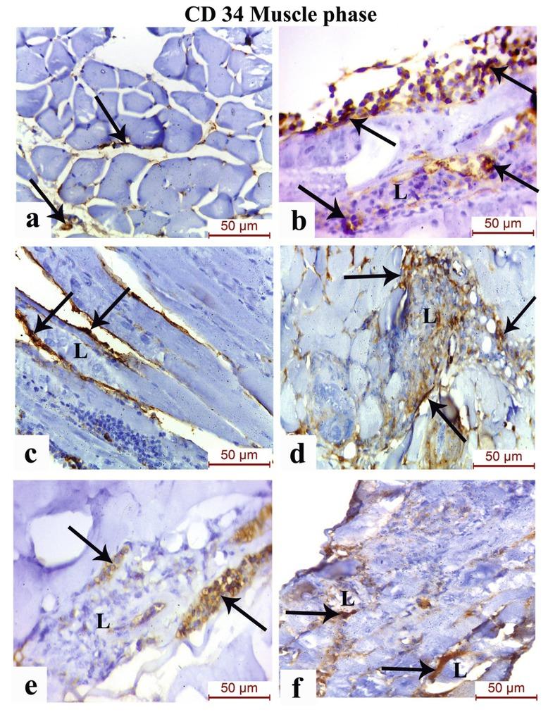
A marked increase in CD34 immunohistochemistry in the dense inflammatory cellular infiltration and capillary endothelium surrounding the encysted larvae was observed in the infected group. Muscle sections from the albendazole-treated group showed a moderate CD34 expression in the epimysium surrounding degenerated larvae. Tissue sample from mice receiving either concentrations of curcumin showed a moderate CD34 immunohistochemical expression in the capillary network and inflammatory cells invading the disintegrated larvae. The combined curcumin 150 mg/ kg and albendazole 50 mg/kg group showed few CD34 positive capillaries around homogenized larvae with degenerated capsules (Fig. 11; Table 3).

CD34 immunohistochemistry in the muscle phase of (a) Group 1 (Control non-infected group), (b) Group 2 (Infected non-treated group), (c) Group 3 (Albendazole-treated group), (d) Group 4 (Curcumin 150mg/kg-treated group), (e) Group 5 (Curcumin 300mg/Kg-treated group), (f) Group 6 (Combined Curcumin 150 mg/kg + Albendazole group) showing marked increase in CD34 immunohistochemistry in the dense inflammatory cellular infiltration and capillary endothelial surrounding the encysted larvae (L) in the infected group. The albendazole-treated group shows moderate CD34 expression in the epimysium surrounding a degenerated larva (L). The curcumin 150 mg/Kg group and the curcumin 300 mg/Kg group show moderate CD34 immunohistochemical expression in the capillary network and inflammatory cells invading the disintegrated larvae. The combined curcumin 150 mg/kg + albendazole group shows few CD34 positive capillaries around homogenized larvae (L) with degenerated capsules (Scale bar 50μm).
Means and standard deviations of CD34 expression levels in sections from the small intestine, skeletal muscle and heart of the different study groups.
| CD34expression (Mean ± SD) | |||
|---|---|---|---|
| Tissue samples | Small intestine | Skeletal muscle | Cardiac muscle |
| Study groups | |||
| Negative control group | 0.7±0.5 | 0.0±0.0 | 0.0±0.0 |
| Positive control group | 2.7±0.5 | 2.7±0.4 | 2.7±0.4 |
| Curcumin 150 mg/kg | 1.3±0.5 | 1.7±0.5 | 1.7±0.5 |
| Curcumin 300 mg/kg | 1.7±0.5 | 1.7±0.5 | 1.7±0.5 |
| Albendazole 50 mg/kg | 0.7±0.5 | 1.0±0.0 | 1.0±0.0 |
| Albendazole 50 mg/kg and curcumin 150 mg/kg | 1.0±0.0 | 0.7±0.5 | 0.7±0.5 |
0: No or very minimal expression, 1: mild expression, 2: moderate expression, 3: marked immunohistochemical expression.
The positive control group showed numerous CD34 positive immuno-reactive capillaries. Moderate CD34 expression was observed in the curcumin 150 mg/kg and curcumin 300 mg/kg -treated groups, while minimal CD34 immunoreactivity was noticed in the combined curcumin 150 mg/kg and albendazole-treated groups (Fig. 12; Table 3).

CD34 immunohistochemistry in the myocardium of (a) Group 1 (Control non-infected group), (b) Group 2 (Infected non-treated group), (c) Group 3 (Albendazole-treated group), (d) Group 4 (Curcumin 150mg/kg-treated group), (e) Group 5 (Curcumin 300mg-treated group), (f) Group 6 (Combined Curcumin 150 mg/kg + Albendazole group) showing numerous CD34 positive immuno-reactive capillaries in the T. spiralis-infected group. Moderate CD34 expression is noticed in the curcumin 150 mg/kg and curcumin 300 mg/kg-treated groups, while minimal CD34 immunoreactivity is noticed in the combined curcumin 150 mg/kg and albendazole-treated groups (Scale bar 50μm).
Correlation between COX-2 and CD34 expression was evaluated by the Pearson r correlation test. A significant positive correlation was found between both markers in skeletal and cardiac muscle specimens from infected non-treated mice (Table 4).
Pearson r correlation test between COX-2 and CD34 expression detected by IHC.
| Tissue sections | Pearson r correlation test between COX-2 and CD34 expression detected by IHC | ||
|---|---|---|---|
| Drug groups | Pearson r value | P value | |
| Intestinal tissue sections | Positive control | NaN | NaN |
| Curcumin 150 mg/kg | -0.250 | 0.633 | |
| Curcumin 300 mg/kg | 0.500 | 0.312 | |
| Albendazole 50 mg/kg | -0.500 | 0.312 | |
| Combined curcumin 150 mg/kg and albendazole | NaN | NaN | |
| Skeletal muscle tissue sections | Positive control | 0.944 | <0.001* |
| Curcumin 150 mg/kg | NaN | NaN | |
| Curcumin 300 mg/kg | NaN | NaN | |
| Albendazole 50 mg/kg | NaN | NaN | |
| Combined curcumin 150 mg/kg and albendazole | -0.500 | 0.312 | |
| Cardiac muscle tissue sections | Positive control | 0.944 | <0.001 |
| Curcumin 150 mg/kg | NaN | NaN | |
| Curcumin 300 mg/kg | NaN | NaN | |
| Albendazole 50 mg/kg | NaN | NaN | |
| Combined curcumin 150 mg/kg and albendazole | -0.500 | 0.312 | |
*Statistical significance at P<0.05; NaN=no correlation found
The management of T. spiralis is challenging due to the diversity of tissue involvement, immune response mechanisms and effectors cells during the different stages of infection. During the intestinal phase of trichinellosis, albendazole has shown to be effective in the near complete adult worm expulsion, whereas limited bioavail- ability reduces its efficacy during the muscular phase (Attia et al., 2015).
Many studies have investigated the potential use of both synthetic and natural compounds as alternative or adjuvant therapeutic agents to benzimidazole therapy in trichinellosis (Soliman et al., 2011). Herbal remedies have attracted special attention in the management of parasitic diseases (Basyoni and El-Sabaa, 2013; Attia et al., 2015). Curcumin extracted from Curcuma longa has proven to be effective against a number of parasites including Leishmania spp., Plasmodium spp., Trichomanas vaginalis, Giardia lamblia, Schistosoma mansoni and Fasciola spp. (Cheraghipour et al., 2018). In our study, we investigated the effect of curcumin on parasitic load, inflammatory response, and COX-2 and CD34 expression in small intestine, skeletal muscle, and heart of T. spiralis-infected mice. This was achieved by administering 2 doses of curcumin, 150 mg/kg and 300 mg/kg. In addition, albendazole was administered at a dose of 50 mg/kg/day either alone or in combination with curcumin 150 mg/kg. Drug were given for 3 days to investigate their effect during the intestinal phase and for 3 weeks to investigate their effect during the muscle phase.
During the intestinal phase, the worm burden was reduced by 32.99 % in mice receiving curcumin 150 mg/kg and by 65.35 % in mice receiving curcumin 300 mg/kg. After giving albendazole alone, the intestinal worm burden was significantly reduced by 90.78 %. The addition of curcumin 150 mg/kg to albendazole did not change the reduction rate achieved by albendazole monotherapy. As for the muscle phase, the larval count per gram muscle tissue of mice receiving curcumin 150 mg/kg was reduced by 23.46 %. Interestingly, the administration of curcumin 300 mg/ kg lead to the highest reduction rate of larval burden by 70.67 % reduction, showing a greater effect than albendazole during the muscle phase, which lead to a reduction of larval count by 56.49 % as compared to the positive control group (p<0.05). The addition of curcumin 150 mg/kg to albendazole reduced the parasite count more than when albendazole was given alone, though not to a statistical significance.
Different studies have reported different efficacy rates for albendazole, according to the dose, duration of administration, timing of animal sacrifice and stage of infection. Fadl et al. (2020) examined the effect of albendazole during the intestinal phase of infection. The drug was administered at a dose of 50 mg/kg on day 2 post-infection for 3 days and a reduction rate of 90.91 % was achieved. Siriyasatien et al. (2003) examined the effect of albendazole 20 mg/kg in reducing muscle larval count when given early as compared to when given late during the infection. They found that albendazole achieved a 100 % reduction rate when given for 15 days starting on day 7 post-infection and mice were sacrificed 7 days after treatment. The efficacy of albendazole was reduced to 71 % when albendazole was administered for 30 days and larval count was assessed 7 days after treatment. The authors suggested that the decrease in efficacy could be due to the development of tolerance secondary to the longer duration of therapy.
Various studies have reported the beneficial effect of curcumin as an antiparasitic agent. El-Ansary et al. (2007) demonstrated that curcumin was effective in lowering Schistosoma mansoni egg output, in addition to having a protective effect on liver. In another study, curcumin was found to reduce the size of the granuloma surrounding S. mansoni eggs (El-Banhawey et al., 2007). The schistosomicidal effect of curcumin was studied in vitro by Magalhães et al. (2011), where it was found to induce uncoupling of male and female schistosomes and to reduce egg output. The in vitro effect of curcumin was also studied by Ullah et al. (2017) on Fasciola gigantica, where it was found to decrease worm motility, induce structural damage, and decrease the activity of the antioxidant enzymes of the parasite. We have found only one study investigating the effect of curcumin on experimental trichinellosis. This study conducted by Elguindy et al. (2019) assessed the antinematode action of curcumin on T. spiralis in light of its effect on nuclear factor kappa B (NFκ-B) expression, which is an important regulator of immune response during infection. Curcumin was given at a dose of 100 mg/kg for 10 days starting 2 hours after infection. The authors observed that the intestinal adult count declined by 45.84 % in mice sacrificed 2 weeks after infection, and by 81.44 % in mice sacrificed 4 weeks after infection. The muscle larval count was reduced by 53 % in mice sacrificed 35 PI. This effect of curcumin on reducing parasitic load was accompanied by a marked increase in inflammatory reaction in small intestine and muscle and increased expression of NFκ-B.
Oxidative damage contributes to parasite-induced immunopathology, since immune effector cells produce their cytotoxic effect in part by generating reactive oxygen species (ROS) (Abd Ellah, 2013). Increased activity of antioxidant enzymes has been demonstrated in mice infected with T. spiralis and was found to reach its maximum during the muscle phase of infection, since the larval stages induce the generation of free radicles by phagocytes (Derda et al., 2004). In the current study, the serum level of MDA was significantly higher during the muscle phase of infection. Both doses of curcumin and albendazole were effective in reducing serum MDA level during both the intestinal and muscle phases, where curcumin 150 mg/kg and combined albendazole/curcumin showed the best results. The benefit of antioxidants in the management of parasitic diseases has been reported against both protozoal and helminthic infections (Abd Ellah, 2013; Puente et al., 2018; Gouveia et al., 2019). Curcumin induces its antiparasitic effect in part by its property as an antioxidant (Mallo et al., 2020). Curcumin was found to be effective against different species of schistosomes by inducing structural damage to the parasite and reducing oviposition (Abou El Dahab et al., 2019; Gouveia et al., 2020). Antioxidants such as selenium and resveratrol were also found to be of value in the management of trichinellosis (Gabrashanska et al., 2019; Elgendy et al., 2020).
Adult T. spiralis worms lodge themselves in multi-intracellular niches most commonly at the crypto-villus junction. They move across the cells in a sinusoidal pattern damaging the cells they pass through, thus resulting in a local inflammatory reaction (Wright, 1979). In our study, histopathological examination of intestinal tissue sections from infected mice showed distorted intestinal villi, dense mononuclear inflammatory infiltration and goblet cell proliferation. In a study by Saracino et al. (2020) on the gut mucosal inflammatory response during intestinal trichinellosis in rats, epithelial destruction, goblet cell hyperplasia and inflammatory cellular infiltration characterized by eosinophilia and mastocytosis was reported. They demonstrated that the intestinal immune response against trichinellosis was initially a T-helper 1 response which subsequently polarized to a T-helper 2 response. They further stated that the helminthotoxic effect of this immune response was directed not only against the adult worms, but also against the newly born larvae, thus decreasing the larval burden reaching the host’s muscles. The anti-inflammatory action of curcumin has been studied in light of its activity against parasites. In a study by Mallo et al. (2020) on the in vitro effect of curcumin on Trichomonas vaginalis, it was found to decrease NO production and inhibit the expression of the pro-inflammatory mediators tumor necrosis factor α (TNFα) and interleukin-1beta (IL-1β) in macrophages.
In the present study, the administration of curcumin, especially at its higher dose, led to the improvement of inflammatory pathology in intestinal, muscle and cardiac tissue of infected mice. Novaes et al. (2016) investigated the effect of curcumin in combination with benznidazole on cardiac pathology in Trypanosoma cruzi (T.cruzi)-infected mice. The drug combination resulted in decreased parasitic load, diminished immunoreactivity to T.cruzi, decreased pro-inflammatory cytokines, improved local inflammation in the heart and diminished oxidative damage. Similar results were obtained by Hernández et al. (2018), where curcumin was found to exert an anti-inflammatory and vasculo-protective effect through the inhibition of endothelin -1 release, which is implicated in vasculitis during Chagas cardiomyopathy. The anti-inflammatory action of curcumin results from its regulatory effect on the eicosanoid signaling pathway, resulting in transcriptional and posttranslational regulation of cyclooxygenase and lipoxygenase enzymes (Rao, 2007). In a study by Barbara et al. (2001) on the effect of COX-2 on intestinal hypermotitliy secondary to trichinellosis, the expression of COX-2 mRNA, local expression of COX-2 protein and the level of PGE2 in the jejunal smooth muscles were assessed. They were all increased during acute infection and the up-regulation of COX-2 mRNA and protein expression were found to persist beyond the acute stage. COX-2 is also important for the early stages of muscle regeneration. In the current study we observed that mice receiving curcumin showed a significant improvement in skeletal muscle and myocardial fiber structure. Bondesen et al. (2004) demonstrated that COX-2 inhibitors interfered with muscle regeneration, while COX-1 inhibitors did not. This was supported by the finding that COX-2 -/- mice showed a decreased regenerative capacity. The action of COX-2 is explained by its effect on inducing satellite cell activation and myoblast proliferation. El-Aswad et al. (2020) measured the degree of local expression of COX-2 and IL-23 in the muscles of T. spiralis-infected mice in a time dependent manner. They observed a progressive increase in the expression of the two markers, reaching the highest degree on day 35 PI. This was associated with an initial mixed TH1/TH2 cytokine response, which became a predominantly TH2 cytokine response during the advanced stages of infection.
In addition to its role in inflammation, COX-2 is also in involved in tumour angiogenesis. Cervello et al. (2005) reported that COX-2 expression was positively correlated with CD34 expression in hepatocellular carcinoma. Angiogenesis is important for nurse cell formation during muscular trichinellosis, since it provides adequate nutrient supply and waste disposal. T. spiralis up-regulates VEGF by inducing thymosin β4, which is a multi-functional protein having anti-apoptotic, anti-inflammatory and anti-angiogenic effects (Kang et al., 2011; Ock et al., 2013). In our study, CD34 was markedly expressed in the small intestine, skeletal muscle and heart of infected non-treated mice. Ibrahim et al. (2019) demonstrated the increased expression of CD34 in myoendothelial cells around encysted larvae in skeletal muscle of T. spiralis-infected mice, which was efficiently reduced by the administration of artemether. In the current study, the administration of curcumin lead to a significant decrease in CD34 expression in all tissue samples. Fu et al. (2015) demonstrated that curcumin suppresses VEGF expression both in vitro and in vivo, through its effect on the VEGF-VEGFR2 (VEGF receptor 2) pathway. The study of angiogenesis during trichinellosis is focused on its role during nurse cell formation. However, angiogenesis is an important feature during intestinal inflammation. MVD has been reported to increase during ulcerative colitis and Crohn’s disease. Angiogenesis plays a crucial role in leucocyte recruitment, oxygen and nutrient supply and healing (Alkim et al., 2015).
Trichinosis induces both parasite-induced and immune-mediated tissue pathology, most noted in the small intestine, skeletal muscle, and heart. Curcumin was found to be of effect in reducing parasitic load during both intestinal and muscle phases of infection, where it has shown to be even more effective than albendazole during the muscle phase. We therefore recommend further dose and time-dependent studies to consolidate data on the effect of curucumin during the muscle phase of trichinellosis. Curcumin showed an additional beneficial effect in reversing muscle fibre degeneration and improving skeletal and cardiac muscle fiber structure. It was also effective in reducing the inflammatory response in the examined tissues. Curcumin exerted its effects by decreasing oxidative stress and inhibiting of local COX-2 expression. In addition, curcumin has an anti-angiogenic effect that adds to the reduction of intestinal inflammation and the interference with muscle nurse cell formation. Curcumin can also reduce cardiac inflammation and pathology. Conclusively, it can be of value as an adjuvant therapy to conventional antiparasitic agents and can produce promising results when used alone at higher doses.