Figure 1:

Figure 2:

Figure 3:

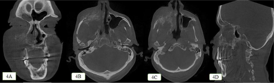
Figure 4:

Figure 5:

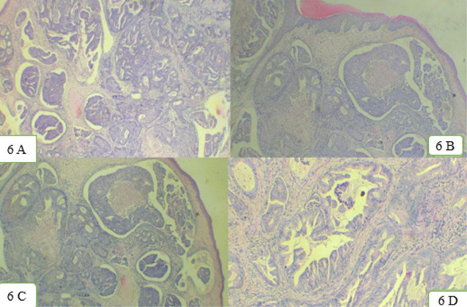
Figure 6:

Immunohistochemical and Histopathological features of Intestinal Sinonasal Adenocarcinoma_
| IMMUNOHISTOCHEMICAL MARKERS | HISTOPATHOLOGICAL FEATURES |
|---|---|
| Pancytokeratin and CK7: Indicates keratin producing cells | Tubulo-glandular architecture: Consists of tubules and glands |
| MUC2: Mucin protein | Papillary appearance: Papillary elements |
| CK20, CDX2, and SATB2: Negative inITAC | Colonic resemblance: Histopathological resemblance to colonic adenocarcinoma |
| S100 protein, SOX10, and Discovered on GIST-1(DOG1): Indicatesneuroendocrine differentiation | Signet ring cell morphology |
| Carcinoembryonic Antigen (CEA): Weak expression than colonicadenocarcinoma | Goblet cells : Present in papillary and mucinous subtypes |
| Chromogranin: Numerous Chromogranin positive cells compared tocolonic adenocarcinoma | Positive mitotic activity |