Fig. 1

Fig. 2

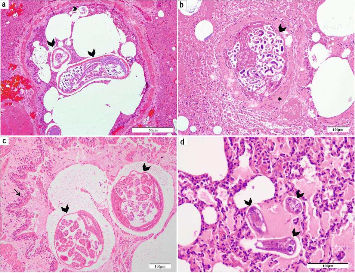
Fig. 3

Characterization of necropsied hedgehogs lung lesions and cause of death_
| Case nr | Gender | Season | Lung lesions | Concurrent lungworm | Cause of death |
|---|---|---|---|---|---|
| 1 | Male | Spring | Diffuse subacute bronchopneumonia | Yes | Parasitic pneumonia |
| 2 | Female | Autumn | Pulmonary edema | No | Heart chronic failure |
| 3 | Female | Winter | Hyperemia and pulmonary edema | No | Heart chronic failure |
| 4 | Male | Spring | Subacute multifocal to diffuse pneumonia | No | Pneumonia |
| 5 | Female | Spring | Multifocal chronic interstitial pneumonia | No | Chronic pneumonia |
| 6 | Male | Spring | Fibrinopurulent pleuropneumonia | No | Pleuropneumonia |
| 7 | Male | Spring | Diffuse subacute bronchopneumonia | Yes | Parasitic pneumonia |
| 8 | Male | Autumn | Diffuse subacute bronchopneumonia | Yes | Parasitic pneumonia |
| 9 | Male | Autumn | Diffuse subacute interstitial pneumonia | No | Pneumonia |
| 10 | Male | Autumn | Diffuse subacute bronchopneumonia | Yes | Parasitic pneumonia |
| 11 | Female | Autumn | Diffuse subacute bronchopneumonia | Yes | Parasitic pneumonia |